INTRODUCCIÓN
El carcinoma verrucoso de la vulva es un tumor bien diferenciado, de crecimiento lento y aspecto verrucoso, que habitualmente no metastatiza en ganglios linfáticos ni a distancia. El tratamiento es la escisión con márgenes libres.
En 1945 Ackerman1 utiliza por primera vez el término carcinoma verrucoso para describir una variante inusual de carcinoma escamoso de boca. En 19702 queda establecido el término de tumor de Ackerman o carcinoma verrucoso y en la década de los ochenta del pasado siglo se habían comunicado más de 400 casos, no sólo en cavidad oral, el lugar más frecuente, sino en otras localizaciones como piel, aparato genital externo masculino y femenino, cérvix uterino, canal anal, vejiga, pelvis renal y esófago3.
Se describe como un tumor bien diferenciado, de crecimiento lento, aspecto verrucoso y que habitualmente no metastatiza en ganglios linfáticos ni a distancia1. El carcinoma verrucoso del tracto genital femenino constituye una entidad poco frecuente y puede afectar a vulva, vagina y cérvix4.
CASO CLÍNICO
Paciente de 26 años de edad, que acude a revisión ginecológica rutinaria. Refiere antecedentes familiares sin interés y entre los antecedentes personales menarquia a los 12 años con ciclos regulares, comienzo de relaciones sexuales a los 19 años y desde hace 1 año toma anticonceptivos orales. Reconoce haber tenido una sola pareja sexual, que es la actual. Fumadora de 10 cigarrillos/día. En la exploración presenta genitales externos normales con una pequeña lesión < 0,5 cm en tercio inferior de labio mayor derecho verrucosa de aspecto condilomatoso, cérvix de nulípara y útero y anejos normales. Se realiza citología cervical y ecografía que resultan sin alteraciones y se inicia tratamiento con imiquimod de la lesión vulvar. Tras finalizar el tratamiento y al no haber respondido la lesión, la paciente es remitida a la Consulta de Patología Cervical de nuestro Servicio para valoración de tratamiento destructivo local con láser CO2. Se realiza vulvocolposcopia sin otro hallazgo que una pequeña lesión verrucosa, de consistencia dura y se decide hacer una biopsia de la misma. La determinación de virus de papiloma humano (VPH) por técnica de hibridación fue negativa. El resultado anatomopatológico fue de carcinoma verrucoso de la vulva (figs. 1 y 2). Se realizó determinación de VPH por reacción en cadena de la polimerasa (PCR) en la pieza de biopsia que resultó negativa. Se decidió como tratamiento definitivo ampliación de márgenes, cuyo informe anatomopatológico fue de tejido sano sin tumor residual.
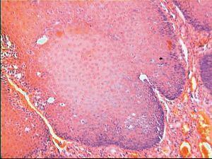
Fig. 1. Mucosa vulvar con lesión papilomatosa endofítica con recubrimiento de hiperqueratosis y paraqueratosis, que corresponde a un patrón de carcinoma verrucoso (HE,10).
Fig. 2. Carcinoma verrucoso compuesto por células epiteliales escamosas grandes, bien diferenciadas, con apariencia benigna (HE, 40).
DISCUSIÓN
El carcinoma verrucoso es un variedad de carcinoma escamoso que constituye menos de 1% de todos los cánceres de vulva5, caracterizado por una lenta evolución y un patrón de crecimiento invasivo local6. La mayoría de los casos se presentan en mujeres posmenopáusicas, aunque en edades más tempranas que el carcinoma epidermoide. También se ha descrito en mujeres más jóvenes, si bien no se ha encontrado en la bibliografía ningún caso en edades tan tempranas como el caso que se presenta7,8.
Su etiología es desconocida. Se han comunicado casos en los cuales se ha detectado la presencia de VPH tipos 6 y 11 en el tejido tumoral6,9-11, aunque su papel no está del todo claro y se debe demostrar si la presencia del VPH es una coincidencia o un cofactor en la carcinogénesis6.
Clínicamente puede presentarse como una pequeña verruga excrecente, como en el caso que se presenta, y se debe pensar en él cuando un condiloma no responde al tratamiento tópico12 o como una gran lesión con aspecto de coliflor que destruye el tejido subyacente y que sugiere una conducta agresiva.
Histológicamente el carcinoma verrucoso muestra un bajo grado de malignidad, con escasa atipia citológica. Presenta un patrón de crecimiento exoendofítico, y esta arquitectura es su selllo más característico. El crecimiento exofítico es un epitelio escamoso bien diferenciado con hiperparaqueratosis y el componente endofítico es un epitelio hiperplásico que empuja y comprime pero no infiltra el tejido subyacente2,13.
El tratamiento es la escisión del tumor con márgenes libres de al menos 1 cm para evitar recurrencias6. La linfadenectomía no está indicada, ya que no se ha demostrado diseminación linfática ni a distancia2,7,14. Las recurrencias deben tratarse con reescisión y empeoran el pronóstico15. La radioterapia está contraindicada, ya que se han descrito transformaciones anaplásicas del tumor hasta en el 30% de los casos16,17. Este hecho no se ha constatado en recientes trabajos que describen dicha transformación en pacientes tratados quirúrgicamente18,19.





