El siguiente caso describe la primera experiencia conocida en territorio nacional de implante completamente percutáneo de CentriMag® vía transeptal. Se trata de un varón de 51 años que, tras una disección iatrogénica de arteria coronaria descendente anterior en una revascularización percutánea, presenta un shock cardiogénico que precisa la necesidad de soporte mecánico. Tras el uso de Impella® en primer momento, y ECMO veno-arterial periférica, se decidió el implante de CentriMag® como puente al trasplante cardíaco.
El procedimiento fue completamente percutáneo, avanzando la cánula de drenaje hasta la aurícula izquierda vía punción transeptal con la cánula ProtekSolo® Transseptal Cannula.
A lo largo del texto, se compara esta intervención con otras alternativas quirúrgicas para el implante de CentriMag®. También se detalla el procedimiento, así como los materiales empleados para el mismo.
El implante percutáneo de CentriMag® se presenta como una alternativa mínimamente invasiva que ofrece ventajas de cara a un eventual trasplante cardíaco al eludir la esternotomía y disminuir las adherencias posquirúrgicas. Sin embargo, es necesaria más experiencia en su empleo.
The next case describes the first experience in Spain of fully percutaneous transeptal CentriMag® implant. It talks about a 51 years old male patient who after an iatrogenic left anterior descending coronary artery dissection during a percutaneous coronary intervention suffers a cardiogenic shock with the need for mechanical support. Following the Impella® use at first, and then a veno-arterial extracorporeal membrane oxygenation device, it was decided the CentriMag® implant as bridge to heart transplant.
The procedure was fully percutaneous, moving the drainage cannula to the left atrium through transeptal punction with the ProtekSolo® Transeptal Cannula.
Throughout the text, this intervention is compared with surgical alternatives for CentriMAg® implant. Moreover, the procedure and materials used for it are detailed.
The percutaneous CentriMag® implant is presented as a minimally invasive alternative that offers advantages for an eventual heart transplant due to avoid sternotomy and decrease postsurgical adhesions. Nevertheless, more experience is necessary with its use.
Los dispositivos de asistencia ventricular izquierda, así como sus diferentes vías de implante, han evolucionado mucho desde los primeros casos realizados por deBakey a finales de los años sesenta1. A día de hoy, existen diferentes opciones según la duración prevista de la asistencia, el tipo de bomba para el aporte de flujo y el soporte circulatorio que se precise.
Los dispositivos de soporte circulatorio de corta duración se indican en el shock cardiogénico como puente a la recuperación, como puente a la decisión y como puente hasta el trasplante cardíaco o el implante de otra asistencia de larga duración2.
El dispositivo CentriMag® (Abbott, Chicago, Illinois, EE. UU.) está indicado para el tratamiento de shock cardiogénico agudo, independientemente de la etiología del paciente. Se trata de una bomba centrífuga paracorpórea que funciona por levitación magnética rotando sin contacto con la carcasa del aparato, disminuyendo así el nivel de hemólisis y el riesgo de trombosis, con la consecuente disminución de efectos adversos trombogénicos. Es capaz de generar un flujo continuo de hasta 10 l/min. El sistema está aprobado por el fabricante y la Comunidad Europea para su uso hasta 30 días, pero existe experiencia con su uso de mucho más tiempo3.
Se han descrito 3técnicas quirúrgicas diferentes para el implante de CentriMag®: a través esternotomía media, mediante toracotomía y por acceso percutáneo.
En primer lugar, tenemos el acceso convencional, realizado mediante esternotomía media. Es la intervención que presenta mejor exposición del campo durante el implante. Se puede realizar con o sin uso de circulación extracorpórea, canulando en el ápex del ventrículo izquierdo y la aorta4 ascendente. Como ventaja, ofrece la posibilidad de movilización del paciente. Entre los inconvenientes de este acceso destacan el traumatismo que implica la apertura de la caja torácica, mayor sangrado con relación al procedimiento y las adherencias que se producen pasadas las semanas del implante, que dificultarán la realización del trasplante cardíaco.
En segundo lugar, existe la alternativa de la realización de una toracotomía para canular en el ápex del ventrículo izquierdo y la arteria aorta ascendente mediante miniesternotomía, la arteria femoral o la arteria axilar5. Este es un acceso que consigue eludir la esternotomía media y que permite la movilidad del paciente. No obstante, la creación de adherencias debidas a la intervención y el sangrado con relación a la misma siguen siendo un obstáculo para un posterior trasplante.
La tercera opción para el implante es un acceso percutáneo y, por tanto, la menos invasiva de las intervenciones descritas. Consiste en la inserción de una cánula (ProtekSolo® Transseptal Cannula de Livanova, Londres, Reino Unido) a través de la vena femoral y colocándola en la aurícula izquierda vía un procedimiento transeptal.
A continuación, se presenta el caso de un paciente en shock cardiogénico que recibió un dispositivo CentriMag® como puente a trasplante cardíaco mediante implante percutáneo a través de la vena femoral con acceso transeptal para drenaje y de la arteria femoral para infusión. La figura 1 muestra la secuencia temporal del proceso seguido (fig. 1). Se trata de un varón de 51 años con antecedentes de hipertensión y dislipidemia, que ingresó en un centro periférico por síndrome coronario agudo tipo IAMSEST inferior con angina refractaria. Tras cateterismo urgente se procedió inicialmente al tratamiento con stent de la arteria coronaria derecha como vaso diana de un infarto inferior, dejando lesiones en arterias coronarias descendente anterior y circunfleja para un segundo tiempo. Durante cateterismo al día siguiente se produjo una disección de la arteria coronaria descendente anterior que obligó a implante de balón de contrapulsación aórtico e ingreso en la Unidad de Cuidados Intensivos. Al cuarto día desde el ingreso, presentó una situación de shock cardiogénico refractario a tratamiento con aminas vasoactivas, por lo que se implantó Impella® CP (Ambiomed, Danvers, Massachusetts, EE. UU.) y se retiró el balón de contrapulsación aórtico, se realizó intubación orotraqueal para ventilación mecánica y se decidió traslado a nuestro hospital.
Durante las siguientes 48 h presentó mala evolución clínica, con taquicardias ventriculares, deterioro en oxigenación y fallo renal, por lo que al séptimo día de ingreso se realizó implante de ECMO veno-arterial en los vasos femorales izquierdos. Debido a la situación y la ausencia de recuperación de la función ventricular, se incluyó en urgencia 0 de trasplante cardíaco el noveno día de ingreso. Durante la espera en lista, el dispositivo Impella® se retiró por disfunción tras 29 días de funcionamiento. Seis días después de la retirada del Impella®, se decidió implante percutáneo de asistencia univentricular izquierda CentriMag® debido a disfunción ventricular.
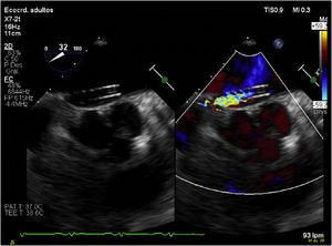
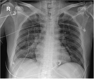
La intervención se realizó de manera programada en quirófano bajo control radiológico y ecocardiográfico (figs. 2 y 3).
Para la canulación de drenaje, tras la punción de la vena femoral derecha, se colocó un introductor de 8F. A través de este se progresó un alambre guía de 0,032 pulgadas y 150-180cm con punta en «J» hasta la aurícula derecha. Sobre esta guía se avanzó un catéter y dilatador punción transeptal 8F (Abbot). A continuación, se introdujo una aguja punción transeptal (Brockenbrough® RK ST, Jude Medical, Minnetonka, Minnesota, EE. UU.) para realizar la punción del septo interauricular. Después se retiró la guía de 0,032 y se introdujo una guía de alto soporte Amplatz Super Stiff® 260cm (Boston Scientific, Marlborough, Massachusetts, EE. UU.) para finalmente avanzar la cánula ProtekSolo® Transseptal Cannula (LivaNova, Londres, Reino Unido), que se colocó en aurícula izquierda.
La cánula de salida fue insertada por técnica Seldinger en la arteria femoral derecha.
A los 3días del implante, tras 42 días ingreso y 31 días en urgencia 0, se llevó a cabo trasplante cardíaco por técnica bicava. Durante el postrasplante el paciente siguió una buena evolución clínica, dado de alta de la Unidad de Cuidados Intensivos a los 9días del trasplante.
Con relación al caso expuesto, cabe destacar que el paciente recibió 3tipos de asistencia circulatoria sin necesidad de esternotomía media. El implante percutáneo de CentriMag® es un procedimiento que, además de evitar la apertura de la caja torácica, disminuye la creación de adherencias de cara a facilitar la intervención del trasplante cardíaco y disminuye el sangrado por el implante. Como desventajas, obliga a la inmovilización del paciente. Otro inconveniente relevante es el flujo retrógrado que comporta la canulación femoral frente al anterógrado que proporciona la canulación en la aorta ascendente o en la arteria axilar.
No encontramos otros casos publicados en la literatura de implante percutáneo de CentriMag® con acceso transeptal como puente a trasplante cardíaco a nivel nacional. Esta técnica se presenta como una alternativa eficaz y segura. Sin embargo, se necesita experiencia con mayor número de pacientes a fin de conocer mejor los resultados tras periodos más largos de asistencia y de las posibles complicaciones derivadas del implante.
Consideraciones éticasEste trabajo se llevó a cabo en consonancia con el código ético de la OMS (Declaración de Helsinki) sobre experimentos con humanos y cuenta con el consentimiento informado del sujeto estudiado.
FinanciaciónNo se ha recibido financiación para la redacción de este manuscrito.
Conflicto de interesesNo existe conflicto de intereses.






