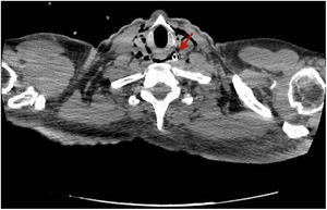
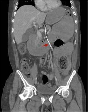
The patient is a 46-year-old male with a history of multiple abdominal surgeries who was admitted for intestinal obstruction. A nasogastric tube (NGT) was inserted, which was initially not productive. Due to clinical worsening, a thoracoabdominal computed tomography (CT) scan was requested, which revealed the extraluminal pathway of the NGT in the abdomen and thorax (Fig. 1); however, no perforation point was observed, and the perforation point was suspected at the cervical level (Fig. 2). ENT examination identified the perforation in the inferior cavum, dissecting the posterior wall of the pharynx. The NGT was withdrawn, and medical treatment was initiated with corticosteroids, fluconazole, and meropenem. The patient presented radiological clinical improvement and began oral tolerance after one week.
Please cite this article as: Ferrer-Inaebnit E, Bonnin-Pascual J, Pineño-Flores C, González-Argente X. Perforación orofaríngea secundaria a la colocación de una sonda nasogástrica. Cir Esp. 2021;99:612.





