La extracción de electrodos de dispositivos de estimulación cardíaca es una técnica que está indicada según las prácticas clínicas para diversos escenarios con mayor o menor grado de recomendacion. La mayoría de las veces esta recomendación suele ser por la presencia de infección o bien del bolsillo del generador, o bien de los electrodos en cuestión. Sin embargo, existen particularidades muy poco frecuentes, pero igual de relevantes para indicar una retirada de dispositivos de estimulación cardíaca, como lo es el caso que presentamos en esta oportunidad, de una mujer de 88 años que tras repetidos episodios sincopales, e incluso parada cardiorrespiratoria recuperada con bloqueo aurícula-ventricular completo posterior, requirió implante de marcapasos de forma urgente en su centro de referencia. Tras el alta, consulta nuevamente por clínica neurológica (pérdida de visión), y tras estudios complementarios (TC craneal) es remitida a cardiología por sospecha cardioembólica donde tras su valoración evidencian por ecografía la introducción del electrodo ventricular vía transaórtico, pasando por válvula aórtica y llegando a ventrículo izquierdo. Se refiere a nuestro centro para retirada del mismo.
Transvenous lead extraction is a secure procedure usually indicated in patients with infection of the cardiac stimulation devices. However, there are certain particularities in which the use of cardiac stimulation lead extraction techniques may be also indicated. We present the case of a 88 years old female patient with history of repeated syncope, which after a recovered cardiorespiratory arrest episode, required an urgent pacemaker implantation. After the implantation of the pacemaker, she vas discharged, and consulted again a month after discharge due to neurological symptoms (bilateral vision loss). A cranial CT scan was performed showing ischemics acutes-subacutes areas, and it was also evaluated by cardiology for suspicion of a cardioembolic event, who after complementary studies (echocardiogram and chest CT angiography) showed the presence of the pacemaker lead trans-aortic, with its distal end in the left ventricle.
El uso y la aplicación de técnicas de retiradas de dispositivos de estimulación cardíaca en pacientes con ausencia de infección del sistema, ha sido y sigue siendo controvertida1.
Entre las indicaciones que se recogen con más fuerza de recomendación en la práctica clínica habitual, tenemos la infección del dispositivo; que abarca desde el bolsillo del generador hasta el o los electrodo(s) en sí2.
Sin embargo, pueden existir indicaciones muy particulares pero igualmente poderosas que obliguen a la retirada de un dispositivo una vez implantado, como lo es la situación aberrante de un electrodo de marcapasos. Electrodos que pese a cumplir con un «buen funcionamiento» desde el punto de vista electrofisológico, pueden producir (debido a su malposición), situaciones que comprometan tanto la hemodinamia, (insuficiencia valvular, por falta de coaptación, o perforación de un velo) o bien propensar eventos cardioembólicos que conlleven consigo eventos isquémicos cerebrovasculares, y que produzcan un aumento de la morbimortalidad.
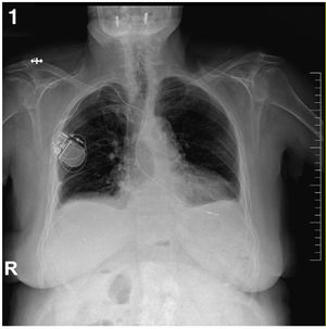
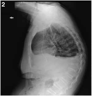
Caso clínicoPaciente mujer de 88 años con clínica de mareos recurrentes, de dos meses de evolución, que consulta a urgencias por episodio sincopal asociado a crisis convulsiva, donde tras la realización de estudios complementarios y nuevo episodio convulsivo presenciado, presenta asistolia por lo que son iniciadas maniobras de resucitación con recuperación posterior y desde el punto de vista electrocardiográfico desarrollando un bloqueo aurículo-ventricular completo transitorio, motivo que deriva su ingreso en cardiología para estudio electrofisiológico más extenso. Es entonces cuando tras la realización del traslado a su centro de referencia precisa la inserción de un marcapasos externo y de la administración de isoprenalina. A su llegada, se deriva a quirófano donde se realiza implante de marcapasos definitivo monocameral (VVI), con posterior mejoría, y traslado a planta de hospitalización convencional (figs. 1 y 2).
Como intercurrencia durante su estancia en planta, la paciente empieza a presentar tos y odinofagia por lo que se realiza despistaje de COVID-19, resultando positiva por lo que se inicia tratamiento con remdesivir durante 3 días, permaneciendo afebril, y logrando tras el paso de los días una mejoría del cuadro, y posterior alta a domicilio tras el quinto día desde su ingreso.
Después de casi un mes desde su alta, la paciente consulta nuevamente a urgencias de su centro de referencia, esta vez por presentar una clínica compatible con pérdida de visión de ambos ojos desde hace más de diez días sin otra sintomatología concomitante. Se decide ingreso, y se realiza TC craneal donde se evidencian áreas hipodensas más extensas en el hemisferio derecho, que sugieren afectación isquémica aguda-subaguda. Ampliando los estudios complementarios, es valorada por cardiología, quienes tras realización de ecocardiograma transtorácico visualizan lo que inicialmente parece corresponder con la imagen del electrodo de marcapasos procediendo a través de la aorta, atravesando la válvula aórtica e insertándose en la pared del ventrículo izquierdo, sin valvulopatía aórtica significativa más que una aceleración del flujo transvalvular sin estenosis significativa.
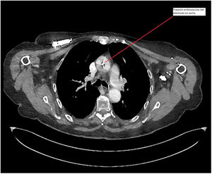
Dado los hallazgos, se decide realizar una tomografia computarizada que confirma la inserción del cable de marcapasos endocavitario, vía arteria subclavia derecha con trayecto transaórtico (fig. 3) y con extremo distal alojado en ventrículo izquierdo.
Se decide traslado a nuestro centro para la realización de la extracción del dispositivo de estimulación.
Tras su llegada a nuestro centro, la paciente es ingresada y programada para retirada del electrodo e intervencionismo endovascular en el mismo acto con intención inicial de colocación de stent en la zona de inserción del electrodo en la arteria subclavia derecha.
La paciente es llevada a quirófano donde, previa a la retirada del electrodo en cuestión, es insertado vía transvenosa un nuevo electrodo de estimulación, y conectado a uno nuevo generado al ser la paciente dependiente de marcapasos (fig. 4).
Tras la inserción y comprobación del correcto funcionamiento del electrodo nuevo y mediante el uso de escopia intraquirófano, se lleva a cabo por parte de cirugía vascular la introducción de una guía vía arterial (axilar derecha), la cual tras la retirada del electrodo transaórtico por tracción simple, se utiliza para comprobación de extravasación sanguínea mediante el uso de solución de contraste, evidenciándose ausencia de sangrados activos (fig. 5). Tras unos minutos y una vez finalizado el procedimiento se constata ausencia de pulso radial ispilateral por lo que se decide realizar trombectomía abierta recuperándose así pulso cubital, y finalizando el procedimiento sin más incidencias.
Al finalizar el procedimiento la paciente es ingresada en la Unidad Coronaria de nuestro centro donde evoluciona satisfactoriamente y es dada de alta al cabo de un día a planta de hospitalización convencional. Se realizan nuevos controles del marcapasos evidenciándose parámetros dentro de la normalidad, así como ecocardiograma de gabinete sin anomalías.
Es pertinente mencionar que a día de hoy existen diversas técnicas que permiten la retirada de dispositivos de estimulación cardíaca. En el caso que nos atañe, dada la precocidad del primo-implante, se pudo llevar a cabo una tracción mecánica simple, sin complicaciones. Sin embargo, existen a disposición de centros capacitados como el nuestro, herramientas que van desde el uso de pistolas mecánicas que permiten horadar el trayecto de los electrodos, haciendo más fácil su retirada, sobre todo en casos de mayor antigüedad, o bien, tecnología más reciente y vanguardista, como lo es el uso del láser Excimer, que permite la realización de una técnica eficaz, segura, y poco invasiva, realizando un corte circunferencial preciso alrededor del trayecto del electrodo mediante el uso de pulsos de láser con resultados extraordinarios, siempre bajo el uso de personal capacitado para ello. Si bien es cierto que ambas técnicas (pistolas mecánicas o láser), se utilizan por lo general en electrodos de mayor antigüedad y con indicios de calcificación en su trayecto por algún estudio de imagen previo, no es una técnica exenta de riesgos, por lo que en el caso de existir un electrodo aberrante como en nuestro caso (intraarterial) pero con mayor antigüedad, habiendo pasado desapercibido por muchos años hasta ser, o bien un hallazgo casual o bien presentarse como en nuestro caso a raíz de un evento embólico, sería necesario sopesar el riesgo-beneficio de realizar una retirada con técnicas que involucren pistolas mecánicas o láser, o bien considerar el uso de anticoagulación oral para evitar más eventos tromboembólicos a posterior debido a que la retirada en sí de electrodos antiguos puede generar per se, la aparición de eventos embólicos por la desinserción del trayecto del cable en el endotelio, y por consiguiente un elevadísimo riesgo embólico adicional para el paciente.
ConclusiónLa retirada de dispositivos de estimulación cardíaca es una técnica segura, que debe de ser realizada por personal con experiencia3. Sus indicacions son variadas, y van desde infecciones (la gran mayoría) hasta situacions menos comunes pero igualmente relevantes como el mal funcionamiento de un electrodo por fallo estructural del mismo, o bien por su posición anómala. En este caso, hemos podido realizar una retirada mediante tracción simple debido a lo precoz de su inserción, sin embargo, por los riesgos que pudieran presentarse, fue necesaria colaboración conjunta con el equipo de Cirugía Vascular y contar con la experticia y preparación necesaria en el campo de las retiradas de electrodos.
Responsabilidades éticasEl paciente dio el consentimiento informado por escrito para la publicación del artículo.
FinanciaciónLos autores declaran que no hay financiación para la investigación.
Conflicto de interesesLos autores declaran no tener ningún conflicto de intereses.








