metricas
covid
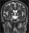
Medicina Clínica (English Edition) Billateral globus pallidus ischemia: A case report
Journal Information
Letter to the Editor
Available online 31 March 2025
Billateral globus pallidus ischemia: A case report
Isquemia bilateral de globos pálidos: estudio de un caso
Visits
54
María José Arche Banzoa,
Corresponding author
mariajosearchebanzo@gmail.com

Corresponding author.
, Clara Jaqués Andrésa, José Ignacio Corchero Martína
a Área en Medicina Intensiva, Unidad de Cuidados Intensivos, Hospital Nuestra Señora de Gracia, Zaragoza, Spain
This item has received
Article information
Full Text
Bibliography
Download PDF
Statistics
Figures (1)

Article

These are the options to access the full texts of the publication Medicina Clínica (English Edition)
Subscriber
Subscriber

If you already have your login data, please click here .

If you have forgotten your password you can you can recover it by clicking here and selecting the option “I have forgotten my password”
Subscribe
Subscribe to

Medicina Clínica (English Edition)

Purchase
Purchase article

Purchasing article the PDF version will be downloaded

Purchase now
Contact
Phone for subscriptions and reporting of errors
From Monday to Friday from 9 a.m. to 6 p.m. (GMT + 1) except for the months of July and August which will be from 9 a.m. to 3 p.m.
Calls from Spain
932 415 960
Calls from outside Spain
+34 932 415 960
E-mail