El aneurisma de arteria coronaria (AAC) es una entidad poco frecuente cuyo diagnóstico suele ser un hallazgo casual. Se pretende calcular la incidencia de esta entidad, así como estudiar sus diferentes tipos morfológicos y localizaciones y su posible implicación clínica.
MétodosEstudio retrospectivo de 1.791 angiografías consecutivas realizadas entre enero de 2006 y octubre de 2013 en nuestra institución. Se consideró AAC una dilatación mayor de 1,5 veces el calibre de un segmento sano de la misma arteria coronaria. Se definieron 3 medidas (longitud y diámetro del AAC y diámetro de referencia), y se consideraron 3 tipos: sacular con cuello, sacular sin cuello y fusiforme. Se recogieron variables epidemiológicas y factores de riesgo cardiovascular, así como la situación clínica de todos los pacientes.
ResultadosSe encontraron 19 AAC en 17 pacientes (uno gigante). La incidencia fue de 1,1%. La localización más frecuente fue en la descendente anterior. Se encontró una elevada prevalencia de factores de riesgo cardiovascular y de lesiones angiográficamente significativas en relación con los AAC o coronarias adyacentes. Todas las lesiones intraaneurismáticas se asociaron a aneurismas saculares.
ConclusionesLos AAC podrían compartir mecanismos etiopatogénicos relacionados con la enfermedad arterioesclerótica. En los pacientes con AAC gigantes, la cirugía parece ser el procedimiento indicado, y en los pacientes con AAC de menor tamaño parece razonable una actitud conservadora. El tratamiento dependerá de la severidad de las lesiones asociadas.
Coronary artery aneurysms (CAA) are uncommon and usually an incidental finding. The objectives of the study were to estimate their incidence and describe both the different morphological types and distribution and their possible clinical implications.
MethodsA retrospective study of 1791 consecutive angiographies was performed between January 2006 and October 2013 at our institution. CAA was considered as a coronary dilation 1.5 times greater than the diameter of a contiguous healthy segment (defined as the reference diameter) of the same coronary artery. We defined three dimensions (length, diameter of the CAA, and the reference diameter), and three aneurysm types (saccular with neck, saccular without neck and fusiform). Epidemiological data, cardiovascular risk factors and the clinical status at follow-up of all patients were also collected.
ResultsNineteen CAA were documented in 17 patients (one giant) with an estimated incidence of 1.1%. The most common location was the left anterior descending coronary artery. We found a high prevalence of cardiovascular risk factors and a frequent occurrence of angiographically significant lesions in relationship with CAA or adjacent coronary arteries. All intra-aneurismatic stenotic lesions were associated with saccular aneurysms.
ConclusionsThe CAA may share etiopathogenic mechanisms with arteriosclerotic disease. In patients with giant CAA, surgery seems to be the gold standard and in patients with smaller CAA, a conservative approach is probably justified. Treatment might depend on the severity of associated significant coronary lesions.
El aneurisma de arteria coronaria (AAC) es un hallazgo angiográfico poco frecuente cuya incidencia se calcula entre 0,15-4,9%, y que se define como una dilatación de la pared de la arteria coronaria1–3.
No existe consenso en la literatura en relación con el diámetro mínimo a partir del cual una dilatación de la arteria coronaria debe ser considerada aneurisma. Algunos autores sugieren que un AAC debe tener un diámetro superior a 1,5 veces el diámetro de una sección del mismo vaso que no presenta lesión, o al diámetro de la arteria coronaria de mayor calibre1–9 entre ellos Swaye et al., que han publicado la mayor serie de casos descrita4, mientras otros consideran que el tamaño ha de ser 2 veces el de la arteria coronaria normal adyacente10,11. En el caso de que el tamaño sea superior a 20mm, independientemente de la diferencia de calibres, el aneurisma se considera gigante2,5–7.
En la etiopatogenia de la formación de AAC se han relacionado tanto factores genéticos como de riesgo cardiovascular, el daño en la pared de los vasos debido a determinados procedimientos de revascularización percutánea1,12, la enfermedad de Kawasaki1 o alteraciones metabólicas de la pared del vaso6. Por otro lado, la arteriosclerosis ha sido considerada el factor causal más importante, aunque el mecanismo por el cual se produce es desconocido1,5,9,11.
En relación con la clínica, los pacientes pueden presentar un cuadro compatible con un síndrome coronario agudo u otra sintomatología debida a compresión extrínseca de estructuras adyacentes (en caso de un AAC gigante), aunque más frecuentemente se diagnostica como hallazgo casual en pacientes asintomáticos a los que se les realiza un cateterismo por otras causas6.
Las posibles complicaciones que puede presentar esta patología son el infarto o la isquemia miocárdicas (muy probablemente asociados a embolismo), y la rotura del aneurisma, aunque esta última es poco frecuente1,2,13,14. Por otro lado, los AAC gigantes se han asociado también a fístulas con cavidades cardíacas15,16, siendo posible en estos casos la aparición de signos y síntomas de insuficiencia cardíaca, presencia de un soplo, alteraciones electrocardiográficas o endocarditis infecciosa2,14.
La falta de consenso a la hora de definir esta entidad, así como la variabilidad de su sintomatología y morbimortalidad, hacen que el manejo de los AAC no esté bien definido. En ocasiones se mantiene el tratamiento farmacológico, y en otras se opta por el intervencionismo coronario percutáneo o la cirugía de revascularización coronaria1,2,13,15, con similares resultados en relación con la reducción del riesgo de rotura o al grado de reperfusión distal1,3,6. El tratamiento médico mediante anticoagulantes o antiagregantes o la implantación de un stent recubierto en la zona de la lesión son medidas adecuadas en pacientes diagnosticados con AAC1,3,8, siendo recomendada la intervención quirúrgica en los aneurismas gigantes2,5–7.
Teniendo en cuenta la ausencia de criterios establecidos para el tratamiento de pacientes con AAC y la existencia de poca información en relación con esta patología, revisamos las angiografías realizadas en nuestro centro para valorar su incidencia, así como la actitud terapéutica adoptada en cada uno de ellos y la evolución clínica de los mismos.
MétodosSe revisaron 1.971 informes de coronariografías realizadas durante el período comprendido entre enero de 2006 y octubre de 2013 en el Servicio de Hemodinámica de la Clínica Universidad de Navarra, realizadas todas por 2 hemodinamistas con experiencia. De entre todas, se seleccionaron las imágenes angiográficas de aquellos pacientes en los que se había documentado la existencia de AAC, siendo revisadas por 4 de los autores, entre los cuales se encontraba uno de los 2 hemodinamistas responsables de la realización de los estudios. Se consideró como aneurisma la existencia de dilatación aneurismática mayor de 1,5 veces el calibre de un segmento sano de la misma arteria coronaria (definido este como diámetro de referencia). Para ello se establecieron 3 medidas: longitud y diámetro del AAC y diámetro de referencia, así como 3 tipos de aneurismas: sacular con cuello, sacular sin cuello y fusiforme (fig. 1). En caso de existencia de múltiples aneurismas en un mismo paciente, todos ellos fueron documentados y medidos.
Los criterios de exclusión fueron: aneurismas en injertos de safena en pacientes sometidos a cirugía coronaria previa o en coronarias que se encontraban en asociación directa con la localización de la anastomosis del injerto; aneurismas en zonas de relación directa con angioplastias y/o implantación de stents intracoronarios; pacientes trasplantados cardíacos y con enfermedad arterial coronaria difusa (en los que el diámetro de referencia era difícil de establecer).
De los pacientes con AAC seleccionados, se recogieron las variables demográficas (edad y sexo), así como factores de riesgo cardiovascular (FRCV): hipertensión, diabetes mellitus, dislipemia, tabaco y obesidad. Asimismo se recogió la sintomatología compatible con eventos cardiovasculares, definida como presencia de: dolor precordial anginoso típico o atípico, palpitaciones, mareo, síncope, fatiga, disnea, edema, ortopnea, disnea paroxística nocturna o síntomas vegetativos. También se revisaron los procedimientos quirúrgicos asociados en cada paciente.
En octubre de 2013 se evaluó la situación clínica de los pacientes mediante la lectura del informe de la última consulta anual de seguimiento realizada por el cardiólogo. Se contactó telefónicamente con aquellos pacientes que no habían acudido a consulta en el último año, por haber cambiado a otro centro.
El objetivo de este trabajo es el estudio de la incidencia de los AAC, así como un estudio de sus diferentes morfologías y localizaciones y sus posibles implicaciones clínicas.
ResultadosDel total de 1.971 coronariografías revisadas, 27 tenían documentado en el informe del cateterismo la presencia de AAC. Aplicando los criterios de exclusión, 5 de ellos fueron excluidos: 2 pacientes con aneurisma en el injerto de vena safena, uno con ectasia coronaria, otro trasplantado cardiaco, y en otro no se pudo concluir la existencia de AAC mediante las imágenes angiográficas. Tras la revisión de las angiografías otros 5 pacientes fueron excluidos por tener un diámetro de dilatación menor de 1,5 veces el diámetro de referencia.
De los 17 pacientes seleccionados, 11 eran hombres y 6 mujeres con una edad media de 65,9+/-9,6 años. Los motivos más frecuentes de realización de la coronariografía fueron: episodios de ángor en 8 pacientes (47,1%), test de inducción de isquemia positivo en 3 (17,6%) y disfunción ventricular izquierda en otros 3. En relación con los FRCV: 12 pacientes presentaban HTA (70,6%), 8 DM II (47,1%), 12 dislipemia (70,6%) y 9 eran fumadores (52,9%). En relación con la sintomatología cardiovascular, 12 pacientes (70,6%) presentaron algún síntoma, 4 pacientes fueron intervenidos por valvulopatía y 4 pacientes (23,5%) tuvieron antecedentes de infarto agudo de miocardio (IAM) (tabla 1).
Características demográficas y factores de riesgo cardiovascular de todos los pacientes con aneurismas coronarios. Se registran también los síntomas cardiovasculares definidos como: presencia de dolor precordial anginoso típico o atípico, palpitaciones, mareo, síncope, fatiga, disnea, edema, ortopnea, disnea paroxística nocturna o síntomas vegetativos
| Paciente | Edad | Sexo | Motivo coronariografía (CCS) | Factores de riesgo cardiovascular | Eventos cardiovasculares | FE (%) | IAM | Procedimientos de revascularización | Procedimientos asociados | ||||
| HTA | DM II | Dislipemia | Tabaco | Obesidad | |||||||||
| 1 | 70 | V | Angor (II-III) | + | - | + | - | - | + | 50 | - | Bypass (x3) | - |
| ACTP+stent (x3) | |||||||||||||
| 2 | 48 | M | Disfunción ventricular izda. | - | - | - | - | - | + | 25 | - | - | Implantación de DAI |
| 3 | 65 | V | Angor (I-II) | + | + | - | - | - | + | 51 | Inferior y apical | Bypass (x4) | - |
| 4 | 48 | V | Angor (II-III) | - | - | + | + | + | + | 51 | Septal | Bypass (x5) | - |
| 5 | 70 | M | Angor (II-III) | - | - | + | + | - | + | 66 | - | - | - |
| 6† | 67 | M | Insuficiencia mitral | + | + | + | - | - | + | 74 | - | - | Implantación de prótesis |
| Aórtica y mitral | |||||||||||||
| 7† | 81 | V | Disfunción ventricular izda. y AAo ascendente | + | + | - | - | - | - | 23 | - | - | Implantación de prótesis |
| Aórtica y MP «DDD» | |||||||||||||
| 8 | 74 | V | Angor (II-III) | + | - | + | - | - | + | 66 | - | ACTP+stent (x4) | - |
| 9 | 65 | V | Test de inducción de isquemia + | + | + | + | + | - | - | 50 | Inferior y posterior | Bypass (x4) | - |
| 10 | 54 | V | Angor (II-III) | + | - | - | + | - | + | 60 | - | Bypass (x4) | - |
| 11 | 62 | M | Angina inestable | + | - | + | + | - | + | 75 | - | - | - |
| 12 | 64 | V | Test de inducción de isquemia + | + | - | - | + | - | - | 40 | - | Bypass (x2) | - |
| 13 | 73 | M | Angor (II-III) | + | + | + | - | - | + | 70 | - | - | - |
| 14 | 72 | V | Test de inducción de isquemia + | + | + | + | + | + | - | 72 | Lateral | ACTP+stent (x2) | - |
| 15 | 64 | V | Disfunción ventricular izda. | - | + | + | + | - | + | 44 | - | Bypass (x1) | - |
| 16 | 78 | V | Estenosis aórtica | + | + | + | + | - | - | 65 | - | Bypass (x1) | Prótesis aórtica infrarrenal y prótesis aórtica |
| 17 | 65 | M | Estenosis aórtica | + | - | - | 64 | - | Bypass (x1) | Implantación de prótesis aórtica y mitral | |||
†Paciente fallecido durante el seguimiento.
AAo: aneurisma de aorta; ACTP: angioplastia coronaria transluminal percutánea (n.° de vasos); Bypass: cirugía de revascularización (n.° de vasos anastomosados); CCS: Canadian Cardiovascular Society; DAI: desfibrilador automático implantable; DM: diabetes mellitus; FE: fracción de eyección; HTA: hipertensión arterial; IAM: infarto agudo de miocardio; M: mujer; MP: marcapasos; V: varón.
Fueron observados 19 aneurismas en los 17 pacientes. La localización más frecuente fue en la arteria descendente anterior (DA) 8/19 (42,1%), seguida de tronco común izquierdo (TC) 6/19 (31,6%), arteria circunfleja (CX) 2/19, arteria coronaria derecha (CD) 2/19 y primera diagonal 1/19. En 3 de los localizados en TC, los aneurismas afectaban a su bifurcación (tabla 2).
Localización, morfología tamaño y mediciones de los 3 tipos de aneurismas encontrados y su relación con las lesiones coronarias significativas de los pacientes
| Paciente | Localización del aneurisma | Forma | Tamaño y mediciones | Estenosis coronarias significativas | ||||
| Longitud (mm) | Diámetro (mm) | Diámetro referencia (mm) | Relación diámetros | Localización | Relación con el aneurisma | |||
| 1 | DA | Fusiforme | 10,6 | 4,8 | 2,9 | 1,66 | TC, DA, CX, CD | - |
| 2 | TC+CX | Fusiforme | 9,0 | 7,2 | 4,0 | 1,80 | - | - |
| 3 | CX | Sacular | 12,0 | 4,6 | 2,4 | 1,92 | TC, DA, CX, CD | - |
| 4 | TC+DA+CX | Fusiforme | 14,0 | 7,0 | 3,0 | 2,33 | DA, CD | Preaneurisma |
| 5 | TC+DA | Fusiforme | 4,3 | 6,0 | 2,5 | 2,40 | DA, CX | - |
| 6† | CD | Sacular con cuello | 4,8 | 9,5 | 4,8 | 1,98 | - | - |
| 7†* | CD | Sacular | 10,5 | 8,5 | 4,0 | 2,13 | - | - |
| TC | Sacular | 14,0 | 11,0 | 5,2 | 2,12 | - | - | |
| 8 | 1.° diagonal | Sacular | 3,6 | 3,3 | 1,8 | 1,83 | DA, CX | - |
| 9 | DA | Sacular con cuello | 4,0 | 6,7 | 3,0 | 2,23 | DA, CX, CD | - |
| 10 | DA | Sacular | 5,5 | 3,3 | 2,0 | 1,65 | TC, DA, CX, CD | Intraaneurisma |
| 11 | DA | Sacular | 4,5 | 5,7 | 2,7 | 2,11 | DA | Intraaneurisma |
| 12 | DA | Sacular con cuello | 2,4 | 6,0 | 3,5 | 1,71 | DA, CX, CD | - |
| 13 | TC | Fusiforme | 9,8 | 6,8 | 3,5 | 1,94 | DA, CX, CD | - |
| 14 | CX | Sacular | 11,0 | 4,9 | 3,0 | 1,63 | DA, CX, CD | - |
| 15* | DA | Sacular con cuello | 2,5 | 7,2 | 3,0 | 2,40 | TC, DA, CX, CD | Intraaneurisma |
| DA | Sacular con cuello | 2,5 | 6,8 | 3,0 | 2,27 | TC, DA, CX, CD | Intraaneurisma | |
| 16 | DA | Sacular con cuello | 4,0 | 8,0 | 3,4 | 2,35 | DA | Intraaneurisma |
| 17 | TC | Sacular con cuello | 45,0 | 47,0 | - | |||
†Paciente fallecido durante el seguimiento. * Paciente con 2 aneurismas.
CX: arteria circunfleja; CD: arteria coronaria derecha; DA: arteria descendente anterior; TC: tronco común izquierdo.
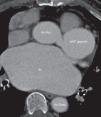
La relación diámetro de aneurisma/diámetro de vaso de referencia osciló entre 1,6-2,4 en 16 de los pacientes diagnosticados de AAC. Analizando la morfología, 14 aneurismas eran saculares (7 con cuello y 7 sin cuello), 5 tenían aneurismas fusiformes (fig. 2). El paciente 17 presentó un aneurisma gigante (45,0×47,0mm) (fig. 3).
De los 17 pacientes, 13 presentaron lesiones coronarias significativas (76,5%); en 5 la estenosis se localizaba dentro del aneurisma (26,3%). En todos estos casos se trataba de un aneurisma tipo sacular (3 con cuello y 2 sin cuello). Se habían realizado procedimientos de revascularización quirúrgica en 8 pacientes, en 2 pacientes procedimientos de revascularización percutánea y en un paciente ambos tipos de procedimientos de revascularización.
El seguimiento medio fue de 39,1 (2-78) meses. La supervivencia global fue del 82,4%. Dos pacientes fallecieron durante el seguimiento: uno por causa desconocida y otro por proceso infeccioso respiratorio. Un paciente fue perdido durante el seguimiento por traslado a su país de origen.
DiscusiónLos AAC fueron descritos por primera vez en 1761 por Morgagni1. En la mayoría de las ocasiones se trata de un hallazgo angiográfico casual y poco frecuente, donde no existe consenso en la literatura en cuanto el diámetro mínimo necesario para que se considere como aneurisma. Algunos autores lo definen como una dilatación de más de 1,5 veces el diámetro de una sección del mismo vaso (y que no presenta lesiones) o de la arteria coronaria de mayor calibre1–9, y otros cuando el diámetro es mayor de 2 veces10,11. No obstante, en la mayoría de todos estos artículos no se realiza la descripción de cómo fueron realizadas las medidas, ni cómo se establecieron las comparaciones de las mismas. En nuestro caso se decidió establecer una dilatación de 1,5 veces el diámetro de referencia como criterio para diagnóstico del aneurisma, ya que es la medida que ha sido más veces utilizada en la literatura y la utilizan trabajos importantes, como el de Swaye et al.4.
Esta entidad suele ser un hallazgo casual cuya incidencia (0,15-4,9%), ha sido generalmente establecida mediante estudios realizados en autopsias11,17. Nuestra serie, reveló una incidencia similar a la descrita por otros autores (1,1%), y donde la localización más frecuente de los AAC fue en la arteria DA (42,1%), a diferencia de otras series, donde el aneurisma era más frecuente en la CD1,4,5. Sin embargo, otros autores encontraron una incidencia parecida entre CD y DA, cuando se definía como una dilatación de al menos 2 veces el diámetro normal del vaso con el que fue comparado11.
El motivo principal de la realización de la coronariografía fue el dolor precordial, y los FRCV más frecuentes fueron la HTA y la dislipemia. Aproximadamente 3 de cada 4 (13/17), presentaba AAC y alguna estenosis coronaria significativa (en la misma arteria o en otra adyacente). Además, la elevada prevalencia de FRCV y/o eventos cardiovasculares, refrendan la idea de que exista una relación de causalidad, o que compartan los mismos mecanismos etiopatogénicos, lo cual ya ha sido sugerido por otros autores4,6.
Se ha descrito previamente en la literatura el AAC como factor independiente de riesgo de mortalidad10. En relación con los aneurismas gigantes, la cirugía parece ser la terapia más adecuada por el riesgo de rotura, trombosis o vasoespasmo1,2. Sin embargo, no existen en la literatura directrices específicas para este tipo de patologías. Las guías de la Sociedad Americana de Cardiología para el manejo de pacientes adultos con enfermedades cardíacas congénitas18, consideran (con indicación de clase I), que las anomalías que se localizan en el TC, cuando estas se encuentran entre la arteria pulmonar y aorta, se benefician de una intervención quirúrgica. De la misma manera, se considera que los episodios de isquemia miocárdica que se deban a compresión (como podría ser la existencia de una aneurisma gigante adyacente), deberán ser operados para su reparación. Pero, a pesar de esto, no existen indicaciones en las guías de actuación clínica más consultadas en relación con AAC que no sean considerados como gigantes. En nuestro paciente con aneurisma gigante, existía además una disfunción de la prótesis aórtica mecánica (implantada previamente), motivo por el fue intervenido. En la angiografía coronaria previa a la cirugía se observó la presencia de un aneurisma gigante que se encontraba en el TC, entre la arteria pulmonar y la aorta. El día de la intervención se decidió realizar (además del recambio de prótesis aórtica), la apertura y exclusión del saco aneurismático, que estaba en relación directa con el ostium de la coronaria izquierda. Posteriormente se realizó una derivación aorto-coronaria con safena para restituir el flujo sanguíneo a las arterias coronarias, con buena evolución en el postoperatorio. En este caso en concreto, las dimensiones del aneurisma (figs. 2D y 3) ya le hacían subsidiario de corrección quirúrgica por el riesgo de rotura, y por encontrarse entre la arteria pulmonar y la aorta, tal y como recomiendan las guías americanas18. Sin embargo, un aneurisma de estas dimensiones que se encontrase en otra coronaria, tendría, según nuestra opinión, indicación quirúrgica para evitar complicaciones antes descritas, como ya mencionan algunos autores1,2,5,13.
En cambio, en el caso de AAC de menor tamaño la realización de procedimientos quirúrgicos para su corrección depende más de la severidad de las estenosis asociadas1,2 pudiéndose realizar la exclusión quirúrgica en el caso de que el paciente sea intervenido (cirugía de derivación coronaria u otras patologías) en el mismo tiempo quirúrgico1, o la implantación percutánea de un stent recubierto3 si existe una lesión coronaria asociada. De este modo, parece que la intervención (ya sea percutánea o quirúrgica) solo por presentar un AAC no parece, en principio, mandatorio, debiéndose individualizar caso a caso. En nuestra serie, en 11/17 pacientes se habían llevado a cabo procedimientos de revascularización coronaria, pero únicamente se realizó una intervención directa sobre un aneurisma en el caso del AAC gigante. Entre los 6 pacientes en los que no se realizó revascularización, se encontraban los 2 que fallecieron durante el seguimiento (6 y 7). En ninguno de ellos se observaron lesiones coronarias asociadas, habiendo sido intervenidos quirúrgicamente por valvulopatías severas. Analizando los diámetros así como la morfología de los aneurismas de estos pacientes, no se observaron diferencias en relación con los otros aneurismas de la serie. En los otros 4 pacientes (2, 5, 11, 13) a los que no se les realizó ningún tipo de intervención de revascularización, no se observó, tampoco, características similares en relación con su morfología o tamaño que pudieran justificar una evolución clínica diferente a los otros pacientes (todos ellos se mantuvieron asintomáticos en el momento en el que fue evaluada su situación durante el seguimiento).
Algunos autores consideran que pacientes con AAC deberán ser tratados cuando estos se diagnostican en la fase aguda del infarto de miocardio, aunque es una opinión fundamentada tan solo en un caso en el que el AAC se encontraba lleno de fragmentos trombóticos9. En general, los AAC de nuestra serie se encontraban en pacientes tanto con FE normal como severamente deprimida, y tan solo 4 de ellos fueron diagnosticados de infarto agudo de miocardio. Además, en el momento de la revisión en octubre de 2013 con un seguimiento medio de 39,1 (2-78) meses, 14 pacientes permanecían estables desde el punto de vista cardiovascular, uno había fallecido a causa de un proceso infeccioso respiratorio a los 81 años de edad, otro no se conocía la causa, y un paciente fue perdido por cambiar su residencia al extranjero. Esta evolución natural de la enfermedad hace especular con la posibilidad de que el diagnóstico de un aneurisma no se encuentre directamente relacionado con un mal pronóstico. Serían necesarios estudios randomizados con un mayor número de pacientes diagnosticados de AAC para conseguir resultados en relación con la historia natural. Pero esto resultaría muy difícil debido a la escasa incidencia de esta patología y su frecuente asociación a enfermedad coronaria, normalmente subsidiaria de tratamiento percutáneo o quirúrgico.
En todos los pacientes con AAC localizados en la bifurcación del TC, la morfología era fusiforme (fig. 2C), y todos los fusiformes se originaban desde el TC, salvo uno de ellos que lo hacía desde la DA. Por otro lado, todos los aneurismas saculares con cuello (fig. 2A) nacían de la parte proximal de la DA, excepto uno que se localizaba en la CD y el gigante que lo hacía en el TC. Además, todas las lesiones significativas intraaneurismáticas encontradas se producían en AAC de morfología sacular, con o sin cuello. Esta circunstancia sugiere la existencia de una relación entre la morfología y la localización del aneurisma, de manera que los saculares se localizarían en fragmentos de la arteria más largos, y los fusiformes podrían ser el resultado de lesiones endoteliales más localizadas. Serían necesarios estudios anatomopatológicos específicos que corroborasen esta hipótesis.
El estudio presenta algunas limitaciones. A pesar de que en este estudio se han analizado las coronariografías de 1.971 pacientes, la baja prevalencia de esta patología supone una limitación. Además, el hecho de que los AAC no siempre provoquen sintomatología nos puede haber llevado a subestimar su incidencia, dado que todos nuestros pacientes habían presentado ya fueran síntomas o patologías cardiovasculares que motivaron una coronariografía. El número de pacientes con AAC es muy pequeño como para establecer algún tipo de relación causal con eventos cardiovasculares. De la misma manera resulta imposible valorar si se trata de un factor independiente de mortalidad. Sucede lo mismo con los diferentes tipos morfológicos, así como su localización en las coronarias. Serían necesarios estudios con mayor tamaño muestral para poder determinar tales circunstancias.
ConclusionesLos AAC son poco frecuentes y podrían estar asociados con los mismos FRCV que afectan a la enfermedad coronaria. Dependiendo de su localización parecen presentar distintas morfologías y, de la misma manera, la morfología podría justificar la presencia de lesiones dentro del aneurisma. En general, parece razonable la actitud conservadora cuando este hallazgo no se acompañe de lesiones o eventos cardiovasculares.
Tanto estos aspectos como el profundizar en el conocimiento de la evolución natural de la enfermedad requerirían de estudios con mayor número de pacientes que incluyeran seguimientos clínicos exhaustivos y prolongados, así como estudios necrópsicos sistemáticos.
Responsabilidades éticas:Protección de personas y animalesLos autores declaran que los procedimientos seguidos se conformaron a las normas éticas del comité de experimentación humana responsable y de acuerdo
Confidencialidad de los datosLos autores declaran que han seguido los protocolos de su centro de trabajo sobre la publicación de datos de pacientes y que todos los pacientes incluidos en el estudio han recibido información suficiente y han dado su consentimiento informado por escrito para participar en dicho estudio.
Derecho a la privacidad y consentimiento informadoLos autores declaran que en este artículo no aparecen datos de pacientes.
Conflicto de interesesLos autores declaran no tener ningún conflicto de intereses.
Agradecemos a la Doctora Isabel Coma Canella la lectura crítica de este artículo, así como a la enfermera Rosa Giménez su colaboración en la recogida de datos.


