Presentamos el caso de un paciente con tromboembolismo pulmonar masivo e inestabilidad hemodinámica en el que la realización de una ecocardiografía urgente y el uso del signo de McConnell permitieron realizar una fibrinólisis precoz. Enfatizamos el uso del signo de McConnell para el diagnóstico precoz del embolismo pulmonar.
We present the case of a massive pulmonary embolism with haemodynamic instability in which urgent echocardiography using the McConnell sign allowed early fibrinolysis treatment to be started. We emphasise the usefulness of McConnell sign for early diagnosis of pulmonary embolism in critically ill patients
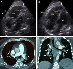
Paciente varón de 53 años que comienza con cuadro de disnea, fiebre y dolor torácico pleurítico, de inicio súbito. A su llegada a urgencias presentaba hipotensión, taquicardia y saturación arterial del 80% respirando aire ambiente. El electrocardiograma mostró taquicardia sinusal con patrón S1Q3T3 con ondas T negativas de V1-V6. Con una alta sospecha de tromboembolismo pulmonar (TEP), se practicó un ecocardiograma portátil (EP) urgente que mostró dilatación y disfunción del ventrículo derecho (VD), con preservación de la contractilidad del ápex (signo de McConnell [SMC]) (fig. 1A-B) y datos indirectos de hipertensión pulmonar severa. Ante la inestabilidad hemodinámica se optó por realizar fibrinólisis con alteplasa (rtPA), con buena respuesta clínica. Tras su estabilización, se realizó angiotomografía de tórax que confirmó la presencia de un TEP bilateral extenso con signos de recanalización incipientes (fig. 1C-D, flechas). Un eco-doppler confirmó la presencia de trombosis venosa profunda femoropoplítea derecha. Fue dado de alta sin complicaciones
A) Ecocardiografía. La imagen de 4 cámaras en sístole muestra acinesia de la pared libre del VD con hipercinesia del ápex (flecha). B) Ecocardiografía. Imagen de 4 cámaras en diástole, dilatación del VD, ápex de VD (flecha). C) Angiotomografía de tórax con contraste, plano axial. Trombos intraluminales en ambas ramas pulmonares con recanalización parcial (flechas). D) Angiotomografía de tórax con contraste, plano coronal. Trombos intraluminales en ambas ramas pulmonares (flechas). VD: ventrículo derecho; VI: ventrículo izquierdo.
El diagnóstico y el tratamiento precoces ante la sospecha de TEP resulta fundamental. La presencia de inestabilidad hemodinámica es un predictor de mal pronóstico.
El EP ayuda a confirmar el diagnóstico de TEP masivo a través de signos indirectos1. Es especialmente útil si la inestabilidad hemodinámica no permite el traslado para realizar técnicas más sensibles como la angiotomografía de tórax1.
Entre los signos indirectos de TEP en el EP se encuentran la dilatación y la disfunción del VD, así como la estimación de las presiones pulmonares. Cuando no existe patología pulmonar previa estos signos son altamente sugestivos de TEP, con alta sensibilidad y especificidad2,3.
El SMC es una alteración regional de la contractilidad del VD que consiste en una acinesia/hipocinesia de la pared libre del VD con hipercontractilidad o preservación de la motilidad del ápex4. Se han barajado 3 mecanismos implicados:
- •
La hipercontractilidad del ventrículo izquierdo.
- •
El brusco incremento en la poscarga del VD haría que este asumiese una forma más esférica para ecualizar el estrés de pared.
- •
El incremento en el estrés de la pared ventricular originaría zonas de isquemia regional a nivel de la pared libre del VD, preservándose la contractilidad del ápex.
El uso del EP en TEP e inestabilidad hemodinámica está avalado por las guías de práctica clínica1. Aunque la sensibilidad del SMC para el diagnóstico de TEP varía en las series publicadas (30-70%), su especificidad se acerca al 100%, con un alto valor predictivo positivo (96-100%)4. Recientemente, datos más actuales han cuestionado estos valores, considerando que su uso debe apoyarse en otros signos ecocardiográficos de sobrecarga5.
El SMC es un signo muy específico de TEP masivo, incluso ante la existencia de enfermedad pulmonar previa. Cuando además se combina con otros signos de sobrecarga de VD, permite iniciar un tratamiento fibrinolítico precoz en casos de inestabilidad hemodinámica o shock, sin esperar el resultado de la angiotomografía1,3,4.




