La secuencia de bandas amnióticas es una entidad que puede presentarse como un amplio espectro de malformaciones fetales, cuyo origen está relacionado con la presencia de bandas amnióticas. Presentamos el caso de una gestante de 17+6 semanas, sin control gestacional previo, en la que se detectaron un gran número de malformaciones fetales con presencia de bandas amnióticas. El diagnóstico de esta entidad se realiza con la ecografía prenatal, sospechándose en presencia de malformaciones fetales diversas que no pertenecen a ningún síndrome conocido. La presencia de una brida amniótica constituye un elemento patognomónico, aunque no siempre está presente. Debemos conocer esta entidad, ya que existe un gran infradiagnóstico debido a su gran variedad clínica. Realizar el diagnóstico prenatal nos permite determinar el pronóstico, así como valorar la necesidad de intervenciones quirúrgicas tanto antes como después del nacimiento.
Amniotic band sequence can show a wide spectrum of fetal malformations, the origin of which is the presence of amniotic bands. We present the case of a pregnant woman of 17+6 weeks, without gestational control. Multiple fetal malformations with presence of amniotic bands were detected on ultrasonography. Echography plays a major role in the diagnosis, with the presence of diverse fetal malformations. The presence of an amniotic band is pathognomonic, but is not always present. We must be aware of this sequence because it is underdiagnosed due to its wide clinical spectrum. Prenatal diagnosis of this entity allows us to determine prognosis of the pregnancy. It also helps us to evaluate possible surgical interventions after and before birth.
La secuencia de bandas amnióticas (SBA) constituye un conjunto muy amplio de malformaciones, cuyo origen inicial está relacionado con la presencia de bandas amnióticas1. Conocida en la literatura por múltiples nombres, la etiología de esta entidad no está del todo clara. El diagnóstico de la misma se suele realizar de forma prenatal, mediante ecografía, aunque hay casos más leves en los que el diagnóstico se realiza tras el nacimiento.
A continuación, presentamos el caso de una paciente gestante en la que se observó un feto polimalformado a raíz de una secuencia de bandas amnióticas, así como una revisión de la literatura.
Caso clínicoPresentamos el caso de una paciente de 31 años, gestante de 17+6 semanas, con el antecedente de dos partos normales y un aborto previos. No presentaba enfermedades importantes ni intervenciones quirúrgicas entre sus antecedentes.
La paciente acudió al servicio de urgencias por sangrado vaginal en cantidad menor que regla de un día de evolución, así como dolor abdominal en hipogastrio de características dismenorreicas. No presentaba otra sintomatología.
A la exploración ginecológica no se objetivó sangrado vaginal. El resto de la exploración ginecológica era normal, presentando una altura uterina que correspondía con la amenorrea de la paciente. En la ecografía realizada en el servicio de urgencias se objetivó un feto con movimientos cardíacos fetales positivos, con múltiples malformaciones a nivel craneal y abdominal. Reinterrogando a la paciente refirió no haber realizado control gestacional. Se remitió a la paciente a la consulta de ecografía obstétrica de alta resolución para estudio.
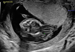
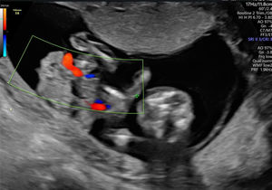
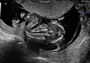
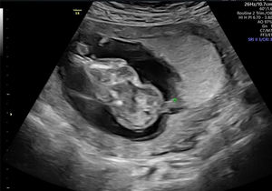
En la ecografía realizada al día siguiente en la consulta se objetivó un feto único en situación transversa izquierda con movimientos cardíacos fetales positivos. Se visualizó un encefalocele occipital de gran tamaño (fig. 1), con un defecto de la calota a nivel occipital y herniación importante de las estructuras cerebrales. En el extremo del encefalocele se objetivó una banda amniótica conectada al amnios (fig. 2). Asimismo, presentaba una ectopia cordis, con un importante defecto de la formación de la pared torácica anterior, ubicándose el corazón en el exterior de la caja torácica. En el estudio del corazón se visualizó que presentaba hipoplasia del ventrículo izquierdo. También se observó un gran defecto a nivel de la pared abdominal anterior, presentando gastrosquisis de gran cantidad de asas de intestino delgado y gran parte del hígado (fig. 3). Por último, a nivel de la columna se visualizó una cifoescoliosis severa a nivel lumbar (fig. 4). A nivel de placenta y anejos, la placenta se encontraba insertada en la cara anterior del útero con ecogenicidad acorde a la edad gestacional. En lo referente al amnios, este presentaba un fallo en la fusión con el corion (fig. 5). La cantidad de líquido amniótico era normal. No se encontraron otros hallazgos en la exploración ecográfica.
Dado que el feto presentaba múltiples malformaciones discordantes entre sí que no pertenecían a ninguno de los síndromes conocidos y la visualización directa de una brida amniótica (elemento patognomónico) se diagnosticó de una secuencia de bandas amnióticas.
Ante el diagnóstico de una secuencia de bandas amnióticas se propuso a la paciente la realización de una amniocentesis, dado que deseaba intentar nuevas gestaciones. La paciente aceptó y se realizó la amniocentesis sin incidencias. En la muestra solo se realizó el cariotipo fetal, siendo este normal 46XX.
Finalmente, la paciente decidió realizar una interrupción de la gestación, ante el mal pronóstico de la misma. Dado que la paciente decidió realizar la interrupción de la gestación en centro privado, no fue posible disponer de estudio anatomo-patológico posterior que confirmara los hallazgos ecográficos.
DiscusiónComo se puede observar en el caso clínico presentado, la secuencia de bandas amnióticas puede englobar un amplio número de malformaciones fetales, cuyo origen está relacionado con la presencia de bandas amnióticas1.
Dada esta amplia heterogeneidad de presentaciones clínicas, en la literatura presenta múltiples nombres: secuencia de disrupción amniótica, secuencia de bridas amnióticas, bandas de constricción congénitas, bandas de Streeter, constricciones anulares congénitas, complejo extremidad-pared abdominal o complejo ADAM2,3.
La prevalencia de la SBA varía de 1:1200 a 1:15000 nacidos vivos, afectando a ambos sexos por igual1,4. Como factores de riesgo descritos destacan los traumatismos maternos, el tabaco, las malformaciones uterinas, las enfermedades del colágeno y procedimientos fetales invasivos2,4,5. La mayoría de los casos ocurren de forma esporádica, sin asociación familiar.
La etiología de la SBA no está del todo clara, múltiples teorías han surgido a lo largo de los años. La teoría clásica es la de la ruptura del saco amniótico. Esta teoría postula que la ruptura del saco amniótico en edades gestacionales tempranas favorece, en ocasiones, la formación de bandas amnióticas debido a la exposición de la cavidad amniótica con la cavidad coriónica. Estas bandas amnióticas pueden ejercer efectos de constricción sobre las partes fetales y provocar lesiones extrínsecas, aunque la simple adherencia de las mismas sobre las partes fetales puede provocar alteraciones del desarrollo debido a la gran respuesta inflamatoria que producen1,6.
Otra de las teorías es la teoría vascular. Esta surge debido a que en ocasiones existen malformaciones viscerales que no se pueden explicar por constricción provocada por las bandas amnióticas. En ocasiones una lesión vascular fetal produce isquemia y necrosis, afectando a la organogénesis y formándose una banda amniótica de forma secundaria a la necrosis previa6.
Por otro lado, otros autores relacionan esta secuencia con alteraciones en el desarrollo del ectodermo y el mesodermo, que originan malformaciones y necrosis de los tejidos, formándose bandas amnióticas de forma secundaria1,6.
Clínicamente la SBA puede presentar múltiples tipos de malformaciones4,7. Las malformaciones más frecuentes se muestran en la tabla 1. Esto produce que la incidencia de abortos, partos pretérminos y muertes fetales intraútero estén aumentados en estas pacientes7.
Malformaciones fetales causadas por la SBA
| Malformaciones fetales | |
| Craneofaciales | EncefaloceleFisura palatinaAsimetría facialExencefalia/anencefalia |
| Pared torácica/abdominal | Herniación de estructuras |
| Extremidades | Anillos de constricciónAusencia de partes de extremidadesMalposición de pies/manosContracturas articularesFracturas |
| Vísceras | Hipoplasia pulmonar |
| Cordón umbilical | Cordón cortoConstricción del cordón |
| Columna vertebral | Escoliosis |
| Otras | Genitales ambiguosPterigiumOligo/hidramnios |
Debida a la heterogeneidad de presentaciones clínicas, el diagnóstico de la SBA puede ser difícil. El diagnóstico prenatal se realiza mediante ecografía y se debe sospechar ante la presencia de alguna de las malformaciones descritas. La presencia de bandas amnióticas en relación con dichas malformaciones es un signo patognomónico, aunque no es necesaria su visualización para el diagnóstico de esta entidad. En presencia de malformaciones mayores (craneofaciales o abdominales) existe un infradiagnóstico de la SBA debido a que no se relacionan las malformaciones con las bandas amnióticas y se atribuyen a defectos de otro tipo. En ocasiones, el diagnóstico se realiza de forma postnatal, ante la presencia de amputaciones de miembros u otras partes fetales1,2,4,6. La resonancia magnética nuclear podría tener utilidad como estudio detallado de las malformaciones presentes, en aquellos casos que pueden beneficiarse de una fetoscopia o cirugía postnatal6.
En el diagnóstico diferencial de la SBA debemos tener en cuenta las siguientes entidades: sinequias uterinas, saco gestacional remanente de un gemelo interrumpido, bandas de fibrina, falta de fusión corioamniótica y placenta circunvalada, así como otros síndromes y teratógenos8.
El pronóstico de esta entidad depende de la gravedad de las malformaciones4. Dado que normalmente no existe relación familiar, no está recomendada la realización de pruebas genéticas, como la biopsia corial o la amniocentesis8. Aunque sí que puede tener utilidad de cara a la planificación de gestaciones futuras, por lo que debería ser una decisión individualizada y consensuada con la paciente4.
Tras el diagnóstico, el manejo de la SBA debe ser multidisciplinar. Ante un diagnóstico prenatal se deberían realizar controles ecográficos con el objetivo de vigilar el efecto de las bandas amnióticas sobre el feto. Existen situaciones en las que se podría realizar la lisis de dichas bandas mediante fetoscopia9. Ante un diagnóstico posnatal se debe evaluar la gravedad de las malformaciones y determinar la necesidad de una actitud quirúrgica.
En resumen, la SBA es una entidad que puede presentarse de forma esporádica como un amplio espectro de malformaciones fetales debido a las bandas amnióticas. El diagnóstico prenatal, aunque difícil, nos permite realizar un seguimiento y valorar la necesidad de posibles intervenciones quirúrgicas tanto antes como después del nacimiento.
Responsabilidades éticasProtección de personas y animalesLos autores declaran que para esta investigación no se han realizado experimentos en seres humanos ni en animales.
Confidencialidad de los datosLos autores declaran que han seguido los protocolos de su centro de trabajo sobre la publicación de datos de pacientes.
Derecho a la privacidad y consentimiento informadoLos autores declaran que en este artículo no aparecen datos de pacientes.
Consideraciones éticasLos autores declaran que en el presente artículo no aparecen datos identificativos ni personales de pacientes.
FinanciaciónLos autores declaran no haber recibido financiación para la realización de este trabajo.
Conflicto de interesesLos autores declaran no tener ningún conflicto de intereses.









