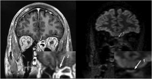
A 39-year-old man male presented to the emergency room with right periocular headache, different and more intense than his usual migraine; cough; pleuritic chest pain; anosmia and dysgeusia for three days. Auscultation revealed bibasal crackling rales with no other abnormal signs in the physical and neurological examination. His blood tests showed increased levels of D-dimer, interleukin 6, ferritin and C-reactive protein. The real-time reverse-transcriptase-polymerase-chain-reaction assay from oropharyngeal swab was positive for Severe Acute Respiratory Syndrome Coronavirus-2 (SARS-CoV-2) and serum antibody testing exhibited positive IgM and negative IgG antibodies versus SARS-CoV-2. Chest X-ray findings were described as bibasal opacities with associated interstitial pattern. The SARS-CoV-2 RT-PCR in cerebrospinal fluid (CSF) was negative and all the CSF parameters were within normal range. He was therefore diagnosed with bilateral COVID pneumonia. On the 10th day since the onset of symptoms, after a remarkable improvement of the clinic and completely recovery of the smell, a magnetic resonance imaging (MRI) was carried out. The MRI (Fig. 1) showed bilateral localized contrast enhancement in olfactory bulbs. Pathophysiology of anosmia in Covid-19 patients is yet unknown and the neurotropism of the virus is unclear.1–2 Enhancement of olfactory bulb could suggest focal neuropathy. In the present case, it was notable that image findings persisted longer in time regardless of the symptom’s remission.
Compliance with Ethical StandardsThis study was approved by the hospital Ethics Review Board (code PI:17-831)
The patient has given the written consent for participating and publication of its potential personal data.
Availability of data and material is available upon request by the corresponding author.
Authors' contributionsAll authors contributed to the study conception and design. Material preparation and data collection were performed by Carlos Castañeda Cruz, Blanca Talavera, David García Azorín Rebeca Sigüenza González, Javier Trigo López, Enrique Martínez Pías and Margarita Rodríguez Velasco. The first draft of the manuscript was written by Carlos Castañeda Cruz and Blanca Talavera and all authors commented on previous versions of the manuscript. All authors drafted the work, revised it critically for important intellectual content and approved the final manuscript.
Declaration of Competing InterestThe authors declare that they have no known competing financial interests or personal relationships that could have appeared to influence the work reported in this paper.



