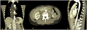
We present the case of a 46-year-old woman diagnosed with megaoesophagus, with previous normal functional tests. Computed tomography showed megaoesophagus (Fig. 1A) secondary to a change in calibre in the third duodenal portion with an aortomesenteric distance of 6.2 mm (Fig. 1B) and an angle of 25° (Fig. 1C), characteristic of Wilkie’s syndrome. Her symptoms resolved after a duodenojejunostomy was performed, with adequate oral tolerance. Wilkie’s syndrome is an unusual cause, but should be included in the differential diagnosis of megaoesophagus.
The Impact Factor measures the average number of citations received in a particular year by papers published in the journal during the two preceding years.
© Clarivate Analytics, Journal Citation Reports 2025
SRJ is a prestige metric based on the idea that not all citations are the same. SJR uses a similar algorithm as the Google page rank; it provides a quantitative and qualitative measure of the journal's impact.
See moreSNIP measures contextual citation impact by wighting citations based on the total number of citations in a subject field.
See more



