Suplement “Update and good practice in the contrast media uses”
More infoMagnetic resonance enterography is primarily indicated for inflammatory bowel diseases. The study of the gastrointestinal tract using MRI has become feasible due to the emergence of ultrafast sequences with higher spatial resolution and phased-array coils enabling wider fields of view. However, to ensure the quality of the examination, it is essential to have prior preparation with oral or rectal contrast to distend the lumen and improve the definition of the intestinal wall. These contrast agents can be positive, negative or biphasic, depending on the signal intensity they induce in the intestinal lumen. Most commonly used biphasic contrasts agents behave as hyperintense in T2 and hypointense in T1. Achieving a “black” intestinal lumen in 3D T1-weighted sequences with intravenous contrast injection is crucial for mucosal assessment and parietal enhancement. Although more cost-effective and accessible, biphasic agents like PEG and mannitol are relatively discomforting for patients. While negative agents are preferred, they are currently unavailable. The purpose of this article is to review the different types of contrast agents mentioned in the literature and their application in intestinal resonance, analyzing the effects they generate on the image, their possible indications and associated limitations.
La enterografía por Resonancia Magnética está principalmente indicada en la enfermedad inflamatoria intestinal. El estudio del tracto gastrointestinal mediante resonancia hoy día es posible gracias a la aparición de secuencias ultrarrápidas con mayor resolución espacial y bobinas phased-array que permiten campos de visión de todo el abdomen. Sin embargo, para garantizar la calidad de la exploración es fundamental una preparación previa con contraste oral o rectal para distender la luz y mejorar la definición de la pared intestinal. Estos agentes de contraste pueden ser positivos, negativos o bifásicos, dependiendo de la señal que generen en la luz intestinal. Los contrastes bifásicos son los más empleados en la práctica diaria y se comportan como hiperintensos en T2 e hipointensos en T1. Lograr una luz intestinal "negra" en secuencias 3D ponderadas en T1 con inyección intravenosa de contraste es crucial para la evaluación de la mucosa y el realce parietal. Aunque son más económicos y accesibles, los agentes bifásicos como el PEG y el manitol son relativamente molestos para los pacientes. Los agentes negativos son los más deseados, pero no están disponibles de manera rutinaria. El propósito de este artículo es revisar los diferentes tipos de contrastes mencionados en la literatura para su aplicación en resonancia intestinal, analizando los efectos que generan en la imagen, sus posibles indicaciones y limitaciones asociadas.
For years, the use of magnetic resonance imaging (MRI) to view the abdomen has been a subject of debate, mainly due to its technical limitations. Examination of the bowel by MRI was first introduced in the late 1990s,1,2 taking advantage of technological advances which made imaging of the entire abdomen possible, with acceptable spatial resolution using T1- and T2-weighted sequences. One of the greatest challenges continued to be trying to reduce intestinal motility and the respiratory movements of the diaphragm, which would cause distracting artefacts in the image, but this problem was addressed with the use of spasmolytic medications.3 Improvements in spatial resolution made it possible to study the thin walls of the bowel, which under normal conditions is less than 2 mm thick. With the introduction of phased-array antennae, the field of view was expanded, making it possible to examine the small bowel and colon in a single acquisition. However, to ensure the quality of the scan, prior preparation with bowel contrast agents remains essential to distend the lumen and improve the definition of the intestinal wall. The use of oral contrast media (OCM) in the examination of the gastrointestinal tract (GIT) is widespread and justified, but many continue to be unavailable and are not used routinely. The main indication for bowel contrast in MRI is inflammatory bowel disease, which is why it will be referred to frequently in the text.
The purpose of this article is to review the different types of contrasts mentioned in the literature for their application in intestinal resonance imaging, analysing the effects they generate in the image, their possible indications and their associated limitations.
Contrast agents in magnetic resonance enterographyThe aim of CM in MRI is to improve tissue definition, increase the differences between normal and diseased tissue, and provide functional information by enabling observation of how the degree of enhancement changes over time after administration of the CM.
The CM used in MRI of the bowel are administered orally or rectally and intravenously (IV).
Contrasts for oral and rectal administrationIn MR enterography (MRE) studies, to effectively assess bowel abnormalities, it is essential to achieve good distension of the loops and a homogeneous signal intensity in the lumen, which is why the oral route is the most common. The rectal route is reserved for locoregional staging of rectal cancer, diagnosis of pelvic floor disorders and MR colonography.
Oral contrast agents should generate contrast and cause distension to maximise the interface between the lumen and the mucosa and to assess intestinal elasticity. Poor or inadequate distension may simulate pathological mural thickening, inflammatory enhancement or even mask polypoid lesions4 (Fig. 1). Enteral contrast agents also help reduce susceptible artefacts by displacing air. The sequences most susceptible to artefact due to residual gas are fast spin-echo sequences and steady-state free precession (SSFP) sequences, commonly known as “cine” sequences. These sequences are widely used in MRE, but are very sensitive to this type of artefact.2
An “ideal” oral contrast agent in MRI must meet a series of requirements to ensure its efficacy and safety.4 First, it must be well tolerated by the subject, which means that it should be palatable, easy to prepare and administer, and does not stimulate intestinal peristalsis. In addition, the marking of the GIT should be uniform and evenly distributed to achieve clear visualisation of the bowel. Its signal should not vary regardless of the type of pulse sequence used (T1 or T2 weighting). It is essential that the CM is not absorbed by the systemic circulation or adjacent tissues and that it has zero toxicity. Ideally, it should be excreted completely, preferably unmetabolised, to minimise any risk to the subject. The CM should not cause motion or susceptibility artefacts that could interfere with image interpretation. It should be cost-effective in terms of sensitivity and specificity in diagnosis, without compromising economic efficiency. In addition, it must have a broad safety margin that allows for the lowest possible effective dose to be used without risk to the subject. Lastly, the cost of the CM needs to be acceptable, affordable for the subject and sustainable for the healthcare system.
Contrasts for intravenous administrationIn selected cases, bowel scans are also performed with IV gadolinium (Gd). Numerous studies have shown that the intensity of bowel wall enhancement in individuals with Crohn’s disease (CD) correlates with the degree of inflammatory activity.2,5,6 This is because during the active inflammation phase, blood flow increases towards the bowel, which results in hypertrophic mural enhancement. There are studies in which, on comparing the same bowel segments before and after anti-inflammatory treatment, they found a significant reduction in the intensity of enhancement in relation to therapeutic response.7
Classification of enteric contrast agentsOne way to classify CM administered enterally, either orally or rectally, is based on the intraluminal signal they generate. There are three types of contrast: positive, negative and biphasic. Positive CM increase the signal within the lumen, negative CM decrease the signal within the lumen, and biphasic CM show opposite signal on T1 and T2 (Fig. 2). All provide a uniform contrast column and homogeneous distension.8–13 CM in MRI can also be classified based on the route of administration, the morphology of the molecule, the magnetic susceptibility, the target tissue and the physical/chemical characteristics (osmolarity) of the contrast agent.
Positive contrasts increase the signal within the lumen in both T1- and T2-weighted sequences. They are usually administered orally. Most positive CM are paramagnetic substances based on chelates of Gd or ferrous or manganese (Mn) ions. The bright intraluminal signal determined by positive contrasts helps to distinguish the intestinal wall and pathological processes (hypointense) from intra-abdominal adipose tissue, which is hyperintense on T1- and T2-weighted sequences. The paramagnetic effect of positive contrasts occurs by shortening the relaxation time in T1 with the consequent increase in signal intensity. The intestinal lumen appears bright on a T1-weighted sequence. At high concentrations, paramagnetic substances can behave as biphasic agents, as the shortening of T2 would cause a decrease in the signal, especially in gradient echo sequences, with an effect similar to that of superparamagnetic iron oxide. The purely positive OCM available on the market are enteral Magnevist® (Magnevist, Shering SpA) and Gadolite® (Gd-based; Gadolite, Pharmacyclincs, Inc.), Lumenhance® (Mn-based) and Ferriseltz® (ferric ammonium citrate; Ferriseltz, Otsuka Pharmaceutical Co., Ltd).
Negative contrastsNegative contrasts decrease the intensity of the signal from the lumen by shortening the T2 and T2* relaxation times of the intestinal contents.14 Most are superparamagnetic substances which cause a decrease in the signal in T1- and T2-weighted images. On T2-weighted images, the uniform distribution of negative contrast within the small bowel and colon allows for easier visualisation of dark bowel loops within hyperintense mesenteric adipose tissue, thereby improving overall image quality. In addition, hypointensity of the lumen in T2 helps to distinguish the normal intestinal wall from the pathological process (hyperintense). This group includes perfluorocarbons, carbon dioxide (air), iron oxide particles and other superparamagnetic substances that reduce the signal from the intestinal lumen. The pure negative contrasts marketed are Lumirem® (Lumirem, A.Martins & Fernandes, S.A.) and Gastromark® (iron oxide particles; Gastromark, Adv Magnetics).15
Biphasic contrastsThe concept of “biphasic” CM was introduced to define substances that generate positive and negative contrast depending on the pulse sequence used. Some behave as hyperintense in T1 and hypointense in T2, such as Gd and Mn for enteral use or pineapple juices16 or berries due to their high Mn content. Others, such as water, methylcellulose, phosphoethylene glycol (PEG) and mannitol, appear hypointense in T1 and hyperintense in T2 (Fig. 3). These contrasts are essential to assess the mucosa and wall enhancement in T1-weighted sequences with Gd IV in which the intestinal lumen appears hypointense and the mucosa is hyperintense. They are also the most widely used OCM because they are accessible, relatively cheap and provide good definition.
Biphasic contrast (PEG)-enhanced MRE images in a subject with Crohn’s disease with inflammatory stricture of an ileum segment. Note also the dilation of the segment proximal to the stenosis. a) T2-weighted SSFP sequence. The bowel lumen is hyperintense (positive contrast). b) T1-weighted sequence with IVC. The bowel lumen is hypointense (negative contrast), which facilitates the assessment of mural enhancement (arrow) and mesenteric hypervascularisation known as the “comb sign” (asterisk).
Table 1 shows most of the enteric CM described in the literature and their main limitations. The disadvantages of purely positive and purely negative contrasts are their limited availability and high cost. The limitations of biphasic contrasts are related to their effects on the bowel, as most are osmotic laxatives such as PEG or Mannitol solution. Ultrasound gel and warm saline solution are also biphasic CM. Unlike the above, these are administered in the form of an enema to distend the rectum and the only adverse reaction reported is the feeling of incontinence.
Enteral contrast media classified according to the signal changes they generate in the bowel lumen as positive, negative and biphasic, and their main limitations.
| Positive | Limitations |
|---|---|
| Gd Magnevist chelatesa | High cost |
| Manganesea | Limited availability |
| Foods (milk, juices, oils, green tea) | Storage, expiry date |
| Negative | Limitations |
|---|---|
| Superparamagnetic oral particles | Limited availability |
| Iron in oral suspension | High cost, bad taste, poor availability |
| BiphasicHypo in T1/hyper in T2 | Limitations |
|---|---|
| Water | Rapid absorption, poor distension |
| PEG | Rapid transit, diarrhoea |
| Mannitol | Osmotic effects |
| Methylcellulose | Limited availability |
| Ultrasound gel, warm serum | Feeling of incontinence |
| Barium sulfate | Flavour |
| Low density barium | Diarrhoea |
If we consider the requirements of an ideal OCM, we see that none of them fully meet these requirements. The lack of a widely available OCM is the main limitation of MRI in the assessment of the GIT.17 Purely positive and purely negative contrasts are highly desirable in clinical practice because they are better tolerated by the subject, but they are not routinely available.
Indications for enteric contrast agentsThe main indication for administering an OCM in MRI studies is MRE, currently considered a fundamental imaging test in CD.8 MRE is a complementary technique to ileocolonoscopy (reference standard) which, in addition to detecting lesions in the intestinal mucosa, enables quantification of the degree of inflammatory activity,18 monitoring the response to treatment and identifying transmural and extramural complications which are invisible to the endoscopist but relatively common in CD. Recent studies have shown that transmural healing seen on MRI images is associated with a better long-term prognosis than that seen with endoscopic techniques, so MRE could become the reference technique for assessing treatment response or predicting disease progression.19
MRE has significant advantages over CT enterography and traditional barium fluoroscopic examinations. It does not use ionising radiation, a very important advantage for subjects with IBD, as many of them start at an early age. The higher contrast resolution and the possibility of obtaining dynamic sequences with IV contrast give MRI greater sensitivity for detecting ulcers and hyperaemia of the bowel wall. MRE has a high degree of accuracy in detecting inflammatory disease with a sensitivity of 97% and a specificity of 96%.20 For demonstrating the presence of activity, the sensitivity is 96% and the specificity 83%. It also provides information on the motility of the loops with the “cine” sequences. Observation of peristalsis can help detect areas of inflammation, fibrosis, stricture, adhesions and masses. An additional property of MRE in CD is the ability to identify perianal fistulas, which are present in 25% of subjects, in the same abdominal scan. For the diagnosis and follow-up of CD, some authors have recommended a warm saline solution enema complementary to MRE to obtain an assessment of the entire colon and improve distension of the distal ileum.21
Other less common indications for OCM-related MRE are non-IBD-related enteritis which may be caused by infection or vasculitis or be radiation- or drug-related. MRE is also useful in the detection of masses and polyps, in the assessment of low-grade obstructions, in adhesion syndrome and in coeliac disease.
MR colonography is proposed as an alternative to colonoscopy for the detection of polyps. Regarding its diagnostic performance for colorectal cancer screening, the data are promising, but still heterogeneous.22
The administration of an ultrasound gel enema or warm saline solution is also indicated in the locoregional staging of rectal cancer and pelvic floor study, acting as a biphasic CM.
There are non-enterographic applications of OCM in MRI. For example, in MR cholangiography for the study of the biliary tract, the prior administration of an OCM such as Gd in high concentrations may be useful to cancel the T2 hypersignal of the duodenum and the gastric chamber which often overlaps with the pancreatic ducts and the common bile duct.23 Another alternative use of oral contrast would be to detect focal hepatic lesions in individuals with impaired kidney function who cannot be given IV Gd. Mn chloride tetrahydrate is an OCM which is absorbed in the GIT and transported to the liver via the portal circulation. It is deposited on healthy parenchyma, giving it a bright signal, similar to that obtained in the delayed phase of hepatobiliary contrast. Low signal liver areas may reflect diseased or vascular tissue.24
Lastly, MRE may be an alternative to CT during pregnancy, trying to avoid the first trimester and assuming that the potential benefit outweighs the possible risks. There are no restrictions regarding the use of PEG during pregnancy, as it is minimally absorbed by the intestine and excreted in urine without being metabolised, but spasmolytic agents and intravenous CM are contraindicated.
Table 2 shows the indications for enteric contrast agents in MRI scans.
Indications for enteric contrast-enhanced MRI.
| Diagnosis of IBD | Extent, distribution and activity |
| IBD follow-up | Activity and therapeutic response |
| IBD complications | Stricture, obstruction, penetrating disease |
| Non-IBD enteritis | Infection, vasculitis, radiation enteritis, pharmacological |
| SB masses/polyps | Hypointense with respect to the intestinal lumen |
| Adhesions | Bowel distension, changes in lumen, peristalsis |
| Low grade obstruction | Bowel distension, changes in lumen, peristalsis |
| Coeliac disease | Inverted pattern of jejunoileal folds |
| MR colonography | Rectal CM. Stricture, polyps |
| Study of motility | Oesophagus, stomach, SB, colon, rectum-anus (defaecography) |
| Staging of rectal Ca | Rectal CM. Biphasic. Ultrasound gel |
| Pelvic floor | Rectal CM. Biphasic. Ultrasound gel |
| Study of the bile tract | Diluted oral gadolinium. Cancels the T2 signal of the duodenum in T2-weighted sequences |
| MRI of liver | Oral manganese chloride dihydrate. Detection of liver lesions |
| Pregnancy | Without IV contrast or spasmolytics |
To achieve a high success rate in MRE, it is essential to use the appropriate technique. For the study of the small bowel, the main aim is to achieve an optimal degree of luminal distension using minimally invasive methods and with reduced scanning times to minimise artefact caused by movement. The subject needs to fast for at least 4 hrs before the examination to facilitate the ingestion of the OCM and obtain homogeneous peristalsis. No prior bowel preparation is required.
Biphasic OCM are the most commonly used in MRE. For bowel distension, a solution of 1,000 to 1,500 ml of 25 mg of sorbitol diluted in water is ingested 45 min prior to examination. Osmotic agents such as mannitol, PEG or methylcellulose can also be used. In children, the ingestion of a volume of 20 ml/kg body weight is indicated until reaching the maximum dose for adults. Additionally, 250 to 500 ml of water or OCM may be ingested immediately prior to the scan to distend the stomach and proximal small bowel. To improve image quality and decrease intestinal peristalsis, 20 mg of N-butyl-scopolamine IV diluted in 50 ml of saline solution is used. In an attempt to optimise its effect, many centres divide this dose into 10 mg at the beginning of the examination and the other 10 mg immediately before the administration of the IV contrast. Buscopan is contraindicated in subjects with urinary retention and prostatic hypertrophy. In these cases, 1 mg of IV glucagon could be administered, except in diabetic subjects.
MR-enteroclysis differs from MRE only in the way OCM is administered, as it is given through a nasojejunal tube. This technique is presently in disuse because it is invasive and poorly tolerated by the subject,25 but it is more sensitive for detecting disease in the jejunum.
The double contrast technique combines OCM with IV injection of Gd at a standard dose of 0.1 to 0.2 mmol/kg. The basis of this technique lies in the increase in contrast between the wall, with positive enhancement when affected by an inflammatory or cancerous process, and the lumen, markedly hypointense in T1 due to the effect of intraluminal contrast.
The basic MRE protocol includes fast T2-weighted sequences and coronal plane free precession (SSFP) sequences to provide motion-free assessment of the bowel wall, mesentery, and non-bowel structures (Fig. 4). Thick-slice cine sequences (SSFP) in the coronal plane allow assessment of peristalsis and distinction between non-distended loops and loops with inflammatory changes. Fat-suppressed T2-weighted sequences (Fig. 5a) detect intestinal wall oedema and extraluminal fluid collections. Dynamic MRE with fat-suppressed T1-weighted sequences provides considerable contrast between the mural lesion and the healthy wall in early (20 sec), late (60 sec) and delayed (5 and 7 min) phases, preferably acquired in the coronal plane. These dynamic sequences are also used to quantify mural enhancement and mesenteric vascularisation (Fig. 5b). Diffusion-weighted imaging with b values of 0–800 s/mm2 are not necessary, but can help detect inflammation and collections (Fig. 5c). Some authors advocate performing shorter protocols with T2- and diffusion-weighted sequences, and administering IV contrast only when abnormal findings are detected.26 The axial plane is useful for detecting fistulas and abscesses in penetrating disease (Fig. 6a and b). To describe the abnormal findings in MRE studies, there is a standardised nomenclature to serve as a guide for the preparation of precise, homogeneous and quality radiological reports which facilitate communication between the different specialists involved in IBD.27
SSFP T2-weighted MRE image in the coronal plane. Two consecutive ileal strictures (asterisks) with sacculation between the strictures (arrow) in a patient with CD. The coronal plane also allows assessment of non-intestinal structures and the mesentery. Note the hyperaemia of the vasa recta afferent to the diseased segment (arrowhead).
Axial plane MRE images of an inflammatory ileitis in a subject with CD. a) T2-weighted sequence with fat suppression allowing detection of mural oedema (arrow) and ulcers (arrowhead). b) T1-weighted sequence with IVC to identify the mural enhancement/thickening (asterisk). This sequence also allows the detection of ulcers (arrowhead). c) Diffusion-weighted sequence, optional, but very sensitive for ruling out inflammation and collections. Restriction of diffusion is seen in the wall of the inflamed ileal loop (arrow).
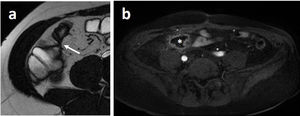
Axial plane MRE images, very useful for detecting penetrating disease and extraintestinal abnormalities. a) T2-weighted SSFP sequence showing an ileocolic fistula (arrow). b) 3D T1-weighted sequence with IV contrast. A hypointense mesenteric collection can be seen with peripheral enhancement (asterisk) compatible with an abscess.
Good distension is also necessary in MR colonography. In the days leading up to the procedure, the subject needs to follow a low-residue bowel cleansing diet with a cathartic agent, which also adheres to the stool to differentiate it from other filling defects. Unlike colonoscopy, a clean colon is not a prerequisite for lesion detection so long as adequate delineation of the bowel wall is achieved and residual stool is easily distinguishable from abnormalities. However, there is no consensus on this.
There are two preparation strategies,28 dark lumen and bright lumen.
The dark lumen strategy uses ambient air, water, carbon dioxide, and even a fat enema to distend the colon, resulting in a hypo-signal from the lumen. Gaseous distending agents, such as ambient air or carbon dioxide, may be administered through a rectal tube, either by manual or automated insufflation. The automatic method provides superior distension.
The bright lumen strategy uses water mixed with Gd. In general, water-based colon distension is achieved after rectal administration of 2 to 2.5 l through a rectal tube under hydrostatic pressure. One disadvantage of the bright lumen strategy is the large amount of CM required for the water/Gd mixture compared to the dark lumen strategy. Residual air and faeces can also negatively affect diagnostic accuracy. In the bright lumen strategy, dual positioning (supine and prone) is normally used so that faeces or air are displaced.
In both strategies, lesion detection is performed with 3D T1-weighted sequences, with an isotropic voxel size that allows for multiplanar reconstruction. The study is completed with a 2D T2-weighted sequence to resolve problems when T1-weighted images are altered by artefacts.28 Dynamic IV contrast study is performed only in the dark lumen strategy and is very useful for differentiating polyps from stool remains or residual gas.
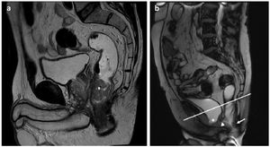
Other protocolsFor locoregional staging of rectal cancer, pelvic floor studies and defaecography, a 70–100 ml enema of ultrasound gel or warm saline solution is administered manually with a wide cone syringe. The sagittal plane is very useful in rectal studies (Fig. 7a and b). T1-weighted, T2-weighted and diffusion-weighted morphological sequences are usually used. To study the dynamics of the pelvic floor, SSFP “cine” sequences identical to those of the MRE are obtained, but in the sagittal plane. IV contrast is not routinely administered.
Pelvic MRI images with T2-weighted sequences in the sagittal plane after rectal administration of ultrasound gel (biphasic contrast). a) Cancer of the lower rectum (asterisk). b) Weakness of the pelvic floor with cystocele (asterisk), peritoneocele (arrowhead) and rectocele (arrow).
PCL: pubococcygeal line.
MR cholangiography uses heavily T2-weighted sequences that can be implemented with the administration of 3 ml of Gd diluted in 200 ml of water to decrease the signal of the GIT fluids that overlie the biliary tree and pancreatic ducts.23 Paramagnetic substances such as Gd and Mn at high concentrations behave as biphasic agents which are hyperintense in T1 and hypointense in T2. T2 shortening causes a decrease in signal, especially in gradient echo sequences, with an effect similar to that of superparamagnetic iron oxide.
ConclusionsThe study of the GIT by MRI requires prior preparation with high volumes of oral or rectal contrast to distend the lumen and improve the definition of the intestinal wall. Oral and rectal CM may be positive, negative or biphasic, depending on the changes they generate in the intestinal lumen. Biphasic contrasts have an opposite signal in T1 and T2. The ones most commonly used behave as hyperintense in T2 and hypointense in T1. Achieving a “black” intestinal lumen in 3D T1-weighted gradient-echo sequences with IV contrast is essential for assessing the mucosa and parietal enhancement. The cheapest and most accessible gastrointestinal CM are PEG and Mannitol (biphasic agents), but they are unpleasant for the subject. Negative agents are the most desirable, but are not available. The main indication for MRE is IBD. MR colonography is considered a promising alternative to colonoscopy in colorectal cancer screening.
FundingThis study received no specific grants from public agencies, the commercial sector or non-profit organisations.
CRediT authorship contribution statement- 1
Responsible for study integrity: ACT, MDT, AFV, PNM, RMO and PGF
- 2
Study conception: ACT
- 3
Study design: ACT
- 4
Data collection: ACT, MDT, AFV, PNM, RMO and PGF
- 5
Data analysis and interpretation: ACT, MDT, AFV, PNM, RMO and PGF
- 6
Statistical processing: ACT
- 7
Literature search: ACT, MDT, AFV, PNM, RMO and PGF
- 8
Drafting of the article: ACT
- 9
Critical review of the manuscript with intellectually relevant contributions: ACT and MDT
- 10
Approval of the final version: ACT, MDT, AFV, PNM, RMO and PGF












