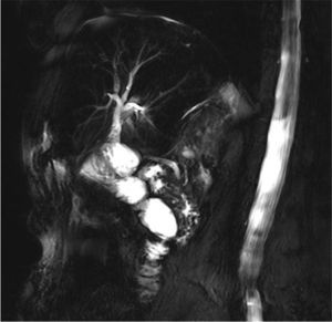
An 84-year-old patient had undergone laparoscopic cholecystectomy for acute cholecystitis. Six months later, she was diagnosed with stenosis of the main bile duct. Endoscopic retrograde cholangiopancreatography could not bridge the stenosis, so percutaneous transhepatic cholangiography was used to pass through to the duodenum with a false passage (Fig. 1). Surgery confirmed the presence of the false passage and extensive stenosis of the proximal third of the bile duct (Figs. 2 and 3). Hepaticojejunostomy was performed. The postoperative course was favorable and the patient was discharged on the 7th day post-op. Cholangio-MRI done one month later confirmed the permeability of the anastomosis (Fig. 4).
Please cite this article as: Pavel M-C, Calatayud Mizrahi D, Fuster Obregón J, García-Valdecasas Salgado JC. Reparación quirúrgica de falsa vía bilioduodenal tras colangiografia transparietohepática en paciente con estenosis biliar secundaria a colecistectomía. Cir Esp. 2014;92:e21.







