Presentamos el caso de un varón de 44 años sin factores de riesgo cardiovascular que comienza con insuficiencia cardiaca y derrame pericárdico severo, atribuido a tuberculosis sin diagnóstico microbiológico de confirmación. Tras drenaje del derrame y tratamiento tuberculostático permanece asintomático, hasta que varios meses después vuelve a presentar insuficiencia cardiaca y derrame pericárdico. Las técnicas de imagen cardiaca fueron esenciales en el diagnóstico etiológico.
We report the case of a 44-year-old man with no cardiovascular risk factors who suffers from acute cardiac failure and severe pericardial effusion, attributed to tuberculosis without confirmation microbiological diagnosis. After drainage of the effusion and tuberculostatic treatment the patient remains asymptomatic. However, several months later he suffers again from cardiac failure and pericardial effusion. Cardiac imaging techniques were essential in the etiological diagnosis.
Varón de 44 años, natural de Rumanía donde trabajó durante 15 años en una mina de carbón. Vive en España desde 2007 trabajando de recolector de frutas. No conoce factores de riesgo cardiovascular ni hábitos tóxicos.
Requirió ingreso hospitalario en agosto de 2015 por disnea de esfuerzo, objetivándose derrame pericárdico severo sin datos de compromiso hemodinámico. Tras la realización de pericardiocentesis diagnóstica y evacuadora se atribuye a origen tuberculoso basándonos en el elevado nivel de ADA en el líquido pericárdico (71U/l) y al Mantoux positivo (20×13mm). No hubo aislamientos microbiológicos. Analíticamente elevación de LDH (587mg/dl) y la beta2 microglobulina fueron normales y las serologías negativas. Como parte del estudio etiológico se realizó TC, donde se hallaron adenopatías mediastínicas de hasta 12mm en el mediastino y una a nivel abdominal retroperitoneal paraaórtica. Tras tratamiento tuberculostático durante 6 meses (4+2 finalizado a finales de febrero de 2016) y corticoideo durante 3 semanas es dado de alta de la consulta de infecciosas, asintomático.
Un mes después consulta nuevamente por disnea de esfuerzo de una semana de evolución, astenia y dolor torácico pleurítico. Ocasional sudoración profusa nocturna y pérdida ponderal de 7-8kg en las últimas semanas. A la exploración se encuentra afebril, taquicárdico a 110lpm, con leve ingurgitación yugular en decúbito. Ausencia de soplos, crepitantes o edemas. Analíticamente LDH 3.301mg/dl, proBNP 1.137mg/dl, beta2 microglobulina 4,25mg/dl. El ECG presenta alteraciones difusas e inespecíficas en la repolarización. La radiografía de tórax muestra cardiomegalia, sin infiltrados pulmonares. El ecocardiograma sugiere pericarditis constrictiva (septum con desplazamiento posterior telediastólico, movimiento anterior protosistólico [knock] y muesca diastólica precoz). Derrame pericárdico leve-moderado sin datos de compromiso hemodinámico y pericardio visceral y parietal engrosados.
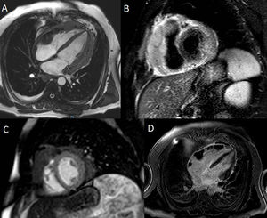
Tras estos hallazgos se decide realizar un cateterismo derecho no concluyente de constricción pericárdica (ausencia de hipertensión pulmonar, presiones telediastólicas biventriculares ligeramente elevadas, ausencia de Dip-meseta en ambos ventrículos, variaciones de presión no significativas). La sospecha diagnóstica en ese momento es de pericarditis constrictiva secundaria a la pericarditis tuberculosa previa. Con el fin de aclarar la disparidad de hallazgos entre cateterismo y ecocardiograma se realiza una resonancia magnética de corazón, sugestiva de linfoma con afectación cardiaca y extensión pericárdica, produciendo ligera constricción pericárdica (fig. 1).
A. Secuencia en sangre blanca, 4 cámaras donde se aprecian masas pericárdicas confluyentes e infiltrantes en pared lateral de VD y anillo tricuspídeo con señal intermedia en T1. B. Secuencia en T2-STIR, eje corto donde se aprecian masas pericárdicas en señal intermedia-baja en T2 y ligero derrame pericárdico. C. Secuencia de perfusión en reposo en eje corto objetivando perfusión no homogénea de las masas pericárdicas con focos necróticos o de baja captación. D. Secuencia de realce tardío en 4 cámaras con masas con ausencia de focos de fibrosis.
Completamos el estudio con una TC cervical-torácico-abdominal con evidencia de síndrome linfoproliferativo, incluyendo adenopatías mediastínicas, derrame pleural derecho, micronódulos pulmonares, hepatoesplenomegalia y adenopatías mesentéricas, paraaórticas e inguinales. Se biopsia una tumoración mediastínica anterior por vídeo-toracoscopia con resultado de linfoma no Hodgkin (LNH) difuso de célula grande B tipo centrogerminal (estadio iv). Se inicia tratamiento con inmunoquimioterapia R-CHOP sin incidencias, con gran mejoría clínica del paciente, en clase funcional i/iv y con valoración ecocardiográfica previa al alta, con derrame pericárdico leve y sin masas tumorales cardiacas ni datos de constricción pericárdica.
DiscusiónEl interés del caso radica en el diagnóstico diferencial de la constricción pericárdica. Inicialmente el paciente es diagnosticado de pericarditis tuberculosa, lo cual se considera plausible, salvo por la ausencia de aislamiento microbiológico. El paciente reingresa y se sospecha una pericarditis constrictiva avalada por el ecocardiograma transtorácico. No obstante, el diagnóstico diferencial de la constricción pericárdica, que habitualmente incluye causa idiopática, infecciosa, posquirúrgica o neoplásica1, se atribuye secundaria a la pericarditis tuberculosa previa. Sin embargo, la tórpida evolución del cuadro clínico y la discordancia en las pruebas que estudian la fisiopatología constrictiva derivan en la realización de una prueba de imagen, en este caso una resonancia magnética, cuyo papel es crucial al aclarar el diagnóstico definitivo. En este caso el origen neoplásico del derrame es apoyado por la pérdida ponderal de 7kg, así como los niveles elevados de beta2 microglobulina en sangre. Queda abierta la interesante hipótesis de que la pericarditis inicial atribuida a tuberculosis fuera ya un linfoma que se controló con los corticoides que administraron al paciente, y tras completar el tratamiento se reactivó el linfoma, esta vez infiltrando el miocardio y produciendo la constricción pericárdica.
Los tumores cardiacos son entidades raras, con una prevalencia muy baja, del 0,02%. Las metástasis cardiacas de otro tumor primario son 3 veces más frecuentes2. Solo el 25% de ellos son malignos. Habitualmente se asientan en las cámaras cardiacas derechas, especialmente en la aurícula. El LNH difuso de célula grande B es el subtipo histológico de LNH más común (25% del total de LNH)3.
En adultos jóvenes este tipo de linfoma es el más frecuente de presentación extraganglionar, pudiendo manifestarse con infiltración cardiaca ocasionalmente. La sintomatología habitual incluye dolor torácico, insuficiencia cardiaca o derrame pericárdico. Los síntomas «B» sistémicos (fiebre, pérdida de peso y sudoración nocturna) solo aparecen en el 30% de los pacientes. Por tanto, el diagnóstico depende vitalmente de técnicas de imagen, incluyendo la RMN cardiaca y la TC, que valoran infiltración de los tejidos, extensión ganglionar y lesiones metastásicas4. No obstante, la prueba diagnóstica más rentable es el estudio histológico de la biopsia, ya sea del ganglio linfático o del tejido afectado, ya que el 75% de los tumores miocárdicos son benignos5.
Conflicto de interesesNinguno.




