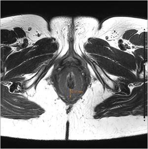
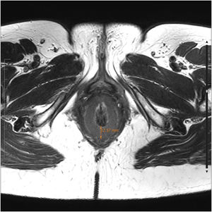
We present the case of a 53-year-old woman, whose medical history of interest only included cesarean section for the delivery of twins. She reported symptoms of proctalgia and difficulty passing stool over the past 3 years. On physical examination, she presented with pain during digital rectal examination and anal hypertonia, with no associated fissure. We performed endoanal ultrasound and requested a dynamic pelvic MRI, which showed homogeneous circumferential thickening of the IAS, in addition to tricompartmental pelvic floor descent during defecation, with no relaxation of the IAS. The patient did not improve with oral muscle relaxants, topical nifedipine, or local infiltration of botulinum toxin, and she is awaiting internal lateral sphincterotomy (Figs. 1 and 2).
FundingThe study was not funded by any organization.
Conflict of interestsNone of the authors present conflicts of interest.
Instituto de Investigación Sanitaria Valdecilla (IDIVAL) ID https://orcid.org/0000-0002-0848-4682.





