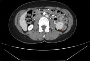
A 46-year-old woman, with intermittent colicky abdominal pain, was diagnosed of an intraperitoneal tumor in an abdominal tomography (Fig. 1), oriented as a gastrointestinal stromal tumor.
Abdominal contrast-enhanced computed tomography: 32 × 32 × 34 mm homogeneus hypervascular well-defined solid tumor with a small central hypodensity (red arrow) located in the intraperitoneal left posterior abdominal void, with an apparent intraperitoneal location. The dependency organ is not defined, only broad contact is seen with adjacent intestinal loops but without thickening or stenosing them.
An exploratory laparoscopy with two trocars was performed, finding a mass with a long vascular pedicle depending on the splenocolic ligament (Fig. 1). It was performed a section of the vascular pedicle by Ligasure at the infrasplenic level, with extraction of the specimen by Pfannestiel incision.
She was discharged the day after and has been asymptomatic since then.
The histology report was accessory spleen of 3.5 cm with a long vascular pedicle.
DIAGNOSTIC: Accessory wandering spleen.



