El xantoma verruciforme es una lesión inflamatoria, reactiva, no tumoral, que afecta principalmente la mucosa oral. Clínicamente se presenta como una lesión única, elevada, de superficie irregular o verrucosa. Su etiopatogenia es desconocida. Se postula que el evento inicial sea el daño de queratocitos con producción de factores que inducen respuesta inflamatoria, proliferación celular y liberación de sustancias, lo cual indica que el xantoma verruciforme es un proceso reparativo crónico, que puede coexistir con enfermedades que presenten en común daño persistente de los queratocitos.
El diagnóstico diferencial debe hacerse con queratosis seborreica, condiloma acuminado, carcinoma escamocelular, neoplasia intraepitelial vulvar, papulosis bowenoide, eritroplasia de Queyrat y con el tumor de células granulares.
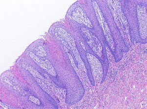
El diagnóstico preciso se establece con el estudio histológico, caracterizado por hiperplasia epidérmica, paraqueratosis extensa con exocitosis de neutrófilos y acúmulos de histiocitos xantomatosos en la dermis papilar. El tratamiento definitivo es la extirpación de la lesión.
Verruciform xanthoma is an inflammatory, reactive, non-tumour lesion that mainly affects the oral mucosa. Clinically it manifests as a single, thick, irregular or warty surface lesion. Its etiopathogenesis is unknown. It is postulated that initially, damage occurs to keratocytes producing factors that lead to inflammatory response, cell proliferation and the release of substances, which suggests that verruciform xanthoma is a chronic reparative process that can coexist with diseases that involve persistent keratocyte damage.
Differential diagnosis should be made with seborrheic keratosis, condylomata acuminata, squamous cell carcinoma, vulvar intraepithelial neoplasia, bowenoid papulosis, Queyrat erythroplasia and granular cell tumour.
An accurate diagnosis is established histologically, is characterised by epidermal hyperplasia, extensive parakeratosis with neutrophil exocytosis and accumulation of xanthomatous histiocytes in the papillary dermis. Definitive treatment is surgical excision.
El xantoma verruciforme es una lesión mucocutánea rara, benigna y no destructiva. Fue descrito por primera vez en 1971 por Shafer1. La mayoría de las lesiones descritas se localizan en la cavidad oral, y son pocos los casos de xantoma verruciforme vulvar que se han publicado desde su primera descripción en 19792.
Se han postulado diferentes hipótesis patogénicas de la enfermedad, incluyendo el origen metabólico, infeccioso, inflamatorio o traumático3. El diagnóstico de esta entidad es importante, ya que puede imitar otras lesiones benignas, preneoplásicas o malignas de la vulva. El examen histopatológico es esencial para el diagnóstico2.
Presentamos un caso de xantoma verruciforme vulvar en una mujer de 45 años sin antecedentes de enfermedad vulvar previa.
Caso clínicoMujer de 45 años que acude a consulta de ginecología para revisión. Diagnosticada previamente de lupus eritematoso sistémico de difícil control. En la exploración se objetiva una lesión verrucosa en borde inferior de labio mayor izquierdo, de aspecto papilar y bordes irregulares bien delimitados de 1cm de diámetro aproximadamente (fig. 1). Se realiza biopsia de la lesión. El examen histopatológico muestra una lesión con superficie verrucosa con papilomatosis, marcada hiperqueratosis y paraqueratosis. En la capa córnea y en la epidermis se observan numerosos neutrófilos polimorfonucleares, sin que se identifiquen hongos ni otros microorganismos. La dermis papilar se encuentra ocupada por células xánticas, de citoplasma amplio espumoso, sin extenderse a capas más profundas. Se realiza estudio inmunohistoquímico positivo para CD68 (fig. 2). Se establece el diagnóstico histopatológico de xantoma verruciforme. Se realiza la exéresis completa de la lesión y se confirma el diagnóstico de xantoma verruciforme.
DiscusiónEl xantoma verruciforme es una lesión reactiva, no tumoral, que afecta principalmente a la mucosa oral1, aunque también puede afectar la piel y la mucosa genital2. Se presenta a cualquier edad, especialmente entre los 50 y 70 años4. No tiene predilección por sexo ni raza. Es una lesión crónica y la recurrencia es rara.
Existen diferentes hipótesis que tratan de explicar su etiopatogenia, aunque esta continúa siendo desconocida. La asociación con numerosas enfermedades como nevus epidérmico verrucoso, lupus eritematoso5, epidermolisis ampollosa, pénfigo vulgar y liquen plano indica una condición reactiva ante el trauma o ante una lesión cutánea previa que compromete la epidermis6. Algunos autores han propuesto que su origen puede estar asociado al virus del papiloma humano, sin haber sido confirmada su presencia por microscopia electrónica ni demostrado por PCR ni por hibridación in situ3,4,6,7.
Clínicamente se presenta como una lesión sobreelevada, de aspecto verrucoso generalmente única y asintomática, por lo que es importante su diagnóstico diferencial con otras lesiones dérmicas vulvares como condiloma acuminado, verruga vulgar y, especialmente, con enfermedad neoplásica vulvar o carcinoma verrucoso4.
El diagnóstico definitivo se establece con el estudio histopatológico que presenta características definidas: hiperplasia epidérmica, paraqueratosis extensa con exocitosis de neutrófilos y acúmulos de histiocitos xantomatosos en dermis papilar2,6.
El estudio inmunohistoquímico demuestra que las células xantomatosas se originan a partir de una estirpe de macrófagos debido a su fuerte inmunorreactividad al anticuerpo CD68.
El xantoma verruciforme no responde a corticoterapia, agentes inmunosupresores ni a radioterapia, por lo que el tratamiento definitivo consiste en ablación local o escisión8.
Conflicto de interesesLos autores declaran no tener ningún conflicto de intereses.





