metricas
covid
Medicina Clínica (English Edition) Use of tocilizumab as a therapeutic option for hereditary apolipoprotein AI-asso...
Journal Information
Vol. 165. Issue 6.
(December 2025)
Share
Download PDF
More article options
Vol. 165. Issue 6.
(December 2025)
Letter to the Editor
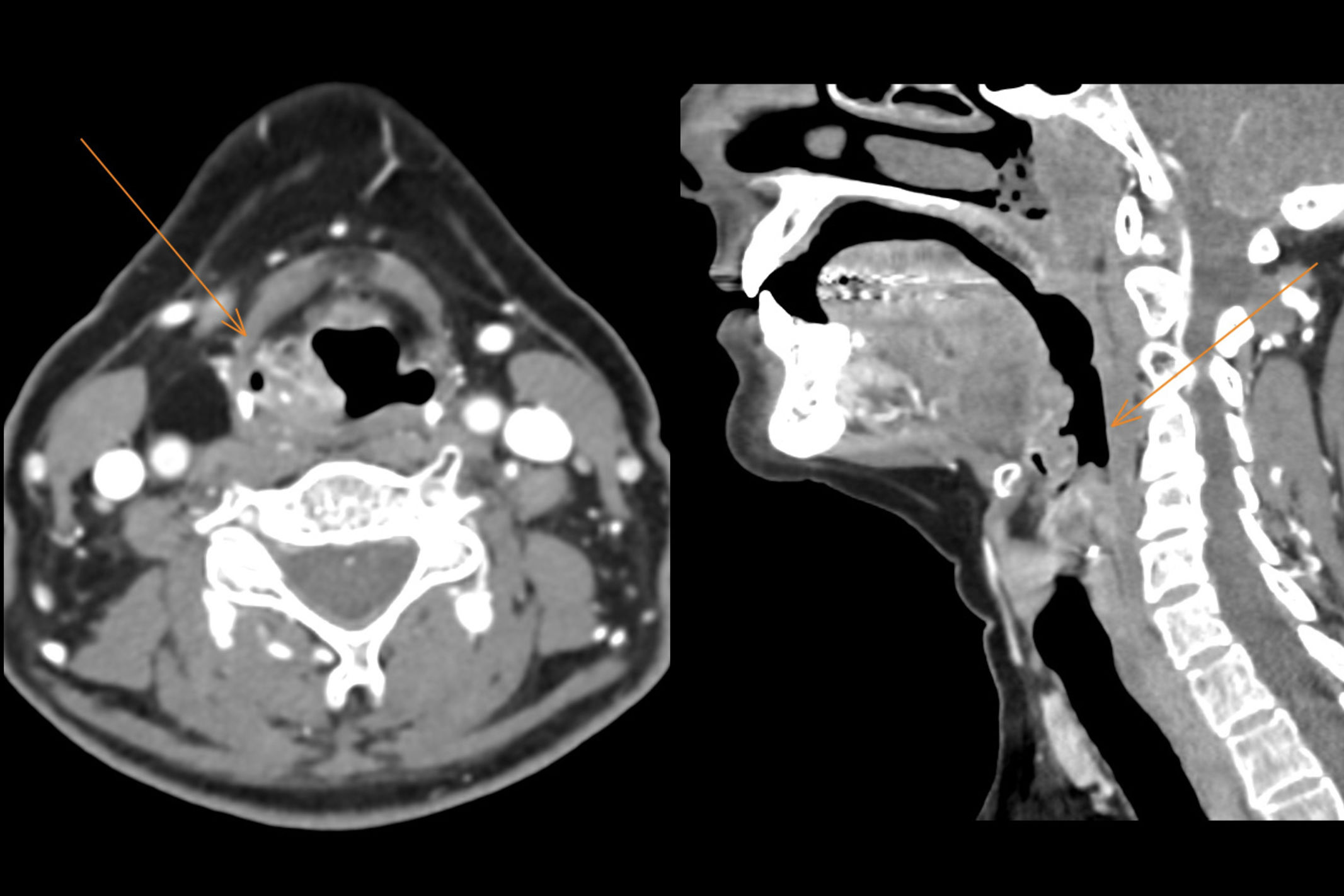
Use of tocilizumab as a therapeutic option for hereditary apolipoprotein AI-associated amyloidosis
Uso de tocilizumab como opción terapéutica en la amiloidosis hereditaria asociada a apolipoproteína A-I
Visits
11
Luis Luque Caraballoa,
Corresponding author
luis.luque11@gmail.com

Corresponding author.
, Manuel Garrido Montesa,b, José Salvador García Morilloa,b
a Department of Internal Medicine, Virgen del Rocío University Hospital, Seville, Spain
b Unit of Systemic and Rare Autoimmune Diseases in Adults, Virgen del Rocío University Hospital, Seville, Spain
This item has received
Article information
Full Text
Bibliography
Download PDF
Statistics
Figures (1)

Article

These are the options to access the full texts of the publication Medicina Clínica (English Edition)
Subscriber
Subscriber

If you already have your login data, please click here .

If you have forgotten your password you can you can recover it by clicking here and selecting the option “I have forgotten my password”
Subscribe
Subscribe to

Medicina Clínica (English Edition)

Purchase
Purchase article

Purchasing article the PDF version will be downloaded

Purchase now
Contact
Phone for subscriptions and reporting of errors
From Monday to Friday from 9 a.m. to 6 p.m. (GMT + 1) except for the months of July and August which will be from 9 a.m. to 3 p.m.
Calls from Spain
932 415 960
Calls from outside Spain
+34 932 415 960
E-mail
Article options
Tools