Introducción: Las malformaciones linfáticas se originan a partir de malformaciones de los vasos linfáticos durante el periodo embrionario, lo que condiciona sus características histopatológicas, el calibre de los vasos que lo componen, así como el sitio donde se localizan.
Caso clínico: Se presenta el caso de un paciente masculino de un año 2 meses de edad, quien se diagnostica con una malformación linfática localizada en el omento menor. Esta localización es una de las menos frecuentes en este grupo de malformaciones.
Conclusiones: Se expuso el abordaje diagnóstico y la resolución quirúrgica de una malformación linfática del omento menor, con resección completa del mismo, sin recidivas ni complicaciones.
Introduction: Lymphatic malformations are caused by malformations of the lymphatic vessels during embryonic life, conditioning their histopathological characteristics, the caliber of the vessels that compose it, and the site where they are located.
Case report: We report the case of a male patient of 1 year and 2 months old who was diagnosed with a lymphatic malformation located in the lesser omentum, this localization being one of the least frequent of this group of malformations.
Conclusion: We describe the diagnostic approach and surgical resolution of a lesser omentum lymphatic malformation with its complete removal and without complications or recurrence.
1. Introducción
Las malformaciones vasculares representan un grupo de enfermedades que afecta al 0.5% de la población. Al grupo nosológico se le denomina "anomalías vasculares".
Una de estas anomalías es el linfangioma. Se describió por primera vez por Redenbacher en 18281. Sin embargo, no fue sino hasta hace 31 años cuando Mulliken y Glowacki describieron la problemática de que estas entidades patológicas fueran llamadas erróneamente "angiomas". Por ello, propusieron, en 1982, una nueva clasificación basada en criterios biológicos y de comportamiento clínico. Esta fue adoptada por la International Society for the Study of Vascular Anomalies2.
Su origen no se encuentra bien dilucidado, ya que se desconocen los mecanismos de desarrollo del sistema linfático durante el periodo embrionario. Se mantiene la teoría de una falla a nivel de la comunicación entre los vasos linfáticos durante la vida intrauterina. Esto explica por qué estas malformaciones se manifiestan y diagnostican, en su mayoría, durante las etapas tempranas de la vida, así como los sitios más comunes de aparición3.
El 95% de las malformaciones linfáticas se localizan en el cuello y las axilas, mientras que el 5% restante son de presentación intra-abdominal, ya sea que se encuentren en el mesenterio, omento o retroperitoneo, además de ser raros4,5.
En la actualidad, las anomalías vasculares se clasifican en dos grupos. El primero corresponde a los tumores vasculares y el segundo a las malformaciones vasculares. Estas últimas se sub-clasifican de acuerdo con su manejo de flujos: altos, bajos o si presentan combinaciones. Las malformaciones linfáticas se encuentran dentro de las malformaciones vascu-lares de bajo flujo6,7.
2. Caso clínico
Masculino de un año 2 meses de edad nacido por parto eutócico, de término, con peso al nacer de 3,600 g, Apgar 9/9. Producto de embarazo normo evolutivo, con control prenatal deficiente, sin ultrasonidos obstétricos, ni suplementación con hierro, ácido fólico o multivitamínicos. Con adecuado desarrollo psicomotor.
Inició su padecimiento 6 meses previos, con rechazo al alimento y distensión abdominal. Es llevado a centro de salud donde le prescriben hierro y vitaminas A, C y D. En el último mes se agregaron evacuaciones líquidas color verdoso, con moco. Se manejó con electrolitos orales, remitiendo el cuadro. Su médico de primer contacto solicitó estudios de laboratorio, los cuales registraron anemia microcítica e hipocrómica. Además, el ecosonograma abdominal mostró masa quística intra-abdominal multilobulada extendiéndose por ambas correderas y hueco pélvico. Riñones, hígado y vesícula biliar se presentaron sin alteraciones (fig. 1).
Figura 1 Se tomó estudio con equipo Medison de alta resolución, con transductor convexo. Se observó una imagen de aproximadamente 12.2 x 6.8 cm, de aspecto anecoico multitrabeculado.
Es derivado al Hospital Regional Dr. Valentín Gómez Farías para su estudio, diagnóstico y tratamiento. A su ingreso al Servicio de Urgencias de Pediatría, se observó activo, reactivo, con regular estado de hidratación, palidez de tegumentos, con abdomen distendido, blando, depresible, con peristaltismo disminuido, telangiectasias en pared abdominal, sin datos de irritación peritoneal.
En su estancia se ordenaron nuevos estudios de laboratorio con los siguientes resultados: hemoglobina 12.3 g/ dl, hematocrito 37.6%, hemoglobina corpuscular media 24.6 pg, volumen corpuscular medio 75.5 fl, leucocitos 123,000/mm3, plaquetas 503,000/mm3. Glucosa 103 mg/dl, aspartato aminotransferasa (AST) 36.7 UI/l, alanina amino-transferasa (ALT) 20.8 UI/l, fosfatasa alcalina 218 UI/l, DHL 573 UI/l, antígeno carcinoembrionario 1.8 μg/l, gonadotrofina coriónica 0.100 mlU/ml, alfa fetoproteína 5.0 UI/ml, CA 125 31.6 UI. La tomografía axial computarizada (TAC) abdominal reportó masa quística con lóbulos que desplaza de manera anterior y hacia la izquierda las asas intestinales (fig. 2).
Figura 2 Tomografía axial computarizada de abdomen. Se observó una masa quística con lóbulos que desplaza de manera anterior y hacia la izquierda las asas intestinales.
Es valorado por parte del Servicio de Cirugía Pediátrica, quienes decidieron realizar laparotomía exploradora y la resección de la masa quística. Bajo anestesia general se procedió a realizar incisión media, supra e infraumbilical por planos hasta la cavidad abdominal (fig. 3).
Figura 3Habitus exterior del paciente en el preoperatorio.
Se identificó malformación linfática con quistes múltiples mayores de 5 cm, contenido linfático en su interior, sin evidencia de contenido hemático, originado de vasos linfáticos de la curvatura menor del estómago y epiplón menor (fig. 4).
Figura 4 Tumoración linfangiomatosa en el exterior del abdomen que abarca la totalidad del mismo.
Se realizó la exposición completa de la tumoración, identificando su origen y realizando disección roma de su base, con corte y ligadura de sus vasos nutricios a través de toda la curvatura menor del estómago (fig. 5).
Figura 5 Pedículo del linfangioma en el omento menor.
El contenido aproximado del líquido del tumor fue de 500 ml, con un sangrado aproximado del procedimiento de 10 ml. Se realizó la resección del 100% de la malformación, sin evidencia de residuo macroscópico de la misma. Posteriormente, se realizó omentectomía mayor y cierre de la pared abdominal por planos. Se trasladó a la Unidad de Terapia Intensiva Pediátrica consciente y con signos vitales estables.
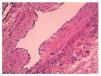
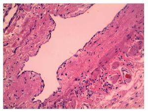
En el posquirúrgico se tomó biometría hemática de control, que resultó con hemoglobina de 7.87 g/dl con un hematocrito de 22%, por lo que se decidió la transfusión de concentrado globular. Cuatro días después del evento quirúrgico se decidió su egreso por mejoría. El resultado del informe histopatológico fue una proliferación de vasos linfáticos histológicamente benignos inmersos en tejido conectivo, compatibles con una malformación linfática (fig. 6).
Figura 6 Sección de conducto linfático contrastado con técnica de hematoxilina y eosina.
3. Discusión
Las malformaciones linfáticas son más frecuentes en el sexo masculino, con una relación 3:2 con respecto al sexo femenino. La localización abdominal más frecuente en la edad pediátrica es el mesenterio, en el 45% de los casos, seguido por epiplón, mesocolon y retroperitoneo7. Estas malformaciones pueden presentar características macro o micro quísticas, en su mayoría lobuladas, con un contenido linfático y/o hemorrágico. Las malformaciones linfáticas tienden a presentarse en tejidos laxos, donde pueden expandirse y crear amplios espacios quísticos8. Pueden presentar fenómenos de degeneración mixoide inflamatorio, hemorrágico o isquémico y tejido de granulación9.
El paciente inició con un cuadro de distensión abdominal y rechazo al alimento, lo cual es característico en el 80% de los casos de las malformaciones linfáticas abdominales. En estas se pueden ver complicaciones por compresión de estructuras vecinas por parte de la malformación linfática. Algunas de ellas son pielonefritis, por obstrucción ureteral; abdomen agudo, por infección de la malformación; ictericia y anemia, por hemorragia dentro de la misma; hemoperitoneo, por su ruptura5. El paciente, desde el inicio de su sintomatología, presentó un cuadro de anemia microcítica-hipocrómica, la cual es una complicación infrecuente de las malformaciones linfáticas. Si bien se desconocían los déficits nutricionales del paciente, se encuentran bien descritas en la literatura este tipo de anemias asociadas, ya sea por su interacción con órganos adyacentes, como el intestino, lo que puede provocar sangrados del tubo digestivo, o bien por causar pérdida sanguínea crónica intrínseca10.
Para el diagnóstico de las malformaciones linfáticas se utilizan ecografía, tomografía axial computarizada (TAC) y resonancia magnética nuclear. En este caso, con ecografía y TAC abdominal se observó una masa quística multilobulada que se extendía por ambas correderas y hueco pélvico. En la mayoría de los ecosonogramas realizados a pacientes con malformaciones linfáticas, se visualiza una masa hipoecogénica con septos en su interior. La TAC tiene la utilidad de ver la extensión y afectación de otras estructuras, valora si son tumores intraperitoneales, y ciertas características, como heterogeneidad interna, densidad grasa, formación quística y calcificaciones, lo que aporta una idea del grado de benignidad del tumor11.
Una herramienta útil es el ultrasonido prenatal, que ofrece la ventaja de poder identificar la lesión, vigilar su crecimiento y la relación que tiene con los órganos adyacentes. Se postula que estas malformaciones aparecen a partir de la sexta semana de gestación, y son caracterizadas por una imagen hipoecogénica multiseptada de paredes delgadas y dimensiones variables. La sobrevida depende del compromiso de los órganos adyacentes y del manejo en el parto. La mayoría de las series describe una sobrevida que no supera el 20%, sin que aún exista un tratamiento efectivo12,13.
Con respecto al tratamiento de las malformaciones linfáticas abdominales, casi todos los autores recomiendan la extirpación completa de la malformación. Aunque es un proceso benigno, su localización abdominal puede llegar a ser localmente invasiva. No siempre es posible la extirpación completa, lo que se asocia con alta tasa de recurrencia, complicaciones y morbilidad. Si un órgano vital está afectado, la marsupialización de la cavidad interna puede ser una alternativa aceptable. Existen informes aislados de tratamiento de malformaciones linfáticas abdominales con sustancias esclerosantes, como el OK-432 (picibanil), aunque su uso específico es más aceptado en lesiones con localización cervical. Por ello, su aplicación en este tipo de lesiones aún no está definida del todo14. Otras estrategias terapéuticas, como la aspiración y el drenaje percutáneo de la malformación linfática guiados por imagen, han sido realizadas con buenos resultados aunque con escasa experiencia. Estas malformaciones suelen ser radiorresistentes, y no responden a corticoesteroides sistémicos o intralesionales15,16.
Las técnicas laparoscópicas deberían ser consideradas para el tratamiento de las lesiones quísticas seleccionadas de localización intra-abdominal o retroperitoneal. En nuestra opinión, la extirpación completa de toda la masa constituye aún una opción terapéutica segura y exitosa para este tipo de pacientes.
Sin un tratamiento adecuado, las malformaciones linfáticas presentan una alta tasa de recidiva. Nuestro paciente, tras 5 años de evolución posterior a la resección quirúrgica, no ha presentado recidivas ni complicaciones.
Conflicto de intereses
Los autores declaran no tener ningún conflicto de intereses.
Recibido el 25 de julio de 2013;
aceptado el 19 de diciembre de 2013
* Autor para correspondencia.
Correo electrónico:falcon_domenech@hotmail.com (J.A. Fernández Domenech).







