El abdomen agudo en la gestación y el puerperio constituye un diagnóstico complejo y un reto terapéutico. Nuestro objetivo es realizar una revisión bibliográfica de esta patología a propósito de un caso de peritonitis secundaria a absceso tubárico con apendicitis por helmintos concomitante.
Principalmente, su sintomatología se resume en el dolor y la distensión abdominal, las náuseas y/o los vómitos. Estos síntomas se encuentran presentes en el embarazo normal, dificultando el diagnóstico diferencial. El abdomen agudo es relativamente infrecuente durante la gestación y el puerperio, siendo la apendicitis aguda la principal causa de origen no obstétrico. Asocia una elevada morbimortalidad materno-fetal, que aumenta a medida que la gestación avanza, requiriendo un manejo multidisciplinar para alcanzar un diagnóstico precoz y un tratamiento efectivo. Fundamentalmente, el abordaje terapéutico es quirúrgico debido, en gran medida, al diagnóstico tardío con frecuente asociación de complicaciones. Un manejo temprano será primordial para minimizar riesgos para la madre y el feto.
Acute abdomen in pregnancy and the postpartum period is a complex diagnostic and therapeutic challenge. We review the literature on this topic and report a case of peritonitis secondary to tubal abscess with concomitant helminth appendicitis.
The main symptoms of this entity are pain and bloating, nausea and/or vomiting. These symptoms are present in normal pregnancy, which hampers the differential diagnosis. Acute abdomen is relatively uncommon during pregnancy and the postpartum, and the main obstetric cause is acute appendicitis. Maternal and fetal morbidity and mortality are high and increase as the pregnancy progresses, requiring multidisciplinary management to achieve early diagnosis and effective treatment. The therapeutic approach is mainly surgical, largely due to late diagnosis and associated complications. Early management is essential to minimize the risks to the mother and fetus.
El abdomen agudo en la mujer gestante constituye un diagnóstico complejo y un reto terapéutico para el profesional médico. Presenta una incidencia de 1 de cada 500-635 gestaciones1. Su diagnóstico diferencial se ve dificultado por la necesidad de discernir entre los cambios fisiológicos del embarazo de aquellos asociados a patología orgánica. La principal etiología de origen no obstétrico es la apendicitis aguda, con una incidencia de 1 de cada 1.500 casos2. La presentación de la enfermedad inflamatoria pélvica en forma de abscesos pélvicos y peritoneales como complicación en la gestación es excepcional3. La complejidad del diagnóstico diferencial a menudo supone un retraso en el diagnóstico y el tratamiento, constituyendo un riesgo vital para la madre y el feto.
El objetivo de nuestro estudio es realizar una revisión bibliográfica del cuadro de abdomen agudo durante la gestación y el puerperio a propósito de un caso acontecido en nuestro medio.
Caso clínicoPresentamos el caso de una mujer de 40 años, con antecedente de parto eutócico hace 3 días, que consultó en urgencias por un cuadro de dolor abdominal difuso con sensación de distensión abdominal, vómitos y ausencia de deposición desde el parto. La paciente, primípara, refería gestación lograda mediante fecundación in vitro, en un cuarto ciclo, con control gestacional dentro de la normalidad, salvo por dolor abdominal constante en la fosa ilíaca derecha durante el tercer trimestre de gestación, que incluso dificultaba deambulación y que motivó numerosas consultas médicas sin dar con diagnóstico alguno. Como antecedentes personales, destacaban 2 quistectomías ováricas laparoscópicas, por endometriosis y un teratoma ovárico, respectivamente.
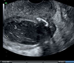
En la exploración, se encontraba normotensa, afebril, con palidez mucocutánea. Presentaba importante distensión abdominal y peritonismo generalizado. La exploración ginecológica fue normal. Las pruebas de laboratorio revelaron leucocitosis con neutrofilia del 87% y anemia leve con bioquímica, coagulación y sedimento de orina normales. En la ecografía transvaginal (fig. 1) únicamente destacaba una imagen quística en fosa ilíaca derecha de 86×45mm, de trabeculado fino, sin tabiques ni papilas, con una calcificación en su polo craneal, indicativa de quiste dermoide. La TC abdominopélvica (figs. 2 y 3) mostró una lesión quística lobulada de dimensiones superponibles, de probable dependencia anexial derecha con contenido líquido, pared gruesa, lisa y bien delimitada, con una calcificación milimétrica en su interior, marcada dilatación de asas intestinales sin presencia de tránsito, indicativa de íleo adinámico y una pequeña cantidad de líquido libre entre asas y adyacente al fundus uterino.
Ante la clínica de abdomen agudo sin criterios radiológicos de apendicitis aguda y la posibilidad de una torsión ovárica, se realizó una laparoscopia diagnóstica, observando síndrome adherencial laxo con tractos de fibrina adheridos a intestino, fondo uterino y plica vesicouterina, pus fino ocupando el espacio prevesical y el intestino, adherencias firmes en la fosa ilíaca derecha entre asas intestinales que, al ser liberadas, permitieron identificar el apéndice, macroscópicamente normal. Asimismo, existía un síndrome adherencial severo en Douglas, con la trompa derecha ingurgitada totalmente adherida a la cara posterior de útero. Ambos ovarios y la trompa izquierda eran normales. Debido al diagnóstico de peritonitis secundaria a enfermedad inflamatoria pélvica con presencia de apéndice macroscópicamente normal, realizamos una salpingostomía para aspiración y lavado, obteniendo abundante secreción purulenta, apendicectomía profiláctica y toma de muestras para estudio microbiológico abdominales y del absceso tubárico. Se pautó antibioterapia por vía intravenosa de amplio espectro. Como hallazgo casual, en el estudio anatomopatológico del apéndice se objetivó apendicitis aguda con presencia de un parásito (helminto) y reacción granulomatosa de tipo cuerpo extraño, siendo preciso añadir mebendazol a la pauta antibiótica ya instaurada. Ante la inexistencia de mejoría clínica ni analítica de la paciente con antibioterapia pautada, se instauró tratamiento con imipenem, consiguiendo evolución correcta de la enfermedad y alta hospitalaria. En controles posteriores, se objetivó remisión progresiva de la enfermedad.
DiscusiónEl abdomen agudo es un síndrome de origen múltiple caracterizado por dolor abdominal intenso (100%) acompañado de náuseas (80%), con compromiso del estado general, que lleva a plantearse una actitud terapéutica de urgencia por existir riesgo inminente para la vida del paciente4. Los síntomas más frecuentes ante patología abdominal son dolor y distensión abdominal, náuseas y vómitos. Estos síntomas se encuentran presentes en el embarazo de curso normal, siendo complejo el diagnóstico diferencial. Por otro lado, el comienzo de las enfermedades orgánicas en la gestación es atípico debido a los cambios anatómicos y fisiológicos que acontecen. Es importante conocer estos cambios anatómicos para un correcto diagnóstico y precoz tratamiento para evitar riesgos, tanto para la madre como para el feto2.
Durante la gestación, se produce un estado de inmunosupresión en la madre que tiene como finalidad evitar el rechazo inmunológico del feto, haciéndola más susceptible a infecciones5. Durante el puerperio, que comprende las 6 primeras semanas posparto, también se producen cambios fisiológicos que influyen en la inmunidad de la madre como muestra el estudio realizado por Belfort6 en 2010. Este llevó a cabo un análisis de los ingresos en las 6 primeras semanas posparto de todos los partos ocurridos en 2007 en 21 estados de Estados Unidos. De los 222.751 partos acontecidos, se registraron 2.655 ingresos (1,2%), siendo un 0,83% tras parto por vía vaginal y un 1,8% tras parto por cesárea. Señalaron como las principales causas la neumonía (84%), la apendicitis (43%) y la colecistitis (46%). Este estudio concluyó que la liberación de mediadores de la inflamación en el proceso del parto puede agravar procesos subclínicos de la gestación, produciendo una enfermedad franca en el puerperio6.
En cuanto al manejo terapéutico, es esencial la búsqueda del equilibrio entre los beneficios para la madre y los riesgos para el feto inherentes al tratamiento, teniendo como fin obtener el máximo beneficio para la paciente con los mínimos riesgos posibles para el feto. Las principales causas de intervención quirúrgica por abdomen agudo en la gestación son la apendicitis (30%) y la obstrucción intestinal (15%)4,7,8. También debemos descartar la presencia de otras afecciones menos frecuentes pero no por ello menos importantes, como son la colecistitis, la torsión ovárica o incluso el síndrome HELLP. La incidencia de patología quirúrgica de urgencia es mayor en el segundo trimestre4.
Ante la presencia de dolor abdominal en una gestante que no cede con analgesia, asociando síntomas como diarrea, debemos considerar la sepsis en el diagnóstico diferencial. La sepsis es la causa del 15% de las muertes maternas a nivel mundial. La presencia de temperatura corporal normal no excluye el diagnóstico, ya que no siempre cursa con fiebre. Puede ocurrir en cualquier momento a lo largo de la gestación y el puerperio5.
El diagnóstico diferencial del abdomen agudo (tabla 1) requiere de pruebas complementarias, como son la realización de pruebas de laboratorio y de imagen. La determinación analítica cursa de forma habitual con presencia de leucocitosis con neutrofilia, que no debe confundirse con la leucocitosis fisiológica que acontece durante la gestación y que alcanza niveles de hasta 14.000 células/mm3. La presencia de neutrofilia nos orienta a la coexistencia de un proceso de índole inflamatoria/infecciosa.
Diagnóstico diferencial de abdomen agudo en gestación y puerperio
| Patología | Incidencia (n/gestaciones) | Clínica | Laboratorio | Imagen | Tratamiento |
|---|---|---|---|---|---|
| Apendicitis | 1/1.500 | Dolor abdominalNáuseas y vómitosAnorexia | Leucocitosis con neutrofilia | Ecografía | Quirúrgico |
| Colecistitis | 1/2.000 | Dolor abdominalNáuseas y vómitosIctericiaFiebre | Leucocitosis ± neutrofilia | Ecografía | Quirúrgico |
| Torsión ovárica | 1/3.000 | Dolor abdominalNáuseas y vómitosFebrícula | Leucocitosis sin neutrofilia | Ecografía | Quirúrgico |
| Obstrucción intestinal | 1/4.000 | Dolor abdominalNáuseas y vómitosEstreñimiento | Leucocitosis con neutrofilia | TC | Sondaje nasogástrico quirúrgico |
| Síndrome HELLP | 2/1.000 | Dolor abdominalNáuseas y vómitos | HemólisisElevación enzimas hepáticasDisminución recuento plaquetario | TC, RM | Quirúrgico si inestabilidad hemodinámica |
| Pancreatitis | 3/10.000 | Dolor abdominalNáuseas y vómitos | Elevación de ASTElevación de ALT | Ecografía | Quirúrgico |
| Cáncer colorrectal | 1/50.000 | Distensión abdominalEstreñimientoAnorexia | CEA elevado test de sangre oculta en heces | Colonoscopia | Lesión resecable sin evidencia de metástasis: cirugíaEvidencia de metástasis: tratamiento en el puerperio |
| Enfermedad inflamatoria intestinal | Infrecuente | Dolor abdominal | NormalAnemiaDéficit vit. B12Leucocitosis | Colonoscopia | Médico quirúrgico |
| Diverticulitis | Infrecuente | Dolor cuadrantes inferioresFiebre | Leucocitosis±neutrofilia | TC | Médico |
| Enfermedad inflamatoria pélvica | Infrecuente | Dolor abdominalFiebreAlteraciones flujo vaginal | Leucocitosis con neutrofilia | Ecografía | Médico quirúrgico si inestabilidad hemodinámica |
| Adenoma hepático | Infrecuente | Dolor abdominal | Normal | Ecografía | Quirúrgico si inestabilidad hemodinámica |
A la hora del diagnóstico por imagen de la patología abdominal en la gestación, el profesional médico debe ser consciente de los riesgos de las pruebas diagnósticas, tanto sobre la madre como sobre el feto. El daño de la radiación ionizante sobre el feto depende de la edad gestacional en la que nos encontremos2. Entre la 2.ª y 20.ª semana de gestación, el feto es más susceptible a los efectos teratogénicos de la radiación ionizante, dando lugar a casos de microcefalia, microftalmia, retraso mental, crecimiento intrauterino restringido, alteraciones del comportamiento y cataratas9. El uso de la ecografía y de la resonancia magnética no supone un incremento de riesgo para el feto. La ecografía realiza un diagnóstico acertado de la patología abdominal en la gestante en un 55% frente al 83,3% de precisión con la resonancia magnética4.
Para la realización de un correcto abordaje terapéutico, es fundamental la evaluación de los beneficios y los riesgos de las diferentes vías de actuación, conservadora versus tratamiento quirúrgico. La elección de la técnica quirúrgica depende de la experiencia del cirujano, la estabilidad de la paciente y el trimestre de la gestación en la que nos encontremos2. En un estudio realizado en 20 gestantes, que requirieron tratamiento quirúrgico tras diagnóstico de abdomen agudo entre 2007 y 2010 en Haydarpasa Numune Training and Research Hospital, Gynaecology and Obstetrics Clinic en Estambul (Turquía), se objetivó que, tras el seguimiento posterior, todas las gestantes tuvieron una buena tolerancia a la cirugía. Dentro de las complicaciones posquirúrgicas se incluían la infección de herida quirúrgica (10%), el parto pretérmino (5%) y el íleo paralítico (5%)4. La realización de laparotomía permite evitar el riesgo asociado al neumoperitoneo y elimina las posibles lesiones realizadas con los trócares2. Como ventajas de la laparoscopia, se encuentra la posibilidad de visualizar la totalidad del abdomen y la pelvis, pudiendo diagnosticar y tratar afecciones coexistentes. Las gestantes se benefician en mayor medida de las ventajas de la laparoscopia debido a la posibilidad de deambulación temprana, menor dolor postoperatorio y, por tanto, menor necesidad de uso de analgésicos y una temprana tolerancia sólida8.
El riesgo de parto pretérmino como consecuencia de la administración de fármacos anestésicos, es la mayor preocupación por parte de los anestesiólogos en situaciones de necesidad de cirugía en una mujer gestante. Por ello se tiende a postergar las intervenciones quirúrgicas al puerperio, exceptuando aquellos casos que requieran de una actuación urgente, permitiendo a la fisiología materna retornar a la normalidad, eliminando así cualquier riesgo para el feto2.
ConclusiónEl abdomen agudo es una patología frecuente durante la gestación y el puerperio, siendo la apendicitis aguda la causa más frecuente de origen no obstétrico. Asocia una elevada morbimortalidad, tanto materna como fetal, que aumenta a medida que avanza la gestación, requiriendo de un manejo multidisciplinar para alcanzar de forma precoz un diagnóstico y un tratamiento efectivos. La vía terapéutica más empleada es la quirúrgica debido, en gran medida, al diagnóstico tardío con frecuente asociación de complicaciones. Es importante un manejo temprano para minimizar los riesgos, tanto para la madre como para el feto.
Conflicto de interesesLos autores declaran no tener ningún conflicto de intereses.






