Double kidney-pancreas transplantation is currently growing in importance as a definitive treatment for patients with type 1 diabetes and end-stage diabetic nephropathy1. Improvements in graft quality and the transplant technique, the use of more powerful immunosuppressant treatment and the prophylaxis against infections that we have witnessed in recent years have significantly reduced the number and severity of both early and late complications. However, certain complications still require highly complex treatment and entail high morbidity and mortality rates2,3.
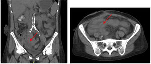
We present the case of a 49-year-old woman with poorly controlled type 1 diabetes and end-stage diabetic nephropathy, who had undergone pancreas-kidney transplantation with enteric drainage in 2010. No complications were reported during the postoperative period or during the biannual follow-up study with Doppler ultrasound. In 2015, chronic dysfunction of both grafts was detected, although imaging tests demonstrated no alterations. In 2020, she presented chronic rejection of the pancreatic graft associated with significant inflammation, destructuring and glandular necrosis, which was managed conservatively. The patient was hospitalized in December 2021 due to an episode of rectal bleeding and syncope. On her arrival at the emergency room, she was hemodynamically stable, with a hemoglobin level of 11.8 g/dL similar to her baseline level. A few hours after admission, she presented rectal bleeding with hemorrhagic shock. Hemodynamic resuscitation was initiated with intensive fluid therapy, and urgent gastroscopy was considered to rule out massive upper gastrointestinal bleeding. However, due to persistent hemodynamic instability despite the initiation of vasoactive drugs, urgent CT angiography was performed, which did not identify the origin of the bleeding but demonstrated notable inflammation of the pancreatic graft in the right iliac fossa. Suspecting a late complication of the pancreatic graft, we performed urgent midline laparotomy and observed a phlegmon involving the pancreatic graft that was also infiltrating the cecum and mesocolic vessels. We conducted an extended right hemicolectomy including the graft, which revealed a bleeding lesion on the anterior side of the right common iliac artery, where the graft was previously located. Ligation and subsequent femoral-femoral bypass were conducted, and hemostasis was achieved. The anatomopathological study of the surgical specimen confirmed the existence of a perforation of necrotic pancreatic tissue towards the right colon as well as the formation of a pseudoaneurysm and aortoenteric fistula. After surgery, the patient progressed favorably and was discharged without recurrences (Image 1).
Classically, pancreas transplantation has been deemed to have a higher complication rate than other solid organ transplants4. The most frequent complications are graft thrombosis, followed by acute pancreatitis, acute and chronic rejection, and the formation of pancreatic fistula5. Arterioenteric fistulae are the incidental communication of a blood vessel and the intestine. They can present as chronic anemia, upper or lower gastrointestinal bleeding, or hemorrhagic shock6. Pancreatic grafts are especially susceptible to this complication due to chronic enzymatic damage by the pancreatic fluid over the anastomosis. This, added to the existence of risk factors such as intestinal drainage of the pancreatic graft instead of towards the urinary bladder (like our patient), perioperative infections or the existence of arteriovenous malformations, result in the formation of fistulae that communicate arteries of the pancreatic graft with the gastrointestinal tract4.
For diagnosis, initial clinical suspicion is essential7. Gastrointestinal endoscopies can be useful to rule out other causes of bleeding, although they are limited in the case of hemodynamic instability or heavy bleeding that prevents visualization8. CT angiography is able to detect extravasation of contrast material into the intestinal lumen, although this requires a high volume of bleeding, which is not always observed. Arteriography makes it possible to detect the exact point of bleeding to carry out definitive treatment by embolization and/or surgery5. Therefore, gastrointestinal bleeding secondary to arterioenteric fistula formation in the context of pancreatic transplantation is a low-frequency complication associated with high mortality that is complex to diagnose and treat. Therefore, prevention is essential, and a systematic radiological follow-up should be considered in patients with established risk factors.
Conflict of interestNone of the authors have any conflicts of interest to declare regarding the case presented, which had no external funding.
Informed consentThe patient is aware of, understands and approves of the publication of this anonymous case report, as well as the scientific and educational objectives of the published report. Signed informed consent was obtained, and the patient was given an informational document.
Furthermore, this article has been reviewed and approved by our hospital’s Clinical Research Ethics Committee.




