La enfermedad relacionada con la inmunoglobulina G4 simula muchas afecciones inflamatorias, oncológicas e infecciosas que a menudo provocan el retraso en el diagnóstico y tratamiento, lo que permite que las lesiones progresen hasta convertirse en irreversibles.
El conocimiento de esta enfermedad es importante para evitar retrasos innecesarios. Presentamos el caso de una paciente de 13 años con enfermedad relacionada con la inmunoglobulina G4 con afección al pericardio e insuficiencia cardiaca derecha grave. Se discutirá la presentación clínica de esta enfermedad, así como la revisión sobre la patogénesis, el diagnóstico y el tratamiento reciente.
The G4 immunoglobulin-related disease simulates many inflammatory, oncological, and infectious conditions that often cause a delay in diagnosis and treatment, allowing the lesions to progress until they become irreversible.
The knowledge of this disease is important to avoid unnecessary delays. We present the case of a 13-year-old female patient with G4 immunoglobulin-related disease with pericardial involvement and severe right heart failure. The clinical presentation of this disease will be discussed, as well as the review on pathogenesis, diagnosis, and recent treatment.
La enfermedad relacionada con la inmunoglobulina G4 (ER-IgG4) es una enfermedad descrita recientemente. El comportamiento es inmunológicamente mediado y multiorgánico (en el 60-90% de los casos)1. Debido a su similitud con otras patologías y sintomatología generalizada, inespecífica y atípica hacen difícil el diagnóstico. La ER-IgG4 tiene muchas presentaciones y puede simular condiciones de malignidad y también de enfermedades infecciosas2. En la actualidad, las glándulas pancreáticas, salivales y lagrimales parecen ser los órganos más afectados tanto en niños como en adultos. Sin embargo, la lesión de otras estructuras puede estar subestimada, y muchas otras formas de inflamación no específica o trastornos autoinmunes pueden estar relacionadas, y es posible que en el futuro se puedan diagnosticar como nuevas formas de ER-IgG42,3. El conocimiento de esta enfermedad es necesario para evitar diagnósticos innecesarios y retrasos en el tratamiento. La ER-IgG4 puede sospecharse en base a los hallazgos clínicos específicos y niveles elevados de IgG4 en suero, pero el diagnóstico solo puede confirmarse histológicamente4. La presentación de ER-IGG4 en población pediátrica es una entidad rara; una revisión sistemática de la literatura identificó 22 informes de casos de ER-IgG4 en niños en un lapso de 5 años (2010-2015)2.
Caso clínicoPaciente femenina de 13 años, sin historia heredofamiliar de importancia.
Entre sus antecedentes patológicos se refiere diagnóstico de sospecha de síndrome de Russell-Silver sin confirmación por estudio genético.
Un año previo al padecimiento actual, cursó con el diagnóstico de pericarditis, la cual fue diagnosticada y tratada de forma ambulatoria con antiinflamatorio no esteroideo durante 4 semanas y a las 6 semanas se dio alta médica. No se refieren el tipo de estudios practicados.
Padecimiento actualInicia 3 semanas previas al internamiento refiriendo disnea a medianos esfuerzos. Cianosis que se presenta al esfuerzo medio, en la última semana dolor abdominal de predominio en flanco derecho y edema de miembros inferiores.
Examen físicoFrecuencia cardiaca 140lpm, respiración 32rpm, saturación periférica del 92% reposo. TA 100/48mmHg. Llenado capilar de 4s. Pulso paradójico.
Paciente de talla baja, complexión endomórfica, facies pletórica. Con disnea a la deambulación y ortopnea durante la revisión. Dudosa cianosis peribucal. Cuello corto, con ingurgitación yugular. Tórax sin deformación, hiperdinámico por taquicardia y ritmo de galope. Se ausculta S2 incrementado y soplo regurgitante tricuspideo GII/VI. Campos pulmonares con hipoventilación basal derecha, así como matidez basal. Hepatomegalia congestiva, ascitis y edema a nivel del pubis, que se extiende a las extremidades inferiores.
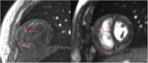
Abordaje diagnóstico y terapéuticoSe inició manejo para la insuficiencia cardiaca derecha con oxígeno, diuréticos y restricción de líquidos. El ecocardiograma demostró pericarditis constrictiva con disfunción diastólica del ventrículo derecho y patrón restrictivo en el ventrículo izquierdo. Se realizó resonancia magnética cardiaca donde se corrobora diagnóstico y se demostró un pericardio de un grosor de 12mm con compromiso hemodinámico importante (fig. 1).
Por los hallazgos y ante los datos de falla cardiaca persistente se decidió realizar pericardiectomía parcial (fig. 2). La vía de abordaje fue mediante esternotomía total, encontrando el pericardio engrosado con múltiples zonas de calcificación misma que se encontraba vascularizada y adherida a epicardio cardiaco. Mediante diatermia se realizó la liberación de las adherencias firmes para poder realizar la exéresis parcial del pericardio, los límites de resección fueron a nivel superior hasta resecar el pericardio que rodea los grandes vasos, a nivel inferior toda la cara diafragmática exceptuando el tendón fibroso central y lateral respetando el nervio frénico de ambos lados.
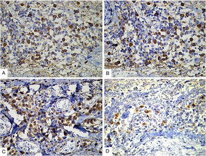
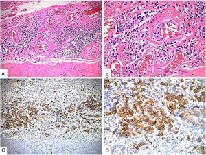
Los hallazgos histológicos mostraron un infiltrado linfoplasmacítico extenso y multifocal de células maduras, con un franco predominio de la población de células plasmáticas y presencia de depósito de material fibrocolagenoso denso significativo de predominio perivascular y en íntima relación con las células inflamatorias (fig. 3); se realizó estudio complementario con técnica de inmunohistoquímica, con el cual se destacó el predominio de células plasmáticas entre las células del infiltrado, se confirmó la policlonalidad de las mismas (expresión de cadenas ligeras kappa y lambda en proporciones similares) y se demostró la extensa expresión del anticuerpo IgG por parte de las células plasmáticas así como la inmunomarcación con IgG4 en al menos el 30% de la población (18-20 células por campo de 40X) de células positivas con IgG (fig. 4).
Estudio histopatológico: A.- Aspecto morfológico del tejido pericárdico, en el cual se destaca la presencia de un infiltrado inflamatorio de células mononucleadas en un estroma fibroconectivo denso (tinción de hematoxilina &eosina, 40X). B.- A mayor aumento (100X) se aprecia un número significativo de células plasmáticas entre las células del infiltrado. C y D.- Tinción de inmunohistoquímica con el anticuerpo CD38 resalta la población de células plasmáticas (40X y 100X respectivamente).
Estudio de inmunohistoquímica: A.- Tinción positiva para cadenas ligeras kappa en el citoplasma de las células plasmáticas y (B) con el anticuerpo para cadenas ligeras lambda, en una proporción similar, los cual demuestra la policlonalidad de la población de células plasmáticas. C.- Inmunotinción positiva difusa con el anticuerpo IgG. D.- Células plasmáticas positivas con IgG4, que corresponden a un 30% de la población de las células positivas con IgG (aproximadamente 20 células positivas por campo de 40X).
Con estos hallazgos se solicitaron inmunoglobulinas y subpoblación de linfocitos (tabla 1).
Concentración de inmunoglobulinas G en suero al inicio y 12 meses después de tratamiento. Inmunofenotipos de células B
| Subclases de IgG | Concentración (mg/dL)basal | Concentración (mg/dL)postratamiento(12 meses después) | Rango normal |
|---|---|---|---|
| IgG subclase 1 | 800 | 691 | 423-1080 |
| IgG subclase 2 | 150 | 127 | 78-355 |
| IgG subclase 3 | 30 | 25.1 | 17-173 |
| IgG subclase 4 | 384 | 73.1 | 2.0-115 |
| Inmunoglobulina G total | 1370 | 1060 | 821-1835 |
| Fenotipo | Concentración cél/μL- % | Rangos |
|---|---|---|
| Total de células B | ||
| Linfocitos absolutos | 3270 | 1500-6500 |
| CD19 | 461 | 200-820 |
| CD19% del total Cel. T | 14 | 12-34% |
| CD3 absolutos | 2493 | 920-220 |
| CD3 porcentaje de Linfocitos T | 76 | 58-80% |
| Linfocitos-T subpoblaciones | ||
|---|---|---|
| CD4 absolutos | 1989 | 520-1440 |
| CD4 porcentaje | 62 | 29-52% |
| CD8 absolutos | 482 | 300-900 |
| CD8 porcentaje | 15 | 17-35% |
| Células NK | ||
| CD3-CD16+CD56 absolutas | 311 | 70-500 |
| CD3-/CD16+CD56+porcentaje | 9 | 3-19 |
| CD4/CD8 | 4,1 | 1,0-2,8 |
IgG; inmunoglobulina G; NK; natural killer.
Confirmado el diagnostico de ER-IgG4 se inició tratamiento con prednisona durante 4 meses y posteriormente micofenolato durante 6 meses. Los estudios de extensión no demostraron lesiones a otros órganos y los niveles de IgG4 a los 12 meses del diagnóstico se encuentran en rangos normales. El ecocardiograma de control mostró una función biventricular normal.
DiscusiónER-IgG4 es una enfermedad relativamente nueva y generalmente desconocida para los médicos pediatras. El reconocimiento temprano y la terapia son importantes para prevenir daños serios e irreversibles a los órganos4,5.
En un estudio de revisión, Karim et al. describen 22 casos de ER-IgG4 en población pediátrica. La edad promedio fue de 13 años y el sexo predominante fue el femenino (64%)2.
La enfermedad de la órbita por IgG4 correspondió al 44% de los casos, le sigue la pancreatitis autoinmune tipo 1 con un 12%. Con menor frecuencia también se encontraron otras manifestaciones a nivel pulmonar, vesícula biliar y ganglios linfáticos. La glándula tiroides, colón y senos paranasales son otras estructuras afectadas2. La afección del pericardio por ER-IgG4 se ha descrito de forma poco frecuente en población adulta, por lo cual hace importante el reporte del caso6.
PatogeniaLa patogenia de la ER-IgG4 no está clara. Generalmente son observadas en suero abundantes células T cooperadoras y las células T reguladoras. Este incremento es probablemente inducido por un antígeno que activa el sistema inmunológico, posteriormente participan las interleucinas 4, 5, 10, 13 y el factor de crecimiento transformante beta que activan las células B, por lo que producen células B-IgG4 y provocan fibrosis excesiva. El papel de los anticuerpos IgG4 no se conoce5–7.
TratamientoCuando no se trata la ER-IgG4 puede causar daños irreversibles a los órganos afectados, por lo que se debe indicar un tratamiento intensivo y lo más temprano posible. Los glucocorticoides son la primera opción de tratamiento para la mayoría de los tipos de ER-IgG4 y son en su mayoría efectivos en una dosis de prednisona de 30-40mg/día y deben ajustarse de acuerdo con el peso corporal o en casos de enfermedad grave2,7.
En Pediatría la dosificación de prednisona está en rangos de 0,5-2mg/kg/día, ajustada según la intensidad de la enfermedad. Sin embargo, hasta ahora no hay consenso sobre la dosis. El tiempo del tratamiento se calcula de acuerdo con cada paciente. La respuesta a la prednisona es a menudo rápida y efectiva, y este tratamiento debe mantenerse durante 2-4 semanas después del inicio. A partir de entonces, la prednisona puede disminuirse de acuerdo con la respuesta clínica. La respuesta clínica de la prednisona depende del órgano involucrado y del grado de fibrosis. La función pancreática y la función de la glándula lagrimal, por ejemplo, responderán mejor a este tratamiento que la enfermedad retroperitoneal o la mesenteritis esclerosante7–9.
Otros fármacos utilizados en la ER-IgG4 que se han descrito como terapia combinada con glucocorticoides son el micofenolato, la azatioprina y el metotrexato9. El rituximab se ha usado en caso de enfermedad refractaria a la terapia8. Otros agentes descritos son el adalimumab y la ciclofosfamida que fueron utilizados de forma exitosa en casos con enfermedad refractaria a la terapia combinada10. En el caso de nuestro paciente se inició tratamiento con prednisona.
ConclusiónLa ER-IgG4 es una enfermedad relativamente nueva y generalmente desconocida para los pediatras. El reconocimiento temprano y la terapia son importantes para prevenir daños serios e irreversibles a los órganos2,4.
El diagnóstico es difícil y se debe tener una alta sospecha, además se necesitan estudios serológicos e histológicos para confirmarla.
El tratamiento con prednisona es la primera opción para esta enfermedad, pero a menudo se requiere tratamiento de mantenimiento con terapia inmunosupresora.
Ensayos clínicos sobre el tratamiento de niños con ER-IgG4 son necesarios para confirmar los mismos resultados de los estudios previos realizados en adultos.
Sin embargo, la sospecha clínica de la enfermedad es lo más importante a pesar de ser un reto por lo poco común en población pediátrica.
FinanciaciónNo hubo fuente de financiamiento para este trabajo.
Conflicto de interesesNo hay declaraciones de conflictos de intereses.
Consentimiento informadoLos autores declaran que obtuvieron el consentimiento informado del paciente para la publicación de este caso clínico.








