Hypoglycaemia is a medical emergency, defined as plasma glucose levels below 55mg/dl, accompanied by adrenergic and neuroglycopenic symptoms, usually associated with patients with diabetes and the use of hypoglycaemic agents.1 The finding in other patients is rare, but may be caused by glucose consumption, abnormal insulin production, increased insulin-like growth factors or failure of compensatory mechanisms to prevent hypoglycaemia. Some episodes of hypoglycaemia remain unexplained and rarer causes, such as genetic, paraneoplastic or immune-mediated, have to be considered.2 Here we describe a case of Doege-Potter syndrome, a rare cause of hypoglycaemia of paraneoplastic aetiology.
This was a 59-year-old woman with no relevant medical history who consulted the emergency department with a three-day history of fluctuating consciousness, disorientation and altered behaviour, with coprolalia and a disinhibited attitude. On further questioning, the patient’s relatives reported hyporexia together with weight loss of 10kg in the previous three months. On arrival, she had blood glucose of 45mg/dl, C-reactive protein of 101.9mg/l and leucocytosis of 11,250 cells with 82% neutrophils. Her neurological symptoms subsided once her blood glucose levels returned to normal. Serial capillary blood glucose monitoring showed that the patient continued to have symptomatic, sustained and persistent episodes of hypoglycaemia, for which treatment with glucose serum was maintained and she was admitted for further study.
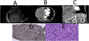
Insulin, C-peptide and insulin-like growth factor I (IGF-I) levels were requested, with values of 0.58μIU/ml (1.9–23μIU/ml), 0.19ng/ml (0.8–4.2ng/ml) and 45.5ng/ml (81–225ng/ml) respectively. Insulin-like growth factor II (IGF-II) levels were 670ng/ml (47–350ng/ml). Ultrasound of the abdomen (Fig. 1A) and CT scan of chest/abdomen (Fig. 1B and C) confirmed a large extrapulmonary tumour, attached to the pleura, compatible with a neoplastic process. Pathology examination of ultrasound-guided core needle biopsy (CNB) (Fig. 1D and E) was compatible with solitary fibrous tumour (SFT). In view of the histological pattern of the lesion and the associated hypoinsulinaemic hypoglycaemia, the diagnosis of Doege-Potter syndrome was made.
(A) Ultrasound of the abdomen showing a heterogeneous mass attached to the right pleura. (B–C) CT scan of the abdomen with intravenous contrast with axial and coronal slices of the lesion. (D) Tumour cells with nuclear positivity for STAT6. E) Presence of dilated and branched vessels in “staghorn” pattern.
The case was presented to the oncology committee and, as the histological grade of the malignancy was low, it was decided to perform surgery with total resection of the tumour. Until surgery, the patient’s blood glucose levels were kept under control with prednisone 20mg twice daily. Once the tumour was resected, her blood glucose levels returned to normal and she gradually regained much of her lost weight.
SFT are rare mesenchymal cell tumours with an estimated incidence of 0.35 per 100,000 population. The first case was reported in 1870 when Wanger discovered a primary pleural SFT. They are usually located in the visceral or parietal pleura, but can also be found in the peritoneum, pericardium, mediastinum and other locations in anecdotal cases.3
The diagnosis of SFT is made by pathology examination. The conventional marker in immunohistochemistry is CD34, although it lacks specificity, as it can also be expressed by other tumours of mesenchymal origin. The most sensitive and specific marker is STAT6, derived from the NAB-STAT6 fusion gene, which is recognised as a key factor in tumour genesis.4
Doege-Potter syndrome is a paraneoplastic syndrome, occurring in about 5% of SFT cases, consisting of persistent hypoglycaemia, with suppressed serum insulin, low serum C-peptide, GH and IGF I and normal or increased IGF-II levels. The pathophysiological mechanism of hypoglycaemia is an overproduction of aberrant IGF-II precursors (“big” IGF-II). The ability of the “big” IGF-II to bind to the IGF-I receptor and the insulin receptor promotes glucose uptake in peripheral tissues and reduces hepatic gluconeogenesis respectively, contributing to episodes of hypoglycaemia.5 Higher malignancy rates have been observed in SFT associated with Doege-Potter syndrome.6
In terms of treatment, total tumour resection is the gold standard. Sometimes, when the lesion is too large and highly vascularised, embolisation may be considered to reduce the risk of intraoperative bleeding. Adjuvant treatment with chemotherapy after complete resection is rare, and is reserved as an option for non-resectable or metastatic tumours. Although the evidence is limited and mainly from descriptive studies, anthracycline-based chemotherapy appears to have the best anti-tumour activity and is the most widely used.7 There are cases reported in the literature where successful responses to combinations of angiogenesis inhibitors, such as bevacizumab with temozolamide, have been observed.8 Radiotherapy for these patients is more open to debate, although some descriptive studies and case reports have suggested that it is beneficial, both preoperatively and postoperatively.
To control the hypoglycaemia, glucocorticoids are considered the initial medical therapy of choice, pending surgical intervention or in non-resectable tumours. Their action is based on altering insulin action, enhancing gluconeogenesis and increasing IGF-II clearance.9
Our aim with this case report is to raise awareness of this rare condition. We should primarily suspect Doege-Potter syndrome in patients with persistent hypoglycaemia which is not mediated by insulin or IGF-I, with tumours typically in the pleural cavity, as early diagnosis with complete resection of the tumour ensures cure in the vast majority of cases.
FundingThis study did not receive funding of any kind.



