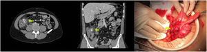
A 33-year-old man consulted for abdominal pain of 2 days’ evolution radiating to the right iliac fossa with fever of 38.3 °C. Laboratory tests showed leukocytosis of 13,480 cells/mL and C-reactive protein of 56 mg/l. An abdominal CT scan was performed, showing a thickened tubular structure with calcifications in its interior depending on the cecum, with inflammatory changes suggestive of acute appendicitis (Fig. 1).
A laparotomy was performed where a normal calibre appendix was visualised and the presence of a perforated cecal diverticulum with enterolithiasis inside it, adjacent to the ileocaecal valve was observed (Fig. 1), so an ileocecectomy with mechanical lateral anastomosis was performed.
FinancingThis article received no funding.
Conflict of interestsThe authors have no conflict of interests to declare.
Please cite this article as: Gómez Sánchez J, Forneiro Pérez R, Hernández García MD, Mirón Pozo B. Divertículo cecal perforado que simula apendicitis aguda. Cir Esp. 2022;100:441.




