metricas
covid
Radiología (English Edition) Computed tomography of complicated Meckel's diverticulum in adults
Journal Information
Vol. 61. Issue 4.
Pages 297-305 (July - August 2019)
Visits
876
Vol. 61. Issue 4.
Pages 297-305 (July - August 2019)
Radiology through images
Computed tomography of complicated Meckel's diverticulum in adults
Tomografía computarizada del divertículo de Meckel complicado en adultos
Visits
876
C. Parra-Fariñasa,
Corresponding author
carmenparrafarinas@gmail.com

Corresponding author.
, S. Quiroga-Gomeza, S. Castro-Boixb, F. Vallribera-Vallsb, E. Castellà-Fierroa
a Departamento de Radiología, Hospital Universitari Vall d’Hebron, Barcelona, Spain
b Departamento de Cirugía General y Digestiva, Hospital Universitari Vall d’Hebron, Barcelona, Spain
This item has received
Article information
Abstract
Full Text
Bibliography
Download PDF
Statistics
Figures (8)
Show moreShow less
Abstract
Objective

To review the embryology, the clinical findings and the appearance in multidetector computed tomography (MDCT) of complicated Meckel's diverticulum (DM) in adults.

Conclusion

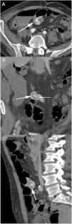
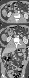
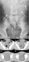
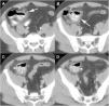
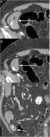
The presence of an MD in a MDCT should be suspected when a blind tubular structure connected to the terminal ileum by a neck of variable size is observed. Multiplanar 2D reconstructions images and CT enterography can help in the diagnosis. In patients with symptoms of obstruction or intestinal inflammation, the possibility of a complication secondary to a MD should be considered, especially when the terminal ileum and the vermiform appendix are normal. MDCT angiography, in cases of acute gastrointestinal bleeding, can identify contrast extravasation and accumulation of blood in the MD, and could demonstrate the persistent omphalomesenteric artery, which is diagnostic of MD. Other MDCT findings such as the presence of enteroliths or associated inflammatory changes around the MD can facilitate the preoperative diagnosis of MD complications.

Keywords:
Meckel diverticulum
Embryology
Diverticular diseases
Computed tomography multidetector
Resumen
Objetivo

Revisar la embriología, los hallazgos clínicos y la apariencia en la tomografía computarizada multidetector (TCMD) del divertículo de Meckel (DM) complicado en adultos.

Conclusión

La presencia de un DM en una TCMD debe sospecharse cuando se observa una estructura tubular ciega conectada al íleon terminal por un cuello de tamaño variable. Las reconstrucciones multiplanares y la enterografía por TC pueden ayudar al diagnóstico. En pacientes con síntomas de obstrucción o inflamación intestinal, se debe considerar la posibilidad de un DM complicado; especialmente cuando el íleon terminal y el apéndice vermiforme son normales. La angiografía por TCMD, en casos de hemorragia digestiva aguda, puede identificar extravasación de contraste y acumulación de sangre en el DM. La observación de la arteria onfalomesentérica es diagnóstica de DM. Otros hallazgos en la TCMD, como la presencia de enterolitos o cambios inflamatorios en torno al DM, pueden facilitar el diagnóstico.

Palabras clave:
Divertículo de Meckel
Embriología
Enfermedades diverticulares
Tomografía computarizada multidetector

Article

These are the options to access the full texts of the publication Radiología (English Edition)
Subscriber
Subscriber

If you already have your login data, please click here .

If you have forgotten your password you can you can recover it by clicking here and selecting the option “I have forgotten my password”
Purchase
Purchase article

Purchasing article the PDF version will be downloaded

Purchase now
Contact
Phone for subscriptions and reporting of errors
From Monday to Friday from 9 a.m. to 6 p.m. (GMT + 1) except for the months of July and August which will be from 9 a.m. to 3 p.m.
Calls from Spain
932 415 960
Calls from outside Spain
+34 932 415 960
E-mail