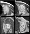
Synovial sarcoma (SS) is a rare malignant neoplasm of the soft tissue adjacent to joints. It is the most commonly diagnosed non-rhabdomyosarcoma soft-tissue sarcoma (STS) in childhood (30%). Its most frequent location is the knee and ankle, and it is the most common STS to affect the foot. Unlike other STS, it has slow growth and an earlier age at diagnosis (adolescents and young adults), which is why many cases are initially misdiagnosed as benign processes. Magnetic resonance imaging (MRI) is key due to its characterisation capabilities as SS shares features with other STS. Definitive diagnosis is achieved through a pathological study that shows the pathognomonic translocation t(x;18)(p11;q11) with the fluorescence in situ hybridisation (FISH) technique. The objective of this article is to highlight the key characteristics that are useful for diagnosing SS, fundamentally through the use of radiological imaging techniques, as well as nuclear medicine and pathological studies, illustrated with cases diagnosed in our centre.
El sarcoma sinovial (SS) es una neoplasia maligna infrecuente del tejido blando adyacente a las articulaciones, siendo el sarcoma de tejidos blandos (STB) de tipo «no rabdomiosarcoma», más diagnosticado en la infancia (30%). Su localización más frecuente es la rodilla y tobillo, representando el STB más común del pie. A diferencia de otros STB, presenta un crecimiento lento y una edad más temprana al diagnóstico (adolescentes y adultos jóvenes), por lo que muchos casos son inicialmente diagnosticados como procesos benignos de forma errónea. La resonancia magnética (RM) es clave para su caracterización, si bien comparte características con otros STB. El diagnóstico definitivo es anatomopatológico, que evidencia la translocación patognomónica t(x;18)(p11;q11) con técnica de hibridación fluorescente in situ (FISH). El objetivo de este artículo, ilustrado con casos diagnosticados en nuestro centro, es resaltar las características claves para el enfoque diagnóstico del SS, fundamentalmente mediante el uso de técnicas de imagen radiológicas, así como estudios de medicina nuclear y anatomopatológicos.














