Las complicaciones de la otitis media (intracraneales y extracraneales) tuvieron alta morbimortalidad en la era preantibiótica. En la actualidad son relativamente raras con el uso de antibióticos, tubos de ventilación y otros cuidados médico-quirúrgicos, reduciendo la incidencia de forma notable. Actualmente la sospecha oportuna de estas complicaciones es indispensable y constituye un gran reto para su diagnóstico y tratamiento adecuados.
Casos clínicosPresentamos 5 pacientes con diagnóstico de otitis media aguda complicada, el 100% (5) fueron de sexo masculino; el 80% (4) con edad media de 34.6 años (17-52), y la comorbilidad fue importante en el 60% (3): un paciente con diabetes mellitus tipo 2 y 2 con insuficiencia renal crónica terminal. Tres pacientes (60%) tuvieron complicaciones intracraneales: un paciente con trombosis del seno sigmoides y absceso cerebeloso, otro con absceso retroauricular y cerebral, y un tercero con meningitis. Dos pacientes (40%) tuvieron complicaciones extracraneales: un paciente con absceso de Bezold y otro con absceso de tejidos blandos y petrositis. Todos fueron tratados con manejo quirúrgico y antibioticoterapia con supervivencia del 100% (5), sin secuelas neurológicas. El curso clínico de la otitis media aguda suele ser corto, limitándose el proceso infeccioso en la gran mayoría de los pacientes debido a la respuesta del sistema inmune y de la sensibilidad del germen al antibiótico utilizado. Sin embargo, un pequeño número de pacientes pueden presentar complicaciones (1-5%).
ConclusiónLa otitis media aguda es una enfermedad muy frecuente en nuestro medio. Sus complicaciones son raras, sin embargo se deben de sospechar cuando la evolución del cuadro es tórpida con empeoramiento clínico y manifestación de signos neurológicos.
The complications of otitis media (intra-cranial and extra-cranial) used to have a high morbidity and mortality in the pre-antibiotic era, but these are now relatively rare, mainly due to the use of antibiotics and the use of ventilation tubes, reducing the incidence of such complications significantly. Currently, an early suspicion of these complications is a major challenge for diagnosis and management.
Clinical casesThe cases of 5 patients (all male) are presented, who were diagnosed with complicated otitis media, 80% (4) with a mean age of 34.6 years (17-52). There was major comorbidity in 60% (3), with one patient with diabetes mellitus type 2, and two with chronic renal failure. There were 3 (60%) intra-cranial complications: one patient with thrombosis of the sigmoid sinus and a cerebellar abscess; another with a retroauricular and brain abscess, and a third with meningitis. Of the 2 (40%) extra-cranial complications: one patient had a Bezold abscess, and the other with a soft tissue abscess and petrositis. All patients were managed with surgery and antibiotic therapy, with 100% survival (5), and with no neurological sequelae. The clinical course of otitis media is usually short, limiting the infection process in the majority of patients due to the immune response and sensitivity of the microbe to the antibiotic used. However, a small number of patients (1-5%) may develop complications.
ConclusionOtitis media is a common disease in our country, complications are rare, but should be suspected when the picture is of torpid evolution with clinical worsening and manifestation of neurological signs.
En la era preantibiótica la morbimortalidad de la otitis media aguda fue muy elevada, como consecuencia de la alta frecuencia de las complicaciones intracraneales y extracraneales. Actualmente estas complicaciones son relativamente raras y se requiere la permanente sospecha para el diagnóstico de las mismas1. La mastoiditis es una complicación grave de la otitis media aguda, la cual es más común en los pacientes pediátricos, menores de 4 años de edad. Dentro de su fisiopatología, sus complicaciones se pueden desarrollar por contigüidad o invasión vascular, pudiendo alcanzar la infección al sistema nervioso central. Algunas complicaciones pueden ser el absceso subperióstico, el absceso de Bezold, la parálisis facial, la laberintitis supurativa, la meningitis, el absceso epidural, el subdural/cerebeloso, la trombosis del seno sigmoides e hidrocefalia ótica, pudiendo ser algunas de ellas potencialmente mortales. El manejo de la mastoiditis aguda es variable, pudiendo ser desde el tratamiento conservador en forma de antibiótico parenteral, la miringotomía (con o sin la colocación de tubos de ventilación) o una intervención quirúrgica (más agresiva que incluye la mastoidectomía)2,3.
ObjetivoDescribir los casos de complicaciones de otitis media presentados en el año 2014 en el Centro Médico Nacional de Occidente.
Material y métodosSerie de casos con análisis retrospectivo de 5 casos del Servicio de Otorrinolaringología. Se incluyeron los pacientes atendidos entre enero y diciembre del 2014 con complicaciones de otitis media en adultos en un hospital de tercer nivel. Se realizó una revisión de los expedientes en busca de diagnóstico, complicación, tratamiento, morbilidad y supervivencia.
ResultadosSe presentaron 5 casos de otitis media complicada, con una media de edad de 34.6 años (17-52), 100% (5/5) del género masculino, 60% (3/5) con inmunosupresión. El diagnóstico clínico fue confirmado en todos los casos por medio de la tomografía computada (TC). El 100% recibió terapia inicial antimicrobiana empírica y posteriormente de acuerdo con los resultados del antibiograma. Se realizó mastoidectomía simple en el 80% de los casos y mastoidectomía radical en el 20% (1/5). El 80% requirió atención multidisciplinaria, el 40% fue sometido a craniectomía descompresiva y drenaje del absceso intracraneal con lo cual se logró una supervivencia del 100% y, por lo tanto, una morbilidad del 0% (tabla 1).
Resultados en las complicaciones de otitis media
| Género | Edad (años) | Complicación | Germen | Antibiótico | Abordaje | |
|---|---|---|---|---|---|---|
| 1 | M | 17 | Absceso de Bezold | Staphylococcus aureus meticilino resistente | Ceftriaxona/clindamicina | Drenaje de absceso y mastoidectomía simple |
| 2 | M | 43 | Petrositis y absceso de tejidos blandos | Pseudomonas aeuriginosa | Levofloxacino/metronidazol | Mastoidectomía radical y drenaje de absceso |
| 3 | M | 19 | Trombosis de seno sigmoides y absceso cerebeloso | Negativo | Ceftriaxona, metronidazol y fluconazol | Craniectomía descompresiva de fosa posterior, drenaje de absceso y mastoidectomía simple |
| 4 | M | 52 | Absceso cerebral y de tejidos blandos | Negativo | Ceftriaxona y metronidazol | Craniectomía descompresiva, capsulectomía y drenaje del absceso parenquimatoso |
| 5 | M | 42 | Meningitis | Negativo | Vancomicina y meropenem | Mastoidectomía simple |
| 34.6 |
M: masculino.
Paciente de sexo masculino de 17 años, referido al servicio de Otorrinolaringología y Cirugía de Cabeza y Cuello por presentar aumento de volumen en el triángulo posterior del cuello del lado izquierdo, con antecedente de otitis media aguda. En la TC se corroboró el diagnóstico de mastoiditis complicada con absceso de Bezold. El paciente fue manejado quirúrgicamente con drenaje del absceso por abordaje transcervical y mastoidectomía simple (fig. 1).
Caso 2Paciente de sexo masculino de 43 años con antecedente de enfermedad renal crónica en tratamiento sustitutivo con hemodiálisis. Se presenta al servicio con aumento de volumen en región retroauricular derecha y otorrea de 15 días de evolución. El estudio de imagen corroboró el diagnóstico de otitis media complicada con absceso de tejidos blandos y petrositis, razón por la cual se le realizó mastoidectomía radical y drenaje del absceso de los tejidos blandos (fig. 2).
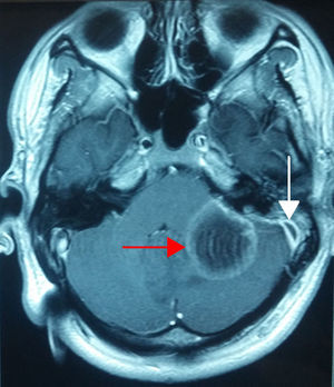
Caso 3Paciente masculino de 19 años de edad, referido a nuestro servicio por alteraciones de la marcha, estupor, otalgia y cefalea; papiledema a la fundoscopía. La TC de oídos mostró una otomastoiditis izquierda, mientras que la resonancia magnética nuclear (RMN) de cráneo evidenció una trombosis del seno sigmoides izquierdo y un absceso cerebeloso, razón por la cual se le realizó una mastoidectomía simple, la colocación de un tubo de ventilación, así como la exploración del seno sigmoides, con el drenaje y la evacuación del absceso por craniectomía de fosa posterior (fig. 3).
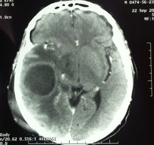
Caso 4Paciente masculino de 52 años con antecedente de enfermedad renal crónica manejado con diálisis peritoneal, referido al servicio con otorrea derecha de un mes de evolución y aumento de volumen en región retroauricular ipsilateral, secundario a traumatismo 7 días previos. En la TC se encontró edema en tejidos blandos en región temporal, una otomastoiditis y un absceso cerebral en lóbulo temporal (fig. 4). El paciente fue tratado mediante craniectomía descompresiva, capsulectomía, drenaje del absceso parenquimatoso, mastoidectomía con muro bajo y drenaje del absceso retroauricular (fig. 5).
Paciente de sexo masculino de 42 años, diabético, referido para valoración por presentar 3 cuadros de meningitis en el último mes. En la TC se observó una mastoiditis derecha. La punción lumbar reportó un líquido cefalorraquídeo turbio, con 6,000leucocitos/mm3 con 65% de polimorfonucleares, 332mg/dl de proteínas, 107mg/dl de glucosa, con un cultivo negativo; glucosa sérica de 279 mg/dl, leucocitos periféricos de 10,100μL (neutrófilos totales del 73%); reacción en cadena de la polimerasa para tuberculosis negativo. Fue tratado con antibioticoterapia a base de vancomicina y meropenem intravenosa por 14 días y mastoidectomía simple (fig. 6).
DiscusiónLa otitis media aguda se puede dividir en 5 etapas clínicas directamente correlacionadas con los síntomas clínicos, pudiéndose solapar uno con el otro: 1) Fase de tubotimpanitis: causa malestar, sensación de plenitud ótica, retracción de la membrana timpánica con pérdida del reflejo luminoso; puede ser observado inicialmente un derrame seroso. 2) Fase hiperémica: aparece con otalgia malestar general y fiebre de hasta 39¿C, la membrana timpánica congestiva y opaca. 3) Fase exudativa: presenta otalgia intensa, que puede perturbar el sueño, fiebre de más de 39¿C, marcada hiperemia de la membrana timpánica con pérdida de los puntos anatómicos de referencia. 4) Fase supurativa: acompañada de fiebre igual o mayor a 40¿C, así como otalgia intensa y pulsátil, membrana timpánica tensa, con áreas hiperémicas y a veces amarillentas denotando necrosis. 5) Fase 5: puede haber perforación espontánea de la membrana y otorrea con duración de más de 2 semanas4.
El curso clínico de la otitis media aguda suele ser corto, limitándose el proceso infeccioso en la gran mayoría de los pacientes debido a la respuesta del sistema inmune y a la sensibilidad del germen al antibiótico utilizado; sin embargo, un pequeño número de pacientes pueden presentar complicaciones (1-5%).
La mastoiditis aguda es subdividida de acuerdo a la etapa clínica en: 1) mastoiditis aguda incipiente, es decir inflamación de las celdillas mastoideas, y 2) mastoiditis coalescente, que es cuando el proceso inflamatorio destruye las trabéculas óseas de la mastoides, resultando en un absceso (organizado)3. La mastoiditis aguda anatómicamente se puede extender en 6 direcciones diferentes: lateral, hacia el tejidos blandos del oído externo; anterior, hacia el canal auditivo externo; posterior, hacia el seno sigmoides o la fosa craneal posterior, causando trombosis del seno lateral; medial, hacia el laberinto o la punta del peñasco, causando laberintitis, y/o apicitis; superior hacia la fosa craneal media, causando un absceso epidural; e inferomedial, hacia la punta mastoidea, causando un absceso de Bezold4. La complicación intracraneal más común de la mastoiditis aguda es la meningitis. Otras complicaciones intracraneales incluyen: empiema subdural, empiema epidural, absceso intraparenquimatoso, trombosis del seno transverso, apicitis e hidrocefalia ótica. Las complicaciones extracraneales son: parálisis facial periférica, fístula laberíntica, absceso de Bezold, osteomielitis y fascitis cervical5.
Los gérmenes más frecuentemente encontrados en la mastoiditis aguda y sus complicaciones son: Streptococcus pneumoniae (S. pneumoniae), estreptococos del grupo A, Staphylococcus aureus (S. aureus), Haemophilus influenzae (H. influenzae)y Pseudomonas aeruginosa (P. aeruginosa), siendo más frecuente en la población general el neumococo6,7. En nuestros pacientes en el 60%, 3 de los casos no se logró aislar ningún germen. Solo en 2 se aislaron, en uno S. aureus y en el otro P. aeruginosa.
En los casos de otitis media complicada con absceso de Bezold puede ocurrir en cualquier grupo de edad, pero sucede con mayor frecuencia en niños mayores y adultos, ya que en los primeros la neumatización de la mastoides se extiende hasta la punta, permitiendo fácilmente la perforación de la cortical. Los adultos afectados por esta complicación suelen ser los que tienen antecedentes de enfermedades crónicas como sinusitis o colesteatoma. Los gérmenes más frecuentemente implicados en la mayoría de los casos son el S. pneumoniae y pyogenes. Dentro de la fisiopatología, una vez que se encuentra la mastoiditis afectando la punta de la mastoides, la cual ocasiona erosión de la misma con extensión al triángulo posterior del cuello. Los pacientes con diagnóstico de absceso de Bezold típicamente presentan: fiebre gradual, otorrea, otalgia e hipertermia en cuello con o sin aumento de volumen durante un período de días.
El tratamiento de estos abscesos es mastoidectomía y drenaje8–10. En nuestro caso del paciente con absceso de Bezold, tenía una presentación atípica del cuadro, ya que su motivo de consulta fue el aumento de volumen en cuello, encontrando a la exploración física una membrana timpánica opaca. Inicialmente se pensó en el diagnóstico de absceso profundo de cuello; sin embargo, en el estudio de imagen se observó colección purulenta la cual realzó en su periferia al medio de contraste, con relación importante en la punta de la mastoides, confirmando el diagnóstico de mastoiditis aguda complicada con absceso de Bezold. La mastoides desarrollada y neumatizada con un adelgazamiento de la cortical facilitó la formación del absceso de Bezold.
En el caso 2 el paciente se presentó con absceso de tejidos blandos y petrositis secundarios a la extensión de la infección de la otitis media siendo esta última una complicación rara y tardía de la otitis media purulenta, sin antecedentes de otorrea con un cuadro agudo. En la TC se observó la mastoides derecha con datos de enfermedad crónica por lo que se trata de una otitis media crónica agudizada. Con relación a la petrositis, cuando la inflamación se extiende en el canal de Dorello, el cual contiene el VI nervio craneal y el ganglio de Gasser, se desarrolla el síndrome de Gradenigo, caracterizado por una tríada de síntomas: parálisis del recto externo (VI nervio craneal), dolor retroorbitario (en la distribución de V nervio craneal) y otorrea4,10. En nuestro caso se encontró el ápex petroso ipsilateral ocupado por material purulento, como la mastoides y la caja timpánica, sin presentar sintomatología orbitaria y/o trigeminal. El factor adicional de riesgo en este paciente fue la insuficiencia renal crónica.
En el caso 3 la complicación se presentó en un paciente sin antecedente ótico de importancia, con un cuadro típico de otitis media aguda complicada con trombosis del seno sigmoides y cráneo hipertensivo por absceso cerebeloso. Estos últimos se presentan como la causa más frecuente secundarios a sepsis otológica y por la contigüidad infectan el cerebelo. Se plantea que el absceso cerebeloso representa alrededor del 10-18.7% de los abscesos intracraneales. La patogénesis propuesta de esta complicación es una extensión de la infección a partir de pequeñas venas de la mastoides hacia el seno sigmoides, con su posterior propagación de la inflamación a través del hueso erosionado o coalescente, causando un absceso en torno al seno longitudinal y su trombosis. Clínicamente se puede presentar con fiebre, otorrea, edema retroauricular, otalgia, cefalea, náuseas, vómitos y signos meníngeos. En estos casos, el tratamiento consiste en mastoidectomía, exposición del seno sigmoides, exponiendo la duramadre y punción del seno sigmoides. Cuando está ausente un absceso perisinusal y el paciente no presenta síntomas de sepsis, el coágulo del seno sigmoides no se elimina. En presencia de absceso perisinusal y signos de septicemia, se debe abrir el seno, retirar el coágulo y ligar la vena yugular. En nuestro caso, no se encontró absceso perisinusal, por lo cual no se intervino el seno lateral, realizando solo la punción diagnóstica del mismo3,4,11.
En el caso 4, en el paciente con una enfermedad renal crónica llama la atención el absceso cerebral, por ser un hallazgo incidental. Clínicamente el paciente no tenía síntomas de afectación neurológica; la TC contrastada se realizó para descartar absceso de tejidos blandos, porque 7 días previos a su valoración había presentado traumatismo craneoencefálico en dicha zona al caerle una escalera. Se confirmó el diagnóstico de absceso cerebral por hallazgos imagenológicos. Dentro de la fisiopatología del absceso cerebral, el oído medio tiene una importancia capital en el inicio de la infección intraparenquimatosa debido a la frecuencia de las otitis medias y la posibilidad de difícil control al pasar a la cronicidad en fase de actividad. Es difícil de tratar en ocasiones por lo cerrada que está la cavidad del oído medio ya que sus paredes están en contacto con hueso neumatizado que favorece el avance y la diseminación de los gérmenes a los compartimientos intracraneales. Cuando la otitis es el factor predisponente afecta más frecuentemente el lóbulo temporal o el cerebelo. Una vez hecho el diagnóstico se debe realizar la cirugía de urgencia dirigida a evacuar la colección de pus y para el lavado constante con antibiótico. Es importante recordar el estrecho espacio de la fosa posterior en la que masas de crecimiento rápido causan la súbita degradación del estado de conciencia y la apertura del absceso dentro del cuarto ventrículo3.
En el caso 5, el paciente se presentó con el diagnóstico de diabetes de 12 años de evolución, sin antecedentes de enfermedad ótica con 3 cuadros de meningitis en el último mes, con un análisis citoquímico y citológico del líquido cefalorraquídeo compatible con meningitis bacteriana. Sin antecedentes de trauma de hueso temporal, no se encontró durante el evento quirúrgico fístula laberíntica que predispusiera a la recidiva de la neuroinfección. Se realizó panel viral, siendo negativo para los virus de inmunodeficiencia humana, hepatitis B y C.
En la otitis media aguda de tórpida evolución hay que sospechar una complicación, cuando se agregan signos neurológicos, dentro de su fisiopatología. Se puede dar la diseminación de la infección a través de una erosión ósea, de las ventanas oval o redonda, o por flebitis retrógrada. La otitis media crónica causa más meningitis, la cual genera una mayor mortalidad, por lo que esta debe vigilarse estrictamente. En la meningitis bacteriana los microorganismos pueden llegar al espacio subaracnoideo por 3 vías: hematógena, como consecuencia de un foco infeccioso contiguo, secundarios a otitis o fístula pericraneal; propagación retrógrada, mecanismo que envía un trombo pequeño infectado a través de la vena emisaria, cuando la infección está próxima al sistema nervioso central, como en las sinusitis, otitis o mastoiditis; y diseminación directa o por contigüidad, por lo que se propaga la infección proveniente de focos infecciosos próximos, como celulitis orbitaria, osteomielitis craneal, infecciones de tejidos blandos, senos paranasales o de senos dérmicos o mielomeningoceles (malformaciones congénitas que comunican al con el exterior). Se describe otra vía congénita (preformada,) sobre todo en neonatos y lactantes, por persistencia de la sutura petroescamosa12. El diagnóstico de meningitis se establece con el cuadro clínico, la punción lumbar, estudio donde se observa una elevación en el recuento de células en el líquido cefalorraquídeo. Debido a que el cultivo del líquido cefalorraquídeo requiere tiempo para confirmar el diagnóstico se recomienda iniciar el tratamiento inmediatamente si el perfil citológico del líquido cefalorraquídeo sugiere meningitis bacteriana, lo cual muestra típicamente la presión elevada (200-500mmH2O), pleocitosis (1,000-5000×106células/l de glóbulos blancos), con un predominio de neutrófilos (≥80%), proteínas elevadas (1-5g/l) y disminución de la proporción de glucosa del líquido cefalorraquídeo/suero (≤0.4)13. El tratamiento antibiótico de una meningitis otógena dependerá del germen causal y del antibiograma, pero generalmente se recomienda la administración de altas dosis de antimicrobianos apropiados. En la otitis media aguda los gérmenes relacionados corresponden con el S. pneumoniae y H. influenzae tipo B, aunque este último prácticamente ha desaparecido en muchos países desde el uso generalizado de la vacuna de polisacárido conjugado. Se recomienda tratamiento intravenoso con cefalosporinas de tercera generación, de elección la ceftriazona, timpanocentesis y miringotomía para cultivo y drenaje. En caso de confirmarse infección por S. pneumoniae, está protocolizado el uso de vancomicina intravenosa12.
ConclusionesLos estudios de imagen (TC y RMN) ayudan a diagnosticar las complicaciones de la otitis media. La utilización de los antibióticos coadyuvan al tratamiento quirúrgico adecuado de las complicaciones de la otitis media, disminuyendo la morbimortalidad en la mayoría de los pacientes que las presentan.
Responsabilidades éticasProtección de personas y animalesLos autores declaran que para esta investigación no se han realizado experimentos en seres humanos ni en animales.
Confidencialidad de los datosLos autores declaran que han seguido los protocolos de su centro de trabajo sobre la publicación de datos de pacientes.
Derecho a la privacidad y consentimiento informadoLos autores declaran que en este artículo no aparecen datos de pacientes.
Conflicto de interesesLos autores declaran no tener ningún conflicto de intereses.
A la Dra. Katia Gámez Zermeño y al Servicio de Neurocirugía por su participación en el manejo quirúrgico de oído y neuroquirúrgico en 2 pacientes.








