El angiosarcoma hepático es un tumor vascular raro y maligno el cual representa el 2% de todos los tumores hepáticos primarios. La orientación diagnóstica es difícil, en especial cuando el paciente no tiene antecedente de exposición a carcinógenos relacionados como factores de riesgo. El diagnóstico es histopatológico, y en la mayoría solo se logra con autopsia ya que la toma de biopsia por aspiración con aguja fina conlleva riesgo de sangrado lo que limita su utilización.
Caso clínicoMasculino de 41 años de edad el cual no tiene antecedentes de exposición a carcinógenos. Comienza con dolor abdominal secundario a hemoperitoneo por rotura tumoral y es diagnosticado por estudios de imagen con hemangioma hepático cavernoso gigante, tratado inicialmente con embolización y posteriormente con trasplante hepático. Seis meses después se presenta con hemoptisis por metástasis pulmonares. En la necropsia se reporta: angiosarcoma hepático metastásico.
DiscusiónEl angiosarcoma hepático se ha relacionado con la exposición a carcinógenos, y continúa siendo una hipótesis su transformación a partir de una neoplasia vascular benigna. En el diagnóstico diferencial son útiles los estudios de imágenes, como la tomografía contrastada. Sin embargo, el diagnóstico definitivo es histopatológico con pruebas inmunohistoquímicas, que en el 35-100% solo establece en la autopsia.
ConclusiónEs una neoplasia vascular maligna, donde la cirugía tiene un rol potencialmente curativo cuando se practica resección con márgenes libres. El trasplante hepático es controvertido ya que tiene pobre pronóstico a corto plazo.
Hepatic angiosarcoma is a rare vascular malignancy that accounts for 2% of all hepatic primary tumours. The diagnosis is difficult, especially if the patient does not have history of exposure to carcinogens, which are considered as risk factors. The diagnosis is made by histopathology, but in a considerable percentage it can only be accomplished by autopsy. The performing of fine needle aspiration biopsy can lead to bleeding, with limitations in its use.
Clinical caseA 41 year-old male, with no history of exposure to carcinogens, who developed abdominal pain secondary to a haemoperitoneum due to tumour rupture, was diagnosed by imaging methods with a giant cavernous hepatic haemangioma. He was initially treated with embolisation, and later with a liver transplant. After six months he developed haemoptysis secondary to lung metastasis. The autopsy reported metastatic hepatic angiosarcoma.
DiscussionThis condition has been related to carcinogen exposure, with malignant transformation from a benign vascular neoplasia being proposed as a hypothesis. The differential diagnosis can be achieved with imaging studies such as CT scan, and the definitive diagnosis is made by histopathology with immunohistochemistry tests, with 35%-100% being made in the autopsy.
ConclusionHepatic angiosarcoma is a malignant vascular neoplasia, the potential curative option is surgery with tumour free margins. Liver transplantation remains controversial because of its poor prognosis in the short term.
En los reportes recientes el angiosarcoma hepático se ha relacionado con el dióxido de torio, el polvo de arsénico y el cloruro de polivinil como factores de riesgo; sin embargo, existen casos en los que no se encontró un factor desencadenante1–3.
El angiosarcoma hepático es difícil de diferenciar del hemangioma cavernoso en estudios radiológicos, ya que los hemangiomas hepáticos son lesiones grandes con una apariencia heterogénea que pueden tener hemorragia intratumoral y necrosis, lo que puede llevar a confundirlos con tumores vasculares malignos4. Whelan et al.5 reportaron que una de las características tomográficas típicas de los angiosarcomas hepáticos es el reforzamiento periférico tardío en la fase arterial.
La tomografía por emisión de positrones con 2-deoxi-2 fluoro-D-glucosa es útil para diferenciar los tumores vasculares benignos de los malignos, sobre todo los de tamaño considerable4–6.
El riesgo de rotura espontánea y hemorragia del angiosarcoma se reporta en un 15-27% aproximadamente e influye en el pronóstico, ya que crea siembras de células tumorales. Por otro lado, la rotura espontánea de un hemangioma hepático es rara y su frecuencia se calcula en menos del 1%, generalmente en tumores grandes localizados en cara lateral o inferior del hígado, por lo que ante la rotura de una tumoración hepática se debe sospechar la etiología maligna de primera intención7,8; la embolización arterial transcatéter es el tratamiento inicial9.
Debido al pobre pronóstico de los pacientes con un angiosarcoma hepático, la resección quirúrgica es el único tratamiento definitivo y, aunque se logre la resección completa, la recurrencia es muy frecuente. La mayoría de los pacientes fallecen en un promedio de 11 meses10,11.
La historia natural del angiosarcoma hepático es poco conocida; sin embargo, cuando se diagnostican ya se encuentran en etapas avanzadas y con un diámetro promedio de 15-65mm. Debido a su vascularidad, el realizar una biopsia puede ser un reto12.
Cuando se descubre una tumoración pequeña que tenga características de hemangioma es necesario tener un seguimiento con estudios de imagen, ya que si presenta rápido crecimiento se debe considerar el angiosarcoma hepático como posible diagnóstico12,13. La mortalidad va del 70 al 100%; las tinciones para inmunohistoquímica confirman el diagnóstico, usualmente expresan marcadores endoteliales incluyendo el factor VIII, CD31, CD34, aglutinina I Ulex europaeus y factor de crecimiento vascular endotelial14.
Caso clínicoMasculino de 41 años de edad, sin antecedentes heredofamiliares de importancia. Etilismo y tabaquismo negados, toxicomanías y tatuajes negados. No refiere enfermedades crónico-degenerativas, ni alergias; hemotipo O+.
Inicia su padecimiento en marzo del 2012 con dolor abdominal intenso en epigastrio que posteriormente se generalizo a todo el abdomen; presentó inestabilidad hemodinámica por lo que acudió al hospital en Houston, Texas, EE. UU. (lugar de residencia en ese periodo), donde se diagnosticó sangrado masivo intraabdominal secundario a hemangioma cavernoso de afectación bilobular (fig. 1); se realizó embolización por angiografía, cediendo el sangrado. Posterior a su recuperación se realizó trasplante hepático ortotópico, con compatibilidad sanguínea, de lóbulo derecho, con reconstrucción quirúrgica estándar de donador vivo relacionado en mayo del 2012, en hospital privado en la ciudad de Guadalajara, Jalisco. Serología positiva para citomegalovirus IgG tanto para el donador como el receptor. Es egresado a los 8 días del posquirúrgico con esquema de inmunosupresión a base de tacrolimus, ácido micofenólico y prednisona.
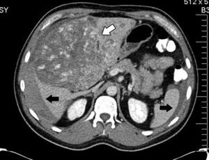
Tomografía axial computada abdominal con contraste oral e intravenoso en fase arterial que muestra líquido libre en cavidad abdominal, de predominio perihepático y periesplénico (flechas negras) así como una lesión redondeada, heterogénea a la captación de medio de contraste que ocupa prácticamente la totalidad del hígado (flecha blanca).
En septiembre presentó hemoptisis y disnea, por lo que se hospitalizo en medio hospitalario particular, en donde se le realizó tomografía axial computada de tórax (fig. 2), broncoscopia con toma de cultivos y biopsias, los cuales fueron negativos a malignidad, tuberculosis o infección fúngica. Se solicita tomografía axial computada de abdomen simple y contrastada donde se muestran lesiones múltiples, redondeadas, hipodensas en el injerto hepático (fig. 3); se toma biopsia guiada por tomografía axial computada, que se reporta negativa a malignidad.
El paciente ingresó a nuestra institución en octubre de 2012 para continuar con abordaje diagnóstico y terapéutico; a su ingreso se observó palidez tegumentaria, taquicardia, dificultad respiratoria, hemoptisis activa y abdomen asignológico.
Resultados de laboratorio a su ingreso: leucocitos 10.7miles/μl, hemoglobina 5.6g/dl, hematocrito 20.3%, plaquetas 124miles/μl, Na 127mmol/L, tiempo protrombina 14.2/12seg, INR 1.12, deshidrogenasa láctica 1,753U/L, bilirrubinas totales 1.5mg/dl, bilirrubinas directas 0.3mg/dl. Se transfundieron 3 paquetes globulares e inició reposición de sodio.
Se realizó nueva broncoscopia, identificando: cuerdas vocales con huellas de sangrado, mucosa bronquial edematosa e hiperémica, sin identificar compresiones ni tumoraciones en ningún nivel; se tomó biopsias y cultivos de secreción (positivos a Pseudomonas aeruginosa, Streptococcus viridans). Se solicitó intradermorreacción a PPD e histoplasmina, no reactivas. Se recabó perfil viral no reactivo a VIH ni hepatitis B y C.
El ultrasonido Doppler del injerto reportó: estructuras venosas y arteriales de calibre conservado, con adecuada captación de pulsos, lesión focal a nivel del parénquima hepático con permeabilidad de sus estructuras vasculares. El paciente continuó con deterioro del estado general, presentando hemoptisis masiva (>600ml/24h). Los exámenes de laboratorio de control reportaron: incremento de los leucocitos a 19.2miles/μl, con mejoría en los niveles de hemoglobina respecto a la basal 10.2g/dl, se incrementan las bilirrubinas totales 2.2mg/dl, bilirrubinas directas 0.8mg/dl, y deshidrogenasa láctica 3,371U/L, alfafetoproteína 0.7ng/ml. Persistió con dificultad respiratoria; se intuba al paciente, cae en paro cardiorrespiratorio que no responde a maniobras de resucitación cardiopulmonar. Fallece 6 días posteriores a su ingreso.
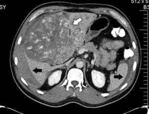
Se realizó autopsia, en la cual se observan tumoraciones redondeadas, vascularizadas en todo el injerto hepático, afectación a porta y arteria hepática (fig. 4), en parénquima pulmonar, múltiples metástasis las cuales forman lesiones pequeñas, con datos hemorrágicos (fig. 5). Además también presentaba metástasis en el bazo, glándulas suprarrenales y páncreas.
Histológicamente, células fusiformes que se agrupan en cordones e invaden los espacios vasculares, con algunas áreas de necrosis y atipias nucleares. Se realizaron tinciones de inmunohistoquímica positivas para CD31 y CD34, se confirmó el diagnóstico de angiosarcoma hepático (fig. 6).
DiscusiónEl angiosarcoma hepático es un tumor maligno raro que representa menos del 2% de los tumores hepáticos primarios1. Falk et al.2 reportaron entre 1964 y 1974 una serie de 168 casos de los cuales 37 (22%) se asociaron al cloruro de vinilo, pero en la mayoría de los casos no se encontró un factor etiológico. La exposición al cloruro de vinilo se relaciona con mutaciones en los genes K-ras y p53. El periodo de latencia entre la exposición y la aparición de la enfermedad puede ser de 9 a 35 años3,4.
Otros carcinogénicos como el dióxido de torio y el arsénico se han relacionado con su etiología; sin embargo, la exposición a estos químicos es rara y en la mayoría de los casos no se encuentra una etiología definida, existen reportes de casos en donde se ha encontrado una relación con el Schistosoma japonica, exposición a la ciclofosfamida y al uso prolongado de esteroides anabólicos androgénicos5. La hipótesis de una transformación maligna a partir de un hemangioma cavernoso hepático se desarrolló desde 1991, con un caso de una tumoración hepática solitaria, encapsulada que demostró un hemangioma cavernoso rodeado por un angiosarcoma. Han existido varios reportes de angiosarcoma que surgen de malformaciones vasculares/hemangiomas, todos estos pacientes en la 6-7 década de la vida. Un estudio en el 2006 reportó que el 83% de los angiosarcomas tenían pérdida de un alelo en el cromosoma 17p13 (p53), el 66% en 13q14 (RB), 50% 11p13 (WT-1); en comparación, el 60% de los hemangiomas tiene pérdida de alelos en 17p13, 13q14, pero solo el 20% en 11p136; sin embargo, todavía no es clara la asociación entre las lesiones vasculares benignas y el angiosarcoma.
El angiosarcoma se caracteriza por tener crecimiento rápido, la mayoría de los pacientes simulan una enfermedad hepática crónica. El dolor abdominal, debilidad, fatiga y pérdida de peso son los síntomas más frecuentes asociados a hepatoesplenomegalia, ascitis, ictericia y anemia como los signos clínicos más importantes6. La rotura espontánea del angiosarcoma hepático se reporta en un 15-27%7.
Los tumores benignos como el hemangioma cavernoso tienen un riesgo de rotura bajo, menos del 1%, por lo que ante la rotura de un tumor hepático se debe sospechar una neoplasia maligna5. Cuando el cuadro clínico va acompañado de hemoptisis se deben sospechar metástasis pulmonares8.
No existen marcadores tumorales específicos para este tipo de tumor, la alfafetoproteína y el CA 19-9 por lo general se encuentran normales o ligeramente elevados. En los estudios de imagen (tomografía o resonancia magnética) los angiosarcomas hepáticos aparecen como múltiples nódulos, masas dominantes o una lesión con infiltración difusa9.
El diagnóstico de este tumor es difícil especialmente si el paciente no tiene antecedente de exposición a carcinógenos específicos; en los hallazgos topográficos es fácil confundir este tipo de neoplasias con el hemangioma cavernoso9–11. En la tomografía axial computada algunas lesiones suelen ser hipercaptantes, lo que refleja el aumento de la vascularidad de la lesión, otras son hipoatenuantes o con captación normal. Los reportes tomográficos que imitan hemangiomas suelen ser atribuidos a la interpretación de imágenes en una sola fase (tardía) y a la valoración que se establece en relación con el parénquima hepático y no con estructuras vasculares, como la aorta o la arteria hepática. La imagen de una lesión solitaria es poco común para el angiosarcoma y la presencia de múltiples lesiones no son típicas de hemangioma9–12.
El angiosarcoma se presenta con metástasis tempranas a otros órganos como pulmón, bazo o hueso10. En las radiografías simples de tórax pueden encontrarse infiltrados difusos. Los hallazgos más comunes en la tomografía axial computada de tórax por metástasis de angiosarcoma son las lesiones múltiples sólidas, que cuando se presentan con hemorragia dan una imagen de vidrio despulido, que se conoce como signo del halo y ocurre en el 32% de los pacientes. En menor proporción pueden encontrarse cambios quísticos de paredes delgadas (13%) que cuando se distribuyen en las zonas pleurales aumentan la incidencia de neumotórax o hemotórax12.
El diagnóstico es difícil a través de una biopsia por aspiración de aguja fina y hay riesgo de sangrado al realizar el procedimiento12.
El diagnóstico definitivo es anatomopatológico, en el 35-100% de los casos se llega por al mismo por una autopsia9–13. La mortalidad va del 70 al 100%. Requiere valoración por un patólogo experto, su presentación va desde los angiosarcomas bien diferenciados que forman canales vasculares que pueden imitar una lesión benigna13, hasta los pobremente diferenciados en donde se reconoce la presencia de células tumorales endoteliales con aspecto epiteloide, redondeadas o fusiformes, núcleos pleomórficos e hipercromáticos, prominentes y formación de espacios vasculares de aspecto cavernoso14.
La inmunohistoquímica es útil para confirmar el diagnóstico, usualmente expresan marcadores endoteliales incluyendo el factor VIII, CD31, CD34, aglutinina I Ulex europaeus y factor de crecimiento vascular endotelial14.
El diagnóstico diferencial debe establecerse con sarcoma de Kaposi visceral, carcinoma hepatocelular hemorrágico, leiomiosarcoma vascular, hemangioendotelioma epiteloide maligno, procesos metastásicos difusos y peliosis hepática15.
La supervivencia de los pacientes con angiosarcoma hepático es pobre, la media es de 6 meses sin tratamiento, incluso con tratamiento tiene una supervivencia del 3% en 2 años. El tratamiento estándar para el angiosarcoma hepático es la resección quirúrgica16, aunque menos del 20% de los casos son lesiones localizadas y resecables. El trasplante hepático es controvertido debido a su alta recurrencia y pobre pronóstico17. En la mayoría de los casos se trata de tumores no resecables debido a su tamaño y presencia de metástasis. El angiosarcoma hepático es resistente a la radioterapia. La mayoría de los pacientes con angiosarcoma metastásico son tratados con quimioterapia; sin embargo, no hay un régimen quimioterapéutico establecido; algunos de los agentes más utilizados son: doxorrubicina, ifosfamida, gemcitabina, taxanos, imatinib, interferón, cisplatino, ciclofosfamida e irinotecán18,19.
ConclusiónEl angiosarcoma hepático es un tumor raro y de difícil diagnóstico y se requiere un análisis minucioso mediante estudios tomográficos seriados así como una alta sospecha de la enfermedad. La única opción de tratamiento curativo es la resección temprana con bordes quirúrgicos negativos sin enfermedad metastásica. Por otra parte, el trasplante hepático para este tipo de tumores es controvertido por la alta tasa de recurrencia.
Conflicto de interesesLos autores declaran no tener ningún conflicto de intereses.







