Delayed cerebral ischemia is a common complication after aneurysmal subarachnoid hemorrhage, which accounts for high morbidity and mortality in these patients. Predictors for this complication's development are necessary to ensure the prevention and adequate management of this complication. We aim to assess radiological features and anatomic variations as predictors of delayed cerebral ischemia.
MethodsWe performed a retrospective cohort analysis of a sample with aneurysmal subarachnoid hemorrhage between 2015 and 2019. Patients were classified according to the presence of delayed cerebral ischemia, and our statistical analysis sought predictors of delayed cerebral ischemia and bad neurological outcome.
ResultsEighty-two patients were included in our study. Delayed cerebral ischemia occurred in 30 patients (36.6%). Hydrocephalus at admission (odds ratio [OR], 7.84; 95% confidence interval [CI], 2.02–52.75), intracerebral hematoma on initial computed tomography scan (OR, 5.80; 95% CI, 1.48–46.61), global cerebral edema (odds ratio [OR], 5.78; 95% confidence interval [CI], 1.61–110.59), anatomic variations (odds ratio [OR], 8.28; 95% confidence interval [CI], 2.81–232.41), higher values of systolic blood pressure on admission (odds ratio [OR], 6.56; 95% confidence interval [CI], 1.01–1.06), and smoking history (OR, 5.14; 95% CI, 1.35–64.92) were significantly associated with the development of delayed cerebral ischemia. Both anatomical variations (P = .018) and hydrocephalus (P = .019) were statistically correlated with a bad neurological outcome.
ConclusionsPatients with anatomic variations and radiological injuries on admission are more likely to develop delayed cerebral ischemia during the hospital stay. A larger infarct territory can explain a worse neurological outcome in patients with anatomic variations.
La isquemia cerebral tardía es una complicación común después de la hemorragia subaracnoidea aneurismática, lo que explica la alta morbilidad y mortalidad en estos pacientes. Los predictores del desarrollo de esta complicación son necesarios para asegurar la prevención y el manejo adecuado de esta complicación. Nuestro objetivo es evaluar las características radiológicas y las variaciones anatómicas como predictores de isquemia cerebral tardía.
MétodosRealizamos un análisis de cohorte retrospectivo de una muestra con hemorragia subaracnoidea aneurismática entre 2015-2019. Los pacientes fueron clasificados según la presencia de isquemia cerebral tardía, y nuestro análisis estadístico buscó predictores de isquemia cerebral tardía y mala evolución neurológica.
ResultadosOchenta y dos pacientes fueron incluidos en nuestro estudio. La isquemia cerebral tardía ocurrió en treinta pacientes (36,6%). Hidrocefalia al ingreso (odds ratio [OR], 7,84; intervalo de confianza [IC] del 95 %, 2,02-52,75), hematoma intracerebral en la tomografía computarizada inicial (OR, 5,80; IC del 95 %, 1,48-46,61), edema cerebral global (odds ratio [OR], 5,78; intervalo de confianza [IC] del 95 %, 1,61-110,59), variaciones anatómicas (odds ratio [OR], 8,28; intervalo de confianza [IC] del 95 %, 2,81-232,41), valores más elevados de presión arterial sistólica presión al ingreso (odds ratio [OR], 6,56; intervalo de confianza [IC] del 95 %, 1,01-1,06) y los antecedentes de tabaquismo (OR, 5,14; IC del 95 %, 1,35-64,92) se asociaron significativamente con el desarrollo de retraso cerebral isquemia. Tanto las variaciones anatómicas (p=0,018) como la hidrocefalia (p=0,019) se correlacionaron estadísticamente con un mal resultado neurológico.
ConclusionesLos pacientes con variaciones anatómicas y lesiones radiológicas al ingreso tienen mayor probabilidad de desarrollar isquemia cerebral tardía durante la estancia hospitalaria. Un mayor territorio de infarto puede explicar un peor resultado neurológico en pacientes con variaciones anatómicas.
Subarachnoid hemorrhage (SAH) is a neurologic emergency with high rates of mortality and morbidity.1 Non-traumatic SAH comprises 3% of all stroke types, most commonly associated with the rupture of an aneurysm (80%).1,2 The annual incidence of aneurysmal SAH is 9/100 000 people in the United States and with approximately 600 000 cases worldwide.1 Mortality approaches 50%, and it has a reduction in health-related quality of life, which has been reported to occur in 35% of patients 1 year after SAH, with only one-third of patients demonstrating full recovery after treatment.1,2
Patients can deteriorate days after SAH because of delayed cerebral ischemia (DCI), one of the most feared complications of aneurysmal SAH (aSAH).3 DCI occurs in approximately 30% of patients with aSAH and accounts for 30%–40% of their deaths and permanent severe neurologic deficits.4,5 Although vasospasm is a significant contributor to DCI, there is a discrepancy between angiographic findings and clinical signs of stroke.6 Clinical, laboratory values, ultrasound parameters, and radiological findings have been proposed as risk predictors of this complication.7
Early identification of patients at high risk of developing DCI allows better clinical decision-making for the length of hospital stay and management to prevent irreversible brain damage.8 For that reason, many studies have developed several grading scales.4,9 These scales include mostly clinical predictors such as clot thickness, poor clinical admission status, aneurysm location, and aSAH management.4,9 Other studies have tested cerebral vascular reactivity and serum biomarkers, such as kallikrein.10,11 On the other hand, anatomical variants and other radiological findings could play a major role in the pathophysiology of DCI not described in the literature before. Therefore, this study aimed to establish these features as potential risk factors of DCI in this retrospective cohort.
MethodsStudy designWe performed a retrospective review of non-probabilistic consecutive sample of patients who had studies by angiography and follow-up by Transcranial Doppler with aSAH for 4 years (2015–2019) at a single major academic hospital in Bogota, Colombia. The inclusion criteria were adult patients (>18 yr) who were admitted and treated in our institution within the first 5 days of SAH. Patients with a diagnosis different from aSAH, treatment, and diagnosis outside our institution, and admission after 5 days of aSAH presentation were excluded. Overall, 82 patients were included in the study. Only 2 patients were excluded due to a late admission (15 days after aSAH) and a patient presenting with Call Fleming syndrome.
Clinical and radiological predictor variablesClinical data from patients were collected retrospectively. This included demographic baseline variables and past medical history (cardiovascular disease, diabetes, and tobacco use). We assessed the neurological status on admission with the Hunt-Hess scale (HH), the World Federation of Neurosurgeons Scale (WFNS), and the Glasgow Coma Scale (GCS).
Hydrocephalus was defined as an Evans index higher than 0.3 on CT scan admission.12,13 For the diagnosis of global cerebral edema, we used the Claassen et al. criteria1: Complete or near-complete effacement of the hemispheric sulci and basal cisterns, and2 bilateral and extensive disruption of the hemispheric gray–white matter junction at the level of the centrum semiovale, which was due to either blurring or diffuse peripheral “fingerlike” demarcation of the usual boundary between gray and white matter.14
Normal brain circulation has a supply of 2 internal carotids divided into 1 anterior cerebral artery and 1 middle cerebral artery, and 2 vertebral arteries, connected by a central anastomosis. The 2 anterior cerebral arteries are joined together by an anterior communicating artery, and a posterior communicating artery, branch of the internal carotid, joins the posterior cerebral artery, completing the classical arterial circle. Absence, duplication, or hypoplasia of these normal vessels and persistent fetal intracranial arteries were considered as anatomical variations.15,16
Vasospasm was defined as the presence of a moderate-to-severe narrowing (greater than 25%), by comparing the diameter of the affected artery with the prenarrowing segment or to the most distal segment on the DSA.17 Using transcranial Doppler (TCD), vasospasm was defined with a mean flow velocity (mFV) >120 cm/sg.18,19 Patients were considered to have DCI if they had a new clinical deterioration (e.g., new focal deficit or decrease in the level of consciousness, or both) and new infarct on CT scan that was not visible on the admission or immediate post-operative scan.7 TCD ultrasonography examinations were performed using a 2-MHz handheld transducer probe via the transtemporal window, depth of insonation varied between 50 and 60 mm for the evaluation of the MCA, and it was carried out when there was clinical suspicion of vasospasm or as per our institution protocol (3 TCD examinations/day, 8 h apart, from bleeding day 3 to day 7; 2 TCD examinations/day, 12 h apart, from bleeding day 8 to day 11; and 1 TCD examination/day from bleeding day 12 to day 14).
SAH managementAll patients with aSAH underwent treatment according to our standardized institutional protocol and received intravenous fluids to maintain euvolemia and oral/enteral nimodipine 60 mg every 4 h. Treatment selection between surgical clipping and endovascular coiling resulted from a consensus reached between the treating neurosurgeon and the interventional neuroradiologist after analyzing risks and chances of success of both therapeutic modalities for each case. Hyperdynamic therapy (primarily induced hypertension) was initiated in cases of presumed ischemic neurological deficits secondary to DCI before angiographic confirmation of vasospasm. All patients underwent DSA, ultrasound Doppler examination, and CT scan on admission. DSA was performed to rule out vasospasm. A CT scan of the head was performed before the intervention, both to exclude other causes of neurologic worsening (e.g., rebleeding and hydrocephalus). Endovascular therapy was used only for cerebral vasospasm with persistent neurologic deficit resistant to conservative management.
Statistical analysisCategorical variables were reported as proportions. Continuous variables were reported using either mean ± standard deviation (SD) or median (interquartile range [IQR]) as appropriate according to the distribution of the data. In each group, categorical variables were compared using the Chi-square test, and for continuous variables, we used the T-test or the Mann–Whitney U-test as appropriate according to the distribution of the data. We performed a univariate binary logistic regression model using the factors found to predict delayed cerebral ischemia development. Then, we applied boxplots for depicting numerical data of the variables. For all comparisons, a P-value of <.05 was considered statistically significant. All statistical analyses were performed using IBM SPSS statistics version 23 software (IBM Corp., Armonk, New York, USA).
ResultsThe study comprised 60 female patients (73.2%), and the mean age of the sample was 62.15 (±13.11). Most aneurysms were located in the anterior circulation (95.1%). Neurological status at presentation was overall good, with more than half of patients having low WFNS grades (I–II; 60.97%), HH scores (I–II; 53.65%), and GCS 14 (IQR 11–15). Most aneurysms underwent surgical clipping (62.2%), and only 3 patients (3.6%) received only medical management because these patients died before being taken to surgical management, these data were collected until they died.
Vasospasm was diagnosed in patients by either CTA, DSA, or TCD ultrasonography, with 37.8%, in this cohort. DCI occurred in 30 patients (36.6%), and the mean day of presentation was 6.89 (±4.59). There was a good correlation between vasospasm and DCI, as this coexisting phenomenon occurred in 16 of 30 patients (53.3%). Twenty-five patients (30.5%) had hydrocephalus, 20 patients (24.4%) had an intracerebral hemorrhage, and 14 patients (17.1%) had global cerebral edema on admission CT. In TCD, the highest peak systolic blood flow velocity and mean blood flow velocity were 296 and 199.92 cm/sg, respectively, while the lowest values reported in the sample were 25.48 and 14.76 cm/sg for the middle cerebral artery in 62 patients. Twenty patients had an inadequate window for the middle cerebral artery.
Clinical characteristics and ultrasound parameters of patients with and without DCI are compared in Table 1. Smoking history, high values of systolic blood pressure, GCS, global cerebral edema, intracerebral hemorrhage, hydrocephalus, angiographic vasospasm, type of intervention, diameter>10 mm of the aneurysm, the presence of anatomic variants, peak systolic velocity, and mean flow velocity were all associated with DCI (Table 1). In particular, patients with DCI had higher values peak systolic flow (median, 89.95 [IQR 61.75–138.45] vs median, 62.74 [IQR 41.59–90.79]), and mean flow velocity (median, 52.46 [IQR 32.43–79.37] vs median, 36.35 [IQR 22.74–60.68]) (Fig. 1).
Characteristics of patients with aSAH according to the presence of DCI.
| Variable | Delayed cerebral ischemia | P-value | |
|---|---|---|---|
| Yes | No | ||
| n=30 (36.6%) | n=52 (63.4%) | ||
| Age in years (mean; SD) | 62.7 (±12.86) | 61.82 (±13.37) | .77 |
| Female gender | 23 (76.7%) | 37 (71.2%) | .58 |
| Premorbid antiplatelet therapy | 2 (6.7%) | 4 (7.7%) | .86 |
| Premorbid statins therapy | 3 (10%) | 2 (3.8%) | .26 |
| Smoking history | 13 (43.3%) | 9 (17.3%) | .01 |
| Hypertension | 19 (63.3%) | 33 (63.5%) | .99 |
| Diabetes mellitus | 3 (10%) | 3 (5.8%) | .47 |
| Systolic blood pressure at admission (mean; SD) | 158.63 (±35.65) | 140.73 (±21.90) | .006 |
| GCS at admission (median; IQR) | 13 (IQR 8.5–15) | 15 (IQR 12–15) | .015 |
| Circulation location of aneurysm | |||
| Anterior | 29 (96.7%) | 49 (94.2%) | .62 |
| Posterior | 1 (3.3%) | 3 (5.8%) | |
| HH at admission | |||
| 1 | 5 (16.7%) | 18 (34.6%) | .10 |
| 2 | 6 (20%) | 15 (28.8%) | |
| 3 | 9 (30%) | 13 (25%) | |
| 4 | 8 (26.7%) | 5 (9.6%) | |
| 5 | 2 (6.7%) | 1 (1.9%) | |
| WFNS at admission | |||
| 1 | 10 (33.3%) | 26 (50%) | .17 |
| 2 | 3 (10%) | 11 (21.2%) | |
| 3 | 3 (10%) | 2 (3.8%) | |
| 4 | 12 (40%) | 11 (21.2%) | |
| 5 | 2 (6.7%) | 2 (3.8%) | |
| mFS at admission | |||
| 1 | 0 (0.0%) | 5 (9.6%) | .26 |
| 2 | 3 (10%) | 8 (15.4%) | |
| 3 | 8 (26.7%) | 13 (25%) | |
| 4 | 19 (63.3%) | 26 (50%) | |
| Global cerebral edema | 12 (40%) | 2 (3.8%) | <.001 |
| Intracerebral hemorrhage | 12 (40%) | 8 (15.4%) | .012 |
| Hydrocephalus | 17 (56.7%) | 8 (15.4%) | <.001 |
| Vasospasm | 16 (53.3%) | 15 (28.8%) | .028 |
| SAH management | .06 | ||
| Clinical | 3 (10%) | 0 (0%) | |
| Microsurgical clipping | 18 (60%) | 33 (63.5%) | |
| Endovascular | 9 (30%) | 19 (36.5%) | |
| Aneurysm size >10 mm | 12 (40%) | 8 (15.4%) | .012 |
| Anatomical variations | 12 (40%) | 3 (5.8%) | <.001 |
| Leukocytes per mm3 (mean; SD) | 12 192.66 (±3502.19) | 12 328.26 (±4271.84) | .88 |
| Sodium (meq/L) (mean; SD) | 139.63 (±3.61) | 140.11 (±4.44) | .61 |
| Hemoglobin (g/dl) (mean; SD) | 13.98 (±1.88) | 14.08 (±1.91) | .81 |
| PSV cm/sg (median; IQR) n=62 | 94.44 (IQR 70.83–148.15) | 62.74 (IQR 42.55–102.24) | .005 |
| EDV cm/sg (median; IQR) n=62 | 32.66 (IQR 18.47–50.39) | 22.65 (IQR 12.71–36.96) | .053 |
| mFV cm/sg (median; IQR) n=62 | 58.61 (IQR 36.8–93.02) | 36.35 (IQR 22.8–62.91) | .02 |
| PI (median; IQR) n=62 | 1.22 (IQR 0.89–1.45) | 1.12 (IQR 0.91–1.32) | .52 |
Abbreviations: GCS, Glasgow comma scale; HH, Hunt and Hess grade; IQR, interquartile range; mFS, modified Fisher Scale; WFNS, World federation of Neurological Surgeons scale; SAH, subarachnoid hemorrhage; SD, standard deviation; PSV, Peak systolic velocity; EDV, End diastolic blood velocity; mFV, Mean flow velocity; PI, Pulsatility index; n (%); IQR, Interquartile range; SD, standard deviation.
Box-plot of peak systolic velocity and mean flow velocity corresponding to delayed cerebral ischemia. In the box-plot, the central rectangle spans the first quartile to the third quartile (interquartile range). A bold segment inside the rectangle shows the median and “whiskers” above and below the box showing the minimum and maximum; outside box-plot points are outliers.
Further analysis of neurological outcome at discharge revealed that 12 characteristics were involved with this outcome: age, neurological status at admission (GCS, HH scale, WFNS, and MFS), hydrocephalus, DCI, the presence of an anatomical variant, peak systolic velocity, mFV, and pulsatility index (Table 2). On univariate logistic regression, systolic blood pressure, the presence of anatomic variants, global cerebral edema, intracerebral hemorrhage, and hydrocephalus had a statistically significant association with the development of DCI (Table 3). In multivariate analysis, none of these variables remained significant.
Characteristics of the sample in the groups with and without bad neurological outcome.
| Variable | Bad neurological outcome | P-value | |
|---|---|---|---|
| Yes | No | ||
| n=43 (52.43%) | n=39 (47.56%) | ||
| Age in years (mean; SD) | 64.62 (±12.62) | 59.41 (±13.19) | .072 |
| Female gender | 31 (72.1%) | 29 (74.4%) | .81 |
| Premorbid antiplatelet therapy | 5 (11.6%) | 1 (2.6%) | .12 |
| Premorbid statins therapy | 3 (6.9%) | 2 (5.1%) | .73 |
| Smoking history | 13 (30.2%) | 9 (23.1%) | .47 |
| Hypertension | 30 (69.8%) | 22 (56.4%) | .21 |
| Diabetes mellitus | 5 (11.6%) | 1 (2.6%) | .12 |
| Systolic blood pressure at admission (mean; SD) | 151.88 (±32.45) | 142.20 (±23.67) | .13 |
| GCS at admission (median; IQR) | 12 (IQR 10–15) | 15 (IQR 14–15) | .001 |
| Circulation location of aneurysm | |||
| Anterior | 40 (93%) | 38 (97.4%) | .35 |
| Posterior | 3 (6.9%) | 1 (2.6%) | |
| HH at admission | |||
| 1 | 10 (23.3%) | 13 (33.3%) | .004 |
| 2 | 5 (11.6%) | 16 (41%) | |
| 3 | 16 (37.2%) | 6 (15.4%) | |
| 4 | 9 (20.9%) | 4 (10.3%) | |
| 5 | 3 (6.9%) | 0 (0%) | |
| WFNS at admission | |||
| 1 | 13 (30.2%) | 23 (58.9%) | .008 |
| 2 | 5 (11.6%) | 9 (23.1%) | |
| 3 | 4 (9.3%) | 1 (2.6%) | |
| 4 | 18 (41.9%) | 5 (12.8%) | |
| 5 | 3 (6.9%) | 1 (2.6%) | |
| mFS at admission | |||
| 1 | 1 (2.3%) | 4 (10.3%) | .02 |
| 2 | 2 (4.7%) | 9 (23.1%) | |
| 3 | 11 (25.6%) | 10 (25.6%) | |
| 4 | 29 (67.4%) | 16 (41%) | |
| Global cerebral edema | 10 (23.3%) | 4 (10.3%) | .12 |
| Intraparenchymal hemorrhage | 12 (27.9%) | 8 (20.5%) | .44 |
| Hydrocephalus | 18 (41.9%) | 7 (17.9%) | .019 |
| Vasospasm | 19 (44.2%) | 12 (30.8%) | .21 |
| DCI | 22 (51.2%) | 6 (15.4%) | .001 |
| SAH management | .23 | ||
| Clinical | 3 (6.9%) | 0 (0%) | |
| Microsurgical clipping | 25 (58.1%) | 26 (66.7%) | |
| Endovascular | 15 (34.9%) | 13 (33.3%) | |
| Aneurysm size >10 mm | 9 (20.9%) | 11 (28.2%) | .44 |
| Anatomical variations | 12 (27.9%) | 3 (7.7%) | .018 |
| Leukocytes per mm3 (mean; SD) | 11 916.27 (±3864.87) | 12 678.20 (±4127.82) | .39 |
| Sodium (meq/L) (mean; SD) | 140.16 (±4.076) | 139.69 (±4.26) | .61 |
| Hemoglobin (g/dl) (mean; SD) | 14 (±2.09) | 14.10 (±1.66) | .8 |
| Peak systolic velocity cm/sg (PSV) (median; IQR) n=62 | 89.95 (IQR 61.75–138.45) | 62.74 (IQR 41.59–90.79) | .022 |
| End diastolic blood velocity cm/sg (EDV) (median; IQR) n=62 | 27.9 (IQR 14.45–42.52) | 23.71 (IQR 12.08–38.09) | .31 |
| Mean flow velocity cm/sg (mFV) (median; IQR) n=62 | 52.46 (IQR 32.43–79.37) | 36.35 (IQR 22.74–60.68) | .077 |
| Pulsatility index (median; IQR) n=62 | 1.28 (IQR 0.98–1.49) | 1.05 (IQR 0.85–1.28) | .044 |
Abbreviations: GCS, Glasgow comma scale; HH, Hunt and Hess grade; IQR, interquartile range; mFS, modified Fisher Scale; WFNS, World federation of Neurological Surgeons scale; SAH, subarachnoid hemorrhage; DCI, Delayed cerebral ischemia; SD, standard deviation; PSV, Peak systolic velocity; EDV, End diastolic blood velocity; mFV, Mean flow velocity; PI, Pulsatility index.
Univariate binary logistic regression model.
| Variable | OR | (95% CI) | P |
|---|---|---|---|
| Systolic blood pressure at admission | 6.56 | (1.01–1.06) | .010 |
| Anatomical variations | 8.28 | (2.81–232.41) | .004 |
| Global cerebral edema | 5.78 | (1.61–110.59) | .016 |
| Intracerebral hemorrhage | 5.80 | (1.48–46.61) | .016 |
| Hydrocephalus | 7.84 | (2.02–52.75) | .005 |
| Smoking history | 5.14 | (1.35–64.92) | .023 |
| Diabetes mellitus type 2 | 0.57 | (0.24–24.27) | .45 |
Abbreviations: OR, Odds ratio; CI, Confidence interval.
Bold values indicate P<.05.
In this cohort, the anatomical variants were associated with the development of DCI and poor neurological outcome. The distribution of anatomical variations in this cohort, was as follows: 1 patient (1.21%) had a persistent trigeminal artery (PTA), 6 patients (7.3%) had either agenesis or hypoplasia of the A1 segment of anterior cerebral artery, 9 patients (10.9%) had either a complete or partial fetal posterior cerebral artery, and 3 patients had a hypoplastic vertebral artery (3.7%) (Fig. 2). Table 4 shows the patients affected by DCI, with anatomical variants, the respective arterial territory involved, and mRS at discharge.
Anatomic variations in our sample, 3D-CTA (A) and (B) A. Absence of an A1 segment of the right anterior cerebral artery (white arrow). B. Right posterior fetal cerebral artery (black arrow). The P1 segment is absent. DSA image of the right internal carotid and right vertebral artery (C) and (D). C. Trigeminal persistent artery arising from the cavernous segment of the internal carotid (Black arrow), posterior communicating artery, (orange arrow). D. Hypoplasia of the basilar artery (black arrow).
Features of patients suffering from DCI, with anatomic variations.
| Case | Circle of willis variation | ASPECTS | mRS at discharge | Cerebral artery territories | Angiographic vasospasm |
|---|---|---|---|---|---|
| 1 | Agenesia of left ACA (Segment 1) | 9 | 3 | Left ACA | No |
| 2 | Agenesia of left ACA (Segment 1) | 9 | 6 | Right ACA and left ACA | No |
| 3 | Agenesia of right ACA (Segment 1) and Fetal posterior cerebral artery | 6 | 5 | Right ACA and MCA | Yes |
| 4 | Right complete fetal posterior cerebral artery | 9 | 6 | Right ACA | No |
| 5 | Right trigeminal persistent artery, hypoplasia of the basilar artery, bilateral fetal posterior cerebral artery, and agenesia of the left A1 segment | 6 | 5 | Right MCA and PCA | Yes |
| 6 | Left partial fetal posterior cerebral artery | 6 | 5 | Left MCA | Yes |
| 7 | Right vertebral hypoplasia | 3 | 5 | Right MCA | Yes |
| 8 | Right partial fetal posterior cerebral artery | 8 | 2 | Right MCA | Yes |
| 9 | Bilateral partial fetal posterior cerebral arteries | 7 | 5 | Right MCA | Yes |
| 10 | Right complete fetal posterior cerebral artery | 8 | 3 | Right ACA and MCA | No |
| 11 | Right partial fetal posterior cerebral artery | 9 | 1 | Right ACA | Yes |
| 12 | Left vertebral hypoplasia, right complete fetal posterior cerebral artery | 9 | 4 | Left MCA | Yes |
Abbreviations: ACA, Anterior cerebral artery; MCA, Middle cerebral artery; PCA, Posterior cerebral artery; mRS, Modified rankin scale; ASPECTS, Alberta Stroke Program Early CT score.
What allowed us to confirm that it were indeed anatomical variants and not vasospasm secondary to SAH, were the imaging and TCD indirect findings, particularly bony structures, vessel's diameters, and Soustiel index (“modified Lindegaard” index) (for basilar artery). In case of hypoplastic vertebral arteries (HVA) (2 cases), we compared the size transverse foramen of C6 and C2 with the contralateral one, and also estimated the diameter difference of the artery (which was 2.05 mm). Regarding the only case of hypoplastic basilar artery (HBA), we measured the artery's diameter (1.92 mm), and we obtained a normal Soustiel index by TCD means, confirming that it corresponds to anatomical variants.
DiscussionDCI is one of the main complications in patients with SAH and carries a poor prognosis if not detected on time.20 DCI was mainly thought to be caused by cerebral vasospasm; however, studies in humans and animal models have since supported the notion of a multifactorial development of DCI (including cerebral vascular dysregulation, multifocal microthrombosis, cortical spreading depolarizations, delayed cell apoptosis, and neuroinflammation).21 As a result, there is a need to find other screening and managing factors, to offer the best possible individualized treatment and prevention strategies tailored to each patient.
In this study, we performed a retrospective analysis of a 4-year retrospective cohort, which analyzed clinical features, radiological, and anatomical factors involved in the risk of DCI. We found that smoking history and high values of systolic blood pressure on admission were significantly associated with DCI. Only smoking history has been proved to have a strong level of evidence as a risk factor for DCI, according to the systematic review performed by Rooji et al.22 As a unique finding of our study, 4 neuroradiological factors were statistically significant associated with DCI, namely, hydrocephalus, intracerebral hemorrhage (ICH), global brain edema, and anatomical cerebral arterial variants. To the best of our knowledge, anatomical cerebral arterial variants have never been described in the literature as risk factors of DCI.
Two clinical scales have been validated for the prediction of DCI.4,9 Both models took into account some clinical characteristics such as the WFNS, the amount of cisternal and intraventricular blood on CT, HH scale, mFS, and age.4,9 Radiological features, different from mFS like the Barrow neurological institute scale (BNI) (OR, 3.4; 95% CI 2.1–5.3) and the subarachnoid hemorrhage early brain edema score (SEBES) (OR, 2.24; 95% CI 1.58–3.17) have also been tested in their respective cohorts as significant predictors of DCI.23,24
De Rooij et al. performed the most recent systematic review for DCI predictors.22 In this systematic review, acute hydrocephalus had strong evidence for an association with DCI (OR, 1.3; 1.1–1.5 and OR, 2.6; 1.2–5.5).22 Some authors like Black et al. hypothesize that hydrocephalus is correlated with vasospasm by diminishing the clearance of vasoactive substances from the blood.25 Others, like Van Asch et al., demonstrated that hydrocephalus induces a reduction in cerebral blood flow of the deep gray matter and periventricular white matter, compromising cerebral perfusion at the expense of increased intracranial pressure (ICP).25 Fugate et al. reported that aggressive CSF drainage at low levels of ICP (e.g., 5 mmHg) improves blood flow in the microcirculation and tissue perfusion, making plausible a relationship between CSF and development of DCI.26
ICH is an uncommon complication of aSAH, but it might be related to DCI because it compromises cerebral blood flow.27 Qureshi et al. review identified several clinical and experimental studies that showed mild hypoperfusion of the ipsilateral hemisphere with ICH during the first 48 h, making brain tissue vulnerable to ischemia.27 Mechanical compression of surrounding vasculature by the hematoma has also been suggested as a mechanism for ischemia.27 In a similar manner to hydrocephalus, ICH provokes an increase of ICP, affecting cerebral blood perfusion and promoting vasospasm by subarachnoid extension of the bleeding.28
Although many cerebral arterial variants may be asymptomatic, their recognition is important, as some of these might be pathological and play an important role in the planning of neurosurgical procedures.15 The anatomy of the brain arterial system can influence the development of vascular diseases like aneurysms, dolichoectasia, atherosclerosis, stroke, and, as we propose in this paper, DCI.29 Developmental variants of the cerebral circulation can be fenestrations and duplications, variants of the circle of Willis, persistent carotid-basilar anastomoses, and other vascular anomalies identified in the skull base.30 The most frequently reported persistent variant fetal arteries in adults include the persistent trigeminal artery (PTA) (0.1%–0.5%), hypoglossal artery (0.1%), proatlantal artery (0.020%), and otic artery (0.001%).31 There are some few but important caveats that are worth-mentioning regarding some of these vessels and how they are related to cerebrovascular disease. Fetal posterior cerebral artery (FPCA), PTA, and hypoglossal arteries increased the likelihood of aneurysm formation in-situ or distant and rupture due to turbulent flow and increased wall shear stress.29 They have also been associated with ischemic cerebrovascular disease (either transient ischemic attack or ischemic stroke), and also with the presence of other important vascular arterial malformations (FPCA, A1 segment hypoplasia, or azygos anterior cerebral artery).30,32–35 PTA arises from the cavernous ICA in the region where it leaves the carotid canal and joins the basilar artery through the sella turcica, normally regressing.36 Both PTA and fetal posterior cerebral artery supply the posterior cerebral territory via the anterior cerebral circulation.37
Patients with these variants and concomitant carotid disease cannot develop leptomeningeal anastomoses between cerebral arteries, making them vulnerable to ischemia due to hemodynamic failure.38 In the case of anomalies of the anterior circulation, there is an interhemispheric collateral circulation failure and a deficient supply of the distal brain.32,39 Finally, another interesting point may arise here, although it must be clarified that this is only a pure speculative theory from the authors. We believe that, in certain way, the sole presence of fetal arteries or other anatomical arterial variations may have a basal and inherent risk of aneurysm formation, and, possibly, a secondary susceptibility to DCI in SAH patients, due to a diminished “vascular compensatory capacity”, which is inherent to a limited-vessel number and a “high monoarterial-dependency” in the circle of Willis, and that it might be depicted as a “double effect” or “double hit” phenomenon. As a matter of fact, this is just a supposition from the author's personal view, and we believe that it may be difficult to prove it in a clinical trial.
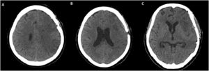
Large hemispheric infarction (10%) is defined as a massive middle cerebral infarction (MCI), with or without the involvement of the anterior and posterior cerebral artery.40 It is associated with substantial morbidity and mortality due to the high chance of developing malignant cerebral edema (50%).40 A lesion 82 ml size or greater in diffusion-weighted imaging (DWI) or an Alberta Stroke Program Early CT Score (ASPECTS) <6 are indicative of LHI.40 Patients with anatomic variations and DCI had large territory infarctions that frequently involved 2 cerebral artery territories, such as the case of the fetal posterior cerebral arteries. Although patients did not undergo diffusion studies to measure the lesions, most patients with ischemia had borderline ASPECTS for LHI (Table 4), and 1 patient had an LHI (Fig. 3) in our sample. For this reason and due to the involvement of multiple arterial territories, patients with anatomic variations had a worse neurological outcome than those without.
The most recent and updated meta-analysis of TCD for the diagnosis of vasospasm in the middle cerebral artery shows that both conventional and color Doppler are likely to detect vasospasm, but neither is useful to exclude one.42 In the case of DCI, TCD was also proved to have a high sensitivity (90%) (95% confidence interval [CI] 77%–96%), and predictive-negative value 92% (95% CI 83%–96%).41 However, TCD is not a mandated standard of care in aSAH due to the paucity of evidence on clinically relevant outcomes, and there is a need for high-quality for randomized trials.41 In our study, none of the parameters evaluated by TCD were statistically significant in the logistic regression; however, the mean values for systolic peak flow and mean flow velocity in the group with DCI compared to those who did not develop it was higher as depicted in the boxplots (Fig. 1).
Some of the characteristics associated with the development of DCI was also associated with an adverse neurological outcome, namely GCS at admission, hydrocephalus on admission, the presence of an anatomic variation, PSV, and MFV. This accounts for the validity of our data as DCI is also associated with a bad neurological outcome.
LimitationsThe limitations of the present study included its single-center retrospective nature, with inherent bias. Only 62 patients had a temporal window on TCD for assessment of the middle cerebral artery, limiting the statistical analysis and results of the TCD parameters. The small sample size limits the ability to find differences between groups on the multivariate analysis compared to other larger prospective cohorts. Additionally, most of the patients had a low WFNS score, which may correspond to information bias. Studies with higher evidence (prospective cohorts and randomized control trials) need to address all of the information presented here. Regarding the role of hydrocephalus and DCI, we did not make any Evans index adjustments for gender and age, as reported previously in the literature.43 Although our study had some limitations, it introduces the association of novel neuroradiological features (anatomical cerebral arterial variants), and the assessment of DCI in a Latinamerican sample.
ConclusionsIntracerebral hemorrhage, hydrocephalus, global cerebral edema on admission, and anatomic variations of the circle of Willis were significantly associated with DCI development in this sample of patients with aSAH. Patients with anatomic variations were more likely to present worse neurological outcomes because of a more severe compromise of the infarcted territories. Further larger prospective randomized studies are needed to validate the importance of these radiologic features and anatomic variations as risk predictors of DCI.
FundingNot applicable.
Patient consent (Informed consent)In the present study we don't require informed consent, the authors don't include case details, other personal information or images of patients.
Ethical ConsiderationsAccording to what is established in resolution 008430 of 1993, it is established that this investigation is Minimum Risk, taking into account that in the development of this, retrospective documentary investigation techniques and methods will be used and no intentional intervention or modification of the biological variables will be carried out. Physiological, psychological, or social conditions of the individuals participating in the study.
Authors' contributionsOrrego-González analyzed and interpreted the data, collected study data, and drafted and revised the manuscript for important intellectual content. Vasquez revised the manuscript for important intellectual content. Soto-Moreno revised the manuscript for important intellectual content. Roa-Wandurraga originated the idea for the study, designed and conceptualized the study, analyzed and interpreted the data, collected study data, and drafted and revised the manuscript for important intellectual content.
All authors read and approved the final manuscript.









