metricas
covid
Medicina Clínica (English Edition) Platypnea-orthodeoxia syndrome from aortic distortion
Journal Information
Vol. 165. Issue 6.
(December 2025)
Share
Download PDF
More article options
Vol. 165. Issue 6.
(December 2025)
Letter to the Editor
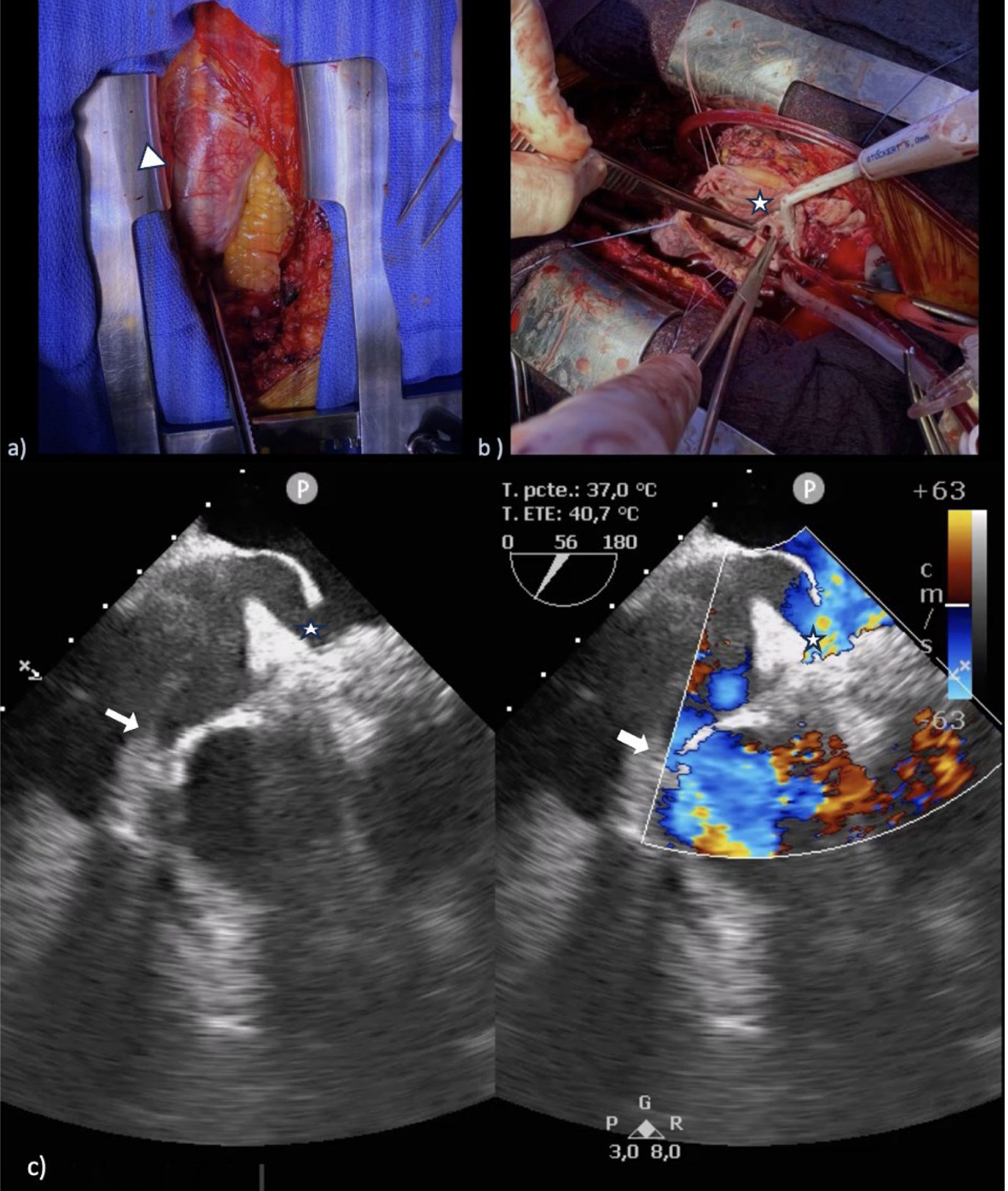
Platypnea-orthodeoxia syndrome from aortic distortion
Síndrome de platipnea-ortodeoxia por distorsión aórtica
Visits
11
Adrián Muinelo-Paúl
Corresponding author
adrianmuinelo@gmail.com

Corresponding author.
, Jose Manuel Martínez-Comendador, Jose Joaquin Cuenca-Castillo
Department of Cardiovascular Surgery, Complexo Hospitalario Universitario A Coruña (CHUAC), A Coruña, Spain
This item has received
Article information
Full Text
Bibliography
Download PDF
Statistics
Figures (1)

Article

These are the options to access the full texts of the publication Medicina Clínica (English Edition)
Subscriber
Subscriber

If you already have your login data, please click here .

If you have forgotten your password you can you can recover it by clicking here and selecting the option “I have forgotten my password”
Subscribe
Subscribe to

Medicina Clínica (English Edition)

Purchase
Purchase article

Purchasing article the PDF version will be downloaded

Purchase now
Contact
Phone for subscriptions and reporting of errors
From Monday to Friday from 9 a.m. to 6 p.m. (GMT + 1) except for the months of July and August which will be from 9 a.m. to 3 p.m.
Calls from Spain
932 415 960
Calls from outside Spain
+34 932 415 960
E-mail
Article options
Tools