Presentamos un caso de diagnóstico inicial de masa pélvica de probable origen ginecológico, etiquetada de mioma uterino como hipótesis diagnóstica principal, en que los hallazgos intraoperatorios descartan esta posibilidad y no confirman ninguna otra, difiriendo el diagnóstico hasta el informe final del anatomopatólogo en que describe una masa de origen textil persistente desde la apendicectomía realizada 18 años antes. Se demuestra así la discordancia existente entre el diagnóstico inicial y el definitivo, además de la necesidad de plantear el cuerpo extraño intraabdominal en el diagnóstico diferencial de este tipo de masas en pacientes intervenidos quirúrgicamente con anterioridad.
We present a case of a pelvic mass of probable gynecological origin, whose principal suspected diagnosis was uterine myoma. Intraoperative findings excluded this diagnosis but failed to confirm other possibilities. The definitive diagnosis was delayed until the pathological report described a mass caused by a textile foreign body retained since an appendicectomy performed 18 years previously. The present report illustrates the discrepancy between the initial and definitive diagnosis, as well as the need to include an intraabdominal foreign body in the differential diagnosis of this type of mass in previously operated patients.
Textiloma o gossypiboma (del latín gossypium, algodón) es un término que define una masa compuesta por una matriz de algodón y la cápsula en que se incluye, originada por la reacción fibrosa que produce a su alrededor. Es un diagnóstico poco frecuente y reconocido pocas veces, debido a su carácter iatrogénico. Su incidencia es difícil de estimar, ya que probablemente se describan menos casos de los que realmente tienen lugar debido a las implicaciones médico-legales que conlleva, y oscila de 1 de cada 1.000 a una de cada 5.000 cirugías abdominales, según la serie que se consulte. El tipo de cirugía al que se asocia con más frecuencia es la cirugía digestiva (52%), seguido de cirugía ginecológica, urológica y vascular.
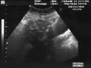
Caso clínicoPaciente de 44 años, a la que su médico de cabecera deriva a consultas externas de nuestro centro para revisión ginecológica correspondiente. Como único antecedente médico de interés relata apendicectomía hace 18 años en centro privado. Nuligesta. Eumenorreica. Índice de masa corporal 22. Refiere dolor inespecífico, de intensidad variable y larga evolución en el tiempo, que describe como “sensación de peso” localizado en hipogastrio y fosa ilíaca derecha, no en relación con los ciclos menstruales y acompañado de hábito intestinal estreñido. La especuloscopia describe un cérvix macroscópicamente normal y vagina correctamente epitelizada. En la exploración bimanual, se constata un útero discretamente aumentado de tamaño e irregular, fundamentalmente a expensas de canto derecho, de consistencia pétrea, escasamente desplazable. La ecografía vaginal informa de un útero lateralizado a la derecha, con ecoestructura y grosor endometrial normales, ambos ovarios normales, y una tumoración de 72×64mm, heterogénea, con áreas de aspecto calcificado en su interior (fig. 1) localizada en la zona de cuerno uterino derecho, cuya sombra acústica posterior dificulta su estudio detallado, y establece como primera posibilidad el diagnóstico de mioma pediculado. Se completa estudio con marcadores tumorales, que son negativos.
Informada de la hipótesis diagnóstica y opciones terapéuticas, se decide tratamiento quirúrgico consensuado con la paciente, que no manifiesta deseo genésico (miomectomía/histerectomía simple).
Se realiza laparotomía media infraumbilical y acceso a cavidad peritoneal, y se visualiza una tumoración bien delimitada, subperitoneal, con crecimiento aparentemente hacia retroperitoneo, intensamente adherida a la trompa de Falopio derecha (aparentemente dependiente de ésta) y que engloba pared intestinal de íleon distal. Se intenta la movilización del intestino adherido a la lesión, sin éxito, por lo cual se produce apertura de mesoíleon y ligadura de vasos, para posteriormente realizar sección proximal y distal de íleon distal (aproximadamente 20cm) con GIA. Para finalizar la resección de la tumoración, se realiza sección de ligamento redondo y trompa, incluido ovario, adheridos a la masa. Después de extirpar la lesión en bloque (fig. 2), se realiza anastomosis ileoileal (término-terminal) monoplano con puntos sueltos y lavado de cavidad con suero fisiológico. Se procede al cierre de la pared después de colocar drenaje Jackson Pratt en la pelvis. Tras finalizar la intervención, se abre la tumoración, y se observa contenido formado por fibras sólidas entremezcladas con material de aspecto caseoso (fig. 3). Se remite la pieza para estudio anatomopatológico, el cual es informado 5 días después como pieza constituida por una cápsula externa fibrocolágena muy escasamente celular, acompañada de una reacción histiocitaria con células gigantes multinucleadas y otra población mononucleada, entremezclada con material tipo cuerpo extraño de aspecto textil. Esta lesión se encuentra pegada a la serosa intestinal, aunque no se observa que se origine en ella, ni en otras capas de la pared intestinal. El ovario y la trompa, que están intensamente adheridos a la misma pieza, no muestran alteraciones relevantes. El informe concluye con la identificación de la tumoración como textiloma de 9,5×8cm adherido a serosa intestinal, ovario y trompa derechos, en los que no se reseñan alteraciones.
DiscusiónLos cuerpos extraños de algodón en abdomen pueden presentarse de forma aguda o retardada, dando lugar a diferentes cuadros clínicos, dependiendo de la presencia o no de infección sobreañadida. Cuando coexiste infección, dan lugar a cuadros de sepsis aguda posquirúrgica, en los que se forman abscesos o granulomas alrededor de dicho cuerpo extraño1. Sin embargo, en la mayoría de los casos, se promueve una reacción crónica aséptica, con exudación en las primeras 24h, que evoluciona hacia la formación de un tejido de granulación que da paso a la organización de fibrosis aproximadamente a partir del décimo día2.
Si persisten las condiciones de asepsia, esta reacción se perpetúa y produce la encapsulación o enquistamiento del cuerpo extraño inicial, y puede originar un intenso síndrome adherencial alrededor de la cápsula fibrosa. Esta masa neoformada puede permanecer clínicamente silente hasta meses o años después de la intervención3, y presentarse como una masa o síndrome seudotumoral, con síntomas por compresión, oclusión intestinal o incluso hemorragia digestiva por erosión vascular en las asas intestinales vecinas. En algunos casos, como el descrito, permanecen sin causar síntomas y se diagnostican accidentalmente en pruebas de imagen realizadas por otra causa. En otros, este cuerpo extraño encapsulado puede migrar a través de planos de menor resistencia o formar trayectos fistulosos hacia la luz intestinal, vaginal, o a la piel, o llegar en ocasiones a producir perforación o extrusión. Incluso se han descrito casos de migración transdiafragmática desde el abdomen hacia el tórax.
Fundamentalmente, se describen 3 factores de riesgo para la retención de cuerpos extraños después de la cirugía abdominal, que son: el carácter urgente de la intervención, cambios no planeados en el procedimiento quirúrgico a emplear, y el índice de masa corporal que presente el paciente.
En la mayoría de los casos, el diagnóstico se realiza por radiografía simple, especialmente en los casos en que el material textil está dotado de contrastes plomados4. Cuando carecen de éstos o se trata de casos de larga evolución, se ha descrito un patrón radiológico característico en “panal de abejas” o en “miga de pan”1, que se corresponde con la compresa infiltrada de secreciones y gas procedentes de microperforaciones en la pared intestinal. Cuando la reacción granulomatosa que forman es avanzada, se pueden confundir fácilmente a través de pruebas de imagen convencionales (ecografía, tomografía computarizada) con colecciones de contenido incierto o incluso masas tumorales. La ecografía presenta imágenes ecogénicas, heterogéneas y mal delimitadas que proyectan sombra posterior. En la tomografía computarizada, se definen masas bien delimitadas y con realce periférico (que corresponde a la cápsula) que pueden adoptar diferentes patrones tomográficos, más frecuentemente patrón espongiforme1.
En los pocos casos en que el diagnóstico de textiloma se realiza previamente a una intervención, se indica su resección quirúrgica, debido a sus potenciales complicaciones mediante ese tratameinto más sencillo, dependiendo de su localización. Se han descrito extracciones por vía laparoscópica, guiadas por ecografía, a partir de técnicas percutáneas, e incluso por colonoscopia5.






