Dear Editor:
An association between coronaviruses (specifically, HCoV-OC43) and multiple sclerosis (MS) was reported before the COVID-19 pandemic.1 Clinical onset of MS in the context of SARS-CoV-2 infection has been reported in young adults up to 54 years of age, with mild infectious symptoms, a delay of 0–6 months between SARS-CoV-2 infection and diagnosis of MS, and good response to corticosteroids.2 Furthermore, COVID-19 is thought to be a possible trigger for MS, and is associated with demyelination and MS relapses.3
We present the case of a 51-year-old man, a former smoker, with low body weight and type 1 diabetes mellitus with history of moderate SARS-CoV-2 infection 6 months prior to consultation. The patient visited the emergency department due to a 3-day history of psychomotor retardation, apathy, lower back pain, and a sensorimotor deficit presenting as areflexic ascending distal tetraparesis with absence of sensory level. He presented leukopenia with leukocyte formula inversion (44.2% lymphocytes). CSF analysis revealed 6 mononuclear cells/mm3, protein level of 0.55 mg/dL, positive PCR results for herpes simplex virus type 1 (HSV-1), and positive IgG oligoclonal bands. Serology results were positive for IgG antibodies against Epstein-Barr virus (EBV), cytomegalovirus (CMV), varicella zoster virus (VZV), HSV-1 index >62, SARS-CoV-2 index of 108.6 AU/mL, and John Cunningham virus (JCV) index of 2.4. Autoimmunity studies, including determination of anti–aquaporin-4 antibodies, yielded negative results. Paraneoplastic markers were negative. Head and lumbar spinal CT findings were normal. The patient was treated with intravenous (IV) immunoglobulin G for 5 days due to suspected Guillain-Barré syndrome (lower motor neuron signs). Electromyography revealed no abnormalities. MRI revealed multiple lesions (n > 50) in the subcortical, juxtacortical, and periventricular white matter, corpus callosum, brainstem, cerebellum, and spinal cord (lesions involved 1–2 vertebral segments, and affected less than half of the circumference of the spinal cord); 2 lesions displayed intense gadolinium uptake (Fig. 1). The patient was diagnosed with highly active relapsing-remitting MS. He was treated with 1 g IV methylprednisolone for 3 days, and IV aciclovir for 21 days. A follow-up PCR study returned negative results for HSV-1 in the CSF. The patient was discharged with a rehabilitation plan. At 3 months, Expanded Disability Status Scale score was 3.5, and MRI findings were similar. The patient was prescribed ocrelizumab.
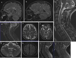
MRI study. (a) and (b) Sagittal FLAIR sequence; (c) sagittal T2-weighted sequence; (d) sagittal STIR sequence; (e–g) axial T2-weighted sequence; (h) axial FLAIR sequence; (i) and (j) gadolinium-enhanced T1-weighted sequence.
Images show hyperintense lesions in the subcortical, juxtacortical, and periventricular white matter; and lesions in the corpus callosum and callososeptal interface, pontomesencephalic junction, pons (←), spinal bulb, and cerebellum (←). Mild cortico-subcortical atrophy is observed. Multiple spinal cord lesions of differing sizes are shown, affecting practically all levels, with a large lesion at the C2 level, mainly on the right side. The thoracic spine (←) displays lesions at T1–T2, T5–T6, T7–T8, T9–T10, and T11. Lesions in the bulbar region (←) and at C2 (←) present gadolinium uptake.
MS has been associated with infection by EBV, VZV, CMV, human herpesvirus 6 (HHV-6), HHV-7, and influenza virus4; HCoV-OC43 has also been shown to have neuroinvasive potential.1 Epidemiological studies suggest an infectious component in the aetiology of inflammation, which may contribute to the development or exacerbation of MS,5,6 although the timing of pathogenesis remains unclear.7 Cases have been published of MS onset after an interval of weeks or months following SARS-CoV-2 infection.8,9 However, no published study of patients with acute COVID-19 and presenting neurological manifestations reports detection of SARS-CoV-2 in the CSF.10
In turn, HSV-1 causes a latent infection, with its genome being detectable in the absence of infectious virus particle production; reactivation may occur during this period, and is most frequent in immunosuppressed patients.11 However, the study by Jarius et al.10 also did not detect HSV-1 in the CSF. Immunosuppression also predisposes to HSV-1 encephalitis with atypical clinical and radiological signs, with poorer prognosis and higher mortality.12
Our patient was an adult with history of SARS-CoV-2 infection 6 months prior, who presented an unusual “chameleon” type onset of MS, as well as presence of HSV-1 in the CSF. Immunosuppressive treatment was started due to the presence of extensive inflammatory CNS lesions. Due to the presence of behavioural alterations and the detection of HSV-1 in slightly inflammatory CSF, we could not rule out early herpes meningoencephalitis,13 despite the absence of suggestive radiological signs; as a result, the patient was treated with aciclovir in view of the high risk of viral reactivation and potentially catastrophic associated lesions.14,15 SARS-CoV-2 infection may have triggered MS, and the associated immune dysregulation may have facilitated the reactivation of HSV. The literature includes a previous report of MS coinciding with HSV-1 infection,14 but not post–COVID-19 MS with reactivation of HSV-1.
Therefore, prior to onset of immunosuppressive treatment in patients with MS, and particularly those presenting concomitant risk factors, it is essential to rule out and treat coinfections, with a high level of suspicion. Finally, clinicians should consider the possibility of MS in the context of SARS-CoV-2 infection, particularly in highly immunosuppressed patients.



