El hepatocarcinoma originado en el lóbulo caudado tiene un peor pronóstico que otros originados en otros sitios del hígado. La resección aislada del lóbulo caudado hepático representa un reto técnico importante y puede ser realizada junto con una lobectomía hepática o una resección aislada del mismo. De esta última existen muy pocos reportes al respecto. Presentamos el caso de una resección aislada exitosa de hepatocarcinoma en el lóbulo caudado con sobrevida a largo plazo.
Caso clínicoMujer de 74 años, con lesión ocupante de 8cm en el lóbulo caudado, sin datos clínicos o bioquímicos de cirrosis hepática, alfafetoproteína sérica 3.7 U/l, y serologías de hepatitis negativas. Resección completa de la lesión en 270min con maniobra de Pringle por 13min, evolución satisfactoria, y alta al décimo día posquirúrgico. Asintomática, sin deterioro de la función hepática y sobrevida sin actividad tumoral 48 meses después del procedimiento.
ConclusiónLa resección aislada del lóbulo caudado es un procedimiento infrecuente y técnicamente posible. Para realizarse de forma exitosa, se debe de tener un conocimiento detallado de la anatomía hepática completa y en especial de este lóbulo. Se deben obtener márgenes negativos tumorales para otorgar la mayor sobrevida a los pacientes que tienen una neoplasia en esta localización anatómica.
Hepatocellular carcinoma originating from the caudate lobe has a worse prognosis than other hepatocellular carcinomas in another segment of the liver. An isolated caudate lobe resection of the liver represents a significant technical challenge. Caudate lobe resection can be performed along with a lobectomy, or as an isolated liver resection. There are very few reports about isolated caudate lobe liver resection. The case is reported here of a successful isolated resection of hepatocellular carcinoma in the caudate lobe with excellent long-term survival.
Clinical caseA 74 year-old female with 8 cm mass lesion in the caudate lobe with no clinical or biochemical evidence of liver cirrhosis (serum alpha-foetoprotein 3.7 U/L, and negative hepatitis serology), was evaluated for surgery. A complete resection of the lesion in 270 minutes, with Pringle manoeuvre for 13 minutes, was satisfactorily performed. The patient was discharged ten days after surgery without complications, and is currently asymptomatic, with no deterioration of liver function and 48 months tumour-free survival after the procedure.
ConclusionIsolated caudate lobe resection is an uncommon, but technically possible procedure. In order to achieve a successful resection, detailed knowledge of complete liver anatomy is essential. Tumour free margins must be obtained to provide long survival for these patients that have a malignancy in this anatomic location.
El lóbulo caudado (segmentos I y IX de Coinaud) se localiza anterior a la vena cava inferior y puede rodear esta estructura de forma circunferencial por medio del ligamentum venosum y el ligamento dorsal. Se extiende desde el hilio hepático justo posterior a la bifurcación de la vena porta. En su aspecto cefálico, el lóbulo caudado descansa posterior a la confluencia de las venas hepáticas media e izquierda, justo cuando estas drenan a la vena cava inferior. El lóbulo caudado recibe flujo portal de ambos sistemas portales, siendo mayor el proveniente del lado izquierdo. Su drenaje venoso ocurre a lo largo de su aspecto posterior, directamente a la vena cava inferior, a través de múltiples ramas pequeñas variables en tamaño y localización. Su drenaje biliar incluye pequeñas tributarias al conducto hepático derecho, pero tiene predominio de drenaje biliar hacia el izquierdo. El flujo arterial del lóbulo caudado es variable, aunque proviene principalmente de una rama solitaria de la arteria hepática izquierda y una pequeña rama posterior del sector derecho (fig. 1)1.
El hepatocarcinoma originado en el lóbulo caudado tiene un peor pronóstico que los hepatocarcinoma originados en otros lóbulos debido a su proximidad con el sistema portal y vena cava inferior, lo cual facilita su diseminación intrahepática y sistémica de forma temprana2,3. Aunque algunos cirujanos han tenido éxito con embolización transarterial o ablación local por diferentes métodos4,5, la resección hepática sigue siendo el mejor tratamiento quirúrgico. La resección del lóbulo caudado representa un reto técnico importante. La resección del lóbulo caudado puede ser realizada como una extensión de una lobectomía hepática o como una resección aislada del mismo. Esta última es probablemente la más demandante desde el punto de vista quirúrgico, y existen muy pocos reportes al respecto6-10.
El abordaje para una resección aislada de lóbulo caudado puede ser a través de una incisión subcostal bilateral, o una incisión media en caso de cirugía previa. Siempre se deberá excluir la presencia de metástasis peritoneales y se deberá examinar la totalidad del hígado con ultrasonografía transoperatoria. Se puede realizar colecistectomía o no, dependiendo de los hallazgos o si esta tuviera patología. Una vez que se ha decidido la resección aislada del lóbulo caudado, se procede a abrir el ligamento gastrohepático y seccionar el ligamentum venosum en la raíz de la vena hepática izquierda, lo cual es facilitado mediante la retracción anterior del segmento hepático lateral izquierdo. Algunos autores recomiendan la movilización completa del hígado, previo a este paso para tener un mayor control vascular sobre la vena cava inferior en caso de hemorragia severa o reconstrucción de la misma1,8,9. Se procede después a seccionar el ligamento dorsal para movilizar completamente el lóbulo caudado y exponer las venas hepáticas que tributan directamente de él a la superficie anterior de la vena cava inferior, para su posterior ligadura, siendo de 1 a 3 venas de tamaño considerable, y múltiples venas finas. Posterior a la división de estas venas, el lóbulo caudado es más móvil y puede ser retraído hacia el lado izquierdo, para una mejor exposición de la rama portal izquierda. En este momento, las ramas provenientes de la arteria hepática y de la rama portal derecha pueden ser distinguidas y aseguradas con ligadura o sutura monofilamento no absorbente fina6.
La transección del parénquima hepático puede ser mediante diferentes técnicas (disección ultrasónica, hidrojet y/o fractura digital con hemostasia con pinzas de Kelly) para separar el lóbulo caudado de la parte posterior del lóbulo hepático derecho, pudiendo utilizar maniobra de Pringle (oclusión del ligamento hepatoduodenal con interrupción del flujo sanguíneo a través de la arteria hepática y la vena portal) y/o control vascular específico. Los sangrados pueden ser controlados con sutura monofilamento absorbente y la utilización de drenaje es a juicio del cirujano. Aunque la técnica arriba mencionada es la más común para resección aislada de lóbulo caudado, existen otras, como la transección anterior hepática y abordajes laterales derechos hepáticos7-9.
El objetivo de este trabajo es presentar el caso de una resección aislada de lóbulo caudado secundario a un hepatocarcinoma con 48 meses de sobrevida, haciendo énfasis en la técnica quirúrgica y la incidencia relativamente baja de un hepatocarcinoma originado exclusivamente en el lóbulo caudado.
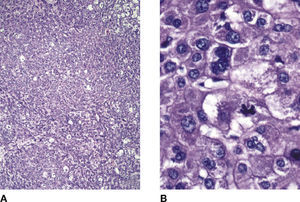
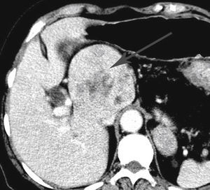
Caso clínicoPaciente femenina de 74 años de edad, diabética de 11 años de evolución, en tratamiento con hipoglucemiantes por vía oral, con lesión ocupante en el lóbulo caudado hepático de 8cm en diámetro mayor, diagnosticada mediante tomografía computada (fig. 2), sin datos clínicos o bioquímicos de cirrosis hepática (ascitis y encefalopatía ausente, albúmina 4.1g/ dl, bilirrubina total 1.4mg/dl, tiempo de protrombina 10.9, INR 0.93, plaquetas 228 × 103 cél/mm3) y alfafetoproteína sérica 3.7 UI/l. Sus serologías hepáticas contra hepatitis A, B y C fueron negativas. Sometida a laparotomía exploradora por abordaje subcostal bilateral con ultrasonido transoperatorio, sin encontrar otras lesiones hepáticas. Se efectuó una resección completa de la lesión, con un tiempo quirúrgico de 270min, utilizando fractura digital y hemostasia mediante pinzas de Kelly, con maniobra de Pringle por 13min, con movilización hepática completa para exposición de la vena cava inferior infrahepática previo a la movilización del tumor de lóbulo caudado, exposición de las venas hepáticas que tributan directamente a la superficie anterior de la vena cava inferior para su ligadura, mediante retracción anterior hepática, y drenaje de succión cerrada al lecho quirúrgico. El sangrado transoperatorio fue de 3,000ml y se transfundieron 7 paquetes globulares (figs. 3 y 4). Evolución postoperatoria satisfactoria y alta al décimo día posquirúrgico. La lesión tiene aspecto histológico de hepatocarcinoma moderadamente diferenciado con patrón sólido (hematoxilina y eosina, 5×), y las células neoplásicas son grandes, poligonales con núcleos pleomórficos, con nucléolos, multinucleación y mitosis tetra-polares (hematoxilina y eosina, 40×) (fig. 5 A y B). Se obtuvo un margen negativo de 4mm.
La paciente se encuentra asintomática, sin deterioro de la función hepática y sin datos de actividad tumoral 48 meses después del procedimiento.
DiscusiónLa resección aislada del lóbulo caudado es un procedimiento técnicamente demandante, ya que su ubicación genera un acceso quirúrgico complicado. En grandes centros, la resección aislada de lóbulo caudado no es más allá del 4% del número total de resecciones hepáticas, y la mortalidad por esta cirugía puede ir desde el 5 al 14%3,8. Se han descrito diferentes técnicas para la resección del lóbulo caudado, las cuales han sido definidas y clasificadas6. Tres de estas técnicas incluyen resecciones de otros segmentos hepáticos y solo una se refiere a la resección aislada del mismo. El primer abordaje consiste en la resección de los segmentos contiguos II y III, o II, III y IV7,8. El segundo abordaje incluye hepatectomía derecha en bloque, junto con el lóbulo caudado. El tercer abordaje es central o transhepático, que conlleva la resección del segmento IV, y del lóbulo caudado.9 El último es el abordaje lateral izquierdo (anterior), que es el que nosotros utilizamos en este caso. Para determinar el tipo de abordaje quirúrgico, también se debe tomar en cuenta la extensión de la enfermedad y el grado del fallo hepático. En los pacientes con función hepática adecuada, se puede resecar de forma anatómica el lóbulo caudado, junto con los segmentos adyacentes. En el caso de pacientes con función hepática baja (incluyendo cirrosis), se puede realizar una resección parcial del lóbulo caudado siguiendo la tríada portal, ligando las ramas portales tributarias al lóbulo caudado para crear una demarcación, identificando así el área a ser resecada8. En nuestro caso, se decidió resecar de forma aislada el lóbulo caudado por la lesión localizada únicamente en el mismo y, pese a que tenía función hepática adecuada por laboratorio, consideramos realizar la menor resección de tejido hepático.
Son pocas las series de resecciones aisladas de lóbulo caudado en la literatura médica. Sarmiento et al.6 publicaron una serie de 19 resecciones aisladas del lóbulo caudado con una edad promedio de 52 años, por diferentes patologías, donde solo 2 fueron secundarias a hepatocarcinoma. El tiempo quirúrgico promedio fue de 211min, con una pérdida sanguínea de 760ml, y una estancia hospitalaria promedio de 7 días, y con una morbilidad del 5%, sin mortalidad. Yamamoto et al.7 publicaron una serie de 402 hepatocarcinomas, donde solo 13 (3.2%) fueron resecciones aisladas del lóbulo caudado, sin mortalidad perioperatoria y con sobrevida similar con respecto a los demás hepatocarcinomas, exceptuando aquellos que tuvieran invasión microscópica al sistema portal. Otros autores han publicado series de 150 resecciones del lóbulo caudado secundarias a diversas patologías (hepatocarcinoma, 10% del total), donde solo el 14% (n = 21) fueron resecciones aisladas del lóbulo caudado, con un tamaño medio tumoral de 2.7cm y con tiempo quirúrgico promedio de 220min, sangrado transoperatorio de 600ml y estancia hospitalaria media de 7 días, sin mortalidad alguna8. Finalmente, la serie más grande de hepatocarcinoma con resección aislada del lóbulo caudado ha sido descrita por Liu et al.10, sin morbilidad ni mortalidad perioperatoria, y obtuvieron una sobrevida a 5 años del 31.8% y que la presencia de cirrosis, la localización subsegmentaria de la lesión, el margen libre de tumor < 5mm y la invasión vascular se encontraban relacionados con un peor pronóstico. Nuestro caso representa un hepatocarcinoma de gran tamaño (8cm), confinado únicamente al lóbulo caudado, por lo que la resección aislada fue posible en un tiempo y una estancia hospitalaria similar a los descritos. Además, el hecho de que nuestra paciente no tuviera cirrosis, el obtener márgenes negativos tumorales y la ausencia de invasión vascular, tanto portal como en la vena cava inferior, han contribuido a la sobrevida de nuestra paciente, sin actividad tumoral recidivante.
ConclusiónLa resección aislada del lóbulo caudado es un procedimiento infrecuente, técnicamente posible. Para realizarse de forma exitosa, se debe de tener un conocimiento detallado de la anatomía hepática completa y en especial de este lóbulo. Se deben obtener márgenes negativos tumorales, para otorgar la mayor sobrevida a los pacientes que tienen una neoplasia en esta localización anatómica.
Conflicto de interesesLos autores declaran no tener ningún conflicto de intereses.






