Las variaciones de los vasos que surgen del arco aórtico son numerosas1, reportándose según la literatura consultada entre el 6 al 49% en diversos países. La mayoría de las variantes son descritas como asintomáticas. No obstante, algunas se han asociado con síntomas significativos y problemas quirúrgicos serios, causados por efectos de la compresión o presión que ejercen esas variantes sobre la tráquea o el esófago2. Presentamos el caso de una variante que no encontramos descripción previa en la literatura la cual fue un hallazgo transquirúrgico durante una corrección de un paciente neonato con diagnóstico de coartación aortica.
The variations of the vessels that arise from the aortic arch are numerous, reported according to the literature consulted between 6 to 49% in various countries. Most variants are described as asymptomatic. However, some have been associated with significant symptoms and serious surgical problems, caused by the effects of compression or pressure that these variants exert on the trachea or esophagus. We present the case of a variant that we found no previous description in the literature, which was a trans surgical finding during a correction of a neonatal patient with a diagnosis of aortic coarctation.
La aorta, el arco aórtico y sus ramas se desarrollan mediante un proceso complejo en el feto durante sus primeras semanas del desarrollo. La configuración anatómica estándar descrita en la literatura está presente en aproximadamente el 80% de la población3. El desarrollo del arco aórtico definitivo y sus ramas tiene lugar en las primeras 5 semanas de gestación; durante la tercera semana de gestación, las aortas dorsales se fusionan caudalmente en una única aorta descendente en el cuarto nivel vertebral torácico. Posteriormente, el primer, segundo y quinto arco presentan regresión. El tercer arco origina las carótidas. El cuarto arco a la derecha da origen a la arteria braquiocefálica y subclavia derecha, mientras que la izquierda forma la subclavia izquierda y el arco aórtico propiamente dicho, que posteriormente se une a la aorta descendente. La persistencia u obliteración de estos arcos ocasionados por procesos en útero, puede dar lugar a variaciones anatómicas3,4. Desde una perspectiva clínica, las variaciones del arco aórtico pueden no presentar síntomas definidos o pueden acompañarse de síntomas diversos como dificultad para la deglución o respiración; además de las asociaciones con enfermedades cardiacas congénitas y cromosómicas5. El objetivo de este estudio es presentar una variante no descrita en la literatura previamente, la cual fue un hallazgo transquirúrgico en un neonato durante una corrección de coartación aórtica.
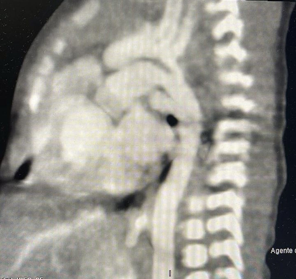
Presentación del casoPaciente neonato de 10 días de vida con el diagnóstico de canal atrio ventricular desbalanceado con vasos en malposición y coartación aórtica con valores z ligeramente disminuidos. Se presentó en sesión médico/quirúrgica aceptándose para manejo univentricular y coartectomía término/terminal ampliada con sección y sutura del conducto arterioso. Se realiza toracotomía posterolateral izquierda con disección por planos con sección de los músculos de la pared torácica hasta llegar a los músculos intercostales. Se realiza sección de pleura mediastinal con sección del ligamento de Gross, disección extensa de aorta descendente torácica, tercer tronco supraaórtico, encontrando nacimiento independiente de los ostium del segundo tronco con fusión superior tipo escopeta (figs. 1 y 2 A, 1B y 2). El tiempo de pinzamiento aórtico fue de 14min. El paciente presenta adecuada evolución con gradiente residual de 21mmHg en aorta descendente, continuando seguimiento por la consulta.
Las variaciones en los tipos del arco aórtico se describen en distintas clasificaciones, la más utilizada es la de Natsis et al.1, la cual la divide en VIII tipos, agregándose actualmente hasta XII tipos dependiendo los distintos tipos que se han encontrado6. En base a la literatura consideramos que el hallazgo transquirúrgico pudiera ser una subvariante del tronco tipo VII de la clasificación de Natsis en la cual se encuentra por separado los 4 vasos, siendo de derecha a izquierda el nacimiento de la subclavia derecha, carótida derecha común, carótida común izquierda y subclavia izquierda2. La diferencia con nuestro hallazgo es la fusión de la carótida izquierda y la carótida común derecha en la porción superior de tipo escopeta sin haberla encontrando descrita previamente en la literatura, siendo un hallazgo transquirúrgico; desconocemos si pudiera presentar alguna sintomatología, aunque consideramos que es poco probable mientras el desarrollo de los vasos y flujos sean adecuados por lo que continuara en vigilancia por nuestro servicio.
ConclusionesAunque los orígenes anómalos de las ramas del arco aórtico son meras variantes anatómicas, y en muchas ocasiones son asintomáticas, cabe mencionar que la información precisa sobre ellos es vital para la cirugía cardiaca. Presentamos una variante que no encontramos descrita previamente en la literatura.
Consideraciones éticasPara realizar esta presentación de caso se solicitó y se obtuvo el consentimiento informado de los padres para su publicación.
FinanciaciónLos autores declaran no haber recibido financiación para la realización de este trabajo.
Conflicto de interesesLos autores declaran no tener ningún conflicto de intereses.





