Cardiac rhabdomyomas are the most frequently seen pediatric cardiac tumors and are predominantly associated with tuberous sclerosis complex. These tumors often shrink and disappear spontaneously. This study evaluated the clinical and echocardiographic data of patients followed up in our Pediatric Cardiology Clinic for cardiac rhabdomyoma.
MethodsThis study included patients with cardiac rhabdomyoma detected by echocardiography between 2008 and 2021. Data regarding the patients’ age at diagnosis, symptoms, physical examination findings, electrocardiography, 24-h Holter recordings, echocardiography, and follow-up data were obtained from the hospital records.
ResultsThe age of the patients at the time of diagnosis ranged from 21-weeks gestational age to postnatal 10-months. A total of 49 tumors were detected in 10 patients. In all but 2 patients, the tumor was asymptomatic and the hemodynamic changes were not significant. One patient required surgery due to significant left ventricular outflow tract obstruction. Everolimus treatment was administered to 1 patient with right ventricular outflow tract obstruction. Five of the patients were diagnosed with tuberous sclerosis complex during the follow-ups. Except 1 patient who died post-surgery, the others demonstrated substantial regression of the tumors during the ongoing follow-ups.
ConclusionAlthough it is a rare tumor, cardiac rhabdomyoma may lead to life-threatening symptoms. They are typically asymptomatic and usually resolve spontaneously. Novel medical treatments, such as everolimus, are promising as an alternative to surgery in patients with hemodynamic deterioration.
Los rabdomiomas cardiacos son los tumores cardiacos pediátricos más frecuentes y se asocian predominantemente con el complejo de esclerosis tuberosa. Estos tumores a menudo se encogen y desaparecen espontáneamente. Este estudio evaluó los datos clínicos y ecocardiográficos de pacientes seguidos en nuestra Clínica de Cardiología Pediátrica por rabdomioma cardiaco.
MétodosEl presente estudio incluyó pacientes con rabdomioma cardiaco detectado por ecocardiografía entre 2008 y 2021. Los datos sobre la edad de los pacientes al diagnóstico, síntomas, hallazgos del examen físico, electrocardiografía, registros Holter de 24 horas, ecocardiografía y datos de seguimiento se obtuvieron de los registros hospitalarios.
ResultadosLa edad de los pacientes al momento del diagnóstico osciló entre 21 semanas de edad gestacional y 10 meses posnatales. Se detectaron un total de 49 tumores en 10 pacientes. En todos menos en dos pacientes el tumor fue asintomático y los cambios hemodinámicos no fueron significativos. Un paciente requirió cirugía por obstrucción importante del tracto de salida del ventrículo izquierdo. Se administró tratamiento con everolimus a un paciente con obstrucción del tracto de salida del ventrículo derecho. Cinco de los pacientes fueron diagnosticados con complejo de esclerosis tuberosa durante los seguimientos. Excepto un paciente que murió después de la cirugía, los demás demostraron una regresión sustancial de los tumores durante los seguimientos en curso.
ConclusiónAunque es un tumor raro, el rabdomioma cardiaco puede causar síntomas potencialmente mortales. Por lo general, son asintomáticos y generalmente se resuelven espontáneamente. Nuevos tratamientos médicos como el everolimus, son prometedores como alternativa a la cirugía en pacientes con deterioro hemodinámico.
Although extremely rare in all age groups, cardiac rhabdomyoma (CR) is the most common cause of primary heart tumor in infants and children.1 The diagnosis of cardiac rhabdomyomas is usually made in childhood or prenatally by fetal echocardiography. The incidence of CR is reported to be 0.002%–0.25% in autopsy series, 0.02%–0.08% in infants, and 0.12% in fetal echocardiographies.2,3 Cardiac rhabdomyomas are an important criterion detected as the first finding of tuberous sclerosis complex (TSC) with the routine use of fetal echocardiography. Cardiac rhabdomyomas were detected by prenatal ultrasonography in 22.1% of TSC patients.4 They often appear as multiple tumors located on the ventricular myocardium and account for 45%–66% of cardiac tumors in the pediatric population, teratomas 15–19% and fibromas 12–16%. Rhabdomyomas appear echocardiographically in a uniform round and solid structure, brighter than intact myocardium. Teratomas are mostly detected in the pericardial space connected to the pulmonary artery and aorta. Echocardiographically, it can be easily recognized as heterogeneous and encapsulated cystic masses. Fibromas are mostly solid tumors located in the ventricular septum. Fibromas usually remain dormant, spontaneous regression rarely occurs. Although myxoma is the most common cardiac tumor in adults, it is rarely seen in children. It is mostly found in the left atrium. Thirty-three percent – 50% of the cardiac rhabdomyomas undergo partial or complete regression within 2–4 years. They can cause intracavitary obstruction, arrhythmia, or myocardial dysfunction. Treatment is recommended only for symptomatic patients with hemodynamically significant obstructions or life-threatening arrhythmia.1,5–7
Cardiac rhabdomyomas are closely associated with TSC, a multisystemic disease characterized by mental retardation, epilepsy, and facial angiofibromas (adenoma sebaceum) triad.8 The most affected organs are the brain, kidneys, heart, and lungs.1,9 The relationship of TSC is more pronounced with multiple rhabdomyomas than with single ones. TSC and CR association varies in the range of 50%–80%.5,6,10
In this study, we evaluated the clinical and imaging characteristics of patients with CR who were followed-up in our center.
Materials and methodsThe data of patients with CR who were followed-up in the Pediatric Cardiology Department was collected from Eskisehir Osmangazi University, Faculty of Medicine database and evaluated. Ten patients diagnosed with cardiac rhabdomyoma was included in the study from 83,314 pateints in whom echocardiographic evaluation was performed among 114,744 patients who applied to the outpatient clinic between 2008 and 2021. The physical examination findings (respiratory distress, murmur, arrhythmia, and heart failure), electrocardiography (ECG), 24-h Holter ECG recording, and initial and final echocardiographic findings (number, size and location of tumors, outflow tract obstruction, and valvular insufficiency), age at diagnosis, follow-up duration, treatment method, and prognosis of the patients were evaluated. Patients diagnosed with TSC during the follow-up period were evaluated according to the 2012 diagnostic criteria.9 The clinical and radiological findings of patients diagnosed with TSC [family history, hypopigmented macular lesions, subependymal nodules, cortical/subcortical nodules, renal cysts, seizures, mental retardation, and cranial magnetic resonance (MR) imaging findings] were also evaluated. Informed consent was obtained from the families of the patients, and the study protocol was approved by the Eskişehir Osmangazi University Faculty of Medicine institutional review board (contract number: 2018/218).
ResultsIn our study, 49 masses were detected in 10 patients. The clinical characteristics and outcomes of the patients are given in Table 1. Four of the 10 patients were prenatally diagnosed by fetal echocardiography. Three of these 4 patients were evaluated because of a cardiac mass detected in routine fetal ultrasonography and 1 due to fetal supraventricular tachycardia (SVT). Fetal hydrops was not detected in any antenatally diagnosed patient. Except for the cardiac mass, no accompanying cardiac anomalies were detected in the patients. Intrauterine hemodynamic obstruction was detected in 1 patient (case 6). Six patients were diagnosed by postnatal echocardiography.
Clinical characteristics of patients with rhabdomyoma.
| Case | Diagnosis time | Gender | Arrival complaint | Postnatal physical examination | Number of tumors | Tumor location* | The largest tumor diameter | Hemodyna-mic obstruction | Arrhythmia | Treatment | Tumor regression | Follow-up time | TSC |
|---|---|---|---|---|---|---|---|---|---|---|---|---|---|
| 1 | Prenatal 23 GW | F | Fetal intracardiac mass | Murmur | 4 | RV (2), LV (2) | 24mm | (−) | (−) | (−) | Full | 56 months | (−) |
| 2 | Prenatal 21 GW | F | Fetal intracardiac mass | Murmur | 2 | LV (2) | 6mm | (−) | IRBBB | (−) | Full | 38 months | (−) |
| 3 | 3 days | F | Murmur during follow-up due to MAS | Murmur | 1 | RV (1) | 8mm | (−) | (−) | (−) | Full | 8 months | (−) |
| 4 | 8 days | F | Murmur, premature birth | Murmur | 10 | RV (2), LV (4)IVS (3), LA (1) | 16mm | (−) | SVPB | (−) | Partial | 16 months | (+) |
| 5 | 10 months | M | Seizure | Hypopigment spots | 2 | RV (2) | 5mm | (−) | (−) | (−) | Full | 94 months | (+) |
| 6 | Prenatal 35 GW | M | Arrhythmia, fetal intracardiac mass | Murmur | 9 | RV (3), LV (5)IVS (1) | 16mm | (+) | SVT | (+)Surgical | No | 1 month | Exitus |
| 7 | 3 months | F | Asymptomatic, premature birth | Normal | 2 | RV (2) | 6mm | (−) | (−) | (−) | Full | 15 months | (−) |
| 8 | 3 days | F | Murmur, asymptomatic | Murmur | 6 | RV (3), LV (2)RVOT (1) | 26mm | (+) | VPB | (+)Everolimus | Partial | 44 months | (+) |
| 9 | 3 months | M | Murmur, asymptomatic | Murmur | 4 | RV (2), LV (2) | 10mm | (−) | (−) | (−) | Partial | 30 months | (+) |
| 10 | Prenatal 27 GW | M | Fetal intracardiac mass | Murmur | 9 | RV (3), LV (3)IVS (3) | 28mm | (−) | WPW | (−) | No | 3 months | (+) |
RV: right ventricle; LV: left ventricle; LA: left atrium; IVS: interventricular septum; RVOT: right ventricular outflow tract; GW: gestational week; MAS: meconium aspiration syndrome; SVPB: supraventricular premature beat; SVT: supraventricular tachycardia; VPB: ventricular premature beat; WPW: Wolff–Parkinson–White; IRBBB: incomplete right bundle branch block.
The mean age of postnatal diagnosis of patients was 82 days (3 days–10 months). The reasons for admission were a history of prenatally detected cardiac mass in 4 patients, seizures and hypopigmented lesions in 1 patient, murmur heard during neonatal intensive care monitoring due to meconium aspiration syndrome in 1 patient, premature delivery in 2 patients, and murmur heard on routine examination in 2 patients. 5 of 6 postnatally detected rhabdomyoma patients showed no clinical symptoms suggesting cardiac mass presence and 1 patient with a diagnosis of fetal cardiac rhabdomyoma had SVT. Multiple tumors were observed in the 9 patients (90%). The tumors were mostly located on the ventricular wall. The mean tumor diameter was 14.5mm (5–28mm). ECG abnormalities were detected in 5 patients. One of these patients (case 6) had SVT episodes during the neonatal period. After controlling SVT with adenosine, maintenance treatment with oral propranolol at a dose of 1mg/kg/day was initiated. One patient's ECG pattern (case 10) was considered to be compatible with Wolff–Parkinson–White syndrome because of the delta wave, PR interval of 70ms, and QRS duration of 140ms on the ECG. Hemodynamically insignificant incomplete right bundle branch block, supraventricular and ventricular premature beats were present in the other 3 patients. The mean follow-up period was 30.5 months (3–94 months). Hemodynamic obstruction developed in two patients (cases 6 and 8) during the follow-up period. In case 6 who had hemodynamically important left ventricular outflow tract (LVOT) obstruction (with the LVOT mean gradient of 45mmHg), prostaglandin E1 (PGE1) infusion was initiated (Fig. 1). Since rapid deterioration was observed in the patient's hemodynamic situation, the patient was referred for surgery. Pediculated mass in the left ventricular outflow tract was excised by approach through the aorta, and then the patient was followed in the intensive care unit with inotropic support in the postoperative period. Ventricular tachycardia (VT) and SVT attacks of the patient were controlled with cardioversion and amiodarone infusion. He stabilized from the postoperative 3rd day, but again on the postoperative 8th day his general condition was deteriorated and cardiac arrest occurred. Although he was resuscitated and the necessary supportive treatments were given, his blood pressure had remained low and he died on the 10th postoperative day. Case 8 was evaluated because of murmur heard 3-days postnatally. Echocardiography revealed a total of six tumors with diameters ranging from 3mm to 26mm in both the right and left ventricles, causing right ventricular outflow tract (RVOT) obstruction (RVOT gradient of 55mmHg) (Fig. 2). PGE1 infusion was initiated due to further increase in RVOT gradient. The patient also had isolated monomorphic ventricular premature beats that did not require treatment. After a week, PGE1 infusion was discontinued. Since the patient had extensive intramural tumor invasion and no signs of heart failure, surgical treatment was not considered. The patient was started on everolimus with a dose of 0.25mg at 12-h intervals, two days per week. Dose adjustments were made to maintain the serum level of everolimus between 5 and 15ng/mL. No adverse effects of the drug (transaminase elevation, hypertriglyceridemia, lymphopenia, fever, diarrhea, stomatitis, sinus infections, etc.) were observed during the follow-up period. The Patient was followed-up with 1 week intervals during patient's stay in the intensive care unit. Check-ups were made regularly every month until the age of 1 year. Everolimus treatment continued until the age of 1 year. The drug was discontinued when the 17mm tumor obstructing the RVOT regressed to 10mm and, the RVOT gradient reduced to 5mmHg following treatment. Three of the 6 tumors disappeared while the others showed partial regression (left ventricle tumor regressed from 16mm to 13mm, right ventricle tumor from 26mm to 16mm, and RVOT tumor from 17mm to 10mm). Follow-up was continued at 6-month intervals after the drug was discontinued. No increase in tumor size was detected in the follow-ups.
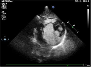
Transthoracic echocardiography demonstrated multiple rhabdomyomas with diameters of up to 16mm (shown with arrows) in the left ventricular apex, IVS (A), and in LVOT which almost completely obstruct the aortic valve (B), in case 6. RV: right ventricle; LV: left ventricle; LA: left atrium; IVS: interventricular septum; Ao: aorta.
In this series, 25 of the 49 initially detected tumors disappeared during the mean follow-up period of 30.5 months (3 months–94 months). Since 1 patient with 9 masses died during the postoperative period, follow-up of this case could not be performed. Complete and partial regression was observed in 5 and 3 patients, respectively. One patient showed no regression yet during the 3-month follow-up period. Five patients were diagnosed with TSC during their follow-up in the pediatric neurology department in our tertiary university hospital, all of whom showed partial or no regression of the tumors. Two of the patients with TSC diagnosis had a family history of TSC. Cranial MR imaging of 4 patients showed findings consistent with TSC, and they are receiving antiepileptic therapy for neuromotor developmental delay and seizures. Genetic analysis of patients diagnosed with TSC revealed TSC1 heterozygous gene mutation in one patient and TSC2 heterozygous gene mutation in the other one patient.
DiscussionCardiac rhabdomyomas are lesions usually appearing as multiple masses localized on the ventricular myocardium and interventricular septum. The incidence of CR is reported to be 0.002%–0.25% in autopsy series, 0.02%–0.08% in infants, and 0.12% in fetal echocardiographies.2,3 In our series, it was found to be 0.12% among 83,314 patients who underwent echocardiography in our clinic during 13 years. Its higher rate compared to the literature was attributed to easier access to echocardiography and an increase in imaging quality. De Vore et al.11 first reported the prenatal diagnosis of cardiac rhabdomyomas in 1982. With antenatal care becoming widespread, the frequency of prenatal diagnosis increased. The risk of fetal death is reported to be 4%–6%. Cardiac rhabdomyomas are most often detected during the second trimester by fetal echocardiography and usually resolve within the third trimester, and in rare cases, they continue to grow throughout the pregnancy.12,13 In this case series, 2 of the 4 prenatally diagnosed cardiac rhabdomyomas were detected in the second trimester, 2 in the third trimester, one of them after the detection of fetal arrhythmia (SVT). There was no echocardiographic finding suggestive of teratoma or fibroma in any of our patients. No fetal deaths occurred during the pregnancies. The frequency of fetal arrhythmia varies between 16% and 47% in the literature.4,12,14 In this series, fetal arrhythmia was found in 1 (25%) of the 4 prenatally diagnosed patients.
In literature, TSC association with cardiac rhabdomyomas varies within 50%–80%.13 In this series, 5 (55%) of the 9 patients were diagnosed with TSC during the follow-up period. Since 1 patient died during the neonatal period, the complete data of the patient could not be obtained. Following the TSC diagnosis of 2 patients, the evaluation of their parents showed that their mothers had TSC as well. On ultrasonography, cardiac rhabdomyomas appear as round, homogenous, hyperechogenic masses located on the ventricular myocardium. They typically occur on the ventricular free wall but may also be located on the interventricular septum. Tumor morphologies, localizations, and symptoms (TSC findings, family history, etc.) are considered sufficient for CR diagnosis.13 In this series, the diagnosis of CR was based on the clinical picture and typical echocardiography findings of the patients. While all tumors in our study were found in the ventricular free wall and interventricular septum, exceptionally one patient (case 4) had a tumor extending from the mitral papillary muscle to the left atrium.
It has been reported that the earliest cardiac tumor detection by antenatal sonography was at 15 gestational weeks.15 In this study, the earliest prenatal age the tumors were detected at was gestational week 21. Cardiac rhabdomyomas may increase in size during pregnancy, but their rapid growth is rare. However, the incidence of complications, such as perinatal death, arrhythmia, hydrops, and hemodynamic disorders, increases with tumor sizes exceeding 20mm.12,16 In this study, postnatal RVOT obstruction was detected in 1 patient (case 8) with a tumor size of 26mm, which was resolved with everolimus treatment. In another case (case 6) although the tumor size was 16mm, because the tumor was located in the LVOT, severe hemodynamic obstruction was detected. In cases with antenatal obstruction in the literature, Ebrahimi-Fakhari et al.17 successfully applied medical (sirolimus) treatment. Since no hemodynamic obstruction was detected in the antenatal period, fetal treatment was not given. Due to uncontrolled heart failure in the postnatal period, patient was given surgery before medical treatment could be started.
The clinical presentation of cardiac rhabdomyomas may range from asymptomatic to severe conditions, including sudden cardiac death. Clinical findings often depend on the size, number, and localization of the tumors. Whereas small lesions are usually asymptomatic, multiple tumors can result in severe heart failure and death.12,13,18 Only two of our cases required surgical and medical interventions due to RVOT and LVOT obstructions, and one died post-surgery. The incidence of cardiac arrhythmias has been reported as 25.6% in TSC patients with rhabdomyoma. In our series, each of SVT, Wolff–Parkinson–White syndrome, incomplete right bundle branch block, supraventricular and ventricular premature beats was present in one patient.
In this series including evaluation of 10 patients, cardiac rhabdomyomas were confirmed by the postnatal echocardiographic examination in 4 patients due to the prenatal detection of masses, two patients without active complaints were diagnosed because of the presence of murmur on physical examinations, three patients were diagnosed during their intensive care follow-ups due to meconium aspiration syndrome or premature birth, and one patient was diagnosed after being referred to our clinic for cardiac evaluation following TSC diagnosis based on seizures and hypopigmented lesions.
Medical or surgical treatment must be considered in the presence of life-threatening symptomatic obstructive lesions or arrhythmias that are refractory to medical treatment. Surgical resection may not be possible, if the tumor is multifocal, infiltrative, or very large.2,5 The mTOR (mammalian target of Rapamycin) inhibitor is used as medical therapy. Everolimus is a serine-threonine kinase mTOR inhibitor. In normal cells, TSC1 (hamartin) and TSC2 (tuberin) protein control cell growth and cell survival. These genes play a fundamental role in regulating the phosphoinositide 3-kinase signaling pathway by inhibiting mTOR. Gene mutations impair the inhibitory function of the hamartin/tuberin complex. When TSC1 or TSC2 is missing, the mTOR complex is overstimulated, leading to abnormal cellular growth, proliferation, and protein synthesis that induces tumor growth in the heart known as rhabdomyomas.19,20 Tiberio et al.21 were the first to report that everolimus treatment administered to a patient with subependymal giant cell astrocytoma led to the regression of cardiac rhabdomyomas. Aw et al.22 have reported the regression of cardiac rhabdomyomas treated with everolimus to be 11.8 times faster than natural regression. Dhulipudi et al.23 have demonstrated symptomatic improvement following everolimus treatment in infants with cardiac rhabdomyomas. Demir et al.24 reported that a newborn patient with CR was administered everolimus treatment at a dose of 0.25mg twice a week, 12h apart.24 In this case series, 1 patient (case 8) had severe RVOT obstruction causing hemodynamic instability, but surgical intervention was not considered due to multiple cardiac rhabdomyomas and widespread intramural tumor involvement during the neonatal period. Considering the literature, this patient with symptomatic RVOT obstruction was treated with everolimus according to the protocol of Demir et al.24 The treatment was successful with partial regression observed in the tumor dimensions as well as reduction in the RVOT gradient. The Phase 3 EXIST-2 study demonstrated tumor growth after discontinuation of everolimus in patients with renal angiomyolipoma associated with TSC or sporadic lymphangioleiomyomatosis. However, there is insufficient evidence of rapid regrowth as even in patients with an increase in angiomyolipoma lesion volume following discontinuation of therapy, the final lesion volume do not exceed the initial lesion volume.25 The tumor burden has been shown to be effectively reduced after everolimus treatment also in a neonate with sporadic cardiac rhabdomyoma without TSC.26 In our patient with TSC (case 8), partial stretching in tumor size was observed and RVOT obstruction disappeared after everolimus treatment. There was no increase in tumor size and RVOT gradient in the follow-ups after treatment was discontinued.
In CR cases, there is a continuous reduction in tumor volume from the time of delivery, and the tumor undergoes 80% resolution during infancy and early childhood, 60% during the pre-adolescent period, and 18% in adulthood.12,27 Bader et al.12 detected cardiac tumors in a size range of (0.3×0.4)–(5×3.2) centimeter in 20 infants via fetal echocardiography, and the tumors spontaneously regressed in 10 of them (50%) during the postnatal period. Di Liang et al.27 reported detecting 29 tumors in 11 patients in early childhood, with 14 (48%) of these tumors undergoing spontaneous regression. Furthermore, Atalay et al.28 detected 25 tumors in 7 patients with fetal and neonatal diagnosis of CR, and observed spontaneous regression in 9 (36%) of them. In this series, complete tumor regression was observed in 5 of the 9 patients and partial regression was observed in 3. One patient showed no regression yet during the 3-month follow-up period. (1 patient was excluded due to death post-surgery). Of the 40 tumors in the live patients, 25 (62%) were observed to have disappeared during an average of 30.5 months of follow-up period.
ConclusionAlthough cardiac rhabdomyomas are usually asymptomatic, they can cause severe arrhythmia and sudden cardiac death. Moreover, since cardiac rhabdomyomas may be the first signs of TSC, detailed systemic examination and family screening for TSC are required. Surgical resection is recommended only for tumors that are life-threatening and lead to hemodynamic obstructions in the heart or arrhythmia that cannot be controlled by medical therapies. The use of new medical treatments such as everolimus in such cases where surgery cannot be performed is promising.
Ethical approvalThe study protocol was approved by the institutional review board of Eskişehir Osmangazi University, Faculty of Medicine (agreement number: 2018/218).
Conflict of interestsThe authors declare that they have no conflict of interest.






