El estreptococo B hemolítico del grupo A es una bacteria aerobia Gram +, que puede producir una gran variedad de síndromes infecciosos en el puerperio. Hasta un tercio de las infecciones se complicará con un shock tóxico estafilocócico, caracterizado por shock y disfunción multiorgánica. Cultivos, diagnóstico y tratamiento precoces son vitales para el buen pronóstico. Presentamos el caso de una paciente puerperal con un síndrome de shock tóxico estreptocócico, complicado con una isquemia mesentérica masiva, donde tratamiento antibiótico y cirugía precoz fueron claves para la evolución.
B hemolytic group A streptococcus is an aerobic Gram-positive bacteria that can produce a wide variety of infectious syndromes in the puerperium. Up to one-third of infections will be complicated by streptococcal toxic shock, characterized by shock and multiorgan dysfunction. Early cultures, diagnosis and treatment are vital to good prognosis. We present the case of a puerperal patient with streptococcal toxic shock, complicated by massive mesenteric ischemia, in whom antibiotic treatment and early surgery were the key to outcome.
Durante el periodo puerperal, las mujeres son especialmente vulnerables a infecciones invasivas, debido a la disrupción de la piel o la mucosa vaginal durante el parto. Una de estas infecciones es la causada por el estreptococo B hemolítico del grupo A (GAS)1, cuya incidencia está aumentando exponencialmente en las últimas décadas. Un número importante de las infecciones por este germen, entre el 8-30%, se ven complicadas con un síndrome de shock tóxico estreptocócico (STSS), caracterizado por shock y disfunción multiorgánica, y cuya mortalidad puede llegar al 45%2,3.
La isquemia mesentérica es una enfermedad caracterizada por un insuficiente flujo sanguíneo en los órganos abdominales. Supone el 1% de los casos de abdomen agudo, y su mortalidad puede alcanzar el 100%. Diagnóstico y tratamiento precoces son claves para la supervivencia4.
Presentamos el caso de una paciente puérpera, de 37 años, que comenzó a las 12 horas del parto con clínica de shock y dolor abdominal, diagnosticándose de isquemia mesentérica masiva debido a un shock tóxico por Estreptococo pyogenes.
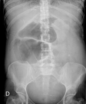
Caso clínicoSe trata de una paciente de 37 años que, 12 horas después de un parto vía vaginal sin complicaciones, comenzó con dolor abdominal inespecífico, náuseas, vómitos y fiebre alta, siendo tratada con analgésicos y antitérmicos habituales. Se realizó Rx abdominal, que mostró neumatización gástrica y de ciego, con distensión de este último, presencia de gas en ampolla rectal, y múltiples niveles hidroaéreos, sugestivo de íleo paralítico (fig. 1). Doce horas después, la paciente comenzó con hipotensión mantenida y oliguria refractarias al tratamiento con sobrecargas de volumen, por lo que se decidió ingreso en la UCI.
La paciente ingresó en la UCI con inestabilidad hemodinámica, fiebre y signos de shock (taquicardia, taquipnea, frialdad distal, oliguria, etc.). A la exploración destacó, además del dolor abdominal de forma difusa (exploración dificultosa por el parto reciente), deficiente perfusión periférica y eritrodermia en el tórax que se achacó entonces a una posible reacción a la medicación pautada.
Con la sospecha diagnóstica de shock séptico de origen abdominal se extrajeron cultivos y se inició antibioterapia empírica de amplio espectro, además del tratamiento habitual del shock séptico, con volumen, aminas y corticoides.
La analítica de sangre mostró pH: 7,10; pCO2 22,6mmHg; bicarbonato 6,8mEq/L; exceso de base -21,5mEq/L; procalcitonina 87,28ng/mL; creatinina 1,20mg/dL; sodio 128mEq/L; lactato 77,4mg/dL; leucocitos 800μL; hematocrito 30,7%; plaquetas 46.000μL; INR 2,08; tiempo de cefalina 71,1seg; actividad de protrombina 40%; fibrinógeno derivado 3,2g/L; fibrinógeno Von Clauss 1,7g/dL; antitrombina 19%.
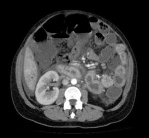
Pensando en el foco abdominal como responsable del shock y debido a la dificultad de la exploración, se solicitó TC toracoabdominal, que evidenció necrosis de la pared del hemicolon derecho (colon ascendente y transverso) por colitis isquémica no oclusiva (fig. 2). Con estos hallazgos se decidió cirugía urgente, encontrándose isquemia no solo del colon, sino también del útero y los anejos, por lo que se realizó histerectomía subtotal con doble anexectomía más colectomía subtotal, ampliando hasta 40cm de la válvula ileocecal. Se dejó ileostomía y fístula mucosa en colon descendente. Durante la intervención precisó de vasoactivos e inotropos a dosis altas, además de la trasfusión de hemoderivados (sangre, plasma fresco y plaquetas).
La paciente volvió a la UCI sedoanalgesiada y conectada a ventilación mecánica (VM), con hipoxemia severa e inestabilidad hemodinámica a pesar de grandes cantidades de cristaloides y dosis crecientes de vasoactivos e inotropos. La coagulopatía de consumo se trató con heparina sódica, antitrombina y fibrinógeno. La paciente precisó también de furosemida en perfusión continua para mantener unas diuresis adecuadas.
Durante unas 24 horas se mantuvo en situación de shock severo y fracaso multiorgánico.
A las 36 horas del ingreso, avisaron del servicio de microbiología por observar crecimiento de bacterias Gram+en los hemocultivos (cubiertas con la antibioterapia empírica). Unas horas después, confirmaron el crecimiento de Estreptococo pyogenes, con antibiograma preliminar sensible a los antibióticos pautados.
La paciente comenzó a mejorar lenta pero progresivamente, permitiendo retirar los inotropos y disminuir la dosis de vasoactivos. La situación respiratoria mejoró notablemente, logrando una adecuada oxigenación, con Pa/FiO2>300. También se recuperó la función renal, con buenas diuresis espontáneas desde entonces.
A las 72 horas del ingreso, dada la buena evolución de la paciente, se retiró la sedación y se extubó a la paciente, debiendo ser reintubada pocas horas después por hemorragia alveolar debida a la coagulopatía. La situación pulmonar, así como la debilidad de la paciente, prolongaron los días de VM, pudiéndose retirar definitivamente a los 18 días del ingreso en UCI. A los 22 días del ingreso, recuperadas por completo la situación hemodinámica y respiratoria, la paciente fue dada de alta a la planta de hospitalización para continuar la recuperación. Fue dada de alta a su domicilio 15 días después. Dos meses aproximadamente después del episodio, la paciente reingresó para reconstrucción del tránsito digestivo, sin incidencias.
DiscusiónEl estreptococo B hemolítico del grupo A (GAS) es una bacteria aerobia Gram +, que produce una gran variedad de síndromes infecciosos como erisipela, impétigo, celulitis o meningitis, así como complicaciones postinfecciosas, como fiebre reumática y glomerulonefritis postestreptocócica5.
La puerta de entrada más frecuente del germen es a través de las barreras mucosas, si bien en hasta un 45% de los casos es imposible encontrar la puerta de entrada6. En el caso que nos ocupa, parece lógico aceptar que la infección de la paciente tuvo lugar durante el parto, por disrupción de la barrera natural de piel y/o mucosas, haciéndose evidente 12 horas después. Aunque no se ha comentado previamente, el recién nacido también padeció una sepsis por el mismo germen, lo que apoya esa hipótesis.
Hasta un tercio de estas infecciones desarrollarán un STSS, con fracaso multiorgánico y una mortalidad estimada del 45%, aunque según estudios podría alcanzar el 80%7. Los criterios para diagnosticar este síndrome, establecidos en 19968 y vigentes en el momento actual, se pueden apreciar en la tabla 1. En nuestro caso podemos hablar de diagnóstico definitivo por la presencia de hemocultivos positivos y shock con fracaso de varios órganos (coagulopatía, SDRA, etc.).
Criterios para el diagnóstico del síndrome de shock tóxico estreptocócico (SSTS)8
| I. Aislamiento de Etreptococo pyogenes |
| A. A partir de localización estéril (sangre, líquido pleural, herida quirúrgica, etc.) |
| B. A partir de localización no estéril (faringe, vagina, lesión cutánea, etc.) |
| II. Gravedad |
| A. Hipotensión: TAS ≤90mmHg en adulto (<5.° percentil en niños). |
| B. Además, 2 o más de las siguientes: |
| 1. Insuficiencia renal: creatinina ≥2mg/dl. |
| 2. Coagulopatía: plaquetas ≤100×109/l o CID*. |
| 3. Alteración hepática: GOT, GPT o bilirrubina ≥ 2 veces el valor normal. |
| 4. Distrés respiratorio: infiltrado pulmonar y/o hipoxemia. |
| 5. Rash cutáneo y descamación. |
| 6. Infección necrosante de partes blandas, miositis o gangrena. |
SSTS definido si cumple los criterios IA+II (A y B), y probable si cumple los criterios IB+II (A y B).
Las manifestaciones clínicas de este síndrome son numerosas, en función del principal órgano que se vea afectado, lo que dificulta el diagnóstico. En nuestra paciente, la situación de shock provocó una isquemia mesentérica no oclusiva, inicialmente en forma de colitis isquémica (la causa más frecuente de isquemia mesentérica9), pero con posterior afectación de otros órganos abdominales, como útero y anejos. La mortalidad de esta entidad puede llegar al 100% si no se trata de forma precoz y agresiva4. En nuestro caso, la realización del TC abdominal fue clave para el diagnóstico, ya que la cirugía inmediata, junto con el tratamiento antibiótico efectivo desde el primer momento, probablemente fueron las claves para la buena evolución posterior de la paciente.
Desde nuestro punto de vista, la infección por GAS (y su manifestación más grave, el STSS), aunque no sea muy frecuente, sí debe ser considerada en cualquier caso de infección en el periodo puerperal, pues el diagnóstico y el tratamiento precoz son vitales para el pronóstico de los pacientes. En caso de shock severo con abdomen agudo, la isquemia mesentérica debe ser una de las patologías a descartar.
Conflicto de interesesLos autores declaran no tener ningún conflicto de intereses.






