Spontaneous regression (SR) of a tumour is defined as the partial or complete disappearance of malignant cells, in the absence of specific treatment. First defined in 1956, it is a rare phenomenon with an approximate incidence of one in every 60,000/100,000 cases.1 The first tumours in which it was described were renal carcinoma, neuroblastoma and melanoma, while hepatocellular carcinoma (HCC) is now the tumour for which the greatest number of cases have been reported.2
We present the case of a 72-year-old male, who consumed more than 80g of alcohol per day until 2012, with a history of hypertension, under pharmacological treatment, and chronic alcoholic liver disease with annual ultrasound (US) and blood tests. In March 2014, an US detected a nodule measuring 37mm in diameter, which was heterogeneous in segment III. It was confirmed through computed tomography (CT), showing an isodense nodule in the early phase, measuring 40×40mm, with a slight peripheral enhancement in the arterial phase and an inner hypodense image suggestive of scarring with a poor wash out in the delayed phase. Magnetic resonance (MRI) identified a well-defined 26×30mm lesion, which was hypointense in T1-weighted images, and heterogeneous and moderately hyperintense in T2, with peripheral contrast uptake in the late portal phase of the dynamic study (Fig. 1A and B). Given the absence of radiological features of HCC,3 a histological study was performed that was compatible with HCC (Fig. 2A). The patient was referred to our centre for treatment. He presented no notable symptoms or findings during the physical examination. In his laboratory tests, the following were notable: white blood cells 5100×10×9/l, platelets 97.10×9/l, prothrombin time 96%, albumin: 44g/l, AST/ALT: 24/20IU/l ALP/GGT: 62/85U/l; total bilirubin: 0.79mg/dl, alpha-fetoprotein 2ng/ml. The endoscopy showed no oesophago-gastric varices and hepatic haemodynamics ruled out clinically significant portal hypertension. The MRI was repeated for restaging (previous one performed 3 months prior), showing a decrease in the size of the nodule (14×16mm), which was well defined and hypointense in T1, and heterogeneous with poor peripheral contrast uptake in the late venous phase (Fig. 1C and D). An additional histological study was also performed, showing necrotic tissue and abundant macrophages. Although no malignant cells were observed, surgical resection was decided in accordance with the recommendations of the latest guidelines on managing HCC.3 The histological study conducted on the surgical specimen showed a hyalinised nodular lesion measuring 16×20×8mm, with no signs of malignancy (Fig. 2B and C).
Magnetic resonance imaging (MRI) of the liver at diagnosis, where a subcapsular lesion measuring 26×30mm is observed in seg. III of the left hepatic lobe, which is rounded, well-defined, hypointense in T1, and heterogeneous and moderately hyperintense in T2 (A), only showing peripheral enhancement after the contrast administration in the portal and late venous phases of the dynamic study (B). Liver MRI at restaging, where a lesion measuring 14×16mm is observed in seg. III, which is rounded, well-defined and hypointense in T1 (C), and heterogeneous with a hyper and hypointense area inside in T2, with poor peripheral enhancement in the late venous phase (D).
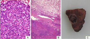
Histological block examination of the liver nodule before surgery. (A) Haematoxylin–eosin (H&E) staining in which groups of hepatocytes are observed with microacinar structures and irregular and thick hepatocyte trabeculae, comprising atypical hepatocytes with nuclear pleomorphism and alteration of the nucleus/cytoplasm ratio, as seen in a HCC. (B) Histological examination of a surgical specimen with H&E staining showing a nodular lesion that is well defined by a fibrous capsule comprising oedematous vascular connective tissue with mild lymphocytic infiltrate and abundant siderophages, with no evidence of portal spaces or hepatocytes. The adjacent parenchyma shows changes in liver cirrhosis. (C) Macroscopic surgical specimen with encapsulated rounded lesion with gelatinous content (C).
Since first being described in 1972, more than 85 cases of partial or total SR of HCC have been reported in the literature, with an SR rate of 0.40%.4,5 In most of these cases, histological confirmation is not available, neither at the time of diagnosis nor after observing regression in imaging tests.6 After reviewing the literature, we have only found 23 cases up to 2015 of complete remission, with only 8 of them having histological confirmation before and after SR.
As for its aetiopathogenesis, this is not known, with hypoxia and the systemic inflammatory response having been described as the main mechanisms.6,7 In the group of causes associated with hypoxia, cases of SR have been described after haemorrhagic shock due to massive digestive bleeding, vasospasm maintained after vascular interventionism, portal or hepatic artery thrombosis and rapid tumour growth. In the histological study of one of the cases, thrombi were observed in the venous and/or arterial microcirculation, thereby proposing chronic microthrombosis as a trigger due to an increase in cytokines at the local level.8 Regarding the immunological mechanism, several publications report a significant increase in plasma cytokines (IL-18, IL-2, IL-6, INF-γ) with the presence of histological inflammatory infiltrate, translating as systemic inflammation. Cases of SR have also been documented after infections, severe trauma and even after oncological treatments without an intrinsic antitumour effect, although there are cases in which no apparent cause was found. Other factors described in the literature associated with SR are the cessation of alcohol consumption or alternative therapies. However, despite the attempt to establish valid theories about the causative mechanism of SR, in 39–46% of cases this is unknown.6,7 Studying this process could prove useful in the identification of new therapeutic targets and it is important to take this into consideration when reporting cases of remission after therapy without a clearly established antitumour effect or scientific basis.4
Finally, there is no consensus as to whether treatment is necessary in the case of complete SR. In some cases, tumour recurrence has been evidenced and SR may thus be a transitory phenomenon.9 Moreover, there have been cases published where the SR described in the radiological tests is not confirmed by the histological study, and others in which viable tumour cells are identified in the adjacent tissue after specific immunohistochemical staining.10 As such, some authors suggest the need for treatment in these patients.
In our case, the patient had alcoholic cirrhosis with a Child–Pugh score of A. He did not have clinically significant portal hypertension and presented a SR of HCC with anatomopathological confirmation. The patient did not report changes in his usual treatment or the use of alternative therapies. He also evaded infection, trauma and sustained hypotension during the process. Fourteen months post-surgery, he persists with no evidence of relapse in the radiological tests performed.
FundingThe authors declare that they have not received any funding.
Conflicts of interestThe authors declare that they have no conflicts of interest.
Please cite this article as: Clos A, Hernández A, Sánchez MC, Tenesa M, Julián JF, Armengol C, et al. Regresión espontánea de carcinoma hepatocelular. A propósito de un caso. Gastroenterol Hepatol. 2017;40:286–288.





