El síndrome hiperglucémico hiperosmolar no cetósico (SHNC) se ha asociado con diversas alteraciones neurológicas, incluidos los trastornos del movimiento. Es la segunda causa más frecuente de hemicorea-hemibalismo, que se produce como consecuencia de la afectación del putamen contralateral. Presentamos a una paciente de 95 años con un SHNC que desarrolló un hemibalismo secundario a una lesión putaminal.
Non-ketotic hyperglycemia has occasionally been associated with various neurological abnormalities including movement disorders. Hyperglycemic hyperosmolar syndrome (HHS) is the second most common cause of hemiballism-hemichorea, which is due to a contralateral putaminal lesion. We describe a 95-year-old woman with HHS who developed hemichorea-hemiballism syndrome due to a putaminal lesion.
La hemicorea consiste en la aparición de contracciones involuntarias, continuas, rápidas y abruptas que afectan a una parte del cuerpo. Su forma más grave se denomina hemibalismo. Es ocasionada por una lesión en el putamen contralateral que puede deberse a un síndrome hiperglucémico hiperosmolar no cetósico (SHNC).
Presentamos a una paciente de 95 años que desarrolló hemibalismo izquierdo secundario a una lesión putaminal derecha producida en el contexto de un SHNC.
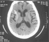
CASO CLÍNICOSe trata de una mujer de 95 años natural de Burgos, sin antecedentes personales ni familiares de interés, que acudió al servicio de urgencias por presentar movimientos anormales en el hemicuerpo izquierdo de 48h de evolución. En los últimos 10 días había notado poliuria, polidipsia y prurito vaginal. No refería traumatismos craneoencefálicos previos ni datos de infección. En la exploración física se detectaron signos de deshidratación cutáneo-mucosa y movimientos anormales, continuos e irregulares en el brazo y la pierna izquierdos. El brazo izquierdo presentaba múltiples hematomas. La cifra tensional era normal. En la analítica realizada se detectó glucemia de 500mg/dl. La gasometría venosa, el hemograma, la bioquímica, el sistemático de orina, el urocultivo, el electrocardiograma y la radiografía de tórax fueron normales. Los cuerpos cetónicos en orina fueron negativos. El cultivo del exudado vaginal fue positivo para Candida sp. En la tomografía computarizada (TC) craneal se detectó un aumento de densidad en el putamen derecho que podría corresponder a una hemorragia petequial en esa zona (fig. 1). La paciente no seguía controles médicos habituales, por lo que fue imposible determinar el tiempo de evolución previa de su diabetes mellitus.
Los juicios clínicos fueron los siguientes: a) SHNC; b) inicio de diabetes mellitus tipo 2; c) hemibalismo por lesión putaminal derecha, y d) candidiasis vaginal.
Se instauró hidratación e insulina en perfusión continua intravenosa, con lo que se logró optimizar la glucemia en 4h. Posteriormente, se pasó a tratamiento subcutáneo con una mezcla de insulina regular e intermedia en 2 dosis, con un adecuado control glucémico. La candidiasis vaginal fue tratada con clotrimazol vaginal (pomada y óvulos) durante 7 días, con desaparición del prurito. El cuadro neurológico fue tratado con haloperidol y evolucionó favorablemente con disminución de la frecuencia y la intensidad de los movimientos anormales 3 días después de lograr el control de la glucemia.
DISCUSIÓNLos ganglios de la base son un grupo de núcleos situados en la base de los hemisferios cerebrales. Están constituidos por el estriado (caudado y putamen), el globos pallidus, el núcleo subtalámico y la sustancia negra. Estos, junto con el cerebelo, el tálamo motor y la corteza frontal, constituyen un complejo sistema que funciona de manera integral para garantizar la organización y ejecución de patrones normales de movimiento.
La hemicorea es una forma de hipercinesia que se caracteriza por movimientos involuntarios, rápidos, irregulares y continuos que afectan a una parte del cuerpo1. Se produce como consecuencia de una lesión en el cuerpo estriado contralateral al hemicuerpo afectado. Hay múltiples causas de lesión putaminal, la más frecuente es la lesión vascular focal2. Le sigue en frecuencia el SHNC. Otras causas metabólicas se exponen en la tabla 1.
Cuando la hemicorea-hemibalismo se relaciona con el SHNC se detecta una hiperintensidad en el putamen contralateral en la TC craneal y en secuencias potenciadas en T1 de la resonancia magnética (RM). La etiología de esta hiperintensidad es todavía objeto de debate. Debido a que la presentación clínica es aguda y que el núcleo estriado corresponde al territorio vascular de la arteria lenticuloestriada, se ha propuesto que la causa puede ser una hemorragia petequial en esa zona3-5. Sin embargo, la biopsia de una muestra de putamen reveló únicamente la existencia de astrocitos y vacuolización sin restos de hemosiderina6. En estudios en los que se ha empleado la tomografía computarizada por emisión monofotónica (SPECT) y la tomografía por emisión de positrones (PET), se ha objetivado una disminución del flujo sanguíneo y de la actividad metabólica en el núcleo estriado contralateral7,8. Por ello, otra teoría afirma que es la hipofunción del putamen contralateral lo que explicaría tanto la clínica como la neuroimagen. En nuestro caso la hiperintensidad en el putamen derecho fue interpretada por los radiólogos como una hemorragia petequial, si bien a la luz de los estudios anteriormente referidos, este punto no está claro. Hay un número muy limitado de casos publicados de hemicorea-hemibalismo en relación con SHNC9. Suelen ser pacientes diabéticos ancianos con una media de edad de presentación de 72 años9. De hecho, la edad de presentación de hemicorea-hemibalismo en relación con SHNC es mayor que la causada por lesiones vasculares focales, que oscila entre los 61 años del grupo de Dewey1 y los 67 años del grupo de Klawans10. La incidencia es igual en ambos sexos. La mayor parte de los casos publicados se han producido en asiáticos. Podría haber una influencia racial, aunque se requieren más estudios para poder confirmar este punto. Puede ser la forma de presentación de una diabetes mellitus, como fue en este caso. La evolución suele ser buena11 con desaparición de la clínica tras normalización de la glucemia y de la imagen radiológica tras 3-11 meses de evolución12-14.
En una revisión de 7 casos realizada por Lin et al9 la discinesia desaparecía a los 1-3 días después de iniciado el tratamiento. La paciente presentada en este artículo mejoró de forma significativa 3 días después de optimizar el control glucémico, y está pendiente en el momento actual de realizar una TC y una RM para ver la evolución de la imagen radiológica.
En conclusión, en todo paciente diabético, sobre todo si es anciano, con descompensación hiperglucémica y hemicorea-hemibalismo, se debe considerar la hiperglucemia dentro del diagnóstico diferencial de las causas del trastorno del movimiento. La lesión putaminal unilateral que se produce en este contexto tiene una buena evolución tanto clínica como radiológica.



