La presencia de un trombo en el cayado aórtico sin anomalías es inusual, sin embargo, supone un reto para el clínico. Por un lado, su diagnóstico suele ser incidental o secundario a una embolia sistémica y, por otro, no existe consenso para su tratamiento debido a la falta de estudios aleatorizados.
Presentamos el caso de un varón de 54 años que ingresó en la unidad de reanimación tras ictus isquémico de la arteria cerebral media izquierda no revascularizable. Una angiografía por tomografía computarizada con contraste evidenció un trombo pediculado de 7cm en la aorta torácica con origen en la aorta ascendente medio-distal, aparentemente sin otras anomalías. Se realizó extracción completa del trombo y de la membrana en la base de implantación ante la sospecha de un posible síndrome aórtico agudo. El examen histológico confirmó la presencia de fibrina, sin embargo, los estudios de laboratorio no establecieron una causa principal que justificara la formación del trombo.
Flotant thrombus in the aortic arch without abnormalities is unusual. Arterial embolic disease continues to challenge clinicians. The diagnosis is usually incidental or secondary to a systemic embolism, although there are no randomized controlled trials for consensus as to its treatment.
A 54-year-old man was admitted to the critical care resuscitation unit after a nonrevascularizable left middle cerebral ischaemic stroke. CTA with contrast showed a 7-cm pedunculated thrombus in the thoracic aorta originating from the mid ascending aorta and arch, without other abnormalities. Complete removal of the thrombus and complete resection of the basement membrane were performed due to the suspicion of a possible acute aortic syndrome. Histological examination confirmed the presence of fibrin, however, laboratory studies did not establish a main cause that justified the formation of the thrombus.
Los trombos aórticos flotantes son raros y propensos a romperse, lo que conlleva un riesgo potencial de eventos embólicos con consecuencias graves1.
La aorta ha sido identificada como fuente no cardiaca de embolias arteriales2. En algunas series existe el antecedente de traumatismo cerrado o de manipulación endovascular, pero a menudo no se identifica una etiología evidente y se alude a la combinación de factores de riesgo cardiovascular, que pueden inducir un estado procoagulante y protrombótico3. Sin embargo, nuestra mayor familiaridad con las situaciones de trombofilia está permitiendo identificar un apreciable número de pacientes con ciertas condiciones de los factores de la coagulación que deben ser estudiadas para un correcto diagnóstico de enfermedad4.
A continuación, describimos el caso clínico de un gran trombo pediculado en la aorta ascendente y el cayado aórtico como causa de ictus isquémico.
Caso clínicoSe trata de un varón de 54 años trasladado a urgencias con traumatismo craneoencefálico frontal y fetor enólico. Presentaba alteración del lenguaje del tipo afasia mixta, solo emitía palabras sencillas, con importante agitación psicomotriz, tensión arterial de 118/60mmHg, SpO2 del 94%, en ritmo sinusal a 90 lpm. Sus principales antecedentes médicos eran dislipidemia, obesidad de tipo II, fumador de un paquete/día, enolismo crónico, síndrome depresivo y lumbalgia crónica. Como medicación habitual tomaba duloxetina (60mg), trazodona (100mg), atorvastatina (20mg), pregabalina (150mg/12h) y tiaprizal (100mg/12h).
Se le realizó una tomografía axial computarizada (TAC) craneal con hallazgos compatibles de proceso isquémico hiperagudo en el territorio de la arteria cerebral media izquierda (M2 distal) y una TAC de aorta, en la que se apreció un trombo pediculado de 7cm en la aorta torácica con origen en el cayado aórtico (fig. 1). Tras valoración multidisplinar por parte de cirugía cardíaca, neurorradiología intervencionista y neurología, se decidió desestimar la trombectomía mecánica por dificultad técnica y por la urgencia, por posible síndrome aórtico agudo.
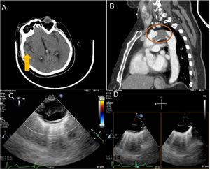
A) Tomografía axial craneal: proceso isquémico hiperagudo en territorio de la arteria cerebral media izquierda (M2 distal). B) Angiografía de aorta. Defecto de repleción de 7cm, que se extiende desde el plano tubular de la aorta ascendente hasta el istmo aórtico en una aorta sin clara ateroesclerosis. Este trombo genera estenosis de 18mm en el cayado aórtico entre el origen de la arteria carótida común izquierda y la arteria subclavia izquierda. C) Ecografía transesofágica. Trombo en aorta, que llega a subclavia izquierda y parece ocupar todo el cayado. Espesor máximo de 16mm. D) Ecografía transesofágica (Xplane). Trombo arterial junto con guía flexible a través de subclavia izquierda.
Se le indujo una anestesia general con secuencia rápida, con monitorización invasiva de la presión arterial de ambas arterias radiales, presión venosa central, oximetría cerebral no invasiva, bisprectal index y ecografía transesofágica (ETE) para localización del trombo en cayado aórtico (fig. 1); se usó guía flexible para posible despliegue de prótesis híbrida. Previa heparinización del paciente con 3mg/kg, disección y canulación directa de la arteria axilar derecha, se le realizó esternotomía media, canulación de aurícula derecha, seno coronario y disección de troncos supraaórticos con administración de cardioplejía hemática por vía retrógrada. Tras parada cardiocirculatoria con perfusión unilateral de 37 min con hipotermia moderada (24?°C) se efectuó aortotomía longitudinal en el arco aórtico y en la aorta ascendente distal.
Se objetivó un trombo flotante con amplia base de implantación de 2cm en aorta ascendente medio distal y arco aórtico (fig. 2). Se extrajo por completo el trombo, se resecó la membrana en la base de implantación y se objetivó integridad total de la capa media e íntima tanto en la aorta ascendente como en el arco aórtico (fig. 2). Tras recuperar la normotermia, se produjo salida de circulación extracorpórea (180min) sin soporte vasopresor.
Después, mediante ETE se descartó la existencia de una fuente embolígena cardiaca; la pared subyacente y el resto de la aorta eran de morfología aparentemente normal. Tras su estancia en reanimación de 4días, el paciente fue extubado a las 48 h de la cirugía, con administración de fármacos para prevenir la agitación psicomotriz y la abstinencia. Con la TAC cerebral hecha a las 48 h se descartaron complicaciones hemorrágicas, sin secuelas neurológicas. Se inició terapia anticoagulante, inicialmente intravenosa y después oral para INR 2-3.
Los parámetros analíticos bioquímicos fueron normales, incluyendo proteinograma, vitaminas, perfil lipídico (colesterol total de 185mg/dl y triglicéridos de 150mg/dl), así como los hematológicos y de coagulación habituales. El ROTEM® intraoperatorio mostró un estado procoagulante (fig. 3). Las serologías para SARS-CoV-2 y para VIH fueron negativas. El estudio inmunológico resultó negativo o sin anomalías. El estudio de trombofilias realizado durante el evento agudo presentó positividad para el anticoagulante lúpico con veneno de víbora de Russel con un ratio de 1,6 (0,8-1,2) y déficit leve de proteína S 59% (60-125%); el resto era normal. También los test toxicológicos fueron normales.
El paciente permaneció asintomático y en los posteriores controles ecocardiográficos durante la hospitalización y tras el alta hospitalaria (10 días) se pudo comprobar la desaparición del trombo. Tras suspensión del acenocumarol durante 4 días, el estudio del anticuerpo lúpico fue negativo y los niveles de proteína S a las 12 semanas fueron normales.
DiscusiónPresentamos el caso de un varón joven con un gran trombo anclado a la aorta ascendente y al arco aórtico morfológicamente normal, como fuente de un ictus isquémico. Se concluyó que la combinación de su tabaquismo activo, dislipidemia, obesidad y abuso de alcohol era la probable causa de un estado procoagulante que favoreció la formación del trombo aórtico. Este caso permite focalizar la atención en una entidad que es inusual, pero que conlleva una gran morbimortalidad.
Presenta la peculiaridad de que es de los pocos casos documentados en los que el inicio clínico resultó de un ictus isquémico y en el que el estudio del abordaje para la trombectomía mecánica urgente permitió su diagnóstico. Adicionalmente, requirió la valoración multidisciplinar para determinar la indicación de cirugía cardiaca, con el consiguiente riesgo de sangrado en un evento isquémico cerebral agudo.
Con respecto a las estrategias de tratamiento, no hay consenso sobre las recomendaciones terapéuticas1-3. En las últimas revisiones se indicó que un abordaje conservador con fármacos anticoagulantes o la cirugía eran opciones razonables para el tratamiento de los trombos aórticos, según las características y las embolias periféricas derivadas1. Dada la localización y el tamaño del trombo y el desarrollo de un ictus isquémico, se decidió hacer trombectomía con el objetivo de descartar posibles complicaciones en la aorta torácica tipo úlcera penetrante.
El tratamiento médico es el preferido por muchos investigadores, basado principalmente en la anticoagulación temprana; sin embargo, existe el riesgo de la formación de trombos recurrentes con la necesidad de tratamiento quirúrgico1,5. Además, tampoco existen pautas establecidas que determinen la dosis y duración de estos fármacos. Por esta razón, el tratamiento conservador debería quedar para trombos pequeños, sésiles y para pacientes cuyas comorbilidades hagan que la cirugía suponga un riesgo no asumible5.
La cirugía abierta requiere circulación extracorpórea y paro circulatorio. Por tanto, es de gran importancia evaluar tanto los riesgos como los beneficios quirúrgicos. También es crucial distinguir la existencia de posibles anomalías de la aorta, lo que llevaría a una cirugía de recambio del arco aórtico6. Por ello, la ETE tiene un papel fundamental, ya no solo para el diagnóstico de entidad aórtica aguda y la localización del trombo, sino para guiar la canulación aórtica y la valoración de la morfología y función cardiaca7.
En nuestro caso describimos un trombo pediculado por las imágenes descritas en la TAC de aorta, en la que se describe su base de implantación. No tenemos pruebas de la movilidad porque el paciente se encontraba muy agitado y las imágenes ecográficas son de baja calidad.
La resección quirúrgica, tanto del trombo aórtico como del sitio de inserción, es fundamental, ya que hay estudios que informan la recurrencia local de un trombo tras la trombectomía8. Por tanto, la resección del sitio de inserción fue necesaria en nuestro caso, dadas las dimensiones y la alta probabilidad de embolias periféricas. La membrana de implantación tenía, macroscópicamente, aspecto parecido a la fibrina y en el estudio de anatomía patológica se confirmó la presencia de material fibrino-hemático.
No se realizó sustitución de la aorta, ya que se pudo extraer la totalidad del trombo y su membrana y se examinó la integridad de la pared aórtica con la certeza macroscópica de haber resecado la totalidad de la zona de inserción del trombo. La sustitución de la aorta ascendente y del arco aórtico es una cirugía que conlleva mucha más morbilidad y mayor tiempo de circulación extracorpórea. Esto, sumado a la condición de isquemia cerebral aguda del paciente, hizo que no se considerara adecuada.
En el supuesto de haber realizado la sustitución de la aorta ascendente y del arco aórtico, se tendría que haber empleado una prótesis híbrida, dada la localización del trombo. En cualquier caso, la sustitución hubiese sido después de la trombectomía, por lo que, al pasar la guía para la colocación de la prótesis, no habría habido riesgo de embolización.
Otro aspecto destacable del caso son las pruebas para el estudio de tromobofilias, ya que se obtuvo un falso positivo para el anticuerpo lúpico con veneno de víbora de Russel como consecuencia del tratamiento con heparina. Además, se observó una deficiencia leve de la proteína S, que estaba relacionada con el contexto agudo del cuadro trombótico. Esto es debido a que, a excepción de las mutaciones del gen de la protrombina y de Leiden, el resto de los factores se ven artefactados en fase aguda9, por lo cual no se recomienda su estudio hasta pasados como mínimo 5-6 meses desde el cuadro trombótico.
Por último, los criterios establecidos de trombofilia se han asociado principalmente a eventos trombóticos venosos: su condición en la trombosis arterial es muy limitada. Además de afectar a territorios venosos, suelen encuadrarse en pacientes menores de 55 años (en general, no está recomendado su estudio en pacientes mayores de 55 años sin antecedentes trombóticos) y sin ninguna causa subyacente que pueda explicar el evento trombótico9.
ConclusiónLa evolución de los pacientes con trombosis aórtica sin una enfermedad aórtica subyacente no está bien definida y son escasas las recomendaciones para su tratamiento y el seguimiento a largo plazo, dada la ausencia de estudios aleatorizados. Por ello, el éxito de la terapia anticoagulante y la cirugía cardiovascular es variable según las series de casos publicadas.
El hallazgo de un trombo adherido a la pared aórtica nos obliga a descartar la presencia de un síndrome aórtico del tipo de úlcera penetrante subyacente. La ETE es un instrumento de diagnóstico y de monitorización durante todo el período pre,- intra- y postoperatorio.
Consideraciones éticasLos autores declaran que el caso fue supervisado por el Comité Ético del Hospital Universitario La Paz y que obtuvieron el consentimiento informado del paciente para la publicación de este trabajo.
Conflicto de interesesNinguno.






