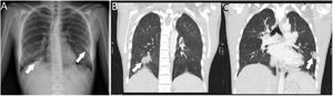
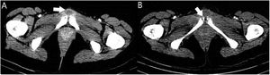
A 19-year-old woman who, after treatment for acute tonsillitis, went to A&E with continuous pain in the pubic area. A chest X-ray was performed that revealed pseudonodular condensations (Fig. 1A), complementing the study with computed tomography (CT), which confirmed the presence of septic emboli (Fig. 1B and C), for which the patient was admitted. An ultrasound of the neck ruled out thrombophlebitis of the jugular vein. A blood culture was obtained and intravenous broad-spectrum antibiotic therapy with meropenem and linezolid (1 g/8 h and 600 mg/12 h, respectively) was prescribed. A pelvic CT confirmed the presence of pubic symphysitis (osteitis pubis) with abscessification (Fig. 2). Surgical cleaning with debridement was performed, and two samples were sent for culture.
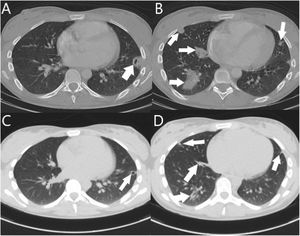
In the Gram stain, 10–25 leukocytes/field were observed in the absence of microorganisms. Samples were inoculated in Thioglycollate® enrichment broth, as well as on different agars (chocolate, CNA and TSA with 5% sheep blood, MacConkey, Sabouraud with chloramphenicol, Brucella, BBE with amikacin and kanamycin-vancomycin blood). After 96 h of incubation, no growth was observed in the cultures. In follow-up CT scans, an involution of the pulmonary septic emboli was observed (Fig. 3), as well as disappearance of the pubic collection.
Clinical courseGiven the patient's improved condition, a peripherally inserted central catheter was placed and antibiotic therapy was changed to intravenous ertapenem 1 g/24 h for 20 days. At discharge, the patient also received metronidazole 500 mg/8 h orally for 10 days, completing four weeks of treatment. After no growth was observed in the cultures, the purulent sample was processed and sequencing of the 16S rRNA gene was performed, obtaining a 435-bp sequence in which Fusobacterium necrophorum (F. necrophorum) was identified, with a homology percentage of 98.65% after introducing it into BLAST®, and it was registered in GenBank® with access number “OP458797” (Appendix A. Supplementary data). It was concluded that the clinical signs and symptoms were consistent with Lemierre syndrome with septic emboli in both lungs and in the pubic symphysis complicated by osteomyelitis and abscessification.
Final remarksLemierre syndrome is a rare condition that typically develops as a complication of an oropharyngeal infection and usually manifests as thrombophlebitis of the internal jugular vein and metastatic infection in the form of septic emboli. The microorganism most commonly associated with this condition is F. necrophorum, an obligate anaerobic Gram-negative bacillus that is a commensal of the human oropharyngeal flora. Other microorganisms such as Eikenella corrodens, Prevotella bivia or different species of the genus Streptococcus or Bacteroides have also been reported as possible causes of this syndrome1.
The clinical course is variable depending on the case, and can be triggered as a result of an odontogenic infection, mastoiditis otitis or even a gastrointestinal infection2. In addition, thrombosis of the internal jugular vein does not always occur, but there may be thrombophlebitis of other veins such as the sigmoid sinus, the basilic vein or the inferior vena cava. In our case, there were no symptoms related to venous thrombophlebitis at any level. Finally, together with metastatic infection, there may be other derived complications such as abscesses, septic arthritis, uveitis or osteomyelitis, to name just a few.
Treatment of this syndrome should be initiated after clinical suspicion and without waiting for microbiological confirmation, since its prognosis is conditioned by the speed of diagnosis and prompt initiation of appropriate treatment3. Generally, species of the genus Fusobacterium are sensitive to penicillin, although some strains of Fusobacterium nucleatum, Fusobacterium mortiferum and Fusobacterium varium could produce beta-lactamases, and it is advisable to combine an antibiotic with a beta-lactamase inhibitor or an anaerobicidal agent such as clindamycin or metronidazole. Surgery by draining and cleaning purulent collections is indicated in some cases such as arthritis or abscesses. Finally, the use of anticoagulation is much debated and a 2020 meta-analysis, which studied the effect of anticoagulation on vessel recanalisation and mortality, did not show a statistically significant benefit in either of the two1.
FundingNo funding was received for this article.
Conflicts of interestThe authors declare that they have no conflicts of interest.






