metricas
covid
Medicina Clínica (English Edition) Intramural esophageal hematoma secondary to the spontaneous rupture of a parathy...
Journal Information
Vol. 165. Issue 6.
(December 2025)
Share
Download PDF
More article options
Vol. 165. Issue 6.
(December 2025)
Letter to the Editor
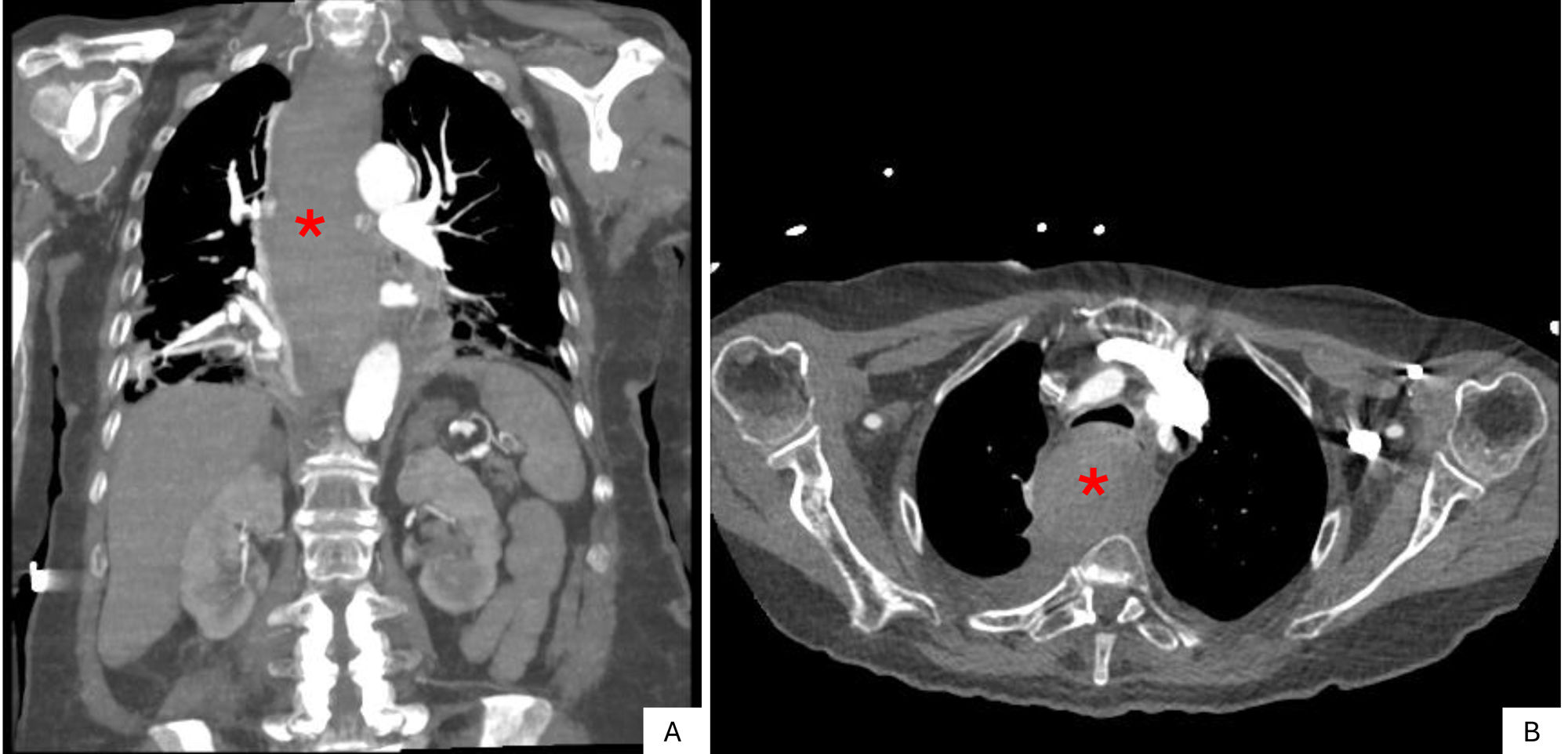
Intramural esophageal hematoma secondary to the spontaneous rupture of a parathyroid adenoma
Hematoma esofágico intramural secundario a la rotura espontánea de un adenoma paratiroideo
Visits
15
Laia Mas Maresmaa,
Corresponding author
lmas@tauli.cat

Corresponding author.
, Laia Casamitjana Espuñab, Santiago Barcons Vilaplanac
a Servei de Medicina Interna, Parc Taulí Hospital Universitari, Institut d’Investigació i Innovació Parc Taulí (I3PT-CERCA), Universitat Autònoma de Barcelona, Sabadell, Spain
b Servei d’Endocrinologia i Nutrició, Parc Taulí Hospital Universitari, Institut d’Investigació i Innovació Parc Taulí (I3PT-CERCA), Universitat Autònoma de Barcelona, Sabadell, Spain
c Servei de Cirurgia General i Digestiva, Parc Taulí Hospital Universitari, Institut d’Investigació i Innovació Parc Taulí (I3PT-CERCA), Universitat Autònoma de Barcelona, Sabadell, Spain
This item has received
Article information
Full Text
Bibliography
Download PDF
Statistics
Figures (1)

Article

These are the options to access the full texts of the publication Medicina Clínica (English Edition)
Subscriber
Subscriber

If you already have your login data, please click here .

If you have forgotten your password you can you can recover it by clicking here and selecting the option “I have forgotten my password”
Subscribe
Subscribe to

Medicina Clínica (English Edition)

Purchase
Purchase article

Purchasing article the PDF version will be downloaded

Purchase now
Contact
Phone for subscriptions and reporting of errors
From Monday to Friday from 9 a.m. to 6 p.m. (GMT + 1) except for the months of July and August which will be from 9 a.m. to 3 p.m.
Calls from Spain
932 415 960
Calls from outside Spain
+34 932 415 960
E-mail
Article options
Tools