metricas
covid
Medicina Clínica (English Edition) Multiple strokes as a presentation of neurosyphilis in a patient with HIV infect...
Journal Information
Vol. 165. Issue 5.
(November 2025)
Letter to the Editor
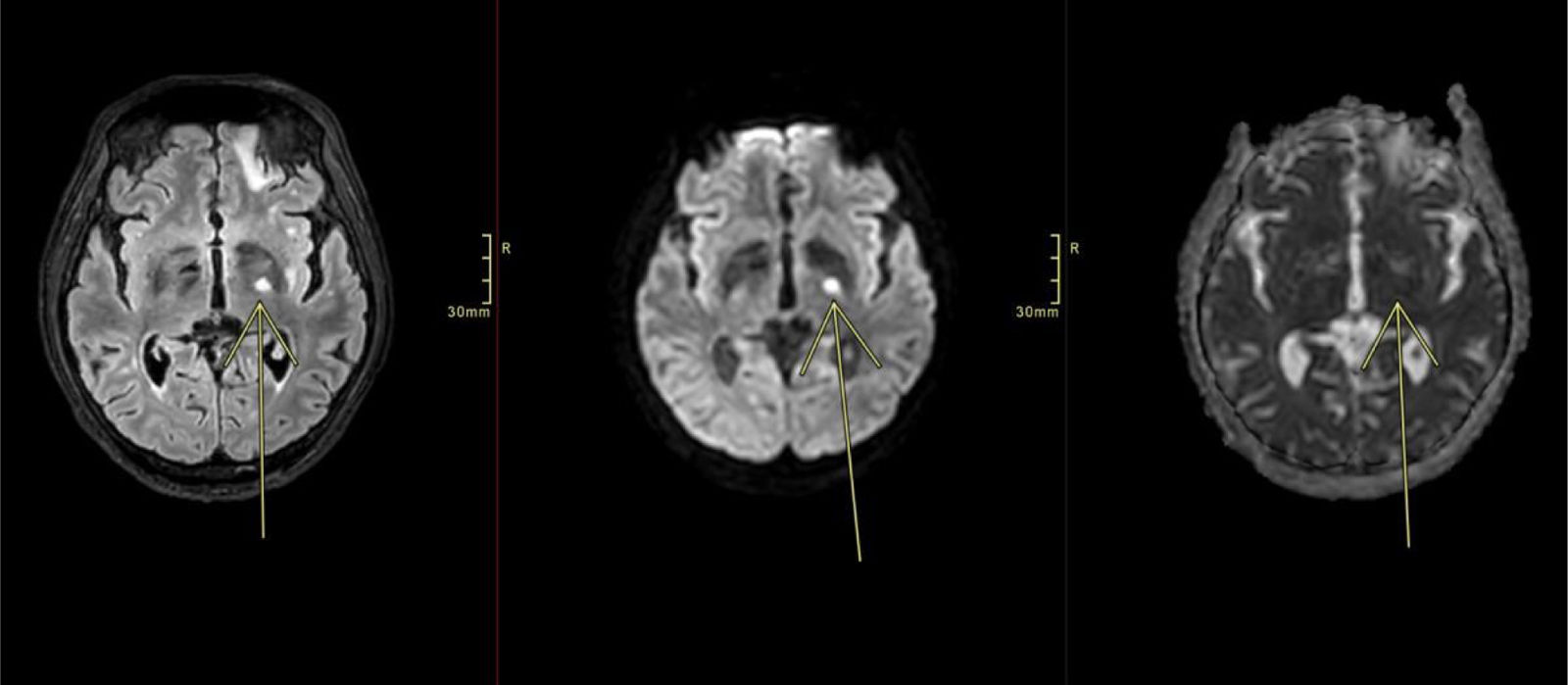
Multiple strokes as a presentation of neurosyphilis in a patient with HIV infection
Ictus múltiples como presentación de neurosífilis en un paciente con infección por el VIH
Visits
59
Vanesa Garrigasait Vilasecaa,
Corresponding author
VGarrigasait@santpau.cat

Corresponding author.
, Mª del Mar Gutierrez Maciab, Sara Castells Buchlec
a Servicio de Medicina Interna, Hospital de la Santa Creu i Sant Pau, Barcelona, Spain
b Servicio de Enfermedades Infecciosas, Hospital de la Santa Creu i Sant Pau, Barcelona, Spain
c Departamento de Radiodiagnóstico/Diagnóstico por la Imagen, Hospital de la Santa Creu i Sant Pau, Barcelona, Spain
This item has received
Article information
Full Text
Bibliography
Download PDF
Statistics
Figures (1)

Article

These are the options to access the full texts of the publication Medicina Clínica (English Edition)
Subscriber
Subscriber

If you already have your login data, please click here .

If you have forgotten your password you can you can recover it by clicking here and selecting the option “I have forgotten my password”
Subscribe
Subscribe to

Medicina Clínica (English Edition)

Purchase
Purchase article

Purchasing article the PDF version will be downloaded

Purchase now
Contact
Phone for subscriptions and reporting of errors
From Monday to Friday from 9 a.m. to 6 p.m. (GMT + 1) except for the months of July and August which will be from 9 a.m. to 3 p.m.
Calls from Spain
932 415 960
Calls from outside Spain
+34 932 415 960
E-mail