metricas
covid
Cirugía Española (English Edition) Peri-Aortic Lymphoma Simulating an Acute Aortic Syndrome
Journal Information
Vol. 96. Issue 5.
Pages 301 (May 2018)
Image of the month
Full text access
Peri-Aortic Lymphoma Simulating an Acute Aortic Syndrome
Linfoma periaórtico simulando un síndrome aórtico agudo
Visits
2137
Francesc Simó Alaria,
Corresponding author
f.simo.alari@gmail.com

Corresponding author.
, Flora Lacassinb, Philippe Montane de la Roqueb, Israel Gutierreza
a General Surgery, Centre Hospitalier du Val d’Ariège, Saint Jean de Verges, France
b Internal Medicine, Centre Hospitalier du Val d’Ariège, Saint Jean de Verges, France
This item has received
Article information
Full Text
Download PDF
Statistics
Figures (2)
Full Text

A 75-year-old woman with no relevant medical history came to the Emergency Department due to precordial pain, weight loss and fatigue. The cardiologic examination with ECG and cardiac enzymes ruled out the presence of acute coronary syndrome. However, physical examination detected a non-pulsatile abdominal mass that we suspected was an abdominal aortic aneurysm, intramural hematoma or retroperitoneal sarcoma.

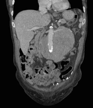
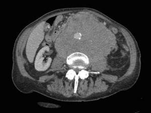
A computed tomography scan showed a heterogeneous retroperitoneal mass measuring 14×11cm surrounding the abdominal aorta and the renal vessels, without invading them (Figs. 1 and 2).

Fig. 1
Fig. 2

A scan-guided biopsy confirmed the diagnosis of diffuse large B-cell lymphoma (DLBCL), of the germinal center subtype. The extension study with PET defined the stage as III IP 2. The chemotherapy protocol was initiated with R-CHOP (rituximab, cyclophosphamide, doxorubicin, vincristine and prednisone), which provided an excellent response, without the need for bone marrow transplantation.

Please cite this article as: Simó Alari F, Lacassin F, Montane de la Roque P, Gutierrez I. Linfoma periaórtico simulando un síndrome aórtico agudo. Cir Esp. 2018;96:301.

Copyright © 2017. AEC
Download PDF
Article options
Tools