La coexistencia de una mola hidatiforme completa y de un feto vivo es una entidad muy poco frecuente que clásicamente se ha asociado a un alto riesgo de aborto espontáneo, muerte intrauterina, parto pretérmino, preeclampsia, hipertiroidismo y malignización.
El mal pronóstico de la gestación y los riesgos maternos generan un dilema sobre la terminación inmediata del embarazo en el momento del diagnóstico o una conducta expectante.
Presentamos el caso de una mola hidatiforme completa coexistente con un feto vivo que llegó a término sin presentar ninguna complicación.
The coexistence of a complete hydatidiform mole with a live fetus is a rare finding that has usually been associated with a high risk of spontaneous miscarriage, intrauterine death, preterm labor, preeclampsia, hyperthyroidism and malignancy. The poor prognosis of the pregnancy and the risks to the mother generate a dilemma between immediately terminating the pregnancy at diagnosis or adopting an expectant attitude. We present a case of a complete hydatidiform mole coexisting with a live fetus that reached term with no complications.
La coexistencia de una mola hidatiforme completa y de un feto vivo tiene una incidencia de 1/22.000–100.000 gestaciones1.
Esta condición se asocia a un alto riesgo de aborto espontáneo, muerte intrauterina, parto pretérmino, preeclampsia, hipertiroidismo y malignización2.
Ante una gestación como ésta, hay que descartar complicaciones maternas mayores, comprobar que el cariotipo fetal sea normal e informar del pronóstico a la madre.
Las guías clínicas para tomar decisiones son limitadas dado que hay pocos casos publicados.
Caso clínicoSecundigesta de 27 años, originaria de Marruecos, sin antecedentes medicoquirúrgicos de interés, con una gestación previa sin complicaciones.
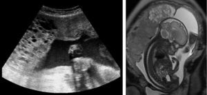
A las 20,5 semanas de amenorrea se realizó el primer control del embarazo y ecográficamente se sospechó una gestación gemelar con una mola hidatiforme completa y un feto vivo morfológicamente normal, que se confirmó por resonancia magnética (fig. 1).
Se explicaron los riesgos potenciales, pero la mujer decidió continuar la gestación.
Se practicó una amniocentesis con el resultado de un cariotipo diploide femenino normal: 46,XX.
El nivel de beta-human corionic gonadotropin (β-HCG) en el momento del diagnóstico fue de 210.427mU/dl. El resto del análisis y la radiografía de tórax fueron normales. En la figura 2 se puede ver la evolución de los niveles de β-HCG durante la gestación y en los controles posparto.
La paciente se mantuvo clínicamente bien durante todo el embarazo y los controles analíticos, ecográficos y Non Stress Test (NST) estuvieron siempre dentro de los límites de la normalidad, a excepción de una anemia leve (9,8g/dl).
A las 38,3 semanas de amenorrea se practicó una inducción oxitócica del parto y nació una niña sana de 2.510g; test de Apgar 9-10-10; pH arteria uterina 7,32, y pH vena uterina 7,39.
La anatomía patológica de la placenta confirmó el diagnóstico de gestación gemelar con mola hidatiforme completa y placenta normal (fig. 3).
La β-HCG se negativizó un mes posparto y ha continuado siendo negativa 6 meses después, siendo dada de alta la paciente.
DiscusiónLas gestaciones gemelares con mola hidatiforme y feto vivo se dan en 1/22.000–100.000 embarazos1. En nuestro servicio (con 3.300 partos anuales) es el primer caso.
La mola completa es diploide y los 46 cromosomas son de origen paterno2 por la fertilización de un óvulo con el núcleo ausente o inactivado.
Las series publicadas muestran una media en el diagnóstico de 18 semanas (14–21), igual que nuestro caso, a pesar de no haber controlado la gestación hasta las 20 semanas.
Es por ello que las características ecográficas descritas por Jauniaux y Nicolaides3 en 1997 a las 12–14 semanas de embarazo no pudieron ser apreciadas en nuestro caso, dado el control tardío de la gestación. Por el mismo motivo, no disponemos de α-fetoproteína ni de pregnancy associated plasma protein A (PAPP-A).
Los riesgos descritos que comportan estas gestaciones son tanto maternos como fetales: en el 42% (41/66) pérdida fetal, en el 62% (41/66) parto pretérmino, en el 76% (74/97) sangrado vaginal, en el 27% (25/92) preeclampsia, en el 23% (15/63) quistes ováricos tecaluteínicos, en el 6% (4/71) hipertiroidismo y en el 35% de los casos (61/174) persistencia de la enfermedad trofoblástica que requerirá quimioterapia4.
A pesar de esto, no se ha objetivado un aumento de las anomalías fetales5 y, por lo menos en las molas completas simples, no hay evidencia de que el retraso en la evacuación/parto aumente el riesgo de necesitar quimioterapia posteriormente6.
Así, si la madre está clínicamente bien, el feto es cromosómicamente normal y se desea continuar la gestación, podemos ofrecer una conducta expectante con estrictos controles clínicos, ecográficos y analíticos en un centro especializado7.
Para concluir, queremos señalar que la ecografía puede identificar una gestación gemelar donde coexistan una mola y un feto normal. La resonancia magnética pude aportar imágenes que complementen el diagnóstico de esta entidad. El diagnóstico de esta entidad presenta dilemas importantes para la madre, que debe enviarse a un hospital terciario para control de la gestación por el alto riesgo de complicaciones maternas y fetales.






