Saksenaea vasiformis is a filamentous fungus from the Mucorales family, responsible for isolated infections with high morbidity and mortality, especially in tropical or subtropical areas. The objective is to describe the clinical characteristics of the cases reported in Spain.
MethodsIn addition to presenting a case of S. vasiformis infection treated at Hospital Universitario Cruces in 2023, a systematic literature review was conducted on 17/04/2024, analyzing a total of 11 cases. Epidemiological and clinical data were obtained, and a descriptive analysis was performed.
ResultsThe average age was 64.9 years, with most being male (72.7%) and immunocompetent. Acquisition was related to severe trauma (45.5%) or insect bites (36.4%). 90.1% suffered from skin and soft tissue infections. The diagnostic process was complex, with the following being useful: direct staining (36.4%), culture in specific media (27.3%), molecular techniques (54.5%), and histopathological findings (90.9%). MICs of antifungals was determined in 3 cases, with low MICs for liposomal amphotericin B (L-AMB) and posaconazole, and variable MICs for voriconazole. L-AMB was the most commonly used antifungal, combined in all cases with extensive surgical debridement. Mortality was 45.5%.
ConclusionInfection by S. vasiformis is rare in our environment but clinically significant due to its severity and difficult diagnosis. Rapid recognition, along with early and aggressive debridement and appropriate antifungal treatment, are essential.
Saksenaea vasiformis es un hongo filamentoso de la familia de los Mucorales, ocasionalmente causante de infecciones con una gran morbi-mortalidad, sobre todo en áreas tropicales o subtropicales. El objetivo es describir las características clínicas de los casos publicados en España.
MétodosAdemás de presentar un caso de infección por S. vasiformis atendido en el Hospital Universitario Cruces en 2023, se realizó una búsqueda sistemática de la literatura hasta el 17/04/2024, analizando un total de 11 casos. Se obtuvieron datos epidemiológicos y clínicos, y se realizó un análisis descriptivo.
ResultadosLa media de edad fue de 64,9 años, la mayoría varones (72,7%) inmunocompetentes. La adquisición se relacionó con traumatismos graves (45,5%) o picaduras de insectos (36,4%). El 90,1% sufrió una infección de piel y partes blandas. El proceso diagnóstico fue complejo, siendo de utilidad la tinción directa (36,4%), el cultivo en medios específicos (27,3%) las técnicas moleculares (54,5%) y los hallazgos histopatológicos (90,9%). Se determinó la CMI de los antifúngicos en 3 casos, obteniendo valores bajos para anfotericina-B liposomal (AMB-L) y posaconazol, y variables para voriconazol. AMB-L fue el antifúngico más empleado, asociado en todos los casos a un amplio desbridamiento quirúrgico. La mortalidad fue del 45,5%.
ConclusiónLa infección por S. vasiformis es infrecuente en nuestro medio, pero de gran importancia clínica debido a su gravedad y dificultad diagnóstica. El reconocimiento rápido, junto con un precoz y agresivo desbridamiento y el tratamiento antifúngico adecuado son fundamentales.
Saksenaea vasiformis (S. vasiformis) is a filamentous fungus of the order Mucorales, first isolated in 1953.1 Today S. vasiformis is considered a complex of phenotypically and molecularly distinguishable species,2 It is widely found in soil, decaying organic matter, wood and animal droppings.3
Mucormycosis due to Saksenaea spp. accounts for approximately 3% of Mucorales infections.4 The first S. vasiformis infection in humans was described by Ajello et al. in 1976,5 and since then isolated cases have been published in the literature, most of them in tropical and subtropical climates (especially in India and Australia).6 Among the cases published in Europe, Spain is one of the countries with the largest number.7
Unlike other mucormycoses, it predominantly affects immunocompetent individuals.3,6 Clinically, it mainly affects the skin and soft tissues, producing rapidly progressive ulcerative, necrotic lesions.3,6,7 It is associated with a high morbidity rate and a mortality rate close to 40%.6
The main aim of this study was to describe the characteristics of the S. vasiformis cases published in Spain.
Material and methodsWe present a clinical case treated at Hospital Universitario Cruces in September 2023.
We also discuss the cases of S. vasiformis published in Spain from publication of the first case in this country up to 17 April 2024, when we carried out a systematic search of the literature in Medline (Pubmed) and Embase, using the term “Saksenaea vasiformis” in the search engines (Fig. 1 Figure 1S of the Supplementary material). Once duplicates were discarded, a selection was made based on title, author affiliation and abstract. Articles that did not correspond to case reports in humans (for example, laboratory studies or clinical cases in animals) were discarded and after a second screening, we ruled out case reports not published in Spain. We reviewed the literature references of the selected articles to find articles that might not have been detected in the systematic search. In addition to the case attended to by our group, a case “in press” was included. We only included articles published in English and Spanish.
Epidemiological and clinical data were obtained: age, origin, immunological status of the patient, mechanism of infection, clinical manifestations, diagnostic process, treatment and outcome of the case. We created a table with the most relevant data and performed a descriptive analysis.
ResultsCase reportThis was a 56-year-old man, with no relevant medical-surgical history, injured by a bull’s horn at a bullfight in a town in Cáceres province in August 2023.
He received three gore wounds in total, two superficial in the left leg (pretibial and posterior thigh) and one deeper one with several trajectories in his left lumbar wall, with no initial muscular involvement. On the same day of the incident, examination and surgical cleaning were performed at the hospital in that area and he was started on antibiotic treatment with piperacillin-tazobactam. A week later, the patient was transferred to another hospital, corresponding to his usual place of residence. On arrival, the patient was found to have a significant area of necrosis and cellulitis, requiring up to three further surgical interventions to drain collections in his flank.
In the cultures taken sequentially on the surface, different species of microorganisms were isolated (Candida lusitaniae, Candida tropicalis (C. tropicalis), Nocardia cyriacigeorgica, Mycobacterium fortuitum complex and Mycobacterium farcinogenes). Different antimicrobial treatment regimens were instituted, with antibiotics (piperacillin-tazobactam, imipenem, daptomycin, ciprofloxacin, doxycycline, cotrimoxazole) and antifungals (fluconazole), but the patient’s clinical condition progressively deteriorated, for which he was referred to our centre.
On arrival at our hospital, three weeks after the bull horn injury, the patient's general condition was poor, with a high level of inflammatory-infectious analytical markers (PCR 250 mg/l, 25,000 leucocytes/mm3, with a predominance of neutrophils). On examination, there was extensive necrotic plaque with perilesional cellulitis on the left flank extending to the gluteus (Fig. 1A). Broad-spectrum antimicrobial coverage was prescribed (linezolid, amikacin, piperacillin-tazobactam and fluconazole) and a further surgical cleaning was scheduled within the first 12 h of arrival (Fig. 1B), performing extensive debridement of devitalised tissues, with sample sent to Microbiology and Pathology. No microorganisms were found in the rapid smear (Gram stain), and only Staphylococcus epidermidis (S. epidermidis) and C. tropicaliswere isolated in routine cultures, which were considered to be probable contaminants. The pathogenicity of these microorganisms on the surface was not known, and therefore we had to await the results of specific cultures of previously isolated slow-growing microorganisms (Nocardia spp. and mycobacteria) and the histology results, in order to rule out or confirm the presence of granulomas, among other possibilities.
The patient initially made poor progress; the flank necrosis continued to spread, and the he developed septic shock, requiring administration of vasoactive agents and invasive mechanical ventilation. A computed tomography (CT) scan showed signs of severe myositis affecting the muscles of the left flank and gluteus.
Ten days after admission, the Pathology Department received notification of the presence of filamentous fungal hyphae with data of angioinvasion in the histological sample of subcutaneous tissue from the initial surgery (Fig. 2). Simultaneously, and over the following days, the Microbiology laboratory reported the growth of a bulky, greyish, woolly filamentous fungus on blood agar, chocolate agar, thioglycollate broth and Sabouraud agar media in all samples obtained after the first surgery (Fig. 3A).Direct examination with calcofluor white of samples sent later revealed non-septate hyphae branching at right angles, so a zygomycete was suspected as the pathogen involved (Fig. 3B). Identification could not be made by microscopic examination of the strain due to lack of sporulation, and no identification was obtained by mass spectrometry (MALDITOF).
Antimicrobial treatment was modified by adding liposomal amphotericin B (AMB-L) at a dose of 4 mg/kg/24 h and isavuconazole IV (loading dose of 600 mg for 48 h, then 200 mg/day); and further urgent extensive debridement surgery was performed (Fig. 1C). The cutaneous and subcutaneous defect was of such magnitude that the left iliac blade bone was partially exposed, so we added daily topical gauze dressings soaked in AMB-L (50 mg/l dilution) for 15 days.
The fungus was later identified on day + 32 after admission as S. vasiformis by PCR and sequencing of the internal transcribed spacer (ITS) region. A de-paraffinised sample sent from the Pathology laboratory was sent to the Centro Nacional de Microbiología [Spanish National Microbiology Centre] of the Instituto de Salud Carlos III [Carlos III Health Institute] where the presence of S. vasiformis was also confirmed by sequencing. Five days later, the antifungal analysis was performed using EUCAST methodology, which showed greater susceptibility to amphotericin B and posaconazole, with the following MIC (mg/L): amphotericin B and posaconazole 0.5; isavuconazole 2; anidulafungin >4; voriconazole and itraconazole 8; caspofungin and terbinafine >16.
After definitive identification of the fungus and the result of the antifungal test, isavuconazole was changed to IV posaconazole (loading dose of 300 mg/12 h on the first day, with subsequent doses of 300 mg/day).
From the very start of the antifungal treatment with amphotericin and successive debridement, there was a progressive improvement in the patients condition, both clinically (withdrawal of vasoactive amines and mechanical ventilation) and analytically, with a clear decrease in acute phase reactants.
Direct calcofluor white examinations of subsequently submitted specimens and serial cultures of deep samples obtained during subsequent debridement procedures continued to be positive until + 28 days after admission (17 days after starting the double antifungal treatment), so an attempt was made to increase the dose of AMB-L to 10 mg/kg/24 h, but this was not possible due to the patient developing severe hypokalaemia. Treatment with AMB-L was prolonged at a dose of 5 mg/kg/24 h IV combined with posaconazole for four weeks and then posaconazole was left as monotherapy.
As notable intercurrent events during admission, the patient developed superficial superinfections by Enterococcus faecium (manifesting as sloughing and exudation), which was controlled with vancomycin, and by multi-resistant Pseudomonas aeruginosa (P. aeruginosa) (manifesting as fever, sloughing and hypergranulated areas in the dermis), which was treated with ceftolozane-tazobactam and tobramycin.
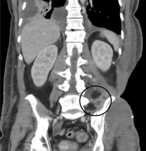
One month after admission and after achieving negative cultures, coverage of the defect was begun with meshed partial autologous skin grafts, with successful results (Fig. 4). In total, Plastic Surgery performed six debridement operations and two coverage operations. After 50 days in the Intensive Care Unit, the patient was well enough to be transferred to a conventional hospital ward. After stabilisation of the cutaneous and subcutaneous areas, persistent collections underlying the left iliac blade were identified, which behaved like abscesses on CT (Fig. 5). Ultrasound-guided drainage was impossible due to the de-epithelialised condition of the area, which contraindicated percutaneous access. Imaging tests were contradictory; a labelled leucocyte scintigraphy scan did not suggest active infection, but magnetic resonance imaging (MRI) was compatible with soft tissue abscesses in the left quadratus lumborum muscle, iliolumbar ligament and iliacus muscle, with signs of osteomyelitis in the sacrum and iliac bone. It was therefore decided to prescribe a prolonged course of oral posaconazole (300 mg/day). The patient was discharged on day 66 after admission. The treatment with posaconazole was extended for six months, without the patient developing any adverse effects. After this time, repeat MRI showed marked radiological improvement, with a decrease in the collections in the muscles adjacent to the left sacroiliac joint and no conclusive signs of osteomyelitis, so it was decided to stop the treatment. Three months after discontinuing the posaconazole, the patient is asymptomatic, with the skin coverage defect resolved and no signs of recurrence of the infection (Fig. 4).
A) Coverage defect in the left flank and gluteus, prior to starting grafts one month after admission; B) one week after the start of grafting with incipient epithelialisation; C) 4 months after admission, 2 months after discharge, and D) 6 months after discharge, approximately 1 month after the end of posaconazole.
Table 1 shows the main characteristics of the 11 cases analysed, including the case reported here.
Characteristics of clinical cases of S. vasiformis published in Spain.
| Ref. | Province acquired from | Age/Gender | Immunosuppression | Aetiology/mechanism | Clinical presentation | Diagnosis | Antifungal | Surgical debridement | Death | ||||
|---|---|---|---|---|---|---|---|---|---|---|---|---|---|
| Direct staining | Culture | P | PCR | AMB-L | Other | ||||||||
| Cefai, 1987 | ND | 55/F | ND | Multiple trauma after falling from a height | Gangrenous cellulitis | – | + | + | ND | Yes | No | Amputation of limb | No |
| Gomez-Merino, 2003 | Albacete [U. of Castile-La Mancha, Albacete Campus] | 66/M | No | TBI after traffic accident | Necrotising cellulitis | ND | + | + | ND | Yes | No | Aggressive | No |
| Garcia-Martinez, 2008 | Madrid | 71/M | Yes (diabetes, cancer) | Possible inhalation of spores (gardener) | Invasive rhino-orbital cerebral form | + | + | + | ND | Yes | No | Partial | Yes |
| Domínguez, 2012 | Seville | 82/F | No | Unknown. Possible bite | Disseminated infection/cellulitis | – | + | + | + | No | No | Partial | Yes |
| Mayayo, 2013 | Tarragona | 46/F | No | Traffic accident | Necrotising fasciitis | ND | + | + | + | Yes | No | Aggressive. Limb amputation. | Yes |
| Gomez-Camarasa, 2014 | Granada | 58/M | Yes (diabetes) | Tractor accident on farm | Celulitis/disseminated infection | + | + | ND | + | Yes | No | Partial | Yes |
| Coronel-Pérez, 2015 | Seville | 76/M | No | Bite from unknown agent | Necrotising cellulitis | ND | + | + | ND | Yes | No | Devitalised tissue | No |
| Guinea, 2017 | Madrid | 76/M | ND | Bite | Cutaneous | + | + | + | + | Yes | PSZ | Yes (ND) | No |
| Fernandez-Tormos, 2019 | Cáceres | 71/M | Yes (diabetes, cancer) | Spider bite | Celulitis/necrotising fasciitis/Disseminated infection | ND | + | + | ND | Yes | Nebulised AMB + PSZ | Amputation of limb | No |
| Uribarri Garcia, 2024 | Navarre | 58/M | Yes (cirrhosis, cancer) | Arachnid bite | Facial cellulitis/necrotising fasciitis | ND | + | + | + | Yes | IVZ | Partial | Yes |
| Present case | Cáceres | 55/M | No | Bull horn gore wound | Celulitis/necrotising myositis | + | + | + | + | Yes | Cutaneous AMB + IVZ + PSZ | Aggressive | No |
AMB-L: liposomal amphotericin B; P: pathology; IVZ: isavuconazole; F: female; PSZ: posaconazole; ND: no data; TBI: traumatic brain injury; M: male.
The mean age was 64.9, 72.7% of the cases were male and most (55.5%) were immunocompetent. Among the immunosuppressed patients (4 in total), diabetes and cancer were the main factors, each reported in three patients, with the two diseases coexisting in two of the cases.
In terms of the geographical location where the infection was acquired, most cases were in rural or suburban areas of the south-central Iberian Peninsula, particularly the provinces of Cáceres, Madrid and Seville, with two cases reported in each. The mechanism of infection tended to involve significant trauma (45.5%) or insect bites (36.4%).
In the vast majority of cases (90.1%), the patients had skin and soft tissue infection. In three of the cases, this was associated with disseminated infection. Domínguez et al. reported renal-pulmonary involvement with three skin areas affected, considered probably secondary to haematogenous dissemination11; Gómez-Camarasa et al. reported rhino-orbital cerebral involvement and distant disseminated skin involvement13; and Fernández-Tormos et al. reported cavitated lung lesions suggestive of fungal embolism.16
The diagnostic process was complex in most cases, and in one case it was performed postmortem. Direct examination using KOH or calcofluor white (positive in 36.4% of cases) and/or the histopathological findings with different stains such as haematoxylin-eosin (positive in 90.9% of cases) were what enabled initial pointers towards a filamentous fungus cause to be established.
Cultivation of the fungus was ultimately possible in all cases, using different culture media. In all cases where Sabouraud agar was used, fungal growth was achieved, but it was not possible in any of the cases to achieve sporulation of the fungus to identify it microbiologically. Species identification was achieved through cultivation in specific media such as Czapek-Dox agar (Difco) in two of the cases (18.2%) and agar-water in one case and using molecular techniques in six cases (54.5%). In five cases (45.5%) it involved sending the sample to a reference centre, such as the Instituto de Salud Carlos III Centro Nacional de Microbiología in Madrid. The MIC of antifungals was reported in only three cases; all of them showed good sensitivity to posaconazole and amphotericin B. Ours was the only article to report sensitivity to isavuconazole. The MIC results for the rest of the antifungals were variable.
Most patients required prolonged hospitalisation (weeks to months) with admission to intensive care units. In nine of the 11 cases, the use of broad-spectrum empirical antibiotic therapy was recorded; although bacterial co-infection was only reported in three cases, with enterococci and P. aeruginosa cited on two occasions.
Appropriate antifungal treatment was only started empirically in two cases; in the rest, it was started only after fungal elements were identified in rapid staining, histopathology or culture, and it took days or weeks. In all cases (except in the case diagnosed postmortem), AMB-L was used; in the majority (54.5%) as monotherapy, and in the rest combined with azole derivatives (posaconazole or isavuconazole). In one case, they used nebulised AMB. In our case, topical cutaneous AMB caused no adverse effects and was accompanied by a good local response.
Surgical debridement of the affected area was performed in all cases. In four cases, due to the clinical condition of the patient and the anatomical location of the infection, only partial debridement could be performed. All of these cases had a fatal outcome. In the others, the debridement was aggressive, removing all devitalised tissue, and requiring complex procedures such as fasciotomy, musculoskeletal debridement, mastectomy and/or amputation of the affected limb (amputation in 27.3%).
The total mortality rate attributable to the infection was 45.5%, in all cases due to multiorgan failure in the context of septic shock. We should point out the high mortality rate in immunosuppressed patients (75%) and in cases where bacterial superinfection was reported (mortality rate of 66.7%). None of the three patients in whom the combined treatment with AMB-L and posaconazole was used died.
DiscussionThe case reported here is the first case published in the literature of infection by S. vasiformis in relation to a wound caused by a bull's horn. Typically, in published case series of bull horn infection, polymicrobial infections with a predominance of Enterobacteriaceae have been reported, with no recorded isolation of filamentous fungi.18,19
S. vasiformis is an emerging pathogen in Spain. The usual clinical picture is a severe necrotising infection of the skin and soft tissues in a middle-aged, generally immunocompetent male; unlike soft tissue infections caused by other mucormycetes, which usually present as opportunistic infections in immunosuppressed patients, most often in disseminated and rhino-orbital cerebral forms. However, chronic soft tissue infection has been described, with involvement of adjacent structures and slow progression, as well as severe disseminated forms with very high mortality rates.3
It is usually acquired after a skin wound caused by different mechanisms (for example trauma or a bite), mainly in a rural area with a Mediterranean climate. These characteristics are similar to those published in the literature worldwide; although the difference in gender is interesting, with a clear predominance in males, and a greater number of immunosuppressed patients in our series compared to the case series published worldwide.6
With regard to culture, in line with the literature reports, it was possible to cultivate the fungus in common mycological media such as Sabouraud, but very difficult to achieve sporulation of the fungus to enable species identification. This requires molecular studies and the use of specific media, which often means samples have to be sent to microbiology reference centres.2,3
Due to the high aggressive nature of the condition and the difficulties with early microbiological diagnosis, when there is a high degree of suspicion, it is important to perform stains for direct observation of fungal elements (KOH, calcofluor white) and send samples for pathology examination, as they may detect the presence of an invasive fungal infection earlier.7,20
No specific clinical practice guidelines have been published, so general guidelines for the management of mucormycosis have to be followed.21 Treatment is based on two pillars: surgical debridement and antifungal treatment, within which AMB-L and posaconazole are the antimicrobials of choice.21,22 Starting treatment early is key and combination therapy should be considered until the infection is controlled.23 Posaconazole has shown better results in in vitro sensitivity studies and in small series, even as monotherapy, especially as rescue therapy.2,3,6,24 In addition, in cases of cutaneous/subcutaneous involvement (especially in extensive wounds with necrosis, with less of the systemic antifungal reaching the wound), the use of topical amphotericin B can be considered.25–27 No clear clinical-microbiological correlation has been established in the treatment of these infections and the clinical cut-off points in the study of sensitivity to antifungals have not been defined.
As with other causes of mucormycosis, S.vasiformis infection is characterised by angioinvasion and tissue necrosis,3 and surgical debridement therefore needs to be done as early and aggressively as possible, performing as many interventions as necessary to remove all devitalised tissue. When to begin coverage of the defect with grafts or flaps should be decided on a personalised basis, usually after a safe period of antifungal therapy and with negative cultures.7
The mortality rate in our series was slightly higher than that reported in worldwide series, perhaps due to the greater number of immunosuppressed patients, although there is no definitive evidence that these patients have a worse prognosis.6 Bacterial superinfections have been associated with a higher mortality rate.7 In contrast, early initiation of treatment (especially early and aggressive surgery) and the use of posaconazole are associated with a better prognosis.6
In summary, there are very few reports in the literature of cutaneous infection by S. vasiformis, a condition associated with trauma or incised wounds which usually manifests with progressive local necrosis in immunocompetent patients. This is an emerging infection, still rare in our environment, but of great clinical importance due to its severity and being difficult to diagnose. Although it remains serious, early recognition followed by early and aggressive treatment can lead to a better prognosis.
FundingThis study has received no specific funding from public, private or non-profit organisations.
The authors declare that they have no conflicts of interest.
We would like to thank the Mycology Unit of the Instituto de Salud Carlos III Centro Nacional de Microbiología [Carlos III Health Institute National Microbiology Centre] (Majadahonda, Madrid) for their support in identifying the fungus and studying its sensitivity to antifungals. We would also like to thank Dr María Rivero and Dr Estela Moreno, from Hospital Universitario de Navarra, for their kindness in providing further clinical details of their case for the overall review.









