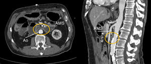
A men of 66 years old, with hypertension and diabetes, a sigmoiidectomy due to a colon cancer and after that a low anterior resection for a tumor recurrence. He is admitted in Emergency for vomiting and abdominal distension. The X-ray shows small bowel dilatation so it is decided to proceed with a CT scan. It shows a complete duodenal obstruction due to exterior compression of the third part of the duodenum by the superior mesenteric artery. The conservant treatment with nasogastric tube decompression succeed after 5 days in the hospital. He was discharged with no evidence of any other complication (Fig. 1).
Diagnosis: Superior mesenteric artery syndrome or Wilkie's syndrome.
Please cite this article as: Mirón Fernández I, Romacho López L, Díaz Antonio T, Santoyo Santoyo J. Oclusión intestinal secundaria a pinza aorto-mesentérica. Cir Esp. 2019;97:532.




