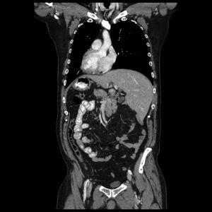
The patient is a 57-year-old male with recurrent respiratory infections and no digestive symptoms. The thoracoabdominal CT scan (Fig. 1) performed due to his respiratory pathology revealed the incidental finding of a right diaphragmatic hernia associated with complete situs inversus.
Laparoscopy confirmed a right paraesophageal hiatal hernia secondary to situs inversus. The hiatal pillars were sutured with Ethibond® 0 and Dor fundoplication. The patient presented no postoperative complications.
Twelve months later, the patient remains asymptomatic, and follow-up CT scans were normal (Fig. 2).
Please cite this article as: Arias Pacheco RD, Serra Lorenzo R, Sánchez López P, Mínguez Ruiz G. Hernia de hiato paraesofágica derecha asociada a situs inversus completo. Cir Esp. 2021;99:155.





