Los síndromes clínicos con anticuerpos anti-glicoproteína del oligodendrocito asociada a la mielina (MOG) son procesos desmielinizantes de base autoinmune raros y de reciente descubrimiento. Se suelen presentar en forma de neuritis óptica uni o bilateral, y es importante su diferenciación de la esclerosis múltiple y de la enfermedad del espectro neuromielitis óptica.
Describimos el caso de un varón de 29 años que consulta por dolor ocular y visión borrosa de 5 días de evolución. Entre los antecedentes personales de interés destaca que fue trasplantado renal en el año 2008 debido a una glomerulonefritis focal y segmentaria, a raíz de la que presenta hipertensión arterial secundaria de difícil control. Actualmente en tratamiento crónico con tacrolimus, micofenolato mofetil, prednisona y 3 fármacos antihipertensivos.
El paciente refiere que 5 días antes del ingreso comienza con una clínica de dolor retroocular que empeora con los movimientos oculares, a la que se añade visión borrosa binocular. Es valorado por oftalmología, objetivando edema de papila bilateral, por lo que nos consultan.
A la exploración neurológica destaca un defecto pupilar aferente relativo izquierdo con agudeza visual disminuida bilateral de predominio en ese mismo ojo (0,5/1) con respecto al derecho (0,8/1). En la valoración del fondo de ojo confirmamos la presencia de borramiento papilar bilateral, que es más marcado en el ojo izquierdo. No discromatopsia ni diplopía. El resto de la exploración es normal.
La historia clínica y la exploración física nos lleva a un diagnóstico sindrómico de neuropatía óptica anterior bilateral sobre el que basamos nuestro diagnóstico diferencial, con especial orientación a etiología desmielinizante por la edad del paciente o tóxica por los fármacos concomitantes.
Se realizan potenciales evocados visuales donde se objetiva disfunción óptica prequiasmática bilateral sugestiva en conjunto de origen inflamatorio/desmielinizante.
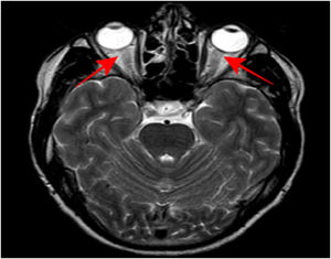
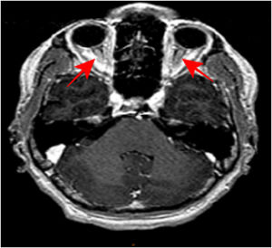
En la resonancia magnética cerebral con contraste se describe una discreta hiperseñal de ambos nervios ópticos más marcada en secuencia T2 (fig. 1) con marcado realce de las lesiones tras la inyección de contraste intravenoso en secuencia 3DT1 (fig. 2). Estos hallazgos son sugestivos de neuritis óptica bilateral. En el resto del estudio por neuroimagen no se objetivaron otras alteraciones (cerebro y médula espinal).
Ante estos descubrimientos, se realiza punción lumbar para estudio etiológico de las lesiones, cuyo análisis citobioquímico, microbiológico, anatomopatológico, inmunológico (incluyendo anticuerpos onconeuronales y de superficie y bandas oligoclonales) y citométrico resulta normal.
El estudio inmunológico en suero arroja un resultado positivo para anticuerpos anti-MOG, que confirman el diagnóstico, siendo el resto de la inmunidad estudiada negativa.
Por tanto, con el diagnóstico definitivo de neuritis óptica bilateral anti-MOG se inicia tratamiento con megadosis de glucocorticoides. Tras este tratamiento se objetiva una mejoría evidente de la agudeza visual del paciente y reducción del edema de papila bilateral en la funduscopia. Ante la mejoría, el paciente es dado de alta con glucocorticoides orales, manteniendo su tratamiento inmunosupresor de base, sin nuevas recurrencias.
Los síndromes por anticuerpos anti-MOG son enfermedades desmielinizantes inmunomediadas que afectan al sistema nervioso central, siendo considerada una entidad diferente de la EM, y más recientemente, del espectro del NMOSD1.
El espectro clínico de inicio de la enfermedad es muy amplio, siendo la afectación más frecuente la neuritis óptica (alrededor del 60% de los casos), con afectación bilateral entre el 30 y el 50% de las veces2,3.
Habitualmente afecta más al segmento anterior del nervio óptico, en forma de papilitis y edema de papila3–5.
En cuanto al diagnóstico, nuestro paciente cumple todos los criterios propuestos por las recomendaciones internacionales6:
- 1.
Criterio clínico
- 2.
Lesión desmielinizante en potenciales evocados visuales o neuroimagen
- 3.
Positividad de anticuerpos anti-MOG en suero
Por ello, podemos decir que estamos ante un caso típico neuritis óptica por anticuerpos anti-MOG.
El manejo agudo no difiere del resto de enfermedades desmielinizantes, con tratamiento agudo con corticoides en pauta descendente7. En cuanto al tratamiento de mantenimiento, no existen consensos específicos para el espectro anti-MOG, por lo que se usan las recomendaciones del grupo de estudio de NMOSD del año 20148.
Sin embargo, este caso es atípico por el estado de inmunosupresión previo del paciente, que a pesar de esta situación basal presenta un cuadro clínico de base autoinmune con formación de autoanticuerpos como es la enfermedad anti-MOG.
La explicación a este fenómeno se basa en teorías como serían la existencia de estos autoanticuerpos anti-MOG preformados previos a la inmunosupresión9 o el fenómeno de disregulación autoinmune que provoca el tratamiento inmunosupresor a largo plazo10.
De una u otra forma, el caso que se presenta es excepcional al no encontrarse descrito en la literatura tras una búsqueda exhaustiva en las principales bases de datos de estudios del mundo.
FinanciaciónLa presente investigación no ha recibido ayudas específicas provenientes de agencias del sector público, sector comercial o entidades sin ánimo de lucro.




