La comunicación interventricular postinfarto es la complicación mecánica del síndrome coronario agudo con mayor mortalidad. En la mayoría de ocasiones obtenemos el diagnóstico mediante la historia clínica y una prueba de imagen que suele ser la ecocardiografía. Pese a ello, las pruebas de imagen pueden ir sujetas a un error diagnóstico que ocasiona una demora en el tratamiento. Todas las pruebas tienen suma importancia para el diagnóstico de la enfermedad.
Post-infarction ventricular septal defect has the highest mortality of the mechanical complications in acute coronary syndrome. Most of the time a diagnosis is obtained with the medical history and imaging tests, usually cardiac ultrasound. Nonetheless, imaging tests can be subject to diagnosis errors that cause delays in treatment. All tests are very important for the diagnosis of the disorder.
La comunicación ventricular postinfarto es la complicación mecánica tras infarto agudo de miocardio con mayor mortalidad en nuestro medio1. La cirugía sigue siendo el tratamiento de elección para esta enfermedad, y a pesar de ello la mortalidad global no baja del 40%. El diagnóstico precoz es imprescindible para evitar que el paciente sufra un colapso circulatorio y el fallecimiento temprano. El gold standard para su diagnóstico es la ecocardiografía, pero en ocasiones el resto de pruebas pueden arrojar imágenes diagnósticas per se.
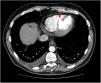
Caso clínicoSe trata de un varón de 56 años que acude a urgencia por disnea y malestar general. Como antecedentes destaca que es exfumador hace 9 meses y un bloqueo auriculoventricular de 1.° grado. El paciente refiere un episodio de dolor en epigastrio 5 días antes, cuando consulta a su médico y tras ser diagnosticado de epigastralgia es tratado con inhibidores de la bomba de protones. Durante los días siguientes persiste el mal estado general y palidez, y debido al empeoramiento clínico acude a urgencias de nuestro centro. El electrocardiograma muestra ondas Q en cara inferior, sin otras alteraciones a destacar y estando el paciente hipotenso (85/55mmHg) con mala perfusión distal. Leve movilización de troponinas cardíacas. Tras la clínica actual se solicita una tomografía computarizada (TC) pensando en posible tromboembolismo pulmonar que es descartado, sin ser informada de más hallazgos. Debido a la inestabilidad del paciente avisan al cardiólogo de guardia quién tras realizar una ecocardiografía transtorácica (ETT) observa lo que parece una comunicación interventricular a nivel ínfero-medial con importante shunt izquierda-derecha (fig. 1). Tras la revisión de la TC se objetiva un gran defecto el tabique interventricular en su porción medial (fig. 2). Confirmado el diagnóstico se decide no realizar coronariografía debido a la inestabilidad del enfermo. Al paciente se le consigue estabilizar mediante la colocación de balón de contrapulsación intraaórtico (BCPIAo) previo a la cirugía urgente.
A través de esternotomía media se procede a la canulación venosa bicava y de la aorta ascendente. Se realiza la cirugía con hipotermia moderada a 28° y sin clampaje aórtico. Debido a la localización del defecto por las pruebas de imagen se levanta la cara inferior del corazón y se realiza una ventriculotomía localizando el defecto y realizándose una técnica de reparación excluyendo la zona infartada según David et al.2. El paciente es trasladado a la unidad de cuidados intensivos donde se encuentra durante los siguientes 7 días. A los 3 días de la cirugía se le puede retirar el balón de contrapulsación. Se realiza coronariografía programada que objetiva la obstrucción de la coronaria derecha distal (fig. 3). En la ETT de control se visualiza mínimo shunt residual con aquinesia de la cara inferior y función ventricular levemente deprimida, siendo el paciente dado de alta a los 20 días del ingreso. El paciente es visto en consultas externas a los 2 meses del ingreso encontrándose en clase funcional I de la NYHA.
DiscusiónLa comunicación interventricular postinfarto es una terrible complicación que sucede habitualmente entre el tercer y sexto día del evento coronario isquémico si no se ha producido la revascularización del vaso afecto en las primeras horas. El número de casos anuales ha disminuido en la era de la angioplastia primaria estableciéndose la incidencia entorno al 0,3%3. Pese a ello, la mortalidad en nuestro medio es superior al 40% a pesar de la cirugía1. La sospecha clínica se realiza mediante la anamnesis y la historia clínica siendo necesario un diagnóstico precoz debido al importante deterioro hemodinámico del paciente en pocas horas. Un episodio anginoso días atrás y sin apenas mejoría aparece a los pocos días presentando mal estado general, hipotensión y mala perfusión distal. Es ese síndrome de bajo gasto cardíaco el que lleva al enfermo a la muerte. Así mismo en la auscultación es característico un soplo holosistólico en el IV-V espacio intercostal. En el electrocardiograma pueden aparecen diferentes alteraciones como la aparición de ondas Q o incluso elevación del segmento ST, sobre todo si va asociado a seudoaneurisma ventricular.
Además de la clínica y la exploración, la prueba por excelencia es la ETT 2D con alta sensibilidad y especificidad donde se puede ver el defecto y el shunt entre los ventrículos suficiente para realizar el diagnóstico. Respecto a la ETT 3D, en ocasiones puede infraestimar el tamaño de la comunicación, además de este último ofrecer una mejor definición de imagen respecto al resultado quirúrgico4,5. La coronariografía se suele reservar para pacientes estables, mediante la cual se observa el paso de contraste del ventrículo izquierdo al derecho en la ventriculografía, así como calcular el cociente Qp/Qs. En nuestro caso no se pudo realizar la coronariografía previa a la cirugía por la situación de inestabilidad del paciente.
La TC al igual que la resonancia magnética son 2 pruebas que no se solicitan de manera habitual cuando se sospecha dicha enfermedad debido a la demora de las mismas y a la falta de disponibilidad con respecto a la ETT pero, de nuevo presentan una alta sensibilidad y especificidad, así como mejor resolución los defectos6. Estas pruebas suelen reservarse para la planificación del cierre de la CIV de manera percutánea ya que se pueden realizar medidas del defecto, así como su diámetro7. La resonancia magnética tiene la ventaja frente a la TC que muestra la viabilidad del miocardio afectado, así como permite estimar mediante cálculos volumétricos la cantidad de cortocircuito entre los ventrículos, pero su mayor desventaja es el tiempo que se requiere para la realización de la misma. En nuestro caso la TC realizada unas horas antes confirmó el diagnóstico tras ser revisado, a pesar de que en un primer momento dichas imágenes pasaron desapercibidas.
Las pruebas de imagen están sujetas a errores operador-dependiente. Se estima que entre un 3-5% de las pruebas radiológicas realizadas tienen un error a la hora de describirlas, bien por su mala interpretación, por identificar una anormalidad y atribuirla a causas erróneas o por falta de localización de la misma8. En la actualidad, casi un billón de pruebas radiológicas son realizadas en el mundo al cabo de un año, y debido a que el error en muchas de ellas es difícil de subsanar, es de suma importancia que el especialista la revise con la suficiente atención como para diagnosticar el problema sin asumir el del informe radiológico como único verdadero.
Por tanto, el diagnóstico de una complicación mecánica del infarto ha de sospecharse siempre que el paciente describa un episodio de angina días atrás presentando una mala evolución con clínica actual de insuficiencia cardíaca franca. Todas las pruebas realizadas son útiles para llegar al diagnóstico de la misma.
Conflicto de interesesLos autores declaran no tener ningún conflicto de intereses.






