La tiroiditis aguda supurativa (TAS) es un enfermedad infrecuente, predominantemente pediátrica y potencialmente grave. La baja prevalencia de abscesos tiroideos se relaciona con la resistencia de la glándula tiroidea a las infecciones debido a su cápsula fibrosa, la elevada perfusión sanguínea, el elevado contenido en yodo, el importante drenaje linfático y la separación anatómica de la glándula respecto a la vía aérea1.
La TAS puede originarse a partir de una diseminación hematógena o linfática, por continuidad de órganos adyacentes o por inoculación directa tras una punción aspiración con aguja fina (PAAF)2. Los factores predisponentes varían en función de la edad de presentación. En niños, el más frecuente es la existencia de una fístula del seno piriforme (FSP) que aparece por un desarrollo anómalo del tercer o cuarto arco branquial. En el 87-95% de los casos, aparece en el lado izquierdo, lo que se explica por la asimetría del cuarto arco branquial3,4. En adultos, la existencia de FSP es poco frecuente, siendo más relevantes otros factores como la existencia de enfermedad tiroidea previa (tiroiditis de Hashimoto, cáncer diferenciado de tiroides, bocio multinodular) y la presencia de un estado de inmunosupresión, que favorece a su vez la infección por microorganismos poco frecuentes5.
Se trata de una mujer de 17 años con antecedente de anorexia nerviosa que acudió a Urgencias por cuadro de un mes de evolución consistente en fiebre, dolor en cara anterior del cuello y aumento de tamaño de celda tiroidea izquierda. Ante la sospecha clínica de tiroiditis subaguda se inició tratamiento antiinflamatorio (ibuprofeno 600mg/8h). Seis días después acudió de nuevo a Urgencias por ausencia de mejoría, por lo que se añadió prednisona (30mg/24 h) en pauta descendente y fue remitida a la consulta de Endocrinología por persistencia del cuadro.
En la exploración física destacaba aumento de la dimensión de la glándula tiroidea a expensas del lóbulo izquierdo con dolor y empastamiento a la palpación y aumento de temperatura.
En la analítica destacaba: leucocitosis (leucocitos: 13.500/mm3, con 79,3% de neutrófilos) con elevación de reactantes de fase aguda (proteína C reactiva: 108,40mg/l (rango: 0,1-10,0) y VSG: 122,00mm (rango: 0,0-25,0) junto con función tiroidea normal (TSH: 1,97μIU/mL (rango: 0,35-5,0), T4 libre 1,40ng/dl (rango: 0,7-1,98) y T3 libre 2,54pg/ml (rango: 2,3-4,2) y autoinmunidad tiroidea negativa.
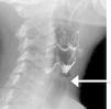
La ecografía tiroidea mostraba 3 colecciones hipoecogénicas próximas sugestivas de absceso tiroideo. Mediante PAAF se obtuvo material purulento en cuyo cultivo se identificó Lactococcus lactis sensible a penicilina. Los hemocultivos fueron negativos. Mediante esofagograma baritado se evidenció fístula del seno piriforme izquierdo que terminaba en la proximidad de la glándula tiroidea (fig. 1) y que se confirmó posteriormente en tomografía cervical.
La paciente fue tratada con amoxicilina 2g/6 h por vía intravenosa durante 2 semanas, con desaparición del dolor y la fiebre y disminución progresiva del tamaño tiroideo, por lo que no se consideró el drenaje quirúrgico. Tras la resolución del cuadro infeccioso, la paciente fue programada para cervicotomía exploradora del cuello, que no pudo evidenciar el trayecto fistuloso, pero que permitió la resección del tercio superior del lóbulo tiroideo izquierdo. La anatomía patológica mostraba fibrosis y congestión vascular periférica en el parénquima tiroideo.
La paciente se ha mantenido asintomática, con función tiroidea conservada y sin recidiva infecciosa a nivel tiroideo durante 10 meses de seguimiento.
El diagnóstico de TAS debe sospecharse en pacientes con dolor súbito e intenso localizado en la cara anterior del cuello y que empeore con la hiperextensión, acompañado de un aumento del tamaño de la celda tiroidea. Además, es posible objetivar eritema y aumento de temperatura a nivel local, así como fiebre, disfagia o disfonía1. En la analítica, se suele observar leucocitosis y aumento de reactantes de fase aguda. En el 93% de los casos, la función tiroidea es normal6.
La ecografía tiroidea permite visualizar el absceso tiroideo, revelando una lesión heterogénea e hipoecoica. En cuanto al diagnóstico de la FSP, la laringoscopia es considerada por algunos autores como la técnica de imagen de elección1, sin embargo, otros autores apuestan por el esofagograma con bario o la TAC «under trumpet maneuver», es decir, con el empleo de aire como medio de contraste, como la mejores técnicas7. Existe un mayor rendimiento de la técnica cuando se realiza al menos 15 días tras la resolución del cuadro agudo, debido a que la presencia del absceso puede obliterar el trayecto fistuloso y ocasionar un resultado falso negativo4. La búsqueda activa de una FSP es obligatoria en niños con TAS de repetición, y recomendable en el resto de casos.
El diagnóstico microbiológico suele establecerse mediante el cultivo del material obtenido a través de la PAAF del absceso. La TAS suele estar ocasionada por bacterias aerobias1 aunque se han descrito casos originados por otros microorganismos como hongos o micobacterias8. En nuestra paciente, el patógeno aislado en el cultivo de la PAAF fue Lactococcus lactis, nunca descrito hasta la fecha como microorganismo responsable de absceso tiroideo. Es un coco grampositivo, facultativo anaerobio, que se encuentra formando parte de la flora saprófita humana y que raras veces produce enfermedad. Un trabajo reciente recoge los casos descritos de abscesos relacionados con este patógeno, describiéndose solo 20 casos de localizaciones diversas (cerebro, hígado, endocardio, pulmón)9. Los factores de riesgo más relevantes de dicha infección fueron la presencia de caries dental, inmunosupresión y consumo de leche no pasteurizada. Nuestra paciente no presentaba ninguno de dichos factores. Al tratarse de un microorganismo poco virulento y que coloniza el tracto digestivo, no se puede descartar completamente que se trate de un contaminante. Sin embargo, existen razones para contemplarlo como un verdadero patógeno: que se hayan descrito abscesos en otras localizaciones, que fuera el único microorganismo aislado y que la muestra se haya obtenido por punción percutánea y no por vía aerodigestiva.
Aunque no se puede descartar que los vómitos relacionados con la anorexia nerviosa de la paciente pudieran haber facilitado el tránsito de restos alimentarios a través del trayecto fistuloso preexistente, esto parece poco probable ya que la paciente negaba conductas purgativas en dicho momento. Además, se han comunicado casos de amigdalitis aguda de repetición y abscesos retrofaríngeos como complicación de anorexia nerviosa10, pero no hay evidencia en la literatura que relacione la TAS y los trastornos de conducta alimentaria.
El tratamiento de la TAS debe ser precoz con antibioterapia de amplio espectro intravenosa, que cubra adecuadamente Staphylococcus aureus y Streptococcus pyogenes1. El drenaje quirúrgico del absceso debe realizarse en aquellos cuando exista un absceso fluctuante y ecográficamente visible. En los casos en los que se identifica una FSP es indispensable realizar un abordaje de la misma para prevenir recidivas6.
A modo de conclusión, cabe destacar, que además de ser la TAS una enfermedad infrecuente en adultos inmunocompetentes, la identificación de Lactococcus lactis, microorganismo que raras veces produce enfermedad, aumenta la particularidad del caso.
Conflicto de interesesLos autores declaran no tener ningún conflicto de interés.


