El golfo de la vena yugular es una estructura venosa que conecta el seno sigmoide con la vena yugular en la base del cráneo. La morfología de esta estructura es variable y no existe consenso en su sistema de clasificación1. Se denomina golfo yugular prominente cuando este se extiende más arriba en el hueso temporal petroso de lo que es habitual. Aunque no es necesario para su definición, normalmente se acompaña de una asimetría respecto al bulbo contralateral, con un foramen yugular prominente. Esta posición anormal, dada su relación anatómica con las estructuras del oído interno, se ha relacionado con síntomas otológicos como pérdida de audición, vértigo y tinnitus pulsátil1; sin embargo, no hemos encontrado en la literatura su relación con el síndrome de Horner, cuya etiología es desconocida hasta en el 40% de los casos2-4.
Presentamos el caso de un varón de 57años, exfumador, con antecedentes de neumotórax espontáneo derecho hace 20años, hipoacusia neurosensorial derecha súbita y tinnitus de 9años de evolución, sin otros antecedentes de interés. No toma fármacos de forma habitual. Acude al servicio de urgencias por cuadro de una semana de evolución de ptosis y miosis del ojo derecho. El paciente refiere haber presentado de forma puntual dolor a nivel cervical derecho, aunque no refiere historia de traumatismo ni de cirugía y tampoco relaciona su inicio con maniobra de Valsalva ni sobreesfuerzo. No hay historia de fiebre ni de clínica infecciosa, así como cuadro constitucional.
En la exploración física presenta PA 136/71mmHg, FC 74lpm, afebril y SatO2 100%. En la exploración neurológica se detecta ptosis y miosis del ojo derecho, sin enoftalmos ni anhidrosis hemifacial, siendo el resto de la exploración neurológica sin hallazgos significativos.
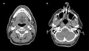
Se completa el estudio con una analítica básica, siendo el hemograma, coagulación y bioquímica incluyendo perfil hepático e iones normales. En la radiografía de tórax no se detectan masas ni ocupación del ápex pulmonar derecho. La TC de cráneo es normal y la angioTC de arterias supraaórticas descarta patología carotídea; sin embargo, se describe una prominencia del golfo de la vena yugular derecha, sin dehiscencia de la lámina ósea, con un foramen yugular prominente (fig. 1). Se completa el estudio con una RM craneal (fig. 2) y medular hasta T1 con contraste, sin detectarse patología a nivel de la vía simpática. Los marcadores tumorales, serología lúes, VIH y Borrelia han sido negativos. Se ha completado el estudio con una TC torácica que descarta patología compresiva o mediastínica.
AngioTC de arterias supraaórticas. A)Se observa una asimetría en el calibre de ambas venas yugulares internas, con mayor diámetro en la vena yugular interna derecha. B)La dilatación se extiende hasta el bulbo yugular. Durante este trayecto, debido a su tamaño, mantiene un estrecho contacto con la arteria carótida interna.
Este puede ser un hallazgo en pacientes asintomáticos, hasta asociarse en casos graves a una enfermedad de Ménière e hidrops endolinfático. También se ha asociado en otros casos a tinnitus, vértigo, mareo y pérdida de audición, dada su estrecha relación con el oído interno1. La etiología es desconocida y poco se conoce sobre su fisiopatología, aunque se ha sugerido un flujo venoso anormal que podría contribuir a su formación. El tratamiento suele ser conservador, aunque en casos graves se puede considerar el tratamiento quirúrgico.
Describimos el caso de un paciente con antecedentes de hipoacusia neurosensorial súbita derecha y tinnitus derecho que presenta años después un síndrome de Horner ipsilateral. En el estudio de imagen se describe un golfo yugular prominente con una asimetría en el calibre de ambas venas yugulares. Observamos en las pruebas de imagen un contacto de la vena yugular derecha (que es más gruesa respecto a la contralateral) con la arteria carótida interna derecha previo a la entrada en el foramen yugular, que podría originar una compresión de la vía simpática a este nivel. Dados los antecedentes del paciente y el estudio de imagen actual, creemos que podrían ser el origen de los síntomas del paciente, en ausencia de otra patología que actualmente lo pueda justificar.
Bien es conocida la relación del golfo yugular prominente con distintos síntomas otológicos (tinnitus, vértigo, hipoacusia…)5, aunque no hemos observado en la literatura su asociación con un síndrome de Horner. Sí se han descrito dos casos en relación con una ectasia de la vena yugular (uno en adulto6 y otro en edad pediátrica7), donde esta causaría compresión de la vía simpática que viaja junto a la arteria carótida interna.
Este podría ser el primer caso de un golfo yugular prominente con asimetría del foramen yugular que comprometería las fibras simpáticas de la arteria carótida interna ipsilateral, provocando un síndrome de Horner.
Consideraciones éticasDisponemos del consentimiento del paciente para la publicación del caso y hemos seguido los procedimientos de nuestro centro para el tratamiento de los datos del paciente.
Conflicto de interesesNinguno.




